使用肢体重建系统进行桡骨骨延长--成功治疗桡骨短缩:病例报告

IF 0.6 Q4 ORTHOPEDICS
M R Muhammad-Zaidulkhair, R S Tan, I K Kamarul
{"title":"使用肢体重建系统进行桡骨骨延长--成功治疗桡骨短缩:病例报告","authors":"M R Muhammad-Zaidulkhair, R S Tan, I K Kamarul","doi":"10.5704/MOJ.2411.013","DOIUrl":null,"url":null,"abstract":"<p><p>Fractures of the distal radius are the most common type of forearm fractures seen in children. The most serious outcome of physeal injuries is growth arrest, which can result in deformity and even significant differences in limb length. Therefore, we'd like to share our experience with treating a patient whose left radius stopped growing after she had a physeal injury in an accident. Case presentation: we encountered a 10-year-old girl, who was involved in a road traffic accident. She sustained closed fracture distal end left radius (Salter Harris 2). She sought medical assistance late, so osteoclasis, open reduction, and a k-wire on her left radius to fix the fracture, however it was complicated with growth arrest of left radius after the bone united. It was observed that her left radius was around 4cm shorter than her right. She had an osteotomy performed on her left radius and a LRS implanted. After six months post-surgery, there was no visible shortening of her left upper limb, and the radius had grown by around 4cm. There was no neurovascular impairment after left radius lengthening. After a year had passed after her operation, the patient said she had no complaints about her left upper limb. Despite the prevalence of the ilizarov method, the monorail external fixator, also known as LRS, is an option for bone lengthening of the radius. The LRS was utilised in our situation, and the results demonstrated its usefulness.</p>","PeriodicalId":45241,"journal":{"name":"Malaysian Orthopaedic Journal","volume":"18 3","pages":"84-87"},"PeriodicalIF":0.6000,"publicationDate":"2024-11-01","publicationTypes":"Journal Article","fieldsOfStudy":null,"isOpenAccess":false,"openAccessPdf":"https://www.ncbi.nlm.nih.gov/pmc/articles/PMC11647546/pdf/","citationCount":"0","resultStr":"{\"title\":\"Bone Lengthening Radius using Limb Reconstruction System - A Successful Treatment for Radius Shortening: A Case Report.\",\"authors\":\"M R Muhammad-Zaidulkhair, R S Tan, I K Kamarul\",\"doi\":\"10.5704/MOJ.2411.013\",\"DOIUrl\":null,\"url\":null,\"abstract\":\"<p><p>Fractures of the distal radius are the most common type of forearm fractures seen in children. The most serious outcome of physeal injuries is growth arrest, which can result in deformity and even significant differences in limb length. Therefore, we'd like to share our experience with treating a patient whose left radius stopped growing after she had a physeal injury in an accident. Case presentation: we encountered a 10-year-old girl, who was involved in a road traffic accident. She sustained closed fracture distal end left radius (Salter Harris 2). She sought medical assistance late, so osteoclasis, open reduction, and a k-wire on her left radius to fix the fracture, however it was complicated with growth arrest of left radius after the bone united. It was observed that her left radius was around 4cm shorter than her right. She had an osteotomy performed on her left radius and a LRS implanted. After six months post-surgery, there was no visible shortening of her left upper limb, and the radius had grown by around 4cm. There was no neurovascular impairment after left radius lengthening. After a year had passed after her operation, the patient said she had no complaints about her left upper limb. Despite the prevalence of the ilizarov method, the monorail external fixator, also known as LRS, is an option for bone lengthening of the radius. The LRS was utilised in our situation, and the results demonstrated its usefulness.</p>\",\"PeriodicalId\":45241,\"journal\":{\"name\":\"Malaysian Orthopaedic Journal\",\"volume\":\"18 3\",\"pages\":\"84-87\"},\"PeriodicalIF\":0.6000,\"publicationDate\":\"2024-11-01\",\"publicationTypes\":\"Journal Article\",\"fieldsOfStudy\":null,\"isOpenAccess\":false,\"openAccessPdf\":\"https://www.ncbi.nlm.nih.gov/pmc/articles/PMC11647546/pdf/\",\"citationCount\":\"0\",\"resultStr\":null,\"platform\":\"Semanticscholar\",\"paperid\":null,\"PeriodicalName\":\"Malaysian Orthopaedic Journal\",\"FirstCategoryId\":\"1085\",\"ListUrlMain\":\"https://doi.org/10.5704/MOJ.2411.013\",\"RegionNum\":0,\"RegionCategory\":null,\"ArticlePicture\":[],\"TitleCN\":null,\"AbstractTextCN\":null,\"PMCID\":null,\"EPubDate\":\"\",\"PubModel\":\"\",\"JCR\":\"Q4\",\"JCRName\":\"ORTHOPEDICS\",\"Score\":null,\"Total\":0}","platform":"Semanticscholar","paperid":null,"PeriodicalName":"Malaysian Orthopaedic Journal","FirstCategoryId":"1085","ListUrlMain":"https://doi.org/10.5704/MOJ.2411.013","RegionNum":0,"RegionCategory":null,"ArticlePicture":[],"TitleCN":null,"AbstractTextCN":null,"PMCID":null,"EPubDate":"","PubModel":"","JCR":"Q4","JCRName":"ORTHOPEDICS","Score":null,"Total":0}
引用次数: 0

摘要

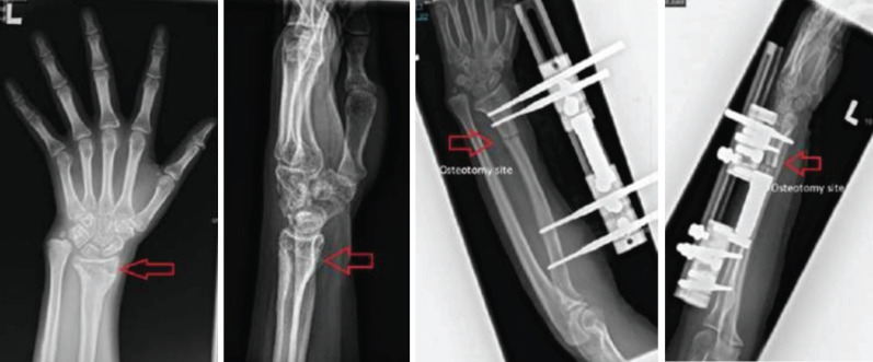
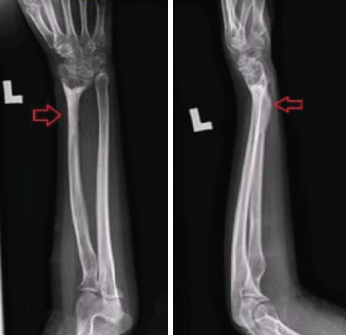
桡骨远端骨折是儿童前臂骨折中最常见的类型。肢体损伤最严重的后果是生长停滞,这可能导致畸形甚至肢体长度的显著差异。因此,我们想和大家分享我们治疗一位在事故中身体受伤后左桡骨停止生长的病人的经验。案例介绍:我们遇到了一个10岁的女孩,她卷入了一场道路交通事故。患者左侧桡骨远端持续闭合性骨折(Salter Harris 2)。患者晚期求医,采取破骨术、切开复位、左桡骨k线固定骨折,但骨愈合后左侧桡骨生长停止。据观察,她的左桡骨比右桡骨短约4厘米。她做了左桡骨截骨手术并植入了LRS。术后6个月后,她的左上肢没有明显缩短,桡骨长了大约4厘米。左桡骨延长后无神经血管损伤。手术一年后,病人说她的左上肢没有任何不适。尽管ilizarov方法很流行,单轨外固定架,也被称为LRS,是桡骨延长的一种选择。在我们的情况下使用了LRS,结果证明了它的有用性。
本文章由计算机程序翻译,如有差异,请以英文原文为准。

Bone Lengthening Radius using Limb Reconstruction System - A Successful Treatment for Radius Shortening: A Case Report.

Bone Lengthening Radius using Limb Reconstruction System - A Successful Treatment for Radius Shortening: A Case Report.

Bone Lengthening Radius using Limb Reconstruction System - A Successful Treatment for Radius Shortening: A Case Report.

Bone Lengthening Radius using Limb Reconstruction System - A Successful Treatment for Radius Shortening: A Case Report.

Fractures of the distal radius are the most common type of forearm fractures seen in children. The most serious outcome of physeal injuries is growth arrest, which can result in deformity and even significant differences in limb length. Therefore, we'd like to share our experience with treating a patient whose left radius stopped growing after she had a physeal injury in an accident. Case presentation: we encountered a 10-year-old girl, who was involved in a road traffic accident. She sustained closed fracture distal end left radius (Salter Harris 2). She sought medical assistance late, so osteoclasis, open reduction, and a k-wire on her left radius to fix the fracture, however it was complicated with growth arrest of left radius after the bone united. It was observed that her left radius was around 4cm shorter than her right. She had an osteotomy performed on her left radius and a LRS implanted. After six months post-surgery, there was no visible shortening of her left upper limb, and the radius had grown by around 4cm. There was no neurovascular impairment after left radius lengthening. After a year had passed after her operation, the patient said she had no complaints about her left upper limb. Despite the prevalence of the ilizarov method, the monorail external fixator, also known as LRS, is an option for bone lengthening of the radius. The LRS was utilised in our situation, and the results demonstrated its usefulness.

求助全文
通过发布文献求助,成功后即可免费获取论文全文。 去求助
来源期刊
CiteScore
1.30
自引率
0.00%
发文量
104
审稿时长
24 weeks
期刊介绍: The Malaysian Orthopaedic Journal is a peer-reviewed journal that publishes original papers and case reports three times a year in both printed and electronic version. The purpose of MOJ is to disseminate new knowledge and provide updates in Orthopaedics, trauma and musculoskeletal research. It is an Open Access journal that does not require processing fee or article processing charge from the authors. The Malaysian Orthopaedic Journal is the official journal of Malaysian Orthopaedic Association (MOA) and ASEAN Orthopaedic Association (AOA).
×
引用
GB/T 7714-2015
复制
MLA
复制
APA
复制
导出至
BibTeX EndNote RefMan NoteFirst NoteExpress
×
提示
您的信息不完整,为了账户安全,请先补充。
现在去补充
×
提示
您因"违规操作"
具体请查看互助需知
我知道了
×
提示
确定
请完成安全验证×
copy
已复制链接
快去分享给好友吧!
我知道了
右上角分享
点击右上角分享
0
联系我们:info@booksci.cn Book学术提供免费学术资源搜索服务,方便国内外学者检索中英文文献。致力于提供最便捷和优质的服务体验。 Copyright © 2023 布克学术 All rights reserved.
京ICP备2023020795号-1
ghs 京公网安备 11010802042870号
Book学术文献互助
Book学术文献互助群
群 号:604180095
Book学术官方微信