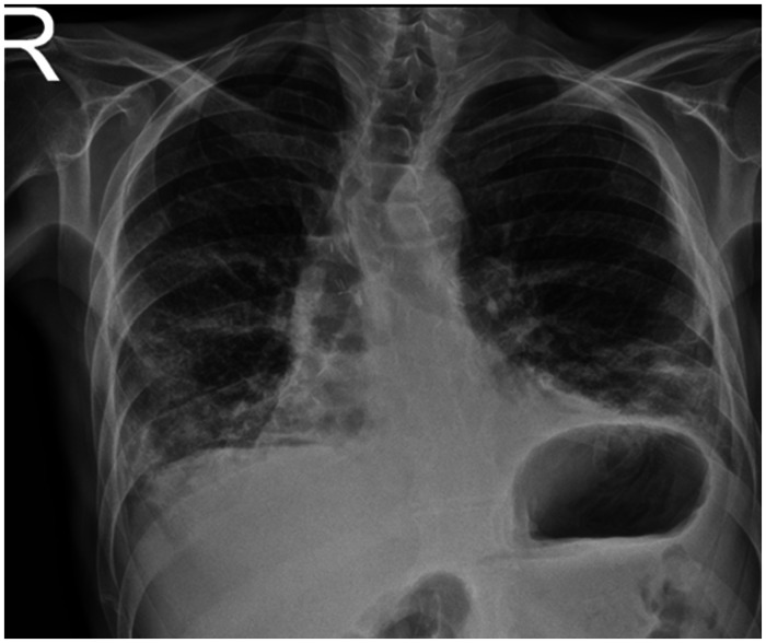
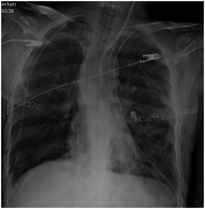
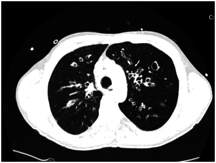
1例因囊性纤维化而接受肺移植的患者的多重危及生命的并发症及其处理。

IF 3 0 RESPIRATORY SYSTEM
Gizem Kececi Ozgur, Ali Ozdil, Pervin Korkmaz, Tevfik İlker Akcam
{"title":"1例因囊性纤维化而接受肺移植的患者的多重危及生命的并发症及其处理。","authors":"Gizem Kececi Ozgur, Ali Ozdil, Pervin Korkmaz, Tevfik İlker Akcam","doi":"10.1177/29768675241302903","DOIUrl":null,"url":null,"abstract":"<p><p>Cystic fibrosis patients may be considered for lung transplantation. Although these patients may experience more successful outcomes and survival rates compared to others, various complications can arise. In particular, infectious complications and septic deaths may be more prevalent in cystic fibrosis patients compared to other lung transplant indications. Considering all these factors, recognizing and managing complications that may arise during the postoperative period in this patient group are of critical importance. In this article, multiple life-threatening complications occurring in the post-transplant period in a patient who underwent lung transplantation due to cystic fibrosis are chronologically presented, and their management is discussed.</p>","PeriodicalId":94361,"journal":{"name":"Therapeutic advances in pulmonary and critical care medicine","volume":"19 ","pages":"29768675241302903"},"PeriodicalIF":3.0000,"publicationDate":"2024-12-05","publicationTypes":"Journal Article","fieldsOfStudy":null,"isOpenAccess":false,"openAccessPdf":"https://www.ncbi.nlm.nih.gov/pmc/articles/PMC11622289/pdf/","citationCount":"0","resultStr":"{\"title\":\"Multiple life-threatening complications in a patient who received lung transplantation due to cystic fibrosis and their management.\",\"authors\":\"Gizem Kececi Ozgur, Ali Ozdil, Pervin Korkmaz, Tevfik İlker Akcam\",\"doi\":\"10.1177/29768675241302903\",\"DOIUrl\":null,\"url\":null,\"abstract\":\"<p><p>Cystic fibrosis patients may be considered for lung transplantation. Although these patients may experience more successful outcomes and survival rates compared to others, various complications can arise. In particular, infectious complications and septic deaths may be more prevalent in cystic fibrosis patients compared to other lung transplant indications. Considering all these factors, recognizing and managing complications that may arise during the postoperative period in this patient group are of critical importance. In this article, multiple life-threatening complications occurring in the post-transplant period in a patient who underwent lung transplantation due to cystic fibrosis are chronologically presented, and their management is discussed.</p>\",\"PeriodicalId\":94361,\"journal\":{\"name\":\"Therapeutic advances in pulmonary and critical care medicine\",\"volume\":\"19 \",\"pages\":\"29768675241302903\"},\"PeriodicalIF\":3.0000,\"publicationDate\":\"2024-12-05\",\"publicationTypes\":\"Journal Article\",\"fieldsOfStudy\":null,\"isOpenAccess\":false,\"openAccessPdf\":\"https://www.ncbi.nlm.nih.gov/pmc/articles/PMC11622289/pdf/\",\"citationCount\":\"0\",\"resultStr\":null,\"platform\":\"Semanticscholar\",\"paperid\":null,\"PeriodicalName\":\"Therapeutic advances in pulmonary and critical care medicine\",\"FirstCategoryId\":\"1085\",\"ListUrlMain\":\"https://doi.org/10.1177/29768675241302903\",\"RegionNum\":0,\"RegionCategory\":null,\"ArticlePicture\":[],\"TitleCN\":null,\"AbstractTextCN\":null,\"PMCID\":null,\"EPubDate\":\"2024/1/1 0:00:00\",\"PubModel\":\"eCollection\",\"JCR\":\"0\",\"JCRName\":\"RESPIRATORY SYSTEM\",\"Score\":null,\"Total\":0}","platform":"Semanticscholar","paperid":null,"PeriodicalName":"Therapeutic advances in pulmonary and critical care medicine","FirstCategoryId":"1085","ListUrlMain":"https://doi.org/10.1177/29768675241302903","RegionNum":0,"RegionCategory":null,"ArticlePicture":[],"TitleCN":null,"AbstractTextCN":null,"PMCID":null,"EPubDate":"2024/1/1 0:00:00","PubModel":"eCollection","JCR":"0","JCRName":"RESPIRATORY SYSTEM","Score":null,"Total":0}
引用次数: 0

摘要

囊性纤维化患者可考虑肺移植。尽管与其他患者相比,这些患者可能经历更成功的结果和生存率,但可能出现各种并发症。特别是,感染性并发症和脓毒性死亡在囊性纤维化患者中可能比其他肺移植适应症更普遍。考虑到所有这些因素,识别和处理该患者组术后可能出现的并发症至关重要。在这篇文章中,我们按时间顺序介绍了一例因囊性纤维化而接受肺移植的患者在移植后发生的多种危及生命的并发症,并对其处理进行了讨论。
本文章由计算机程序翻译,如有差异,请以英文原文为准。

Multiple life-threatening complications in a patient who received lung transplantation due to cystic fibrosis and their management.

Multiple life-threatening complications in a patient who received lung transplantation due to cystic fibrosis and their management.

Multiple life-threatening complications in a patient who received lung transplantation due to cystic fibrosis and their management.

Multiple life-threatening complications in a patient who received lung transplantation due to cystic fibrosis and their management.

Cystic fibrosis patients may be considered for lung transplantation. Although these patients may experience more successful outcomes and survival rates compared to others, various complications can arise. In particular, infectious complications and septic deaths may be more prevalent in cystic fibrosis patients compared to other lung transplant indications. Considering all these factors, recognizing and managing complications that may arise during the postoperative period in this patient group are of critical importance. In this article, multiple life-threatening complications occurring in the post-transplant period in a patient who underwent lung transplantation due to cystic fibrosis are chronologically presented, and their management is discussed.

求助全文
通过发布文献求助,成功后即可免费获取论文全文。 去求助
来源期刊
自引率
0.00%
发文量
0
×
引用
GB/T 7714-2015
复制
MLA
复制
APA
复制
导出至
BibTeX EndNote RefMan NoteFirst NoteExpress
×
提示
您的信息不完整,为了账户安全,请先补充。
现在去补充
×
提示
您因"违规操作"
具体请查看互助需知
我知道了
×
提示
确定
请完成安全验证×
copy
已复制链接
快去分享给好友吧!
我知道了
右上角分享
点击右上角分享
0
联系我们:info@booksci.cn Book学术提供免费学术资源搜索服务,方便国内外学者检索中英文文献。致力于提供最便捷和优质的服务体验。 Copyright © 2023 布克学术 All rights reserved.
京ICP备2023020795号-1
ghs 京公网安备 11010802042870号
Book学术文献互助
Book学术文献互助群
群 号:604180095
Book学术官方微信