心脏影像学与感染性心内膜炎管理的相关性。

IF 2.2 Q2 CARDIAC & CARDIOVASCULAR SYSTEMS
Alice Haouzi, Mohamed Khayata, Bo Xu
{"title":"心脏影像学与感染性心内膜炎管理的相关性。","authors":"Alice Haouzi, Mohamed Khayata, Bo Xu","doi":"10.1177/17539447241305587","DOIUrl":null,"url":null,"abstract":"<p><p>Infective endocarditis (IE) is an increasingly recognized condition with high morbidity. Patients with atypical symptoms, culture-negative infections, and prosthetic cardiac devices and implants represent challenging populations to evaluate and manage. Recent major society guidelines have recommended the appropriate incorporation of multimodality imaging in the evaluation of these more complex IE cases. This article draws on the available literature regarding the different cardiac imaging modalities and discusses the role of multimodality imaging in IE.</p>","PeriodicalId":23035,"journal":{"name":"Therapeutic Advances in Cardiovascular Disease","volume":"18 ","pages":"17539447241305587"},"PeriodicalIF":2.2000,"publicationDate":"2024-01-01","publicationTypes":"Journal Article","fieldsOfStudy":null,"isOpenAccess":false,"openAccessPdf":"https://www.ncbi.nlm.nih.gov/pmc/articles/PMC11632876/pdf/","citationCount":"0","resultStr":"{\"title\":\"Relevance of cardiac imaging in the evolving landscape of infective endocarditis management.\",\"authors\":\"Alice Haouzi, Mohamed Khayata, Bo Xu\",\"doi\":\"10.1177/17539447241305587\",\"DOIUrl\":null,\"url\":null,\"abstract\":\"<p><p>Infective endocarditis (IE) is an increasingly recognized condition with high morbidity. Patients with atypical symptoms, culture-negative infections, and prosthetic cardiac devices and implants represent challenging populations to evaluate and manage. Recent major society guidelines have recommended the appropriate incorporation of multimodality imaging in the evaluation of these more complex IE cases. This article draws on the available literature regarding the different cardiac imaging modalities and discusses the role of multimodality imaging in IE.</p>\",\"PeriodicalId\":23035,\"journal\":{\"name\":\"Therapeutic Advances in Cardiovascular Disease\",\"volume\":\"18 \",\"pages\":\"17539447241305587\"},\"PeriodicalIF\":2.2000,\"publicationDate\":\"2024-01-01\",\"publicationTypes\":\"Journal Article\",\"fieldsOfStudy\":null,\"isOpenAccess\":false,\"openAccessPdf\":\"https://www.ncbi.nlm.nih.gov/pmc/articles/PMC11632876/pdf/\",\"citationCount\":\"0\",\"resultStr\":null,\"platform\":\"Semanticscholar\",\"paperid\":null,\"PeriodicalName\":\"Therapeutic Advances in Cardiovascular Disease\",\"FirstCategoryId\":\"1085\",\"ListUrlMain\":\"https://doi.org/10.1177/17539447241305587\",\"RegionNum\":0,\"RegionCategory\":null,\"ArticlePicture\":[],\"TitleCN\":null,\"AbstractTextCN\":null,\"PMCID\":null,\"EPubDate\":\"\",\"PubModel\":\"\",\"JCR\":\"Q2\",\"JCRName\":\"CARDIAC & CARDIOVASCULAR SYSTEMS\",\"Score\":null,\"Total\":0}","platform":"Semanticscholar","paperid":null,"PeriodicalName":"Therapeutic Advances in Cardiovascular Disease","FirstCategoryId":"1085","ListUrlMain":"https://doi.org/10.1177/17539447241305587","RegionNum":0,"RegionCategory":null,"ArticlePicture":[],"TitleCN":null,"AbstractTextCN":null,"PMCID":null,"EPubDate":"","PubModel":"","JCR":"Q2","JCRName":"CARDIAC & CARDIOVASCULAR SYSTEMS","Score":null,"Total":0}
引用次数: 0

摘要

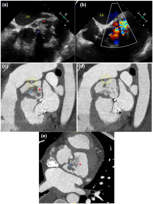
感染性心内膜炎(IE)是一种越来越被认识到的高发病率疾病。具有非典型症状、培养阴性感染以及心脏假体和植入物的患者是评估和管理具有挑战性的人群。最近的主要社会指南建议在评估这些更复杂的IE病例时适当地结合多模态成像。这篇文章借鉴了关于不同心脏成像模式的现有文献,并讨论了多模式成像在IE中的作用。
本文章由计算机程序翻译,如有差异,请以英文原文为准。

Relevance of cardiac imaging in the evolving landscape of infective endocarditis management.

Relevance of cardiac imaging in the evolving landscape of infective endocarditis management.

Relevance of cardiac imaging in the evolving landscape of infective endocarditis management.

Relevance of cardiac imaging in the evolving landscape of infective endocarditis management.

Infective endocarditis (IE) is an increasingly recognized condition with high morbidity. Patients with atypical symptoms, culture-negative infections, and prosthetic cardiac devices and implants represent challenging populations to evaluate and manage. Recent major society guidelines have recommended the appropriate incorporation of multimodality imaging in the evaluation of these more complex IE cases. This article draws on the available literature regarding the different cardiac imaging modalities and discusses the role of multimodality imaging in IE.

求助全文
通过发布文献求助,成功后即可免费获取论文全文。 去求助
来源期刊
Therapeutic Advances in Cardiovascular Disease
Therapeutic Advances in Cardiovascular Disease CARDIAC & CARDIOVASCULAR SYSTEMS-
CiteScore
3.50
自引率
0.00%
发文量
11
审稿时长
9 weeks
期刊介绍: The journal is aimed at clinicians and researchers from the cardiovascular disease field and will be a forum for all views and reviews relating to this discipline.Topics covered will include: ·arteriosclerosis ·cardiomyopathies ·coronary artery disease ·diabetes ·heart failure ·hypertension ·metabolic syndrome ·obesity ·peripheral arterial disease ·stroke ·arrhythmias ·genetics
×
引用
GB/T 7714-2015
复制
MLA
复制
APA
复制
导出至
BibTeX EndNote RefMan NoteFirst NoteExpress
×
提示
您的信息不完整,为了账户安全,请先补充。
现在去补充
×
提示
您因"违规操作"
具体请查看互助需知
我知道了
×
提示
确定
请完成安全验证×
copy
已复制链接
快去分享给好友吧!
我知道了
右上角分享
点击右上角分享
0
联系我们:info@booksci.cn Book学术提供免费学术资源搜索服务,方便国内外学者检索中英文文献。致力于提供最便捷和优质的服务体验。 Copyright © 2023 布克学术 All rights reserved.
京ICP备2023020795号-1
ghs 京公网安备 11010802042870号
Book学术文献互助
Book学术文献互助群
群 号:604180095
Book学术官方微信