一名患有 Mayer-Rokitansky-Küster-Hauser 2 型综合征的年轻患者视网膜分支动脉闭塞。

Q3 Medicine
Oman Journal of Ophthalmology Pub Date : 2024-10-24 eCollection Date: 2024-09-01 DOI:10.4103/ojo.ojo_48_24
Anita Bedwal, Mousumi Banerjee, Parveen Rewri
{"title":"一名患有 Mayer-Rokitansky-Küster-Hauser 2 型综合征的年轻患者视网膜分支动脉闭塞。","authors":"Anita Bedwal, Mousumi Banerjee, Parveen Rewri","doi":"10.4103/ojo.ojo_48_24","DOIUrl":null,"url":null,"abstract":"<p><p>Retinal vascular occlusions are rare in young people, and any occlusion warrants an extensive clinical evaluation to establish the etiology. Cardiac malformations are a source of embolism. We present a case of atrial septal defect (ASD) in a patient with type II Mayer-Rokitansky-Küster-Hauser syndrome, leading to unilateral branch retinal arterial occlusion (BRAO) in a young woman. A 21-year-old woman presented with sudden, painless, blurring of vision, and a superior visual field defect in her right eye. A fundus examination confirmed the BRAO diagnosis. Ocular and systemic evaluation revealed primary amenorrhea, ASD, ectopic kidneys, and pelvic cyst. Any vascular occlusion in a young patient must be thoroughly evaluated, including a detailed systemic history.</p>","PeriodicalId":19461,"journal":{"name":"Oman Journal of Ophthalmology","volume":"17 3","pages":"393-395"},"PeriodicalIF":0.0000,"publicationDate":"2024-10-24","publicationTypes":"Journal Article","fieldsOfStudy":null,"isOpenAccess":false,"openAccessPdf":"https://www.ncbi.nlm.nih.gov/pmc/articles/PMC11620319/pdf/","citationCount":"0","resultStr":"{\"title\":\"Branch retinal artery occlusion in a young patient with Mayer-Rokitansky-Küster-Hauser type 2 syndrome.\",\"authors\":\"Anita Bedwal, Mousumi Banerjee, Parveen Rewri\",\"doi\":\"10.4103/ojo.ojo_48_24\",\"DOIUrl\":null,\"url\":null,\"abstract\":\"<p><p>Retinal vascular occlusions are rare in young people, and any occlusion warrants an extensive clinical evaluation to establish the etiology. Cardiac malformations are a source of embolism. We present a case of atrial septal defect (ASD) in a patient with type II Mayer-Rokitansky-Küster-Hauser syndrome, leading to unilateral branch retinal arterial occlusion (BRAO) in a young woman. A 21-year-old woman presented with sudden, painless, blurring of vision, and a superior visual field defect in her right eye. A fundus examination confirmed the BRAO diagnosis. Ocular and systemic evaluation revealed primary amenorrhea, ASD, ectopic kidneys, and pelvic cyst. Any vascular occlusion in a young patient must be thoroughly evaluated, including a detailed systemic history.</p>\",\"PeriodicalId\":19461,\"journal\":{\"name\":\"Oman Journal of Ophthalmology\",\"volume\":\"17 3\",\"pages\":\"393-395\"},\"PeriodicalIF\":0.0000,\"publicationDate\":\"2024-10-24\",\"publicationTypes\":\"Journal Article\",\"fieldsOfStudy\":null,\"isOpenAccess\":false,\"openAccessPdf\":\"https://www.ncbi.nlm.nih.gov/pmc/articles/PMC11620319/pdf/\",\"citationCount\":\"0\",\"resultStr\":null,\"platform\":\"Semanticscholar\",\"paperid\":null,\"PeriodicalName\":\"Oman Journal of Ophthalmology\",\"FirstCategoryId\":\"1085\",\"ListUrlMain\":\"https://doi.org/10.4103/ojo.ojo_48_24\",\"RegionNum\":0,\"RegionCategory\":null,\"ArticlePicture\":[],\"TitleCN\":null,\"AbstractTextCN\":null,\"PMCID\":null,\"EPubDate\":\"2024/9/1 0:00:00\",\"PubModel\":\"eCollection\",\"JCR\":\"Q3\",\"JCRName\":\"Medicine\",\"Score\":null,\"Total\":0}","platform":"Semanticscholar","paperid":null,"PeriodicalName":"Oman Journal of Ophthalmology","FirstCategoryId":"1085","ListUrlMain":"https://doi.org/10.4103/ojo.ojo_48_24","RegionNum":0,"RegionCategory":null,"ArticlePicture":[],"TitleCN":null,"AbstractTextCN":null,"PMCID":null,"EPubDate":"2024/9/1 0:00:00","PubModel":"eCollection","JCR":"Q3","JCRName":"Medicine","Score":null,"Total":0}
引用次数: 0

摘要

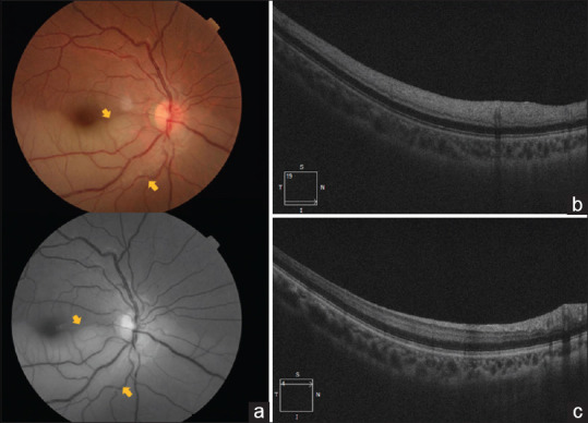
视网膜血管闭塞在年轻人中很少见,任何闭塞都需要进行广泛的临床评估以确定病因。心脏畸形是栓塞的来源之一。我们介绍了一例患有心房间隔缺损(ASD)的 II 型 Mayer-Rokitansky-Küster-Hauser 综合征患者,该病导致一名年轻女性出现单侧视网膜分支动脉闭塞(BRAO)。一名 21 岁女性患者突然出现无痛性视力模糊和右眼上视野缺损。眼底检查确诊为 BRAO。眼部和全身评估显示她患有原发性闭经、ASD、异位肾脏和盆腔囊肿。必须对年轻患者的任何血管闭塞进行彻底评估,包括详细的系统病史。
本文章由计算机程序翻译,如有差异,请以英文原文为准。

Branch retinal artery occlusion in a young patient with Mayer-Rokitansky-Küster-Hauser type 2 syndrome.

Branch retinal artery occlusion in a young patient with Mayer-Rokitansky-Küster-Hauser type 2 syndrome.

Branch retinal artery occlusion in a young patient with Mayer-Rokitansky-Küster-Hauser type 2 syndrome.

Retinal vascular occlusions are rare in young people, and any occlusion warrants an extensive clinical evaluation to establish the etiology. Cardiac malformations are a source of embolism. We present a case of atrial septal defect (ASD) in a patient with type II Mayer-Rokitansky-Küster-Hauser syndrome, leading to unilateral branch retinal arterial occlusion (BRAO) in a young woman. A 21-year-old woman presented with sudden, painless, blurring of vision, and a superior visual field defect in her right eye. A fundus examination confirmed the BRAO diagnosis. Ocular and systemic evaluation revealed primary amenorrhea, ASD, ectopic kidneys, and pelvic cyst. Any vascular occlusion in a young patient must be thoroughly evaluated, including a detailed systemic history.

求助全文
通过发布文献求助,成功后即可免费获取论文全文。 去求助
来源期刊
Oman Journal of Ophthalmology
Oman Journal of Ophthalmology Medicine-Ophthalmology
CiteScore
0.50
自引率
0.00%
发文量
68
审稿时长
50 weeks
期刊介绍: To provide a platform for scientific expression of the Oman Ophthalmic Society and the international Ophthalmic community and to provide opportunities for free exchange of ideas and information. To serve as a valuable resource for ophthalmologists, eye-care providers including optometrists, orthoptists, other health care professionals and research workers in all aspects of the field of visual science.
×
引用
GB/T 7714-2015
复制
MLA
复制
APA
复制
导出至
BibTeX EndNote RefMan NoteFirst NoteExpress
×
提示
您的信息不完整,为了账户安全,请先补充。
现在去补充
×
提示
您因"违规操作"
具体请查看互助需知
我知道了
×
提示
确定
请完成安全验证×
copy
已复制链接
快去分享给好友吧!
我知道了
右上角分享
点击右上角分享
0
联系我们:info@booksci.cn Book学术提供免费学术资源搜索服务,方便国内外学者检索中英文文献。致力于提供最便捷和优质的服务体验。 Copyright © 2023 布克学术 All rights reserved.
京ICP备2023020795号-1
ghs 京公网安备 11010802042870号
Book学术文献互助
Book学术文献互助群
群 号:604180095
Book学术官方微信