口腔癌前病变和鳞状细胞癌的细胞同类相食。

Q3 Medicine
Zohreh Jaafari-Ashkavandi, Azadeh Andisheh Tadbir, Asa Rahmatabadi, Seyed Hossein Owji
{"title":"口腔癌前病变和鳞状细胞癌的细胞同类相食。","authors":"Zohreh Jaafari-Ashkavandi, Azadeh Andisheh Tadbir, Asa Rahmatabadi, Seyed Hossein Owji","doi":"10.22038/ijorl.2024.77568.3600","DOIUrl":null,"url":null,"abstract":"<p><strong>Introduction: </strong>Cellular cannibalism is defined as a process of non-apoptotic cell death. This phenomenon has been indicated to be associated with aggressiveness, anaplasia, invasiveness, and metastatic potential of various malignancies. The Aim of this study is the evaluation of cell cannibalism in oral dysplastic lesions and oral cancer.</p><p><strong>Materials and methods: </strong>A total of 31 cases of squamous cell carcinoma (SCC), 30 epithelial dysplasia, and 36 hyperkeratosis (HK) were enrolled in this Cross-sectional study. All hematoxylin and eosin tissue sections were examined in 10 high-power fields for tumor cell cannibalism. Data were analyzed using the Kruskal-Wallis and Fisher's exact test.</p><p><strong>Results: </strong>Cell cannibalism was found in all cases of SCC, 58.3% of dysplastic lesions, and 3.7% of HK cases. The mean number of cells with cannibalism was 19.48± 4.94 in SCC patients, 1.03± 1.25 in dysplastic lesions, and 0.03± 0.18in HK with a significant difference (P<0.001). High grades dysplastic and cancerous lesions exhibited more cannibalistic cells (P=0.01, P= 0.27, respectively).</p><p><strong>Conclusions: </strong>In addition to oral SCC, cell cannibalism was found in oral epithelial dysplasia; which was significantly more in SCC. This phenomenon was in association with grades of differentiation and might be considered a potential criterion for malignant transformation and high-grade lesions.</p>","PeriodicalId":14607,"journal":{"name":"Iranian Journal of Otorhinolaryngology","volume":"36 6","pages":"639-646"},"PeriodicalIF":0.0000,"publicationDate":"2024-01-01","publicationTypes":"Journal Article","fieldsOfStudy":null,"isOpenAccess":false,"openAccessPdf":"https://www.ncbi.nlm.nih.gov/pmc/articles/PMC11624854/pdf/","citationCount":"0","resultStr":"{\"title\":\"Cell Cannibalism in Oral Precancerous Lesions and Squamous Cell Carcinoma.\",\"authors\":\"Zohreh Jaafari-Ashkavandi, Azadeh Andisheh Tadbir, Asa Rahmatabadi, Seyed Hossein Owji\",\"doi\":\"10.22038/ijorl.2024.77568.3600\",\"DOIUrl\":null,\"url\":null,\"abstract\":\"<p><strong>Introduction: </strong>Cellular cannibalism is defined as a process of non-apoptotic cell death. This phenomenon has been indicated to be associated with aggressiveness, anaplasia, invasiveness, and metastatic potential of various malignancies. The Aim of this study is the evaluation of cell cannibalism in oral dysplastic lesions and oral cancer.</p><p><strong>Materials and methods: </strong>A total of 31 cases of squamous cell carcinoma (SCC), 30 epithelial dysplasia, and 36 hyperkeratosis (HK) were enrolled in this Cross-sectional study. All hematoxylin and eosin tissue sections were examined in 10 high-power fields for tumor cell cannibalism. Data were analyzed using the Kruskal-Wallis and Fisher's exact test.</p><p><strong>Results: </strong>Cell cannibalism was found in all cases of SCC, 58.3% of dysplastic lesions, and 3.7% of HK cases. The mean number of cells with cannibalism was 19.48± 4.94 in SCC patients, 1.03± 1.25 in dysplastic lesions, and 0.03± 0.18in HK with a significant difference (P<0.001). High grades dysplastic and cancerous lesions exhibited more cannibalistic cells (P=0.01, P= 0.27, respectively).</p><p><strong>Conclusions: </strong>In addition to oral SCC, cell cannibalism was found in oral epithelial dysplasia; which was significantly more in SCC. This phenomenon was in association with grades of differentiation and might be considered a potential criterion for malignant transformation and high-grade lesions.</p>\",\"PeriodicalId\":14607,\"journal\":{\"name\":\"Iranian Journal of Otorhinolaryngology\",\"volume\":\"36 6\",\"pages\":\"639-646\"},\"PeriodicalIF\":0.0000,\"publicationDate\":\"2024-01-01\",\"publicationTypes\":\"Journal Article\",\"fieldsOfStudy\":null,\"isOpenAccess\":false,\"openAccessPdf\":\"https://www.ncbi.nlm.nih.gov/pmc/articles/PMC11624854/pdf/\",\"citationCount\":\"0\",\"resultStr\":null,\"platform\":\"Semanticscholar\",\"paperid\":null,\"PeriodicalName\":\"Iranian Journal of Otorhinolaryngology\",\"FirstCategoryId\":\"1085\",\"ListUrlMain\":\"https://doi.org/10.22038/ijorl.2024.77568.3600\",\"RegionNum\":0,\"RegionCategory\":null,\"ArticlePicture\":[],\"TitleCN\":null,\"AbstractTextCN\":null,\"PMCID\":null,\"EPubDate\":\"\",\"PubModel\":\"\",\"JCR\":\"Q3\",\"JCRName\":\"Medicine\",\"Score\":null,\"Total\":0}","platform":"Semanticscholar","paperid":null,"PeriodicalName":"Iranian Journal of Otorhinolaryngology","FirstCategoryId":"1085","ListUrlMain":"https://doi.org/10.22038/ijorl.2024.77568.3600","RegionNum":0,"RegionCategory":null,"ArticlePicture":[],"TitleCN":null,"AbstractTextCN":null,"PMCID":null,"EPubDate":"","PubModel":"","JCR":"Q3","JCRName":"Medicine","Score":null,"Total":0}
引用次数: 0

摘要

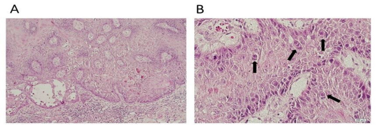
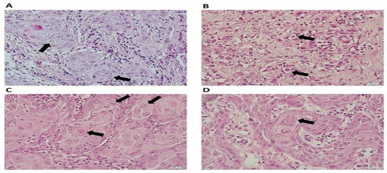
导言细胞食人被定义为一种非凋亡性细胞死亡过程。有研究表明,这种现象与各种恶性肿瘤的侵袭性、无凋亡性、侵袭性和转移潜力有关。本研究的目的是评估口腔发育不良病变和口腔癌中的细胞食人现象:这项横断面研究共纳入了 31 例鳞状细胞癌(SCC)、30 例上皮发育不良和 36 例角化过度(HK)病例。所有苏木精和伊红组织切片均在 10 个高倍视野中进行肿瘤细胞吞噬检查。数据采用 Kruskal-Wallis 和 Fisher's 精确检验进行分析:结果:在所有 SCC 病例、58.3% 的发育不良病例和 3.7% 的 HK 病例中都发现了细胞嵌合现象。SCC患者中食人细胞的平均数量为(19.48± 4.94)个,发育不良病变患者中食人细胞的平均数量为(1.03± 1.25)个,HK患者中食人细胞的平均数量为(0.03± 0.18)个,差异显著(PConclusions:除口腔 SCC 外,在口腔上皮发育不良中也发现了细胞食人现象;在 SCC 中明显较多。这种现象与分化等级有关,可被视为恶性转化和高级别病变的潜在标准。
本文章由计算机程序翻译,如有差异,请以英文原文为准。

Cell Cannibalism in Oral Precancerous Lesions and Squamous Cell Carcinoma.

Cell Cannibalism in Oral Precancerous Lesions and Squamous Cell Carcinoma.

Cell Cannibalism in Oral Precancerous Lesions and Squamous Cell Carcinoma.

Cell Cannibalism in Oral Precancerous Lesions and Squamous Cell Carcinoma.

Introduction: Cellular cannibalism is defined as a process of non-apoptotic cell death. This phenomenon has been indicated to be associated with aggressiveness, anaplasia, invasiveness, and metastatic potential of various malignancies. The Aim of this study is the evaluation of cell cannibalism in oral dysplastic lesions and oral cancer.

Materials and methods: A total of 31 cases of squamous cell carcinoma (SCC), 30 epithelial dysplasia, and 36 hyperkeratosis (HK) were enrolled in this Cross-sectional study. All hematoxylin and eosin tissue sections were examined in 10 high-power fields for tumor cell cannibalism. Data were analyzed using the Kruskal-Wallis and Fisher's exact test.

Results: Cell cannibalism was found in all cases of SCC, 58.3% of dysplastic lesions, and 3.7% of HK cases. The mean number of cells with cannibalism was 19.48± 4.94 in SCC patients, 1.03± 1.25 in dysplastic lesions, and 0.03± 0.18in HK with a significant difference (P<0.001). High grades dysplastic and cancerous lesions exhibited more cannibalistic cells (P=0.01, P= 0.27, respectively).

Conclusions: In addition to oral SCC, cell cannibalism was found in oral epithelial dysplasia; which was significantly more in SCC. This phenomenon was in association with grades of differentiation and might be considered a potential criterion for malignant transformation and high-grade lesions.

求助全文
通过发布文献求助,成功后即可免费获取论文全文。 去求助
来源期刊
Iranian Journal of Otorhinolaryngology
Iranian Journal of Otorhinolaryngology Medicine-Otorhinolaryngology
CiteScore
1.30
自引率
0.00%
发文量
72
审稿时长
12 weeks
×
引用
GB/T 7714-2015
复制
MLA
复制
APA
复制
导出至
BibTeX EndNote RefMan NoteFirst NoteExpress
×
提示
您的信息不完整,为了账户安全,请先补充。
现在去补充
×
提示
您因"违规操作"
具体请查看互助需知
我知道了
×
提示
确定
请完成安全验证×
copy
已复制链接
快去分享给好友吧!
我知道了
右上角分享
点击右上角分享
0
联系我们:info@booksci.cn Book学术提供免费学术资源搜索服务,方便国内外学者检索中英文文献。致力于提供最便捷和优质的服务体验。 Copyright © 2023 布克学术 All rights reserved.
京ICP备2023020795号-1
ghs 京公网安备 11010802042870号
Book学术文献互助
Book学术文献互助群
群 号:604180095
Book学术官方微信