血管内支架治疗孤立性肾下腹主动脉夹层狭窄1例。

IF 1 Q4 RADIOLOGY, NUCLEAR MEDICINE & MEDICAL IMAGING
Acta radiologica open Pub Date : 2024-12-16 eCollection Date: 2024-12-01 DOI:10.1177/20584601241309006
Kengo Ohta, Risa Arahata, Junji Horiba, Hitomi Kaneko, Kurando Kondo
{"title":"血管内支架治疗孤立性肾下腹主动脉夹层狭窄1例。","authors":"Kengo Ohta, Risa Arahata, Junji Horiba, Hitomi Kaneko, Kurando Kondo","doi":"10.1177/20584601241309006","DOIUrl":null,"url":null,"abstract":"<p><p>We report a case of complicated isolated infrarenal abdominal aortic dissection (IAAD) that was treated with stent graft. A 79-year-old man presented with acute bilateral lower limb pain. A contrast-enhanced CT performed 2 h later revealed sever stenosis of infrarenal abdominal aorta due to IAAD. Angiography identified a primary tear just below the upper end of the IAAD. A smaller stent graft was placed distally to avoid stent graft-induced new entry, and a large stent graft was placed proximally to cover the primary entry. The stenosis improved immediately after the procedure, and pain relief was achieved. Stent graft placement for entry closure appeared to be an effective for IAAD.</p>","PeriodicalId":72063,"journal":{"name":"Acta radiologica open","volume":"13 12","pages":"20584601241309006"},"PeriodicalIF":1.0000,"publicationDate":"2024-12-16","publicationTypes":"Journal Article","fieldsOfStudy":null,"isOpenAccess":false,"openAccessPdf":"https://www.ncbi.nlm.nih.gov/pmc/articles/PMC11650475/pdf/","citationCount":"0","resultStr":"{\"title\":\"Endovascular stent graft treatment for stenosis in isolated infrarenal abdominal aortic dissection: A case report.\",\"authors\":\"Kengo Ohta, Risa Arahata, Junji Horiba, Hitomi Kaneko, Kurando Kondo\",\"doi\":\"10.1177/20584601241309006\",\"DOIUrl\":null,\"url\":null,\"abstract\":\"<p><p>We report a case of complicated isolated infrarenal abdominal aortic dissection (IAAD) that was treated with stent graft. A 79-year-old man presented with acute bilateral lower limb pain. A contrast-enhanced CT performed 2 h later revealed sever stenosis of infrarenal abdominal aorta due to IAAD. Angiography identified a primary tear just below the upper end of the IAAD. A smaller stent graft was placed distally to avoid stent graft-induced new entry, and a large stent graft was placed proximally to cover the primary entry. The stenosis improved immediately after the procedure, and pain relief was achieved. Stent graft placement for entry closure appeared to be an effective for IAAD.</p>\",\"PeriodicalId\":72063,\"journal\":{\"name\":\"Acta radiologica open\",\"volume\":\"13 12\",\"pages\":\"20584601241309006\"},\"PeriodicalIF\":1.0000,\"publicationDate\":\"2024-12-16\",\"publicationTypes\":\"Journal Article\",\"fieldsOfStudy\":null,\"isOpenAccess\":false,\"openAccessPdf\":\"https://www.ncbi.nlm.nih.gov/pmc/articles/PMC11650475/pdf/\",\"citationCount\":\"0\",\"resultStr\":null,\"platform\":\"Semanticscholar\",\"paperid\":null,\"PeriodicalName\":\"Acta radiologica open\",\"FirstCategoryId\":\"1085\",\"ListUrlMain\":\"https://doi.org/10.1177/20584601241309006\",\"RegionNum\":0,\"RegionCategory\":null,\"ArticlePicture\":[],\"TitleCN\":null,\"AbstractTextCN\":null,\"PMCID\":null,\"EPubDate\":\"2024/12/1 0:00:00\",\"PubModel\":\"eCollection\",\"JCR\":\"Q4\",\"JCRName\":\"RADIOLOGY, NUCLEAR MEDICINE & MEDICAL IMAGING\",\"Score\":null,\"Total\":0}","platform":"Semanticscholar","paperid":null,"PeriodicalName":"Acta radiologica open","FirstCategoryId":"1085","ListUrlMain":"https://doi.org/10.1177/20584601241309006","RegionNum":0,"RegionCategory":null,"ArticlePicture":[],"TitleCN":null,"AbstractTextCN":null,"PMCID":null,"EPubDate":"2024/12/1 0:00:00","PubModel":"eCollection","JCR":"Q4","JCRName":"RADIOLOGY, NUCLEAR MEDICINE & MEDICAL IMAGING","Score":null,"Total":0}
引用次数: 0

摘要

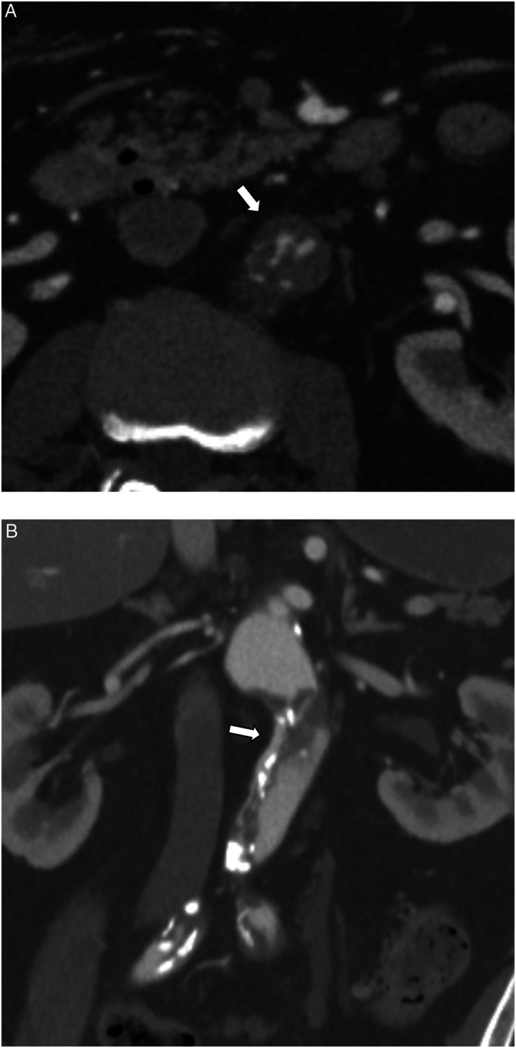
我们报告一例复杂的孤立性肾下腹主动脉夹层(IAAD)用支架移植治疗。一名79岁男性,表现为急性双侧下肢疼痛。2小时后行CT增强检查,发现IAAD所致严重的腹下主动脉狭窄。血管造影发现在IAAD上端下方有原发性撕裂。在远端放置一个较小的支架以避免支架诱导的新进入,在近端放置一个较大的支架以覆盖原进入。手术后狭窄立即改善,疼痛得到缓解。对于IAAD来说,放置支架关闭入口似乎是一种有效的方法。
本文章由计算机程序翻译,如有差异,请以英文原文为准。

Endovascular stent graft treatment for stenosis in isolated infrarenal abdominal aortic dissection: A case report.

Endovascular stent graft treatment for stenosis in isolated infrarenal abdominal aortic dissection: A case report.

Endovascular stent graft treatment for stenosis in isolated infrarenal abdominal aortic dissection: A case report.

We report a case of complicated isolated infrarenal abdominal aortic dissection (IAAD) that was treated with stent graft. A 79-year-old man presented with acute bilateral lower limb pain. A contrast-enhanced CT performed 2 h later revealed sever stenosis of infrarenal abdominal aorta due to IAAD. Angiography identified a primary tear just below the upper end of the IAAD. A smaller stent graft was placed distally to avoid stent graft-induced new entry, and a large stent graft was placed proximally to cover the primary entry. The stenosis improved immediately after the procedure, and pain relief was achieved. Stent graft placement for entry closure appeared to be an effective for IAAD.

求助全文
通过发布文献求助,成功后即可免费获取论文全文。 去求助
来源期刊
自引率
0.00%
发文量
0
审稿时长
12 weeks
×
引用
GB/T 7714-2015
复制
MLA
复制
APA
复制
导出至
BibTeX EndNote RefMan NoteFirst NoteExpress
×
提示
您的信息不完整,为了账户安全,请先补充。
现在去补充
×
提示
您因"违规操作"
具体请查看互助需知
我知道了
×
提示
确定
请完成安全验证×
copy
已复制链接
快去分享给好友吧!
我知道了
右上角分享
点击右上角分享
0
联系我们:info@booksci.cn Book学术提供免费学术资源搜索服务,方便国内外学者检索中英文文献。致力于提供最便捷和优质的服务体验。 Copyright © 2023 布克学术 All rights reserved.
京ICP备2023020795号-1
ghs 京公网安备 11010802042870号
Book学术文献互助
Book学术文献互助群
群 号:604180095
Book学术官方微信