面肌痉挛的治疗挑战:磁共振成像的作用。

IF 1 Q3 SURGERY
Mohammad Bahadoram, Esma'il Akade, Seyed Ehsan Mohammadianinejad, Shana Ahadi, Mohammad Davoodi
{"title":"面肌痉挛的治疗挑战:磁共振成像的作用。","authors":"Mohammad Bahadoram, Esma'il Akade, Seyed Ehsan Mohammadianinejad, Shana Ahadi, Mohammad Davoodi","doi":"10.61186/wjps.13.3.14","DOIUrl":null,"url":null,"abstract":"<p><p>Hemifacial spasm (HFS) is an important condition for plastic surgeons to understand, as it significantly affects patients' quality of life and can complicate aesthetic and reconstructive procedures. Magnetic resonance imaging (MRI) has become vital in diagnosing HFS, assessing neurovascular relationships, and planning treatment. Transverse MRI scans often show an upward displacement of the inferior pons at the facial nerve attachment point, signaling neurovascular compression (NVC) in HFS. Important anatomical features for neurosurgeons include cerebellar atrophy and a \"small posterior fossa,\" which can lead to HFS by narrowing fluid spaces. The posterior fossa is often more congested in HFS patients, and anatomical flatness may exacerbate lateral deviation of the vertebrobasilar arteries. Additionally, evaluating sigmoid sinus dominance and other anatomical variations is crucial for surgical planning, particularly in cases of arterial hypertension that may affect medullary compression.</p>","PeriodicalId":23736,"journal":{"name":"World Journal of Plastic Surgery","volume":"13 3","pages":"14-22"},"PeriodicalIF":1.0000,"publicationDate":"2024-01-01","publicationTypes":"Journal Article","fieldsOfStudy":null,"isOpenAccess":false,"openAccessPdf":"https://www.ncbi.nlm.nih.gov/pmc/articles/PMC11629762/pdf/","citationCount":"0","resultStr":"{\"title\":\"Treatment Challenges in Hemifacial Spasm: The Role of Magnetic Resonance Imaging.\",\"authors\":\"Mohammad Bahadoram, Esma'il Akade, Seyed Ehsan Mohammadianinejad, Shana Ahadi, Mohammad Davoodi\",\"doi\":\"10.61186/wjps.13.3.14\",\"DOIUrl\":null,\"url\":null,\"abstract\":\"<p><p>Hemifacial spasm (HFS) is an important condition for plastic surgeons to understand, as it significantly affects patients' quality of life and can complicate aesthetic and reconstructive procedures. Magnetic resonance imaging (MRI) has become vital in diagnosing HFS, assessing neurovascular relationships, and planning treatment. Transverse MRI scans often show an upward displacement of the inferior pons at the facial nerve attachment point, signaling neurovascular compression (NVC) in HFS. Important anatomical features for neurosurgeons include cerebellar atrophy and a \\\"small posterior fossa,\\\" which can lead to HFS by narrowing fluid spaces. The posterior fossa is often more congested in HFS patients, and anatomical flatness may exacerbate lateral deviation of the vertebrobasilar arteries. Additionally, evaluating sigmoid sinus dominance and other anatomical variations is crucial for surgical planning, particularly in cases of arterial hypertension that may affect medullary compression.</p>\",\"PeriodicalId\":23736,\"journal\":{\"name\":\"World Journal of Plastic Surgery\",\"volume\":\"13 3\",\"pages\":\"14-22\"},\"PeriodicalIF\":1.0000,\"publicationDate\":\"2024-01-01\",\"publicationTypes\":\"Journal Article\",\"fieldsOfStudy\":null,\"isOpenAccess\":false,\"openAccessPdf\":\"https://www.ncbi.nlm.nih.gov/pmc/articles/PMC11629762/pdf/\",\"citationCount\":\"0\",\"resultStr\":null,\"platform\":\"Semanticscholar\",\"paperid\":null,\"PeriodicalName\":\"World Journal of Plastic Surgery\",\"FirstCategoryId\":\"1085\",\"ListUrlMain\":\"https://doi.org/10.61186/wjps.13.3.14\",\"RegionNum\":0,\"RegionCategory\":null,\"ArticlePicture\":[],\"TitleCN\":null,\"AbstractTextCN\":null,\"PMCID\":null,\"EPubDate\":\"\",\"PubModel\":\"\",\"JCR\":\"Q3\",\"JCRName\":\"SURGERY\",\"Score\":null,\"Total\":0}","platform":"Semanticscholar","paperid":null,"PeriodicalName":"World Journal of Plastic Surgery","FirstCategoryId":"1085","ListUrlMain":"https://doi.org/10.61186/wjps.13.3.14","RegionNum":0,"RegionCategory":null,"ArticlePicture":[],"TitleCN":null,"AbstractTextCN":null,"PMCID":null,"EPubDate":"","PubModel":"","JCR":"Q3","JCRName":"SURGERY","Score":null,"Total":0}
引用次数: 0

摘要

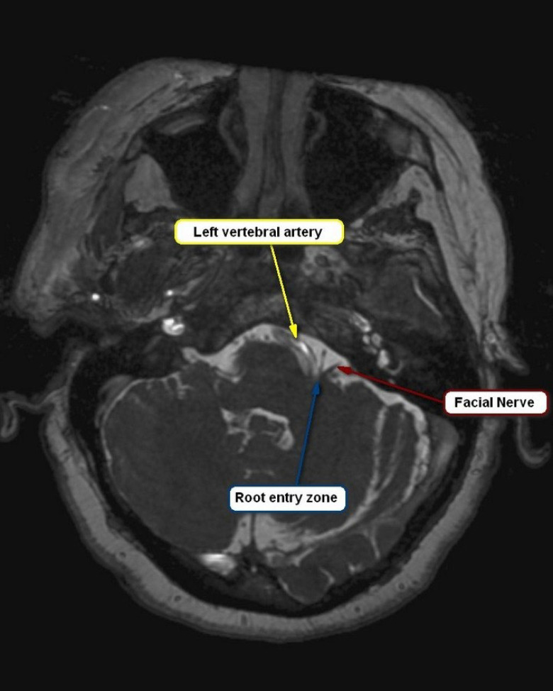
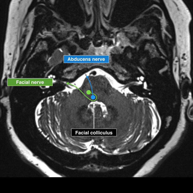
面肌痉挛(HFS)是整形外科医生需要了解的一个重要情况,因为它会显著影响患者的生活质量,并使美容和重建手术复杂化。磁共振成像(MRI)在诊断HFS、评估神经血管关系和计划治疗方面变得至关重要。MRI横断面扫描常显示面神经附着点下桥向上移位,提示HFS的神经血管受压(NVC)。对于神经外科医生来说,重要的解剖学特征包括小脑萎缩和“小后窝”,这可以通过缩小液体空间导致HFS。HFS患者的后窝通常更充血,解剖平面可能加剧椎基底动脉外侧偏曲。此外,评估乙状窦优势和其他解剖变异对手术计划至关重要,特别是在动脉高压可能影响髓质压迫的情况下。
本文章由计算机程序翻译,如有差异,请以英文原文为准。

Treatment Challenges in Hemifacial Spasm: The Role of Magnetic Resonance Imaging.

Treatment Challenges in Hemifacial Spasm: The Role of Magnetic Resonance Imaging.

Treatment Challenges in Hemifacial Spasm: The Role of Magnetic Resonance Imaging.

Treatment Challenges in Hemifacial Spasm: The Role of Magnetic Resonance Imaging.

Hemifacial spasm (HFS) is an important condition for plastic surgeons to understand, as it significantly affects patients' quality of life and can complicate aesthetic and reconstructive procedures. Magnetic resonance imaging (MRI) has become vital in diagnosing HFS, assessing neurovascular relationships, and planning treatment. Transverse MRI scans often show an upward displacement of the inferior pons at the facial nerve attachment point, signaling neurovascular compression (NVC) in HFS. Important anatomical features for neurosurgeons include cerebellar atrophy and a "small posterior fossa," which can lead to HFS by narrowing fluid spaces. The posterior fossa is often more congested in HFS patients, and anatomical flatness may exacerbate lateral deviation of the vertebrobasilar arteries. Additionally, evaluating sigmoid sinus dominance and other anatomical variations is crucial for surgical planning, particularly in cases of arterial hypertension that may affect medullary compression.

求助全文
通过发布文献求助,成功后即可免费获取论文全文。 去求助
来源期刊
自引率
11.10%
发文量
41
×
引用
GB/T 7714-2015
复制
MLA
复制
APA
复制
导出至
BibTeX EndNote RefMan NoteFirst NoteExpress
×
提示
您的信息不完整,为了账户安全,请先补充。
现在去补充
×
提示
您因"违规操作"
具体请查看互助需知
我知道了
×
提示
确定
请完成安全验证×
copy
已复制链接
快去分享给好友吧!
我知道了
右上角分享
点击右上角分享
0
联系我们:info@booksci.cn Book学术提供免费学术资源搜索服务,方便国内外学者检索中英文文献。致力于提供最便捷和优质的服务体验。 Copyright © 2023 布克学术 All rights reserved.
京ICP备2023020795号-1
ghs 京公网安备 11010802042870号
Book学术文献互助
Book学术文献互助群
群 号:604180095
Book学术官方微信