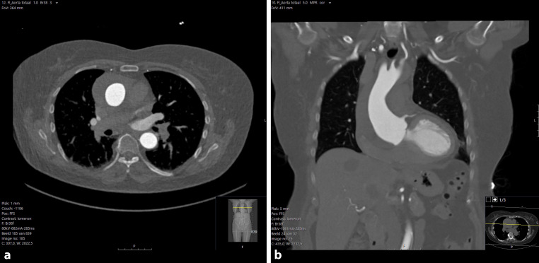
主动脉ct扫描后突然出现胸痛。

IF 2 4区 医学 Q3 CARDIAC & CARDIOVASCULAR SYSTEMS
Netherlands Heart Journal Pub Date : 2025-03-01 Epub Date: 2024-12-23 DOI:10.1007/s12471-024-01914-3
Fabienne E Vervaat, Thomas van Brakel, Sjoerd Bouwmeester
{"title":"主动脉ct扫描后突然出现胸痛。","authors":"Fabienne E Vervaat, Thomas van Brakel, Sjoerd Bouwmeester","doi":"10.1007/s12471-024-01914-3","DOIUrl":null,"url":null,"abstract":"","PeriodicalId":18952,"journal":{"name":"Netherlands Heart Journal","volume":" ","pages":"107-108"},"PeriodicalIF":2.0000,"publicationDate":"2025-03-01","publicationTypes":"Journal Article","fieldsOfStudy":null,"isOpenAccess":false,"openAccessPdf":"https://www.ncbi.nlm.nih.gov/pmc/articles/PMC11845642/pdf/","citationCount":"0","resultStr":"{\"title\":\"Sudden onset chest pain after a CT-scan of the aorta.\",\"authors\":\"Fabienne E Vervaat, Thomas van Brakel, Sjoerd Bouwmeester\",\"doi\":\"10.1007/s12471-024-01914-3\",\"DOIUrl\":null,\"url\":null,\"abstract\":\"\",\"PeriodicalId\":18952,\"journal\":{\"name\":\"Netherlands Heart Journal\",\"volume\":\" \",\"pages\":\"107-108\"},\"PeriodicalIF\":2.0000,\"publicationDate\":\"2025-03-01\",\"publicationTypes\":\"Journal Article\",\"fieldsOfStudy\":null,\"isOpenAccess\":false,\"openAccessPdf\":\"https://www.ncbi.nlm.nih.gov/pmc/articles/PMC11845642/pdf/\",\"citationCount\":\"0\",\"resultStr\":null,\"platform\":\"Semanticscholar\",\"paperid\":null,\"PeriodicalName\":\"Netherlands Heart Journal\",\"FirstCategoryId\":\"3\",\"ListUrlMain\":\"https://doi.org/10.1007/s12471-024-01914-3\",\"RegionNum\":4,\"RegionCategory\":\"医学\",\"ArticlePicture\":[],\"TitleCN\":null,\"AbstractTextCN\":null,\"PMCID\":null,\"EPubDate\":\"2024/12/23 0:00:00\",\"PubModel\":\"Epub\",\"JCR\":\"Q3\",\"JCRName\":\"CARDIAC & CARDIOVASCULAR SYSTEMS\",\"Score\":null,\"Total\":0}","platform":"Semanticscholar","paperid":null,"PeriodicalName":"Netherlands Heart Journal","FirstCategoryId":"3","ListUrlMain":"https://doi.org/10.1007/s12471-024-01914-3","RegionNum":4,"RegionCategory":"医学","ArticlePicture":[],"TitleCN":null,"AbstractTextCN":null,"PMCID":null,"EPubDate":"2024/12/23 0:00:00","PubModel":"Epub","JCR":"Q3","JCRName":"CARDIAC & CARDIOVASCULAR SYSTEMS","Score":null,"Total":0}
引用次数: 0

摘要

本文章由计算机程序翻译,如有差异,请以英文原文为准。

Sudden onset chest pain after a CT-scan of the aorta.

Sudden onset chest pain after a CT-scan of the aorta.
求助全文
通过发布文献求助,成功后即可免费获取论文全文。 去求助
来源期刊
Netherlands Heart Journal
Netherlands Heart Journal CARDIAC & CARDIOVASCULAR SYSTEMS-
CiteScore
4.70
自引率
5.00%
发文量
84
审稿时长
6-12 weeks
期刊介绍: The scope of the Netherlands Heart Journal is to contribute to the national and international literature by publishing scientific papers in the field of cardiovascular medicine. It also provides a platform for Continuing Medical Education for cardiologists and those in training for the speciality of cardiology in the Netherlands. The Netherlands Heart Journal is made available to cardiologists, cardiologists in training, cardiopulmonary surgeons, cardiopulmonary surgeons in training, internists and paediatric cardiologists. The journal is the official journal of the Netherlands Society of Cardiology.
×
引用
GB/T 7714-2015
复制
MLA
复制
APA
复制
导出至
BibTeX EndNote RefMan NoteFirst NoteExpress
×
提示
您的信息不完整,为了账户安全,请先补充。
现在去补充
×
提示
您因"违规操作"
具体请查看互助需知
我知道了
×
提示
确定
请完成安全验证×
copy
已复制链接
快去分享给好友吧!
我知道了
右上角分享
点击右上角分享
0
联系我们:info@booksci.cn Book学术提供免费学术资源搜索服务,方便国内外学者检索中英文文献。致力于提供最便捷和优质的服务体验。 Copyright © 2023 布克学术 All rights reserved.
京ICP备2023020795号-1
ghs 京公网安备 11010802042870号
Book学术文献互助
Book学术文献互助群
群 号:604180095
Book学术官方微信