慢性心内膜炎患者行股冠状动脉造影后坏死性筋膜炎1例。

IF 0.6 Q4 CARDIAC & CARDIOVASCULAR SYSTEMS
Hosein Masoumi, Ehsan Shirvani, Fereshteh Sattar
{"title":"慢性心内膜炎患者行股冠状动脉造影后坏死性筋膜炎1例。","authors":"Hosein Masoumi, Ehsan Shirvani, Fereshteh Sattar","doi":"10.48305/arya.2024.42517.2944","DOIUrl":null,"url":null,"abstract":"<p><strong>Background: </strong>Necrotizing fasciitis is a life-threatening soft tissue infection characterized by rapid tissue necrosis, often leading to sepsis and multisystem organ failure. Necrotizing fasciitis can rarely occur as a post-procedural complication, particularly following cardiac catheterization or angiography. This case report presents the clinical presentation and management of a 64-year-old female with a history of chronic endocarditis and valvular involvement who developed necrotizing fasciitis after femoral coronary angiography.</p><p><strong>Case presentation: </strong>A 64-year-old female with a history of chronic endocarditis and valvular involvement underwent femoral coronary angiography as part of her cardiac evaluation. On the first postoperative day, the patient developed worsening pain, swelling, and redness in her right lower extremity, which worsened despite antibiotic therapy and pain management. The patient was diagnosed with necrotizing fasciitis. An emergent right lower extremity fasciotomy was performed to debride the necrotic tissue and release the tension caused by acute compartment syndrome.</p><p><strong>Conclusion: </strong>This case underscores the importance of maintaining a high index of suspicion for NF in patients with persistent soft tissue infection symptoms post-procedure. Early recognition, prompt diagnosis, and aggressive surgical intervention are crucial for the successful management of post-procedural NF following femoral coronary angiography. This report emphasizes the need for a multidisciplinary approach and vigilance in caring for patients to ensure optimal outcomes in such rare but severe complications.</p>","PeriodicalId":46477,"journal":{"name":"ARYA Atherosclerosis","volume":"20 5","pages":"1-5"},"PeriodicalIF":0.6000,"publicationDate":"2024-01-01","publicationTypes":"Journal Article","fieldsOfStudy":null,"isOpenAccess":false,"openAccessPdf":"https://www.ncbi.nlm.nih.gov/pmc/articles/PMC11663443/pdf/","citationCount":"0","resultStr":"{\"title\":\"Post-procedural necrotizing fasciitis following femoral coronary angiography in patient with chronic endocarditis: A case report.\",\"authors\":\"Hosein Masoumi, Ehsan Shirvani, Fereshteh Sattar\",\"doi\":\"10.48305/arya.2024.42517.2944\",\"DOIUrl\":null,\"url\":null,\"abstract\":\"<p><strong>Background: </strong>Necrotizing fasciitis is a life-threatening soft tissue infection characterized by rapid tissue necrosis, often leading to sepsis and multisystem organ failure. Necrotizing fasciitis can rarely occur as a post-procedural complication, particularly following cardiac catheterization or angiography. This case report presents the clinical presentation and management of a 64-year-old female with a history of chronic endocarditis and valvular involvement who developed necrotizing fasciitis after femoral coronary angiography.</p><p><strong>Case presentation: </strong>A 64-year-old female with a history of chronic endocarditis and valvular involvement underwent femoral coronary angiography as part of her cardiac evaluation. On the first postoperative day, the patient developed worsening pain, swelling, and redness in her right lower extremity, which worsened despite antibiotic therapy and pain management. The patient was diagnosed with necrotizing fasciitis. An emergent right lower extremity fasciotomy was performed to debride the necrotic tissue and release the tension caused by acute compartment syndrome.</p><p><strong>Conclusion: </strong>This case underscores the importance of maintaining a high index of suspicion for NF in patients with persistent soft tissue infection symptoms post-procedure. Early recognition, prompt diagnosis, and aggressive surgical intervention are crucial for the successful management of post-procedural NF following femoral coronary angiography. This report emphasizes the need for a multidisciplinary approach and vigilance in caring for patients to ensure optimal outcomes in such rare but severe complications.</p>\",\"PeriodicalId\":46477,\"journal\":{\"name\":\"ARYA Atherosclerosis\",\"volume\":\"20 5\",\"pages\":\"1-5\"},\"PeriodicalIF\":0.6000,\"publicationDate\":\"2024-01-01\",\"publicationTypes\":\"Journal Article\",\"fieldsOfStudy\":null,\"isOpenAccess\":false,\"openAccessPdf\":\"https://www.ncbi.nlm.nih.gov/pmc/articles/PMC11663443/pdf/\",\"citationCount\":\"0\",\"resultStr\":null,\"platform\":\"Semanticscholar\",\"paperid\":null,\"PeriodicalName\":\"ARYA Atherosclerosis\",\"FirstCategoryId\":\"1085\",\"ListUrlMain\":\"https://doi.org/10.48305/arya.2024.42517.2944\",\"RegionNum\":0,\"RegionCategory\":null,\"ArticlePicture\":[],\"TitleCN\":null,\"AbstractTextCN\":null,\"PMCID\":null,\"EPubDate\":\"\",\"PubModel\":\"\",\"JCR\":\"Q4\",\"JCRName\":\"CARDIAC & CARDIOVASCULAR SYSTEMS\",\"Score\":null,\"Total\":0}","platform":"Semanticscholar","paperid":null,"PeriodicalName":"ARYA Atherosclerosis","FirstCategoryId":"1085","ListUrlMain":"https://doi.org/10.48305/arya.2024.42517.2944","RegionNum":0,"RegionCategory":null,"ArticlePicture":[],"TitleCN":null,"AbstractTextCN":null,"PMCID":null,"EPubDate":"","PubModel":"","JCR":"Q4","JCRName":"CARDIAC & CARDIOVASCULAR SYSTEMS","Score":null,"Total":0}
引用次数: 0

摘要

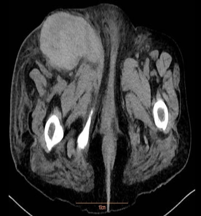
背景:坏死性筋膜炎是一种危及生命的软组织感染,其特征是组织快速坏死,常导致败血症和多系统器官衰竭。坏死性筋膜炎很少作为术后并发症发生,特别是在心导管插入术或血管造影后。本文报告一位64岁女性,有慢性心内膜炎及瓣膜受累病史,经股冠状动脉造影后出现坏死性筋膜炎。病例介绍:一名64岁女性,有慢性心内膜炎和瓣膜受累史,接受了股冠状动脉造影作为心脏评估的一部分。术后第一天,患者右下肢疼痛、肿胀和发红加剧,尽管进行了抗生素治疗和疼痛管理,情况仍进一步恶化。患者被诊断为坏死性筋膜炎。急诊右下肢筋膜切开术清除坏死组织,释放急性筋膜室综合征引起的张力。结论:本病例强调了对术后持续软组织感染症状的患者保持高度怀疑NF的重要性。早期识别、及时诊断和积极的手术干预是成功处理股冠状动脉造影术后NF的关键。本报告强调需要多学科的方法和警惕照顾患者,以确保在这种罕见但严重的并发症的最佳结果。
本文章由计算机程序翻译,如有差异,请以英文原文为准。

Post-procedural necrotizing fasciitis following femoral coronary angiography in patient with chronic endocarditis: A case report.

Post-procedural necrotizing fasciitis following femoral coronary angiography in patient with chronic endocarditis: A case report.

Post-procedural necrotizing fasciitis following femoral coronary angiography in patient with chronic endocarditis: A case report.

Background: Necrotizing fasciitis is a life-threatening soft tissue infection characterized by rapid tissue necrosis, often leading to sepsis and multisystem organ failure. Necrotizing fasciitis can rarely occur as a post-procedural complication, particularly following cardiac catheterization or angiography. This case report presents the clinical presentation and management of a 64-year-old female with a history of chronic endocarditis and valvular involvement who developed necrotizing fasciitis after femoral coronary angiography.

Case presentation: A 64-year-old female with a history of chronic endocarditis and valvular involvement underwent femoral coronary angiography as part of her cardiac evaluation. On the first postoperative day, the patient developed worsening pain, swelling, and redness in her right lower extremity, which worsened despite antibiotic therapy and pain management. The patient was diagnosed with necrotizing fasciitis. An emergent right lower extremity fasciotomy was performed to debride the necrotic tissue and release the tension caused by acute compartment syndrome.

Conclusion: This case underscores the importance of maintaining a high index of suspicion for NF in patients with persistent soft tissue infection symptoms post-procedure. Early recognition, prompt diagnosis, and aggressive surgical intervention are crucial for the successful management of post-procedural NF following femoral coronary angiography. This report emphasizes the need for a multidisciplinary approach and vigilance in caring for patients to ensure optimal outcomes in such rare but severe complications.

求助全文
通过发布文献求助,成功后即可免费获取论文全文。 去求助
来源期刊
ARYA Atherosclerosis
ARYA Atherosclerosis CARDIAC & CARDIOVASCULAR SYSTEMS-
CiteScore
1.00
自引率
0.00%
发文量
0
审稿时长
18 weeks
×
引用
GB/T 7714-2015
复制
MLA
复制
APA
复制
导出至
BibTeX EndNote RefMan NoteFirst NoteExpress
×
提示
您的信息不完整,为了账户安全,请先补充。
现在去补充
×
提示
您因"违规操作"
具体请查看互助需知
我知道了
×
提示
确定
请完成安全验证×
copy
已复制链接
快去分享给好友吧!
我知道了
右上角分享
点击右上角分享
0
联系我们:info@booksci.cn Book学术提供免费学术资源搜索服务,方便国内外学者检索中英文文献。致力于提供最便捷和优质的服务体验。 Copyright © 2023 布克学术 All rights reserved.
京ICP备2023020795号-1
ghs 京公网安备 11010802042870号
Book学术文献互助
Book学术文献互助群
群 号:604180095
Book学术官方微信