双能CT电子密度重建对腰椎间盘突出症的诊断价值。

IF 0.9 Q4 RADIOLOGY, NUCLEAR MEDICINE & MEDICAL IMAGING
SA Journal of Radiology Pub Date : 2024-11-18 eCollection Date: 2024-01-01 DOI:10.4102/sajr.v28i1.3000
Umamaheshwari K Basavaraju, Sushmita Balol, Vittal Manohar, Yashwanth Naik
{"title":"双能CT电子密度重建对腰椎间盘突出症的诊断价值。","authors":"Umamaheshwari K Basavaraju, Sushmita Balol, Vittal Manohar, Yashwanth Naik","doi":"10.4102/sajr.v28i1.3000","DOIUrl":null,"url":null,"abstract":"<p><strong>Background: </strong>Magnetic resonance imaging (MRI) is used for the evaluation of degenerative spinal disease. However, its utility is restricted in routine practice because of contraindications and a lack of widespread availability. Dual-energy computed tomography (DECT) is a newer technique for the evaluation of degenerative spinal disease.</p><p><strong>Objectives: </strong>This study aimed to evaluate the diagnostic performance of DECT with electron-density (ED) image reconstruction compared to standard CT for the detection of lumbar disc herniation, with MRI as the gold standard.</p><p><strong>Method: </strong>The retrospective study included 84 patients between 01 July 2023 to 31 December 2023 who underwent DECT and 1.5-T MRI within 1 week. Four radiologists, blinded to the clinical and MRI information, independently evaluated the standard CT series and DECT series with ED reconstructions for lumbar disc herniation and spinal nerve root impingement. The gold standard for comparison was lumbar spine MRI, and diagnostic accuracy was measured with sensitivity and specificity.</p><p><strong>Results: </strong>MRI revealed 417 lumbar disc herniations. Dual-energy computed tomography with ED reconstruction showed higher sensitivity (86.36% [532/616] vs. 57.79% [356/616]) and specificity (96.86% [1019/1052] vs. 95.82% [1008/1052]) for the detection of lumbar disc herniation compared to standard CT.</p><p><strong>Conclusion: </strong>Dual-energy computed tomography with ED reconstruction shows better diagnostic performance for the detection of lumbar disc herniation compared to standard CT and can be a useful alternative imaging modality when MRI is contraindicated or unavailable.</p><p><strong>Contribution: </strong>This study shows the usefulness of DECT as an alternative imaging technique for screening of degenerative spinal disease whenever MRI is contraindicated or unavailable.</p>","PeriodicalId":43442,"journal":{"name":"SA Journal of Radiology","volume":"28 1","pages":"3000"},"PeriodicalIF":0.9000,"publicationDate":"2024-11-18","publicationTypes":"Journal Article","fieldsOfStudy":null,"isOpenAccess":false,"openAccessPdf":"https://www.ncbi.nlm.nih.gov/pmc/articles/PMC11622118/pdf/","citationCount":"0","resultStr":"{\"title\":\"Diagnostic performance of dual-energy CT with electron-density reconstruction for lumbar disc herniation.\",\"authors\":\"Umamaheshwari K Basavaraju, Sushmita Balol, Vittal Manohar, Yashwanth Naik\",\"doi\":\"10.4102/sajr.v28i1.3000\",\"DOIUrl\":null,\"url\":null,\"abstract\":\"<p><strong>Background: </strong>Magnetic resonance imaging (MRI) is used for the evaluation of degenerative spinal disease. However, its utility is restricted in routine practice because of contraindications and a lack of widespread availability. Dual-energy computed tomography (DECT) is a newer technique for the evaluation of degenerative spinal disease.</p><p><strong>Objectives: </strong>This study aimed to evaluate the diagnostic performance of DECT with electron-density (ED) image reconstruction compared to standard CT for the detection of lumbar disc herniation, with MRI as the gold standard.</p><p><strong>Method: </strong>The retrospective study included 84 patients between 01 July 2023 to 31 December 2023 who underwent DECT and 1.5-T MRI within 1 week. Four radiologists, blinded to the clinical and MRI information, independently evaluated the standard CT series and DECT series with ED reconstructions for lumbar disc herniation and spinal nerve root impingement. The gold standard for comparison was lumbar spine MRI, and diagnostic accuracy was measured with sensitivity and specificity.</p><p><strong>Results: </strong>MRI revealed 417 lumbar disc herniations. Dual-energy computed tomography with ED reconstruction showed higher sensitivity (86.36% [532/616] vs. 57.79% [356/616]) and specificity (96.86% [1019/1052] vs. 95.82% [1008/1052]) for the detection of lumbar disc herniation compared to standard CT.</p><p><strong>Conclusion: </strong>Dual-energy computed tomography with ED reconstruction shows better diagnostic performance for the detection of lumbar disc herniation compared to standard CT and can be a useful alternative imaging modality when MRI is contraindicated or unavailable.</p><p><strong>Contribution: </strong>This study shows the usefulness of DECT as an alternative imaging technique for screening of degenerative spinal disease whenever MRI is contraindicated or unavailable.</p>\",\"PeriodicalId\":43442,\"journal\":{\"name\":\"SA Journal of Radiology\",\"volume\":\"28 1\",\"pages\":\"3000\"},\"PeriodicalIF\":0.9000,\"publicationDate\":\"2024-11-18\",\"publicationTypes\":\"Journal Article\",\"fieldsOfStudy\":null,\"isOpenAccess\":false,\"openAccessPdf\":\"https://www.ncbi.nlm.nih.gov/pmc/articles/PMC11622118/pdf/\",\"citationCount\":\"0\",\"resultStr\":null,\"platform\":\"Semanticscholar\",\"paperid\":null,\"PeriodicalName\":\"SA Journal of Radiology\",\"FirstCategoryId\":\"1085\",\"ListUrlMain\":\"https://doi.org/10.4102/sajr.v28i1.3000\",\"RegionNum\":0,\"RegionCategory\":null,\"ArticlePicture\":[],\"TitleCN\":null,\"AbstractTextCN\":null,\"PMCID\":null,\"EPubDate\":\"2024/1/1 0:00:00\",\"PubModel\":\"eCollection\",\"JCR\":\"Q4\",\"JCRName\":\"RADIOLOGY, NUCLEAR MEDICINE & MEDICAL IMAGING\",\"Score\":null,\"Total\":0}","platform":"Semanticscholar","paperid":null,"PeriodicalName":"SA Journal of Radiology","FirstCategoryId":"1085","ListUrlMain":"https://doi.org/10.4102/sajr.v28i1.3000","RegionNum":0,"RegionCategory":null,"ArticlePicture":[],"TitleCN":null,"AbstractTextCN":null,"PMCID":null,"EPubDate":"2024/1/1 0:00:00","PubModel":"eCollection","JCR":"Q4","JCRName":"RADIOLOGY, NUCLEAR MEDICINE & MEDICAL IMAGING","Score":null,"Total":0}
引用次数: 0

摘要

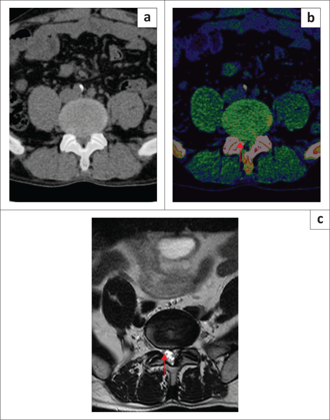
背景:磁共振成像(MRI)用于评估退行性脊柱疾病。然而,由于禁忌症和缺乏广泛可用性,其应用在常规实践中受到限制。双能计算机断层扫描(DECT)是一种评估退行性脊柱疾病的新技术。目的:本研究旨在评价电子密度(ED)图像重建的DECT与标准CT对腰椎间盘突出症的诊断效果,以MRI为金标准。方法:回顾性研究包括84例于2023年7月1日至2023年12月31日在一周内接受DECT和1.5 t MRI检查的患者。4名放射科医生在不了解临床和MRI信息的情况下,独立评估了标准CT系列和DECT系列与ED重建对腰椎间盘突出和脊神经根撞击的影响。比较的金标准是腰椎MRI,诊断准确性是通过敏感性和特异性来衡量的。结果:MRI显示腰椎间盘突出417例。双能CT合并ED重建对腰椎间盘突出症的检测灵敏度(86.36% [532/616]vs. 57.79%[356/616])和特异性(96.86% [1019/1052]vs. 95.82%[1008/1052])均高于标准CT。结论:与标准CT相比,双能计算机断层扫描与ED重建对腰椎间盘突出症的诊断效果更好,当MRI禁忌或不可用时,可以作为一种有用的替代成像方式。贡献:本研究显示了当MRI禁忌或不可用时,DECT作为一种替代成像技术筛查退行性脊柱疾病的有用性。
本文章由计算机程序翻译,如有差异,请以英文原文为准。

Diagnostic performance of dual-energy CT with electron-density reconstruction for lumbar disc herniation.

Diagnostic performance of dual-energy CT with electron-density reconstruction for lumbar disc herniation.

Diagnostic performance of dual-energy CT with electron-density reconstruction for lumbar disc herniation.

Diagnostic performance of dual-energy CT with electron-density reconstruction for lumbar disc herniation.

Background: Magnetic resonance imaging (MRI) is used for the evaluation of degenerative spinal disease. However, its utility is restricted in routine practice because of contraindications and a lack of widespread availability. Dual-energy computed tomography (DECT) is a newer technique for the evaluation of degenerative spinal disease.

Objectives: This study aimed to evaluate the diagnostic performance of DECT with electron-density (ED) image reconstruction compared to standard CT for the detection of lumbar disc herniation, with MRI as the gold standard.

Method: The retrospective study included 84 patients between 01 July 2023 to 31 December 2023 who underwent DECT and 1.5-T MRI within 1 week. Four radiologists, blinded to the clinical and MRI information, independently evaluated the standard CT series and DECT series with ED reconstructions for lumbar disc herniation and spinal nerve root impingement. The gold standard for comparison was lumbar spine MRI, and diagnostic accuracy was measured with sensitivity and specificity.

Results: MRI revealed 417 lumbar disc herniations. Dual-energy computed tomography with ED reconstruction showed higher sensitivity (86.36% [532/616] vs. 57.79% [356/616]) and specificity (96.86% [1019/1052] vs. 95.82% [1008/1052]) for the detection of lumbar disc herniation compared to standard CT.

Conclusion: Dual-energy computed tomography with ED reconstruction shows better diagnostic performance for the detection of lumbar disc herniation compared to standard CT and can be a useful alternative imaging modality when MRI is contraindicated or unavailable.

Contribution: This study shows the usefulness of DECT as an alternative imaging technique for screening of degenerative spinal disease whenever MRI is contraindicated or unavailable.

求助全文
通过发布文献求助,成功后即可免费获取论文全文。 去求助
来源期刊
SA Journal of Radiology
SA Journal of Radiology RADIOLOGY, NUCLEAR MEDICINE & MEDICAL IMAGING-
CiteScore
1.20
自引率
11.10%
发文量
35
审稿时长
16 weeks
期刊介绍: The SA Journal of Radiology is the official journal of the Radiological Society of South Africa and the Professional Association of Radiologists in South Africa and Namibia. The SA Journal of Radiology is a general diagnostic radiological journal which carries original research and review articles, pictorial essays, case reports, letters, editorials, radiological practice and other radiological articles.
×
引用
GB/T 7714-2015
复制
MLA
复制
APA
复制
导出至
BibTeX EndNote RefMan NoteFirst NoteExpress
×
提示
您的信息不完整,为了账户安全,请先补充。
现在去补充
×
提示
您因"违规操作"
具体请查看互助需知
我知道了
×
提示
确定
请完成安全验证×
copy
已复制链接
快去分享给好友吧!
我知道了
右上角分享
点击右上角分享
0
联系我们:info@booksci.cn Book学术提供免费学术资源搜索服务,方便国内外学者检索中英文文献。致力于提供最便捷和优质的服务体验。 Copyright © 2023 布克学术 All rights reserved.
京ICP备2023020795号-1
ghs 京公网安备 11010802042870号
Book学术文献互助
Book学术文献互助群
群 号:604180095
Book学术官方微信