术中超声在股髋臼撞击关节镜检查中的可行性和潜力。

IF 1.1 4区 医学 Q3 ORTHOPEDICS
Journal of Hip Preservation Surgery Pub Date : 2024-04-11 eCollection Date: 2024-07-01 DOI:10.1093/jhps/hnad050
Zhuohua Lin, Ligang Cui, Yan Xu, Qiang Fu, Youjing Sun
{"title":"术中超声在股髋臼撞击关节镜检查中的可行性和潜力。","authors":"Zhuohua Lin, Ligang Cui, Yan Xu, Qiang Fu, Youjing Sun","doi":"10.1093/jhps/hnad050","DOIUrl":null,"url":null,"abstract":"<p><p>This study aimed to evaluate the feasibility of using ultrasound for monitoring osteochondroplasty intraoperatively, determine the factors that interfere with ultrasound imaging and assess its influence on surgeon performance. Intraoperative ultrasonography was performed during osteochondroplasty in 39 cases of arthroscopy. The femoral head-neck junction (FHNJ) was evaluated using ultrasonography. Another 39 cases, which underwent conventional arthroscopy, were included in the control group. The C-arm was used in this group at the end of osteochondroplasty to confirm that no residual cam lesion remained. Pre- and postoperative Dunn radiographs and computed tomography (CT) scans were analyzed to determine the feasibility of ultrasound. Residual cam deformity was noted in eight cases under ultrasound. The FHNJ was not detected owing to ultrasound interference by air in three cases. No difference in the <i>α</i> angle measured in Dunn radiographs and the residual cam deformity rate of CT at the 1:00, 2:00 or 3:00 position was found between both groups. However, the <i>α</i> angle at the 3:00 position was greater in the ultrasound group than in the control group (44.4 ± 4.3° versus 41.3 ± 5.1°, <i>P</i> < 0.05), suggesting that more bone was preserved at 3:00 in the ultrasound group. No difference was found in the mean operation time. None of the patients experienced complications, such as wounds or intra-articular infections. Ultrasound is a safe method for assessing FHNJ during arthroscopy. It did not change the risk of residual cam deformity but positively affected the surgeon's performance by reducing unnecessary bone removal.</p>","PeriodicalId":48583,"journal":{"name":"Journal of Hip Preservation Surgery","volume":"11 3","pages":"204-209"},"PeriodicalIF":1.1000,"publicationDate":"2024-04-11","publicationTypes":"Journal Article","fieldsOfStudy":null,"isOpenAccess":false,"openAccessPdf":"https://www.ncbi.nlm.nih.gov/pmc/articles/PMC11631524/pdf/","citationCount":"0","resultStr":"{\"title\":\"Feasibility and potential of intraoperative ultrasound in arthroscopy of femoroacetabular impingement.\",\"authors\":\"Zhuohua Lin, Ligang Cui, Yan Xu, Qiang Fu, Youjing Sun\",\"doi\":\"10.1093/jhps/hnad050\",\"DOIUrl\":null,\"url\":null,\"abstract\":\"<p><p>This study aimed to evaluate the feasibility of using ultrasound for monitoring osteochondroplasty intraoperatively, determine the factors that interfere with ultrasound imaging and assess its influence on surgeon performance. Intraoperative ultrasonography was performed during osteochondroplasty in 39 cases of arthroscopy. The femoral head-neck junction (FHNJ) was evaluated using ultrasonography. Another 39 cases, which underwent conventional arthroscopy, were included in the control group. The C-arm was used in this group at the end of osteochondroplasty to confirm that no residual cam lesion remained. Pre- and postoperative Dunn radiographs and computed tomography (CT) scans were analyzed to determine the feasibility of ultrasound. Residual cam deformity was noted in eight cases under ultrasound. The FHNJ was not detected owing to ultrasound interference by air in three cases. No difference in the <i>α</i> angle measured in Dunn radiographs and the residual cam deformity rate of CT at the 1:00, 2:00 or 3:00 position was found between both groups. However, the <i>α</i> angle at the 3:00 position was greater in the ultrasound group than in the control group (44.4 ± 4.3° versus 41.3 ± 5.1°, <i>P</i> < 0.05), suggesting that more bone was preserved at 3:00 in the ultrasound group. No difference was found in the mean operation time. None of the patients experienced complications, such as wounds or intra-articular infections. Ultrasound is a safe method for assessing FHNJ during arthroscopy. It did not change the risk of residual cam deformity but positively affected the surgeon's performance by reducing unnecessary bone removal.</p>\",\"PeriodicalId\":48583,\"journal\":{\"name\":\"Journal of Hip Preservation Surgery\",\"volume\":\"11 3\",\"pages\":\"204-209\"},\"PeriodicalIF\":1.1000,\"publicationDate\":\"2024-04-11\",\"publicationTypes\":\"Journal Article\",\"fieldsOfStudy\":null,\"isOpenAccess\":false,\"openAccessPdf\":\"https://www.ncbi.nlm.nih.gov/pmc/articles/PMC11631524/pdf/\",\"citationCount\":\"0\",\"resultStr\":null,\"platform\":\"Semanticscholar\",\"paperid\":null,\"PeriodicalName\":\"Journal of Hip Preservation Surgery\",\"FirstCategoryId\":\"3\",\"ListUrlMain\":\"https://doi.org/10.1093/jhps/hnad050\",\"RegionNum\":4,\"RegionCategory\":\"医学\",\"ArticlePicture\":[],\"TitleCN\":null,\"AbstractTextCN\":null,\"PMCID\":null,\"EPubDate\":\"2024/7/1 0:00:00\",\"PubModel\":\"eCollection\",\"JCR\":\"Q3\",\"JCRName\":\"ORTHOPEDICS\",\"Score\":null,\"Total\":0}","platform":"Semanticscholar","paperid":null,"PeriodicalName":"Journal of Hip Preservation Surgery","FirstCategoryId":"3","ListUrlMain":"https://doi.org/10.1093/jhps/hnad050","RegionNum":4,"RegionCategory":"医学","ArticlePicture":[],"TitleCN":null,"AbstractTextCN":null,"PMCID":null,"EPubDate":"2024/7/1 0:00:00","PubModel":"eCollection","JCR":"Q3","JCRName":"ORTHOPEDICS","Score":null,"Total":0}
引用次数: 0

摘要

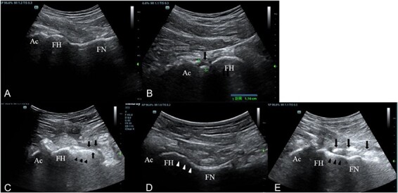
本研究旨在评估术中超声监测骨软骨成形术的可行性,确定干扰超声成像的因素,并评估其对外科医生表现的影响。对39例关节镜下骨软骨成形术进行术中超声检查。超声检查股骨头颈结(FHNJ)。另外39例患者行常规关节镜检查作为对照组。本组在骨软骨成形术结束时使用c型臂,以确认没有残留的凸轮病变。分析术前和术后Dunn x线片和计算机断层扫描(CT)以确定超声的可行性。超声检查发现8例残cam畸形。在3例中,由于空气的超声干扰,未检测到FHNJ。两组在1:00、2:00、3:00位置的Dunn片α角测量值及CT残cam畸形率均无差异。超声组3:00位α角明显大于对照组(44.4±4.3°比41.3±5.1°,P
本文章由计算机程序翻译,如有差异,请以英文原文为准。

Feasibility and potential of intraoperative ultrasound in arthroscopy of femoroacetabular impingement.

Feasibility and potential of intraoperative ultrasound in arthroscopy of femoroacetabular impingement.

Feasibility and potential of intraoperative ultrasound in arthroscopy of femoroacetabular impingement.

Feasibility and potential of intraoperative ultrasound in arthroscopy of femoroacetabular impingement.

This study aimed to evaluate the feasibility of using ultrasound for monitoring osteochondroplasty intraoperatively, determine the factors that interfere with ultrasound imaging and assess its influence on surgeon performance. Intraoperative ultrasonography was performed during osteochondroplasty in 39 cases of arthroscopy. The femoral head-neck junction (FHNJ) was evaluated using ultrasonography. Another 39 cases, which underwent conventional arthroscopy, were included in the control group. The C-arm was used in this group at the end of osteochondroplasty to confirm that no residual cam lesion remained. Pre- and postoperative Dunn radiographs and computed tomography (CT) scans were analyzed to determine the feasibility of ultrasound. Residual cam deformity was noted in eight cases under ultrasound. The FHNJ was not detected owing to ultrasound interference by air in three cases. No difference in the α angle measured in Dunn radiographs and the residual cam deformity rate of CT at the 1:00, 2:00 or 3:00 position was found between both groups. However, the α angle at the 3:00 position was greater in the ultrasound group than in the control group (44.4 ± 4.3° versus 41.3 ± 5.1°, P < 0.05), suggesting that more bone was preserved at 3:00 in the ultrasound group. No difference was found in the mean operation time. None of the patients experienced complications, such as wounds or intra-articular infections. Ultrasound is a safe method for assessing FHNJ during arthroscopy. It did not change the risk of residual cam deformity but positively affected the surgeon's performance by reducing unnecessary bone removal.

求助全文
通过发布文献求助,成功后即可免费获取论文全文。 去求助
来源期刊
自引率
20.00%
发文量
45
审稿时长
12 weeks
×
引用
GB/T 7714-2015
复制
MLA
复制
APA
复制
导出至
BibTeX EndNote RefMan NoteFirst NoteExpress
×
提示
您的信息不完整,为了账户安全,请先补充。
现在去补充
×
提示
您因"违规操作"
具体请查看互助需知
我知道了
×
提示
确定
请完成安全验证×
copy
已复制链接
快去分享给好友吧!
我知道了
右上角分享
点击右上角分享
0
联系我们:info@booksci.cn Book学术提供免费学术资源搜索服务,方便国内外学者检索中英文文献。致力于提供最便捷和优质的服务体验。 Copyright © 2023 布克学术 All rights reserved.
京ICP备2023020795号-1
ghs 京公网安备 11010802042870号
Book学术文献互助
Book学术文献互助群
群 号:604180095
Book学术官方微信