p53、Ki-67联合周期性酸-希夫染色对早期食管鳞癌活检标本的诊断价值。

IF 3.8 4区 医学 Q3 GASTROENTEROLOGY & HEPATOLOGY
Esophagus Pub Date : 2025-04-01 Epub Date: 2024-12-23 DOI:10.1007/s10388-024-01102-7
Feifei Liu, Hongying Zhao, Xue Li
{"title":"p53、Ki-67联合周期性酸-希夫染色对早期食管鳞癌活检标本的诊断价值。","authors":"Feifei Liu, Hongying Zhao, Xue Li","doi":"10.1007/s10388-024-01102-7","DOIUrl":null,"url":null,"abstract":"<p><strong>Background: </strong>Esophageal cancer is highly prevalent in China, predominantly represented by squamous cell carcinoma. This retrospective study sought to evaluate the diagnostic efficacy of four staining protocols in identifying early stage esophageal squamous cell carcinoma (ESCC).</p><p><strong>Methods: </strong>A consecutive series of ninety biopsy samples of esophageal mucosa, collected retrospectively from March 2016 to December 2019, were obtained at Beijing Chao-Yang Hospital, a tertiary care facility in Beijing, China. These samples were categorized into four groups: non-neoplastic squamous lesions (Non-NSL), low-grade dysplasia (LGD), high-grade dysplasia (HGD), and early stage ESCC. Baseline, molecular analyses (p53 by immunohistochemistry and Ki-67 by immunohistochemistry), and staining analyses (hematoxylin & eosin (HE) and periodic acid-Schiff (PAS) were conducted across the categories. The staining protocols included HE, HE + p53 + Ki-67, HE + p53 + Ki-67 + PAS, and HE + p53/PAS + Ki-67/PAS.</p><p><strong>Results: </strong>Patients with HGD and ESCC were significantly older and had larger lesions. Elevated p53 and Ki-67 mutation rates were observed in HGD and ESCC, while increased PAS positivity was noted in RE and LGD. The p53, Ki-67, and PAS staining results showed mostly no correlation among the four groups. Abnormal Ki-67 basal layer distribution pattern correlated with histological grades, with higher proportions in HGD and ESCC. HE + p53 + Ki-67 + PAS and HE + p53/PAS + Ki-67/PAS demonstrated complete consistency with the reference standard, with weighted κ values of 1. HE + p53 + Ki-67 + PAS and HE + p53/PAS + Ki-67/PAS protocols exhibited 100% accuracy, sensitivity, and specificity for diagnosing ESCC or ESCC combined with HGD, outperforming the other protocols.</p><p><strong>Conclusions: </strong>Incorporating specific staining protocols, particularly HE + p53 + Ki-67 + PAS and HE + p53/PAS + Ki-67/PAS, enhances the diagnostic accuracy for early stage ESCC, showing promise in advancing the pathology diagnostic pathway.</p>","PeriodicalId":11918,"journal":{"name":"Esophagus","volume":" ","pages":"228-238"},"PeriodicalIF":3.8000,"publicationDate":"2025-04-01","publicationTypes":"Journal Article","fieldsOfStudy":null,"isOpenAccess":false,"openAccessPdf":"https://www.ncbi.nlm.nih.gov/pmc/articles/PMC11929734/pdf/","citationCount":"0","resultStr":"{\"title\":\"p53 and Ki-67 combined with periodic acid-Schiff staining for the diagnosis of early stage esophageal squamous cell carcinoma lesions in biopsy specimens.\",\"authors\":\"Feifei Liu, Hongying Zhao, Xue Li\",\"doi\":\"10.1007/s10388-024-01102-7\",\"DOIUrl\":null,\"url\":null,\"abstract\":\"<p><strong>Background: </strong>Esophageal cancer is highly prevalent in China, predominantly represented by squamous cell carcinoma. This retrospective study sought to evaluate the diagnostic efficacy of four staining protocols in identifying early stage esophageal squamous cell carcinoma (ESCC).</p><p><strong>Methods: </strong>A consecutive series of ninety biopsy samples of esophageal mucosa, collected retrospectively from March 2016 to December 2019, were obtained at Beijing Chao-Yang Hospital, a tertiary care facility in Beijing, China. These samples were categorized into four groups: non-neoplastic squamous lesions (Non-NSL), low-grade dysplasia (LGD), high-grade dysplasia (HGD), and early stage ESCC. Baseline, molecular analyses (p53 by immunohistochemistry and Ki-67 by immunohistochemistry), and staining analyses (hematoxylin & eosin (HE) and periodic acid-Schiff (PAS) were conducted across the categories. The staining protocols included HE, HE + p53 + Ki-67, HE + p53 + Ki-67 + PAS, and HE + p53/PAS + Ki-67/PAS.</p><p><strong>Results: </strong>Patients with HGD and ESCC were significantly older and had larger lesions. Elevated p53 and Ki-67 mutation rates were observed in HGD and ESCC, while increased PAS positivity was noted in RE and LGD. The p53, Ki-67, and PAS staining results showed mostly no correlation among the four groups. Abnormal Ki-67 basal layer distribution pattern correlated with histological grades, with higher proportions in HGD and ESCC. HE + p53 + Ki-67 + PAS and HE + p53/PAS + Ki-67/PAS demonstrated complete consistency with the reference standard, with weighted κ values of 1. HE + p53 + Ki-67 + PAS and HE + p53/PAS + Ki-67/PAS protocols exhibited 100% accuracy, sensitivity, and specificity for diagnosing ESCC or ESCC combined with HGD, outperforming the other protocols.</p><p><strong>Conclusions: </strong>Incorporating specific staining protocols, particularly HE + p53 + Ki-67 + PAS and HE + p53/PAS + Ki-67/PAS, enhances the diagnostic accuracy for early stage ESCC, showing promise in advancing the pathology diagnostic pathway.</p>\",\"PeriodicalId\":11918,\"journal\":{\"name\":\"Esophagus\",\"volume\":\" \",\"pages\":\"228-238\"},\"PeriodicalIF\":3.8000,\"publicationDate\":\"2025-04-01\",\"publicationTypes\":\"Journal Article\",\"fieldsOfStudy\":null,\"isOpenAccess\":false,\"openAccessPdf\":\"https://www.ncbi.nlm.nih.gov/pmc/articles/PMC11929734/pdf/\",\"citationCount\":\"0\",\"resultStr\":null,\"platform\":\"Semanticscholar\",\"paperid\":null,\"PeriodicalName\":\"Esophagus\",\"FirstCategoryId\":\"3\",\"ListUrlMain\":\"https://doi.org/10.1007/s10388-024-01102-7\",\"RegionNum\":4,\"RegionCategory\":\"医学\",\"ArticlePicture\":[],\"TitleCN\":null,\"AbstractTextCN\":null,\"PMCID\":null,\"EPubDate\":\"2024/12/23 0:00:00\",\"PubModel\":\"Epub\",\"JCR\":\"Q3\",\"JCRName\":\"GASTROENTEROLOGY & HEPATOLOGY\",\"Score\":null,\"Total\":0}","platform":"Semanticscholar","paperid":null,"PeriodicalName":"Esophagus","FirstCategoryId":"3","ListUrlMain":"https://doi.org/10.1007/s10388-024-01102-7","RegionNum":4,"RegionCategory":"医学","ArticlePicture":[],"TitleCN":null,"AbstractTextCN":null,"PMCID":null,"EPubDate":"2024/12/23 0:00:00","PubModel":"Epub","JCR":"Q3","JCRName":"GASTROENTEROLOGY & HEPATOLOGY","Score":null,"Total":0}
引用次数: 0

摘要

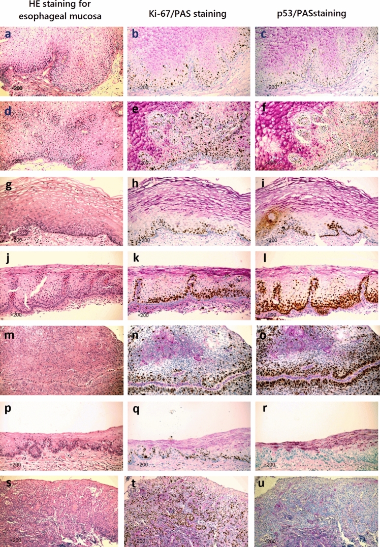
背景:食管癌在中国非常普遍,主要以鳞状细胞癌为代表。本回顾性研究旨在评估四种染色方法对早期食管鳞状细胞癌(ESCC)的诊断效果。方法:回顾性收集2016年3月至2019年12月在中国北京三级医疗机构北京朝阳医院连续收集的90份食管粘膜活检样本。这些样本被分为四组:非肿瘤性鳞状病变(Non-NSL)、低级别发育不良(LGD)、高级别发育不良(HGD)和早期ESCC。基线,分子分析(免疫组织化学p53和免疫组织化学Ki-67)和染色分析(苏木精&伊红(HE)和周期性酸-希夫(PAS))进行了跨类别。染色方案包括HE、HE + p53 + Ki-67、HE + p53 + Ki-67 + PAS、HE + p53/PAS + Ki-67/PAS。结果:HGD和ESCC患者年龄较大,病变较大。HGD和ESCC中p53和Ki-67突变率升高,RE和LGD中PAS阳性升高。四组间p53、Ki-67、PAS染色结果基本无相关性。Ki-67基底层异常分布模式与组织学分级相关,在HGD和ESCC中比例较高。HE + p53 + Ki-67 + PAS和HE + p53/PAS + Ki-67/PAS与参考标准完全一致,加权κ值均为1。HE + p53 + Ki-67 + PAS和HE + p53/PAS + Ki-67/PAS诊断ESCC或ESCC合并HGD的准确率、灵敏度和特异性均为100%,优于其他方案。结论:结合特定的染色方案,特别是HE + p53 + Ki-67 + PAS和HE + p53/PAS + Ki-67/PAS,可以提高早期ESCC的诊断准确性,有望推进病理诊断途径。
本文章由计算机程序翻译,如有差异,请以英文原文为准。

p53 and Ki-67 combined with periodic acid-Schiff staining for the diagnosis of early stage esophageal squamous cell carcinoma lesions in biopsy specimens.

p53 and Ki-67 combined with periodic acid-Schiff staining for the diagnosis of early stage esophageal squamous cell carcinoma lesions in biopsy specimens.

p53 and Ki-67 combined with periodic acid-Schiff staining for the diagnosis of early stage esophageal squamous cell carcinoma lesions in biopsy specimens.

p53 and Ki-67 combined with periodic acid-Schiff staining for the diagnosis of early stage esophageal squamous cell carcinoma lesions in biopsy specimens.

Background: Esophageal cancer is highly prevalent in China, predominantly represented by squamous cell carcinoma. This retrospective study sought to evaluate the diagnostic efficacy of four staining protocols in identifying early stage esophageal squamous cell carcinoma (ESCC).

Methods: A consecutive series of ninety biopsy samples of esophageal mucosa, collected retrospectively from March 2016 to December 2019, were obtained at Beijing Chao-Yang Hospital, a tertiary care facility in Beijing, China. These samples were categorized into four groups: non-neoplastic squamous lesions (Non-NSL), low-grade dysplasia (LGD), high-grade dysplasia (HGD), and early stage ESCC. Baseline, molecular analyses (p53 by immunohistochemistry and Ki-67 by immunohistochemistry), and staining analyses (hematoxylin & eosin (HE) and periodic acid-Schiff (PAS) were conducted across the categories. The staining protocols included HE, HE + p53 + Ki-67, HE + p53 + Ki-67 + PAS, and HE + p53/PAS + Ki-67/PAS.

Results: Patients with HGD and ESCC were significantly older and had larger lesions. Elevated p53 and Ki-67 mutation rates were observed in HGD and ESCC, while increased PAS positivity was noted in RE and LGD. The p53, Ki-67, and PAS staining results showed mostly no correlation among the four groups. Abnormal Ki-67 basal layer distribution pattern correlated with histological grades, with higher proportions in HGD and ESCC. HE + p53 + Ki-67 + PAS and HE + p53/PAS + Ki-67/PAS demonstrated complete consistency with the reference standard, with weighted κ values of 1. HE + p53 + Ki-67 + PAS and HE + p53/PAS + Ki-67/PAS protocols exhibited 100% accuracy, sensitivity, and specificity for diagnosing ESCC or ESCC combined with HGD, outperforming the other protocols.

Conclusions: Incorporating specific staining protocols, particularly HE + p53 + Ki-67 + PAS and HE + p53/PAS + Ki-67/PAS, enhances the diagnostic accuracy for early stage ESCC, showing promise in advancing the pathology diagnostic pathway.

求助全文
通过发布文献求助,成功后即可免费获取论文全文。 去求助
来源期刊
Esophagus
Esophagus GASTROENTEROLOGY & HEPATOLOGY-
CiteScore
4.90
自引率
8.30%
发文量
78
审稿时长
>12 weeks
期刊介绍: Esophagus, the official journal of the Japan Esophageal Society, introduces practitioners and researchers to significant studies in the fields of benign and malignant diseases of the esophagus. The journal welcomes original articles, review articles, and short articles including technical notes ( How I do it ), which will be peer-reviewed by the editorial board. Letters to the editor are also welcome. Special articles on esophageal diseases will be provided by the editorial board, and proceedings of symposia and workshops will be included in special issues for the Annual Congress of the Society.
×
引用
GB/T 7714-2015
复制
MLA
复制
APA
复制
导出至
BibTeX EndNote RefMan NoteFirst NoteExpress
×
提示
您的信息不完整,为了账户安全,请先补充。
现在去补充
×
提示
您因"违规操作"
具体请查看互助需知
我知道了
×
提示
确定
请完成安全验证×
copy
已复制链接
快去分享给好友吧!
我知道了
右上角分享
点击右上角分享
0
联系我们:info@booksci.cn Book学术提供免费学术资源搜索服务,方便国内外学者检索中英文文献。致力于提供最便捷和优质的服务体验。 Copyright © 2023 布克学术 All rights reserved.
京ICP备2023020795号-1
ghs 京公网安备 11010802042870号
Book学术文献互助
Book学术文献互助群
群 号:604180095
Book学术官方微信