妊娠性睡眠:一例报告。

IF 0.6 Q3 MEDICINE, GENERAL & INTERNAL
Clinical Medicine Insights. Case Reports Pub Date : 2024-12-18 eCollection Date: 2024-01-01 DOI:10.1177/11795476241302563
Sedigheh Borna, Zeynab Zamanpour, Safoura Shakoei, Maryam Aliasgharpoor, Zahra Hamidi Madani
{"title":"妊娠性睡眠:一例报告。","authors":"Sedigheh Borna, Zeynab Zamanpour, Safoura Shakoei, Maryam Aliasgharpoor, Zahra Hamidi Madani","doi":"10.1177/11795476241302563","DOIUrl":null,"url":null,"abstract":"<p><strong>Background: </strong>Morphea is a skin condition marked by erythematous and hardened inflammatory lesions that can progress to atrophic and sclerotic plaques. In this case report, we present a case of a pregnant woman who showed morphea presentation.</p><p><strong>Case presentation: </strong>A 37-year-old G<sub>2</sub>P<sub>1</sub>L<sub>1</sub> woman with a gestational age of 32 weeks and 2 days was referred to the hospital with complaints of swelling, pain, and erythema in both legs for the past week, without any obstetric complaints. Upon initial examination at the time of admission, swelling, erythema, warmth in both legs, ecchymotic lesions, and non-pitting edema were observed. Biometry and color Doppler ultrasound for evaluation of fetus growth was normal. Skin examination revealed mild erythema, warmth, and purpura and petechiae in some areas, with an orange peel appearance and firm texture on palpation. Leg lesion skin punch biopsy reported a sclerodermoid reaction pattern and findings more compatible with morphea. The patient was managed for morphea during pregnancy. However, at 38 weeks and 6 days of gestation, due to worsening symptoms and spreading stiffness to the groin area, and the need for initiating pulse corticosteroids and mycophenolate mofetil (CellCept), the patient was re-admitted for cesarean section. In the follow-up assessment, ultrasound findings were normal, IGRA, HIV antibody, HCV antibody, HBC antigen, and HBS antigen were negative, and no edema or inflammation was seen in the patient.</p><p><strong>Conclusions: </strong>In conclusion, although our patient recovered without specific treatment, predicting the recurrence or worsening of morphea in future pregnancies is challenging.</p>","PeriodicalId":10357,"journal":{"name":"Clinical Medicine Insights. Case Reports","volume":"17 ","pages":"11795476241302563"},"PeriodicalIF":0.6000,"publicationDate":"2024-12-18","publicationTypes":"Journal Article","fieldsOfStudy":null,"isOpenAccess":false,"openAccessPdf":"https://www.ncbi.nlm.nih.gov/pmc/articles/PMC11656421/pdf/","citationCount":"0","resultStr":"{\"title\":\"Pregnancy-Related Morphea: A Case Report.\",\"authors\":\"Sedigheh Borna, Zeynab Zamanpour, Safoura Shakoei, Maryam Aliasgharpoor, Zahra Hamidi Madani\",\"doi\":\"10.1177/11795476241302563\",\"DOIUrl\":null,\"url\":null,\"abstract\":\"<p><strong>Background: </strong>Morphea is a skin condition marked by erythematous and hardened inflammatory lesions that can progress to atrophic and sclerotic plaques. In this case report, we present a case of a pregnant woman who showed morphea presentation.</p><p><strong>Case presentation: </strong>A 37-year-old G<sub>2</sub>P<sub>1</sub>L<sub>1</sub> woman with a gestational age of 32 weeks and 2 days was referred to the hospital with complaints of swelling, pain, and erythema in both legs for the past week, without any obstetric complaints. Upon initial examination at the time of admission, swelling, erythema, warmth in both legs, ecchymotic lesions, and non-pitting edema were observed. Biometry and color Doppler ultrasound for evaluation of fetus growth was normal. Skin examination revealed mild erythema, warmth, and purpura and petechiae in some areas, with an orange peel appearance and firm texture on palpation. Leg lesion skin punch biopsy reported a sclerodermoid reaction pattern and findings more compatible with morphea. The patient was managed for morphea during pregnancy. However, at 38 weeks and 6 days of gestation, due to worsening symptoms and spreading stiffness to the groin area, and the need for initiating pulse corticosteroids and mycophenolate mofetil (CellCept), the patient was re-admitted for cesarean section. In the follow-up assessment, ultrasound findings were normal, IGRA, HIV antibody, HCV antibody, HBC antigen, and HBS antigen were negative, and no edema or inflammation was seen in the patient.</p><p><strong>Conclusions: </strong>In conclusion, although our patient recovered without specific treatment, predicting the recurrence or worsening of morphea in future pregnancies is challenging.</p>\",\"PeriodicalId\":10357,\"journal\":{\"name\":\"Clinical Medicine Insights. Case Reports\",\"volume\":\"17 \",\"pages\":\"11795476241302563\"},\"PeriodicalIF\":0.6000,\"publicationDate\":\"2024-12-18\",\"publicationTypes\":\"Journal Article\",\"fieldsOfStudy\":null,\"isOpenAccess\":false,\"openAccessPdf\":\"https://www.ncbi.nlm.nih.gov/pmc/articles/PMC11656421/pdf/\",\"citationCount\":\"0\",\"resultStr\":null,\"platform\":\"Semanticscholar\",\"paperid\":null,\"PeriodicalName\":\"Clinical Medicine Insights. Case Reports\",\"FirstCategoryId\":\"1085\",\"ListUrlMain\":\"https://doi.org/10.1177/11795476241302563\",\"RegionNum\":0,\"RegionCategory\":null,\"ArticlePicture\":[],\"TitleCN\":null,\"AbstractTextCN\":null,\"PMCID\":null,\"EPubDate\":\"2024/1/1 0:00:00\",\"PubModel\":\"eCollection\",\"JCR\":\"Q3\",\"JCRName\":\"MEDICINE, GENERAL & INTERNAL\",\"Score\":null,\"Total\":0}","platform":"Semanticscholar","paperid":null,"PeriodicalName":"Clinical Medicine Insights. Case Reports","FirstCategoryId":"1085","ListUrlMain":"https://doi.org/10.1177/11795476241302563","RegionNum":0,"RegionCategory":null,"ArticlePicture":[],"TitleCN":null,"AbstractTextCN":null,"PMCID":null,"EPubDate":"2024/1/1 0:00:00","PubModel":"eCollection","JCR":"Q3","JCRName":"MEDICINE, GENERAL & INTERNAL","Score":null,"Total":0}
引用次数: 0

摘要

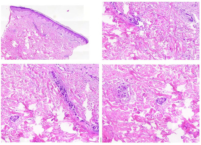
背景:Morphea是一种以红斑和硬化炎性病变为特征的皮肤病,可发展为萎缩性和硬化斑块。在这个病例报告中,我们提出一个孕妇谁表现出睡眠不足的情况下。病例介绍:37岁G2P1L1女性,孕龄32周零2天,因过去一周双腿肿胀、疼痛和红斑而转诊至医院,无任何产科主诉。在入院时的初步检查中,观察到肿胀,红斑,双腿发热,淤血病变和非点状水肿。生物测量和彩色多普勒超声检查胎儿生长正常。皮肤检查显示轻度红斑,发热,部分部位紫癜和斑点,触诊呈橘皮样,质地坚硬。腿部病变皮肤穿刺活检报告硬皮样反应模式和结果更符合吗啡。患者在怀孕期间被管理为吗啡。然而,在妊娠38周6天,由于症状恶化和腹股沟区僵硬扩散,需要启动脉冲皮质类固醇和霉酚酸酯(CellCept),患者再次入院剖宫产。在随访评估中,超声检查结果正常,IGRA、HIV抗体、HCV抗体、HBC抗原、HBS抗原均阴性,患者未见水肿、炎症。结论:虽然我们的患者在没有特殊治疗的情况下恢复了,但是预测未来妊娠中吗啡的复发或恶化是具有挑战性的。
本文章由计算机程序翻译,如有差异,请以英文原文为准。

Pregnancy-Related Morphea: A Case Report.

Pregnancy-Related Morphea: A Case Report.

Pregnancy-Related Morphea: A Case Report.

Pregnancy-Related Morphea: A Case Report.

Background: Morphea is a skin condition marked by erythematous and hardened inflammatory lesions that can progress to atrophic and sclerotic plaques. In this case report, we present a case of a pregnant woman who showed morphea presentation.

Case presentation: A 37-year-old G2P1L1 woman with a gestational age of 32 weeks and 2 days was referred to the hospital with complaints of swelling, pain, and erythema in both legs for the past week, without any obstetric complaints. Upon initial examination at the time of admission, swelling, erythema, warmth in both legs, ecchymotic lesions, and non-pitting edema were observed. Biometry and color Doppler ultrasound for evaluation of fetus growth was normal. Skin examination revealed mild erythema, warmth, and purpura and petechiae in some areas, with an orange peel appearance and firm texture on palpation. Leg lesion skin punch biopsy reported a sclerodermoid reaction pattern and findings more compatible with morphea. The patient was managed for morphea during pregnancy. However, at 38 weeks and 6 days of gestation, due to worsening symptoms and spreading stiffness to the groin area, and the need for initiating pulse corticosteroids and mycophenolate mofetil (CellCept), the patient was re-admitted for cesarean section. In the follow-up assessment, ultrasound findings were normal, IGRA, HIV antibody, HCV antibody, HBC antigen, and HBS antigen were negative, and no edema or inflammation was seen in the patient.

Conclusions: In conclusion, although our patient recovered without specific treatment, predicting the recurrence or worsening of morphea in future pregnancies is challenging.

求助全文
通过发布文献求助,成功后即可免费获取论文全文。 去求助
来源期刊
Clinical Medicine Insights. Case Reports
Clinical Medicine Insights. Case Reports MEDICINE, GENERAL & INTERNAL-
CiteScore
1.10
自引率
0.00%
发文量
57
审稿时长
8 weeks
×
引用
GB/T 7714-2015
复制
MLA
复制
APA
复制
导出至
BibTeX EndNote RefMan NoteFirst NoteExpress
×
提示
您的信息不完整,为了账户安全,请先补充。
现在去补充
×
提示
您因"违规操作"
具体请查看互助需知
我知道了
×
提示
确定
请完成安全验证×
copy
已复制链接
快去分享给好友吧!
我知道了
右上角分享
点击右上角分享
0
联系我们:info@booksci.cn Book学术提供免费学术资源搜索服务,方便国内外学者检索中英文文献。致力于提供最便捷和优质的服务体验。 Copyright © 2023 布克学术 All rights reserved.
京ICP备2023020795号-1
ghs 京公网安备 11010802042870号
Book学术文献互助
Book学术文献互助群
群 号:604180095
Book学术官方微信