利用无溶栓剂的大口径吸栓术清除弥散性静脉血栓栓塞:一个通用性工具箱来疏通静脉循环。

IF 0.6 Q4 PERIPHERAL VASCULAR DISEASE
Annals of vascular diseases Pub Date : 2024-12-25 Epub Date: 2024-10-24 DOI:10.3400/avd.cr.24-00069
Pipin Kojodjojo, Edgar Tay, Gim Chuah Chua, Victor Lee
{"title":"利用无溶栓剂的大口径吸栓术清除弥散性静脉血栓栓塞:一个通用性工具箱来疏通静脉循环。","authors":"Pipin Kojodjojo, Edgar Tay, Gim Chuah Chua, Victor Lee","doi":"10.3400/avd.cr.24-00069","DOIUrl":null,"url":null,"abstract":"<p><p>Disseminated venous thromboembolism (VTE) occurs commonly in cancer patients, who tend to have contraindications to systemic thrombolysis and require cancer surgery. Such clinical scenarios are often challenging to manage. In this case report, we illustrate an innovative, single procedural approach in such a patient to remove extensive VTE, improve symptoms, prevent hemodynamic decompensation, and allow for a minimal level of anticoagulation such that necessary cancer surgery can proceed safely.</p>","PeriodicalId":7995,"journal":{"name":"Annals of vascular diseases","volume":"17 4","pages":"433-436"},"PeriodicalIF":0.6000,"publicationDate":"2024-12-25","publicationTypes":"Journal Article","fieldsOfStudy":null,"isOpenAccess":false,"openAccessPdf":"https://www.ncbi.nlm.nih.gov/pmc/articles/PMC11669025/pdf/","citationCount":"0","resultStr":"{\"title\":\"Clearing Disseminated Venous Thromboembolism in a Single Procedure Using Thrombolytic-Free Large Bore Suction Thrombectomy: A Versatile Toolbox to Unclog the Venous Circulation.\",\"authors\":\"Pipin Kojodjojo, Edgar Tay, Gim Chuah Chua, Victor Lee\",\"doi\":\"10.3400/avd.cr.24-00069\",\"DOIUrl\":null,\"url\":null,\"abstract\":\"<p><p>Disseminated venous thromboembolism (VTE) occurs commonly in cancer patients, who tend to have contraindications to systemic thrombolysis and require cancer surgery. Such clinical scenarios are often challenging to manage. In this case report, we illustrate an innovative, single procedural approach in such a patient to remove extensive VTE, improve symptoms, prevent hemodynamic decompensation, and allow for a minimal level of anticoagulation such that necessary cancer surgery can proceed safely.</p>\",\"PeriodicalId\":7995,\"journal\":{\"name\":\"Annals of vascular diseases\",\"volume\":\"17 4\",\"pages\":\"433-436\"},\"PeriodicalIF\":0.6000,\"publicationDate\":\"2024-12-25\",\"publicationTypes\":\"Journal Article\",\"fieldsOfStudy\":null,\"isOpenAccess\":false,\"openAccessPdf\":\"https://www.ncbi.nlm.nih.gov/pmc/articles/PMC11669025/pdf/\",\"citationCount\":\"0\",\"resultStr\":null,\"platform\":\"Semanticscholar\",\"paperid\":null,\"PeriodicalName\":\"Annals of vascular diseases\",\"FirstCategoryId\":\"1085\",\"ListUrlMain\":\"https://doi.org/10.3400/avd.cr.24-00069\",\"RegionNum\":0,\"RegionCategory\":null,\"ArticlePicture\":[],\"TitleCN\":null,\"AbstractTextCN\":null,\"PMCID\":null,\"EPubDate\":\"2024/10/24 0:00:00\",\"PubModel\":\"Epub\",\"JCR\":\"Q4\",\"JCRName\":\"PERIPHERAL VASCULAR DISEASE\",\"Score\":null,\"Total\":0}","platform":"Semanticscholar","paperid":null,"PeriodicalName":"Annals of vascular diseases","FirstCategoryId":"1085","ListUrlMain":"https://doi.org/10.3400/avd.cr.24-00069","RegionNum":0,"RegionCategory":null,"ArticlePicture":[],"TitleCN":null,"AbstractTextCN":null,"PMCID":null,"EPubDate":"2024/10/24 0:00:00","PubModel":"Epub","JCR":"Q4","JCRName":"PERIPHERAL VASCULAR DISEASE","Score":null,"Total":0}
引用次数: 0

摘要

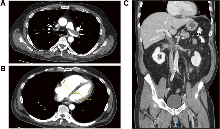
弥散性静脉血栓栓塞(VTE)常见于癌症患者,这些患者往往有全身溶栓的禁忌症,需要进行癌症手术。这样的临床情况往往是具有挑战性的管理。在本病例报告中,我们展示了一种创新的、单一的手术方法,用于切除广泛的静脉血栓栓塞,改善症状,预防血流动力学失代偿,并允许最低水平的抗凝治疗,以便必要的癌症手术可以安全地进行。
本文章由计算机程序翻译,如有差异,请以英文原文为准。

Clearing Disseminated Venous Thromboembolism in a Single Procedure Using Thrombolytic-Free Large Bore Suction Thrombectomy: A Versatile Toolbox to Unclog the Venous Circulation.

Clearing Disseminated Venous Thromboembolism in a Single Procedure Using Thrombolytic-Free Large Bore Suction Thrombectomy: A Versatile Toolbox to Unclog the Venous Circulation.

Clearing Disseminated Venous Thromboembolism in a Single Procedure Using Thrombolytic-Free Large Bore Suction Thrombectomy: A Versatile Toolbox to Unclog the Venous Circulation.

Disseminated venous thromboembolism (VTE) occurs commonly in cancer patients, who tend to have contraindications to systemic thrombolysis and require cancer surgery. Such clinical scenarios are often challenging to manage. In this case report, we illustrate an innovative, single procedural approach in such a patient to remove extensive VTE, improve symptoms, prevent hemodynamic decompensation, and allow for a minimal level of anticoagulation such that necessary cancer surgery can proceed safely.

求助全文
通过发布文献求助,成功后即可免费获取论文全文。 去求助
来源期刊
Annals of vascular diseases
Annals of vascular diseases PERIPHERAL VASCULAR DISEASE-
自引率
0.00%
发文量
41
×
引用
GB/T 7714-2015
复制
MLA
复制
APA
复制
导出至
BibTeX EndNote RefMan NoteFirst NoteExpress
×
提示
您的信息不完整,为了账户安全,请先补充。
现在去补充
×
提示
您因"违规操作"
具体请查看互助需知
我知道了
×
提示
确定
请完成安全验证×
copy
已复制链接
快去分享给好友吧!
我知道了
右上角分享
点击右上角分享
0
联系我们:info@booksci.cn Book学术提供免费学术资源搜索服务,方便国内外学者检索中英文文献。致力于提供最便捷和优质的服务体验。 Copyright © 2023 布克学术 All rights reserved.
京ICP备2023020795号-1
ghs 京公网安备 11010802042870号
Book学术文献互助
Book学术文献互助群
群 号:604180095
Book学术官方微信