经前囟门进行蛛网膜下腔穿刺并注射万古霉素治疗难治性化脓性脑膜炎:一例儿科病例报告。

IF 1.2 4区 医学 Q4 CLINICAL NEUROLOGY
Yan Li, Xinghui Yang, Yongping Xie, Guolan Huang, Xiaohui Fang, Lisu Huang
{"title":"经前囟门进行蛛网膜下腔穿刺并注射万古霉素治疗难治性化脓性脑膜炎:一例儿科病例报告。","authors":"Yan Li, Xinghui Yang, Yongping Xie, Guolan Huang, Xiaohui Fang, Lisu Huang","doi":"10.1007/s00381-024-06668-2","DOIUrl":null,"url":null,"abstract":"<p><p>This case report presents a novel treatment approach for refractory purulent meningitis in a 1-month-old infant caused by penicillin-sensitive group B Streptococcus. Despite initial treatment with intravenous antibiotics, including penicillin and vancomycin, the infant experienced persistent symptoms and bilateral subdural effusions. Conventional therapies failed to resolve these issues, leading to the use of a new technique: subarachnoid puncture via the anterior fontanelle combined with intrathecal vancomycin administration. This minimally invasive procedure allowed for targeted antibiotic delivery, significantly reducing subdural effusions and improving cerebrospinal fluid parameters. The infant showed substantial clinical improvement and was discharged after 68 days with no complications during a 3-month follow-up. This approach offers a promising alternative to more invasive treatments such as craniotomy or subdural external drainage, though further research is needed to confirm its efficacy and safety in broader clinical contexts.</p>","PeriodicalId":9970,"journal":{"name":"Child's Nervous System","volume":"41 1","pages":"50"},"PeriodicalIF":1.2000,"publicationDate":"2024-12-15","publicationTypes":"Journal Article","fieldsOfStudy":null,"isOpenAccess":false,"openAccessPdf":"https://www.ncbi.nlm.nih.gov/pmc/articles/PMC11646951/pdf/","citationCount":"0","resultStr":"{\"title\":\"Subarachnoid puncture via the anterior fontanelle with intrathecal vancomycin for refractory purulent meningitis: a pediatric case report.\",\"authors\":\"Yan Li, Xinghui Yang, Yongping Xie, Guolan Huang, Xiaohui Fang, Lisu Huang\",\"doi\":\"10.1007/s00381-024-06668-2\",\"DOIUrl\":null,\"url\":null,\"abstract\":\"<p><p>This case report presents a novel treatment approach for refractory purulent meningitis in a 1-month-old infant caused by penicillin-sensitive group B Streptococcus. Despite initial treatment with intravenous antibiotics, including penicillin and vancomycin, the infant experienced persistent symptoms and bilateral subdural effusions. Conventional therapies failed to resolve these issues, leading to the use of a new technique: subarachnoid puncture via the anterior fontanelle combined with intrathecal vancomycin administration. This minimally invasive procedure allowed for targeted antibiotic delivery, significantly reducing subdural effusions and improving cerebrospinal fluid parameters. The infant showed substantial clinical improvement and was discharged after 68 days with no complications during a 3-month follow-up. This approach offers a promising alternative to more invasive treatments such as craniotomy or subdural external drainage, though further research is needed to confirm its efficacy and safety in broader clinical contexts.</p>\",\"PeriodicalId\":9970,\"journal\":{\"name\":\"Child's Nervous System\",\"volume\":\"41 1\",\"pages\":\"50\"},\"PeriodicalIF\":1.2000,\"publicationDate\":\"2024-12-15\",\"publicationTypes\":\"Journal Article\",\"fieldsOfStudy\":null,\"isOpenAccess\":false,\"openAccessPdf\":\"https://www.ncbi.nlm.nih.gov/pmc/articles/PMC11646951/pdf/\",\"citationCount\":\"0\",\"resultStr\":null,\"platform\":\"Semanticscholar\",\"paperid\":null,\"PeriodicalName\":\"Child's Nervous System\",\"FirstCategoryId\":\"3\",\"ListUrlMain\":\"https://doi.org/10.1007/s00381-024-06668-2\",\"RegionNum\":4,\"RegionCategory\":\"医学\",\"ArticlePicture\":[],\"TitleCN\":null,\"AbstractTextCN\":null,\"PMCID\":null,\"EPubDate\":\"\",\"PubModel\":\"\",\"JCR\":\"Q4\",\"JCRName\":\"CLINICAL NEUROLOGY\",\"Score\":null,\"Total\":0}","platform":"Semanticscholar","paperid":null,"PeriodicalName":"Child's Nervous System","FirstCategoryId":"3","ListUrlMain":"https://doi.org/10.1007/s00381-024-06668-2","RegionNum":4,"RegionCategory":"医学","ArticlePicture":[],"TitleCN":null,"AbstractTextCN":null,"PMCID":null,"EPubDate":"","PubModel":"","JCR":"Q4","JCRName":"CLINICAL NEUROLOGY","Score":null,"Total":0}
引用次数: 0

摘要

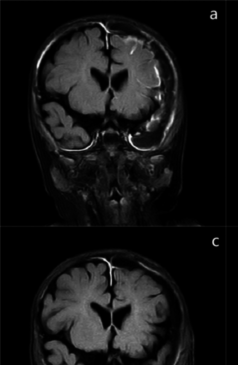
这一病例报告提出了一种新的治疗方法难治性化脓性脑膜炎在1个月的婴儿引起青霉素敏感的B组链球菌。尽管最初给予静脉注射抗生素治疗,包括青霉素和万古霉素,婴儿仍出现持续症状和双侧硬膜下积液。传统的治疗方法不能解决这些问题,导致使用一种新的技术:经前囟门的蛛网膜下腔穿刺联合鞘内万古霉素。这种微创手术允许靶向抗生素递送,显著减少硬膜下积液并改善脑脊液参数。患儿临床表现明显改善,68天后出院,随访3个月无并发症。尽管需要进一步的研究来证实其在更广泛的临床背景下的有效性和安全性,但这种方法为诸如开颅术或硬膜下外引流等更具侵入性的治疗提供了一种有希望的替代方法。
本文章由计算机程序翻译,如有差异,请以英文原文为准。

Subarachnoid puncture via the anterior fontanelle with intrathecal vancomycin for refractory purulent meningitis: a pediatric case report.

Subarachnoid puncture via the anterior fontanelle with intrathecal vancomycin for refractory purulent meningitis: a pediatric case report.

Subarachnoid puncture via the anterior fontanelle with intrathecal vancomycin for refractory purulent meningitis: a pediatric case report.

Subarachnoid puncture via the anterior fontanelle with intrathecal vancomycin for refractory purulent meningitis: a pediatric case report.

This case report presents a novel treatment approach for refractory purulent meningitis in a 1-month-old infant caused by penicillin-sensitive group B Streptococcus. Despite initial treatment with intravenous antibiotics, including penicillin and vancomycin, the infant experienced persistent symptoms and bilateral subdural effusions. Conventional therapies failed to resolve these issues, leading to the use of a new technique: subarachnoid puncture via the anterior fontanelle combined with intrathecal vancomycin administration. This minimally invasive procedure allowed for targeted antibiotic delivery, significantly reducing subdural effusions and improving cerebrospinal fluid parameters. The infant showed substantial clinical improvement and was discharged after 68 days with no complications during a 3-month follow-up. This approach offers a promising alternative to more invasive treatments such as craniotomy or subdural external drainage, though further research is needed to confirm its efficacy and safety in broader clinical contexts.

求助全文
通过发布文献求助,成功后即可免费获取论文全文。 去求助
来源期刊
Child's Nervous System
Child's Nervous System 医学-临床神经学
CiteScore
3.00
自引率
7.10%
发文量
322
审稿时长
3 months
期刊介绍: The journal has been expanded to encompass all aspects of pediatric neurosciences concerning the developmental and acquired abnormalities of the nervous system and its coverings, functional disorders, epilepsy, spasticity, basic and clinical neuro-oncology, rehabilitation and trauma. Global pediatric neurosurgery is an additional field of interest that will be considered for publication in the journal.
×
引用
GB/T 7714-2015
复制
MLA
复制
APA
复制
导出至
BibTeX EndNote RefMan NoteFirst NoteExpress
×
提示
您的信息不完整,为了账户安全,请先补充。
现在去补充
×
提示
您因"违规操作"
具体请查看互助需知
我知道了
×
提示
确定
请完成安全验证×
copy
已复制链接
快去分享给好友吧!
我知道了
右上角分享
点击右上角分享
0
联系我们:info@booksci.cn Book学术提供免费学术资源搜索服务,方便国内外学者检索中英文文献。致力于提供最便捷和优质的服务体验。 Copyright © 2023 布克学术 All rights reserved.
京ICP备2023020795号-1
ghs 京公网安备 11010802042870号
Book学术文献互助
Book学术文献互助群
群 号:604180095
Book学术官方微信