顽固性胆管炎合并肝内胆道囊肿手术治疗胆道闭锁的回顾性队列研究。

IF 1.6 4区 医学 Q3 SURGERY
Yu Jeong Cho, Hyunhee Kwon, Yong Jae Kwon, Suhyeon Ha, Seong Chul Kim, Dae Yeon Kim, Jung-Man Namgoong
{"title":"顽固性胆管炎合并肝内胆道囊肿手术治疗胆道闭锁的回顾性队列研究。","authors":"Yu Jeong Cho, Hyunhee Kwon, Yong Jae Kwon, Suhyeon Ha, Seong Chul Kim, Dae Yeon Kim, Jung-Man Namgoong","doi":"10.4174/astr.2024.107.6.363","DOIUrl":null,"url":null,"abstract":"<p><strong>Purpose: </strong>Intrahepatic biliary cysts (IBCs) after Kasai portoenterostomy (KPE) are associated with intractable recurrent cholangitis. This study aimed to investigate the feasibility of its use as well as indication for surgical management of IBCs in pediatric patients.</p><p><strong>Methods: </strong>We retrospectively reviewed the medical records and imaging studies of patients who underwent KPE for biliary atresia from 2010 to 2020.</p><p><strong>Results: </strong>An imaging study identified IBCs in 28 of 129 patients who underwent KPE with biliary atresia (21.7%). Among them, 5 patients were subjected to surgical treatment for intractable cholangitis. The median time from KPE to the development of IBCs was 1.7 years. Four out of 5 patients had IBCs confined to the left lateral lobe, and in one patient, the IBCs were in the hepatic hilum. All 5 patients experienced more than one cholangitis. Although they received intravenous antibiotic treatment and percutaneous transhepatic cholangiodrainage as treatment, they were intractable. Three patients underwent hepatectomy, and 2 underwent cystojejunostomy. There was no recurrence of cholangitis during the median follow-up period of 2.9 years.</p><p><strong>Conclusion: </strong>Surgical treatment for IBCs after KPE could be considered a safe and effective surgical procedure for children if appropriate indications are applied.</p>","PeriodicalId":8071,"journal":{"name":"Annals of Surgical Treatment and Research","volume":"107 6","pages":"363-368"},"PeriodicalIF":1.6000,"publicationDate":"2024-12-01","publicationTypes":"Journal Article","fieldsOfStudy":null,"isOpenAccess":false,"openAccessPdf":"https://www.ncbi.nlm.nih.gov/pmc/articles/PMC11634395/pdf/","citationCount":"0","resultStr":"{\"title\":\"Surgical treatment for intractable cholangitis with intrahepatic biliary cysts followed by Kasai operation in biliary atresia: a retrospective cohort study.\",\"authors\":\"Yu Jeong Cho, Hyunhee Kwon, Yong Jae Kwon, Suhyeon Ha, Seong Chul Kim, Dae Yeon Kim, Jung-Man Namgoong\",\"doi\":\"10.4174/astr.2024.107.6.363\",\"DOIUrl\":null,\"url\":null,\"abstract\":\"<p><strong>Purpose: </strong>Intrahepatic biliary cysts (IBCs) after Kasai portoenterostomy (KPE) are associated with intractable recurrent cholangitis. This study aimed to investigate the feasibility of its use as well as indication for surgical management of IBCs in pediatric patients.</p><p><strong>Methods: </strong>We retrospectively reviewed the medical records and imaging studies of patients who underwent KPE for biliary atresia from 2010 to 2020.</p><p><strong>Results: </strong>An imaging study identified IBCs in 28 of 129 patients who underwent KPE with biliary atresia (21.7%). Among them, 5 patients were subjected to surgical treatment for intractable cholangitis. The median time from KPE to the development of IBCs was 1.7 years. Four out of 5 patients had IBCs confined to the left lateral lobe, and in one patient, the IBCs were in the hepatic hilum. All 5 patients experienced more than one cholangitis. Although they received intravenous antibiotic treatment and percutaneous transhepatic cholangiodrainage as treatment, they were intractable. Three patients underwent hepatectomy, and 2 underwent cystojejunostomy. There was no recurrence of cholangitis during the median follow-up period of 2.9 years.</p><p><strong>Conclusion: </strong>Surgical treatment for IBCs after KPE could be considered a safe and effective surgical procedure for children if appropriate indications are applied.</p>\",\"PeriodicalId\":8071,\"journal\":{\"name\":\"Annals of Surgical Treatment and Research\",\"volume\":\"107 6\",\"pages\":\"363-368\"},\"PeriodicalIF\":1.6000,\"publicationDate\":\"2024-12-01\",\"publicationTypes\":\"Journal Article\",\"fieldsOfStudy\":null,\"isOpenAccess\":false,\"openAccessPdf\":\"https://www.ncbi.nlm.nih.gov/pmc/articles/PMC11634395/pdf/\",\"citationCount\":\"0\",\"resultStr\":null,\"platform\":\"Semanticscholar\",\"paperid\":null,\"PeriodicalName\":\"Annals of Surgical Treatment and Research\",\"FirstCategoryId\":\"3\",\"ListUrlMain\":\"https://doi.org/10.4174/astr.2024.107.6.363\",\"RegionNum\":4,\"RegionCategory\":\"医学\",\"ArticlePicture\":[],\"TitleCN\":null,\"AbstractTextCN\":null,\"PMCID\":null,\"EPubDate\":\"2024/12/2 0:00:00\",\"PubModel\":\"Epub\",\"JCR\":\"Q3\",\"JCRName\":\"SURGERY\",\"Score\":null,\"Total\":0}","platform":"Semanticscholar","paperid":null,"PeriodicalName":"Annals of Surgical Treatment and Research","FirstCategoryId":"3","ListUrlMain":"https://doi.org/10.4174/astr.2024.107.6.363","RegionNum":4,"RegionCategory":"医学","ArticlePicture":[],"TitleCN":null,"AbstractTextCN":null,"PMCID":null,"EPubDate":"2024/12/2 0:00:00","PubModel":"Epub","JCR":"Q3","JCRName":"SURGERY","Score":null,"Total":0}
引用次数: 0

摘要

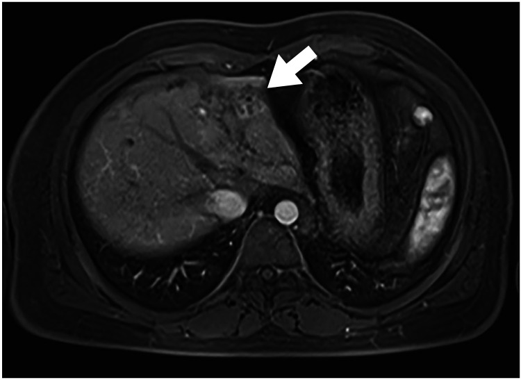
目的:Kasai门肠造口术(KPE)术后肝内胆道囊肿(IBCs)与难治性复发性胆管炎相关。本研究旨在探讨其在小儿IBCs手术治疗中的可行性及指征。方法:回顾性分析2010年至2020年胆道闭锁患者行KPE的医疗记录和影像学研究。结果:一项影像学研究发现129例KPE合并胆道闭锁患者中有28例(21.7%)存在IBCs。其中5例患者因顽固性胆管炎行手术治疗。从KPE到IBCs发展的中位时间为1.7年。5例患者中有4例IBCs局限于左外侧叶,1例IBCs位于肝门。5例患者均出现不止一次胆管炎。虽然他们接受了静脉抗生素治疗和经皮经肝胆管引流术,但他们是难治性的。3例患者行肝切除术,2例行膀胱空肠吻合术。中位随访2.9年,无胆管炎复发。结论:如果适用适当的指征,儿童KPE后IBCs的手术治疗可以被认为是安全有效的手术。
本文章由计算机程序翻译,如有差异,请以英文原文为准。

Surgical treatment for intractable cholangitis with intrahepatic biliary cysts followed by Kasai operation in biliary atresia: a retrospective cohort study.

Surgical treatment for intractable cholangitis with intrahepatic biliary cysts followed by Kasai operation in biliary atresia: a retrospective cohort study.

Surgical treatment for intractable cholangitis with intrahepatic biliary cysts followed by Kasai operation in biliary atresia: a retrospective cohort study.

Surgical treatment for intractable cholangitis with intrahepatic biliary cysts followed by Kasai operation in biliary atresia: a retrospective cohort study.

Purpose: Intrahepatic biliary cysts (IBCs) after Kasai portoenterostomy (KPE) are associated with intractable recurrent cholangitis. This study aimed to investigate the feasibility of its use as well as indication for surgical management of IBCs in pediatric patients.

Methods: We retrospectively reviewed the medical records and imaging studies of patients who underwent KPE for biliary atresia from 2010 to 2020.

Results: An imaging study identified IBCs in 28 of 129 patients who underwent KPE with biliary atresia (21.7%). Among them, 5 patients were subjected to surgical treatment for intractable cholangitis. The median time from KPE to the development of IBCs was 1.7 years. Four out of 5 patients had IBCs confined to the left lateral lobe, and in one patient, the IBCs were in the hepatic hilum. All 5 patients experienced more than one cholangitis. Although they received intravenous antibiotic treatment and percutaneous transhepatic cholangiodrainage as treatment, they were intractable. Three patients underwent hepatectomy, and 2 underwent cystojejunostomy. There was no recurrence of cholangitis during the median follow-up period of 2.9 years.

Conclusion: Surgical treatment for IBCs after KPE could be considered a safe and effective surgical procedure for children if appropriate indications are applied.

求助全文
通过发布文献求助,成功后即可免费获取论文全文。 去求助
来源期刊
CiteScore
2.30
自引率
7.10%
发文量
75
期刊介绍: Manuscripts to the Annals of Surgical Treatment and Research (Ann Surg Treat Res) should be written in English according to the instructions for authors. If the details are not described below, the style should follow the Uniform Requirements for Manuscripts Submitted to Biomedical Journals: Writing and Editing for Biomedical Publications available at International Committee of Medical Journal Editors (ICMJE) website (http://www.icmje.org).
×
引用
GB/T 7714-2015
复制
MLA
复制
APA
复制
导出至
BibTeX EndNote RefMan NoteFirst NoteExpress
×
提示
您的信息不完整,为了账户安全,请先补充。
现在去补充
×
提示
您因"违规操作"
具体请查看互助需知
我知道了
×
提示
确定
请完成安全验证×
copy
已复制链接
快去分享给好友吧!
我知道了
右上角分享
点击右上角分享
0
联系我们:info@booksci.cn Book学术提供免费学术资源搜索服务,方便国内外学者检索中英文文献。致力于提供最便捷和优质的服务体验。 Copyright © 2023 布克学术 All rights reserved.
京ICP备2023020795号-1
ghs 京公网安备 11010802042870号
Book学术文献互助
Book学术文献互助群
群 号:604180095
Book学术官方微信