口腔软骨脉络瘤:鼻咽部罕见的表现。

IF 0.7 Q3 MEDICINE, GENERAL & INTERNAL
Case Reports in Medicine Pub Date : 2024-12-17 eCollection Date: 2024-01-01 DOI:10.1155/carm/4506082
Maryam Al-Ali, Anastasios Hantzakos
{"title":"口腔软骨脉络瘤:鼻咽部罕见的表现。","authors":"Maryam Al-Ali, Anastasios Hantzakos","doi":"10.1155/carm/4506082","DOIUrl":null,"url":null,"abstract":"<p><p><b>Objective:</b> This case report describes a rare presentation of a cartilaginous choristoma of the oral cavity within the tonsillar fossa, emphasizing the importance of recognizing and differentiating this uncommon entity from more frequently encountered oral lesions. <b>Methods:</b> A comprehensive clinical and histopathological examination was conducted on a 30-year-old male patient who presented with a painless mass in the nasopharynx. An excisional biopsy was carried out, and a histopathological analysis was conducted to establish a definitive diagnosis. <b>Results:</b> Histopathological examination demonstrated a cartilaginous choristoma, characterized by the presence of mature hyaline cartilage surrounded by the connective tissue. The patient underwent surgical excision of the lesion, and follow-up assessments indicated a favorable postoperative outcome without recurrence. <b>Conclusion:</b> Cartilaginous choristomas in the oral cavity are exceedingly rare. Awareness of this entity is crucial for accurate diagnosis and appropriate management, as it can mimic other more common oral lesions. This case report contributes to the limited literature on oral cartilaginous choristomas and underscores the significance of considering this entity in the differential diagnosis of oral mucosal masses.</p>","PeriodicalId":9627,"journal":{"name":"Case Reports in Medicine","volume":"2024 ","pages":"4506082"},"PeriodicalIF":0.7000,"publicationDate":"2024-12-17","publicationTypes":"Journal Article","fieldsOfStudy":null,"isOpenAccess":false,"openAccessPdf":"https://www.ncbi.nlm.nih.gov/pmc/articles/PMC11668541/pdf/","citationCount":"0","resultStr":"{\"title\":\"Cartilaginous Choristoma of the Oral Cavity: A Rare Presentation in the Nasopharynx.\",\"authors\":\"Maryam Al-Ali, Anastasios Hantzakos\",\"doi\":\"10.1155/carm/4506082\",\"DOIUrl\":null,\"url\":null,\"abstract\":\"<p><p><b>Objective:</b> This case report describes a rare presentation of a cartilaginous choristoma of the oral cavity within the tonsillar fossa, emphasizing the importance of recognizing and differentiating this uncommon entity from more frequently encountered oral lesions. <b>Methods:</b> A comprehensive clinical and histopathological examination was conducted on a 30-year-old male patient who presented with a painless mass in the nasopharynx. An excisional biopsy was carried out, and a histopathological analysis was conducted to establish a definitive diagnosis. <b>Results:</b> Histopathological examination demonstrated a cartilaginous choristoma, characterized by the presence of mature hyaline cartilage surrounded by the connective tissue. The patient underwent surgical excision of the lesion, and follow-up assessments indicated a favorable postoperative outcome without recurrence. <b>Conclusion:</b> Cartilaginous choristomas in the oral cavity are exceedingly rare. Awareness of this entity is crucial for accurate diagnosis and appropriate management, as it can mimic other more common oral lesions. This case report contributes to the limited literature on oral cartilaginous choristomas and underscores the significance of considering this entity in the differential diagnosis of oral mucosal masses.</p>\",\"PeriodicalId\":9627,\"journal\":{\"name\":\"Case Reports in Medicine\",\"volume\":\"2024 \",\"pages\":\"4506082\"},\"PeriodicalIF\":0.7000,\"publicationDate\":\"2024-12-17\",\"publicationTypes\":\"Journal Article\",\"fieldsOfStudy\":null,\"isOpenAccess\":false,\"openAccessPdf\":\"https://www.ncbi.nlm.nih.gov/pmc/articles/PMC11668541/pdf/\",\"citationCount\":\"0\",\"resultStr\":null,\"platform\":\"Semanticscholar\",\"paperid\":null,\"PeriodicalName\":\"Case Reports in Medicine\",\"FirstCategoryId\":\"1085\",\"ListUrlMain\":\"https://doi.org/10.1155/carm/4506082\",\"RegionNum\":0,\"RegionCategory\":null,\"ArticlePicture\":[],\"TitleCN\":null,\"AbstractTextCN\":null,\"PMCID\":null,\"EPubDate\":\"2024/1/1 0:00:00\",\"PubModel\":\"eCollection\",\"JCR\":\"Q3\",\"JCRName\":\"MEDICINE, GENERAL & INTERNAL\",\"Score\":null,\"Total\":0}","platform":"Semanticscholar","paperid":null,"PeriodicalName":"Case Reports in Medicine","FirstCategoryId":"1085","ListUrlMain":"https://doi.org/10.1155/carm/4506082","RegionNum":0,"RegionCategory":null,"ArticlePicture":[],"TitleCN":null,"AbstractTextCN":null,"PMCID":null,"EPubDate":"2024/1/1 0:00:00","PubModel":"eCollection","JCR":"Q3","JCRName":"MEDICINE, GENERAL & INTERNAL","Score":null,"Total":0}
引用次数: 0

摘要

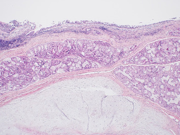
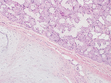
目的:本病例报告描述了一个罕见的扁桃体窝内的口腔软骨绒毛瘤,强调了识别和区分这种不常见的实体与更常见的口腔病变的重要性。方法:对一位30岁男性患者进行了全面的临床和组织病理学检查,他表现为鼻咽部无痛性肿块。进行了切除活检,并进行了组织病理学分析,以建立明确的诊断。结果:组织病理学检查显示为软骨性脉络瘤,其特征是结缔组织包围着成熟的透明软骨。患者接受手术切除病变,随访评估显示良好的术后结果,无复发。结论:口腔软骨脉络膜瘤极为罕见。意识到这个实体是至关重要的准确诊断和适当的管理,因为它可以模仿其他更常见的口腔病变。本病例报告补充了关于口腔软骨脉络瘤的有限文献,并强调了在口腔粘膜肿块鉴别诊断中考虑这一实体的重要性。
本文章由计算机程序翻译,如有差异,请以英文原文为准。

Cartilaginous Choristoma of the Oral Cavity: A Rare Presentation in the Nasopharynx.

Cartilaginous Choristoma of the Oral Cavity: A Rare Presentation in the Nasopharynx.

Cartilaginous Choristoma of the Oral Cavity: A Rare Presentation in the Nasopharynx.

Cartilaginous Choristoma of the Oral Cavity: A Rare Presentation in the Nasopharynx.

Objective: This case report describes a rare presentation of a cartilaginous choristoma of the oral cavity within the tonsillar fossa, emphasizing the importance of recognizing and differentiating this uncommon entity from more frequently encountered oral lesions. Methods: A comprehensive clinical and histopathological examination was conducted on a 30-year-old male patient who presented with a painless mass in the nasopharynx. An excisional biopsy was carried out, and a histopathological analysis was conducted to establish a definitive diagnosis. Results: Histopathological examination demonstrated a cartilaginous choristoma, characterized by the presence of mature hyaline cartilage surrounded by the connective tissue. The patient underwent surgical excision of the lesion, and follow-up assessments indicated a favorable postoperative outcome without recurrence. Conclusion: Cartilaginous choristomas in the oral cavity are exceedingly rare. Awareness of this entity is crucial for accurate diagnosis and appropriate management, as it can mimic other more common oral lesions. This case report contributes to the limited literature on oral cartilaginous choristomas and underscores the significance of considering this entity in the differential diagnosis of oral mucosal masses.

求助全文
通过发布文献求助,成功后即可免费获取论文全文。 去求助
来源期刊
Case Reports in Medicine
Case Reports in Medicine MEDICINE, GENERAL & INTERNAL-
CiteScore
1.70
自引率
0.00%
发文量
53
审稿时长
13 weeks
×
引用
GB/T 7714-2015
复制
MLA
复制
APA
复制
导出至
BibTeX EndNote RefMan NoteFirst NoteExpress
×
提示
您的信息不完整,为了账户安全,请先补充。
现在去补充
×
提示
您因"违规操作"
具体请查看互助需知
我知道了
×
提示
确定
请完成安全验证×
copy
已复制链接
快去分享给好友吧!
我知道了
右上角分享
点击右上角分享
0
联系我们:info@booksci.cn Book学术提供免费学术资源搜索服务,方便国内外学者检索中英文文献。致力于提供最便捷和优质的服务体验。 Copyright © 2023 布克学术 All rights reserved.
京ICP备2023020795号-1
ghs 京公网安备 11010802042870号
Book学术文献互助
Book学术文献互助群
群 号:604180095
Book学术官方微信