猫的腺癌,可能是由肝脏甲状腺异位引起的。

IF 0.7 Q3 VETERINARY SCIENCES
Journal of Feline Medicine and Surgery Open Reports Pub Date : 2024-12-07 eCollection Date: 2024-07-01 DOI:10.1177/20551169241277090
Lucia Caprioli, Francesca Parisi, Lisa Caprioli, Maria Massaro, Paolo Buracco, Noemi Dilli, Simone Borgonovo, Francesca Abramo
{"title":"猫的腺癌,可能是由肝脏甲状腺异位引起的。","authors":"Lucia Caprioli, Francesca Parisi, Lisa Caprioli, Maria Massaro, Paolo Buracco, Noemi Dilli, Simone Borgonovo, Francesca Abramo","doi":"10.1177/20551169241277090","DOIUrl":null,"url":null,"abstract":"<p><strong>Case summary: </strong>Ectopic thyroid tissue is rarely reported in dogs and cats in its prediaphragmatic location and has never been described in the liver. A 15-year-old spayed female domestic shorthair cat was diagnosed by ultrasound with a heterogeneous hypoechoic nodular area in the liver at the periphery of the quadrate lobe. A generic diagnosis of carcinoma was made after ultrasound-guided fine-needle aspiration and cytological examination. The patient underwent staging by CT scan and subsequently underwent hepatic lobectomy. Histologically, a diagnosis of thyroid adenocarcinoma was made, confirmed immunohistochemically using positive thyroglobulin staining; the tumour was suspected to be of metastatic origin. CT scans excluded primary thyroid involvement; in addition, lesions at other sites were not detected. Therefore, a final diagnosis of thyroid adenocarcinoma arising from ectopic thyroid tissue in the liver was made. The cat recovered uneventfully from surgery.</p><p><strong>Relevance and novel information: </strong>This report describes an unusual case of an adenocarcinoma originating from presumed thyroid ectopic tissue within the liver of a cat. Ectopic thyroid tissue has been rarely reported in both dogs and cats and, to the authors' knowledge, it has never been described in the liver of a cat.</p>","PeriodicalId":36588,"journal":{"name":"Journal of Feline Medicine and Surgery Open Reports","volume":"10 2","pages":"20551169241277090"},"PeriodicalIF":0.7000,"publicationDate":"2024-12-07","publicationTypes":"Journal Article","fieldsOfStudy":null,"isOpenAccess":false,"openAccessPdf":"https://www.ncbi.nlm.nih.gov/pmc/articles/PMC11624566/pdf/","citationCount":"0","resultStr":"{\"title\":\"Adenocarcinoma originating from presumed liver ectopic thyroid in a cat.\",\"authors\":\"Lucia Caprioli, Francesca Parisi, Lisa Caprioli, Maria Massaro, Paolo Buracco, Noemi Dilli, Simone Borgonovo, Francesca Abramo\",\"doi\":\"10.1177/20551169241277090\",\"DOIUrl\":null,\"url\":null,\"abstract\":\"<p><strong>Case summary: </strong>Ectopic thyroid tissue is rarely reported in dogs and cats in its prediaphragmatic location and has never been described in the liver. A 15-year-old spayed female domestic shorthair cat was diagnosed by ultrasound with a heterogeneous hypoechoic nodular area in the liver at the periphery of the quadrate lobe. A generic diagnosis of carcinoma was made after ultrasound-guided fine-needle aspiration and cytological examination. The patient underwent staging by CT scan and subsequently underwent hepatic lobectomy. Histologically, a diagnosis of thyroid adenocarcinoma was made, confirmed immunohistochemically using positive thyroglobulin staining; the tumour was suspected to be of metastatic origin. CT scans excluded primary thyroid involvement; in addition, lesions at other sites were not detected. Therefore, a final diagnosis of thyroid adenocarcinoma arising from ectopic thyroid tissue in the liver was made. The cat recovered uneventfully from surgery.</p><p><strong>Relevance and novel information: </strong>This report describes an unusual case of an adenocarcinoma originating from presumed thyroid ectopic tissue within the liver of a cat. Ectopic thyroid tissue has been rarely reported in both dogs and cats and, to the authors' knowledge, it has never been described in the liver of a cat.</p>\",\"PeriodicalId\":36588,\"journal\":{\"name\":\"Journal of Feline Medicine and Surgery Open Reports\",\"volume\":\"10 2\",\"pages\":\"20551169241277090\"},\"PeriodicalIF\":0.7000,\"publicationDate\":\"2024-12-07\",\"publicationTypes\":\"Journal Article\",\"fieldsOfStudy\":null,\"isOpenAccess\":false,\"openAccessPdf\":\"https://www.ncbi.nlm.nih.gov/pmc/articles/PMC11624566/pdf/\",\"citationCount\":\"0\",\"resultStr\":null,\"platform\":\"Semanticscholar\",\"paperid\":null,\"PeriodicalName\":\"Journal of Feline Medicine and Surgery Open Reports\",\"FirstCategoryId\":\"1085\",\"ListUrlMain\":\"https://doi.org/10.1177/20551169241277090\",\"RegionNum\":0,\"RegionCategory\":null,\"ArticlePicture\":[],\"TitleCN\":null,\"AbstractTextCN\":null,\"PMCID\":null,\"EPubDate\":\"2024/7/1 0:00:00\",\"PubModel\":\"eCollection\",\"JCR\":\"Q3\",\"JCRName\":\"VETERINARY SCIENCES\",\"Score\":null,\"Total\":0}","platform":"Semanticscholar","paperid":null,"PeriodicalName":"Journal of Feline Medicine and Surgery Open Reports","FirstCategoryId":"1085","ListUrlMain":"https://doi.org/10.1177/20551169241277090","RegionNum":0,"RegionCategory":null,"ArticlePicture":[],"TitleCN":null,"AbstractTextCN":null,"PMCID":null,"EPubDate":"2024/7/1 0:00:00","PubModel":"eCollection","JCR":"Q3","JCRName":"VETERINARY SCIENCES","Score":null,"Total":0}
引用次数: 0

摘要

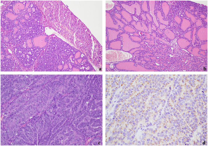
病例总结:异位甲状腺组织在狗和猫的膈前位置很少被报道,从未在肝脏中被描述。一只15岁的雌性家养短毛猫被超声诊断为在肝方叶周围有一个不均匀的低回声结节区。经超声引导下细针穿刺及细胞学检查,诊断为癌。患者通过CT扫描进行分期,随后行肝叶切除术。组织学上诊断为甲状腺腺癌,免疫组织化学染色证实为甲状腺球蛋白阳性;我们怀疑肿瘤是转移性的。CT扫描排除原发性甲状腺受累;此外,未发现其他部位的病变。因此,最终诊断为甲状腺腺癌引起的异位甲状腺组织在肝脏作出。这只猫手术后恢复得很平静。相关性和新信息:本报告描述了一个不寻常的病例,腺癌起源于猫肝脏内的甲状腺异位组织。异位甲状腺组织在狗和猫中都很少报道,据作者所知,从未在猫的肝脏中描述过。
本文章由计算机程序翻译,如有差异,请以英文原文为准。

Adenocarcinoma originating from presumed liver ectopic thyroid in a cat.

Adenocarcinoma originating from presumed liver ectopic thyroid in a cat.

Adenocarcinoma originating from presumed liver ectopic thyroid in a cat.

Adenocarcinoma originating from presumed liver ectopic thyroid in a cat.

Case summary: Ectopic thyroid tissue is rarely reported in dogs and cats in its prediaphragmatic location and has never been described in the liver. A 15-year-old spayed female domestic shorthair cat was diagnosed by ultrasound with a heterogeneous hypoechoic nodular area in the liver at the periphery of the quadrate lobe. A generic diagnosis of carcinoma was made after ultrasound-guided fine-needle aspiration and cytological examination. The patient underwent staging by CT scan and subsequently underwent hepatic lobectomy. Histologically, a diagnosis of thyroid adenocarcinoma was made, confirmed immunohistochemically using positive thyroglobulin staining; the tumour was suspected to be of metastatic origin. CT scans excluded primary thyroid involvement; in addition, lesions at other sites were not detected. Therefore, a final diagnosis of thyroid adenocarcinoma arising from ectopic thyroid tissue in the liver was made. The cat recovered uneventfully from surgery.

Relevance and novel information: This report describes an unusual case of an adenocarcinoma originating from presumed thyroid ectopic tissue within the liver of a cat. Ectopic thyroid tissue has been rarely reported in both dogs and cats and, to the authors' knowledge, it has never been described in the liver of a cat.

求助全文
通过发布文献求助,成功后即可免费获取论文全文。 去求助
来源期刊
CiteScore
1.30
自引率
14.30%
发文量
57
审稿时长
15 weeks
×
引用
GB/T 7714-2015
复制
MLA
复制
APA
复制
导出至
BibTeX EndNote RefMan NoteFirst NoteExpress
×
提示
您的信息不完整,为了账户安全,请先补充。
现在去补充
×
提示
您因"违规操作"
具体请查看互助需知
我知道了
×
提示
确定
请完成安全验证×
copy
已复制链接
快去分享给好友吧!
我知道了
右上角分享
点击右上角分享
0
联系我们:info@booksci.cn Book学术提供免费学术资源搜索服务,方便国内外学者检索中英文文献。致力于提供最便捷和优质的服务体验。 Copyright © 2023 布克学术 All rights reserved.
京ICP备2023020795号-1
ghs 京公网安备 11010802042870号
Book学术文献互助
Book学术文献互助群
群 号:604180095
Book学术官方微信