约旦成人肠套叠:一家三级医院的人口统计、临床特征和结果。

IF 2 Q3 MEDICINE, RESEARCH & EXPERIMENTAL
Ruba A Khasawneh, Yousef Saleh Khader, Maha Mohamed Gharaibeh, Ahmed A Haj Hussein, Taqwa Alkhaldi, Yanal Igbariye, Dalia Khamaiseh, Doaa Mahmoud Abd Elkhalik
{"title":"约旦成人肠套叠:一家三级医院的人口统计、临床特征和结果。","authors":"Ruba A Khasawneh, Yousef Saleh Khader, Maha Mohamed Gharaibeh, Ahmed A Haj Hussein, Taqwa Alkhaldi, Yanal Igbariye, Dalia Khamaiseh, Doaa Mahmoud Abd Elkhalik","doi":"10.12659/MSMBR.945845","DOIUrl":null,"url":null,"abstract":"<p><p>BACKGROUND Adult intussusception (AI) is a rare condition with diverse clinical presentations and management challenges. Despite its rarity, understanding its epidemiology, clinical features, and predictive factors distinguishing benign and malignant lead points is crucial for effective management. This study aimed to assess the demographic and clinical characteristics of patients with pathological AI and examine factors associated with malignant lead points. MATERIAL AND METHODS Medical records of patients aged >18 years with diagnosis of AI between January 1, 2014, and January 1, 2024 were retrospectively analyzed. Patients were classified based on location and etiology of intussusception. Predictive factors for malignant lead points were assessed, including age, sex, presenting symptoms, location, and size of intussusception. Computed tomography (CT) scan images were reviewed for diagnosis confirmation. Transient small bowel intussusceptions and intussusceptions related to feeding tubes were excluded. RESULTS Twenty-six cases of pathological AI were identified over 10 years, with a male predominance (69.2%) and a mean age of 53.3 years. Abdominal pain was the most common presenting symptom (65.4%), with bowel obstruction diagnosed in 23.1% of cases. CT scans were the primary diagnostic modality (92.3%). Colocolic intussusceptions were most prevalent (53.8%), and surgical management was common (69.2%). Histopathological examination revealed benign lead points in the majority (57.7%) of cases, with lipomas and polyps being the most common. Bleeding per rectum was significantly associated with malignant lead points (P=0.011). CONCLUSIONS AI presents with diverse clinical features. It predominantly affects the colon. Bleeding per rectum indicates a higher likelihood of malignant lead points. A multidisciplinary approach is essential for optimal case-based management.</p>","PeriodicalId":18491,"journal":{"name":"Medical Science Monitor Basic Research","volume":"30 ","pages":"e945845"},"PeriodicalIF":2.0000,"publicationDate":"2024-12-05","publicationTypes":"Journal Article","fieldsOfStudy":null,"isOpenAccess":false,"openAccessPdf":"https://www.ncbi.nlm.nih.gov/pmc/articles/PMC11629587/pdf/","citationCount":"0","resultStr":"{\"title\":\"Adult Intussusception in Jordan: Demographics, Clinical Features, and Outcomes from a Tertiary Hospital.\",\"authors\":\"Ruba A Khasawneh, Yousef Saleh Khader, Maha Mohamed Gharaibeh, Ahmed A Haj Hussein, Taqwa Alkhaldi, Yanal Igbariye, Dalia Khamaiseh, Doaa Mahmoud Abd Elkhalik\",\"doi\":\"10.12659/MSMBR.945845\",\"DOIUrl\":null,\"url\":null,\"abstract\":\"<p><p>BACKGROUND Adult intussusception (AI) is a rare condition with diverse clinical presentations and management challenges. Despite its rarity, understanding its epidemiology, clinical features, and predictive factors distinguishing benign and malignant lead points is crucial for effective management. This study aimed to assess the demographic and clinical characteristics of patients with pathological AI and examine factors associated with malignant lead points. MATERIAL AND METHODS Medical records of patients aged >18 years with diagnosis of AI between January 1, 2014, and January 1, 2024 were retrospectively analyzed. Patients were classified based on location and etiology of intussusception. Predictive factors for malignant lead points were assessed, including age, sex, presenting symptoms, location, and size of intussusception. Computed tomography (CT) scan images were reviewed for diagnosis confirmation. Transient small bowel intussusceptions and intussusceptions related to feeding tubes were excluded. RESULTS Twenty-six cases of pathological AI were identified over 10 years, with a male predominance (69.2%) and a mean age of 53.3 years. Abdominal pain was the most common presenting symptom (65.4%), with bowel obstruction diagnosed in 23.1% of cases. CT scans were the primary diagnostic modality (92.3%). Colocolic intussusceptions were most prevalent (53.8%), and surgical management was common (69.2%). Histopathological examination revealed benign lead points in the majority (57.7%) of cases, with lipomas and polyps being the most common. Bleeding per rectum was significantly associated with malignant lead points (P=0.011). CONCLUSIONS AI presents with diverse clinical features. It predominantly affects the colon. Bleeding per rectum indicates a higher likelihood of malignant lead points. A multidisciplinary approach is essential for optimal case-based management.</p>\",\"PeriodicalId\":18491,\"journal\":{\"name\":\"Medical Science Monitor Basic Research\",\"volume\":\"30 \",\"pages\":\"e945845\"},\"PeriodicalIF\":2.0000,\"publicationDate\":\"2024-12-05\",\"publicationTypes\":\"Journal Article\",\"fieldsOfStudy\":null,\"isOpenAccess\":false,\"openAccessPdf\":\"https://www.ncbi.nlm.nih.gov/pmc/articles/PMC11629587/pdf/\",\"citationCount\":\"0\",\"resultStr\":null,\"platform\":\"Semanticscholar\",\"paperid\":null,\"PeriodicalName\":\"Medical Science Monitor Basic Research\",\"FirstCategoryId\":\"1085\",\"ListUrlMain\":\"https://doi.org/10.12659/MSMBR.945845\",\"RegionNum\":0,\"RegionCategory\":null,\"ArticlePicture\":[],\"TitleCN\":null,\"AbstractTextCN\":null,\"PMCID\":null,\"EPubDate\":\"\",\"PubModel\":\"\",\"JCR\":\"Q3\",\"JCRName\":\"MEDICINE, RESEARCH & EXPERIMENTAL\",\"Score\":null,\"Total\":0}","platform":"Semanticscholar","paperid":null,"PeriodicalName":"Medical Science Monitor Basic Research","FirstCategoryId":"1085","ListUrlMain":"https://doi.org/10.12659/MSMBR.945845","RegionNum":0,"RegionCategory":null,"ArticlePicture":[],"TitleCN":null,"AbstractTextCN":null,"PMCID":null,"EPubDate":"","PubModel":"","JCR":"Q3","JCRName":"MEDICINE, RESEARCH & EXPERIMENTAL","Score":null,"Total":0}
引用次数: 0

摘要

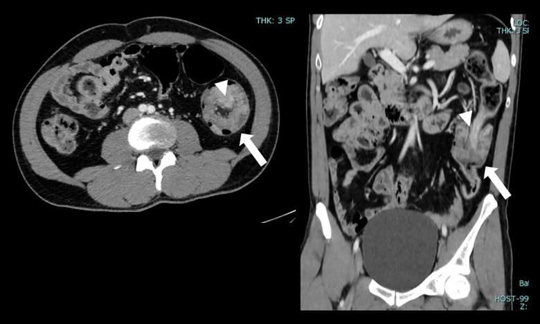
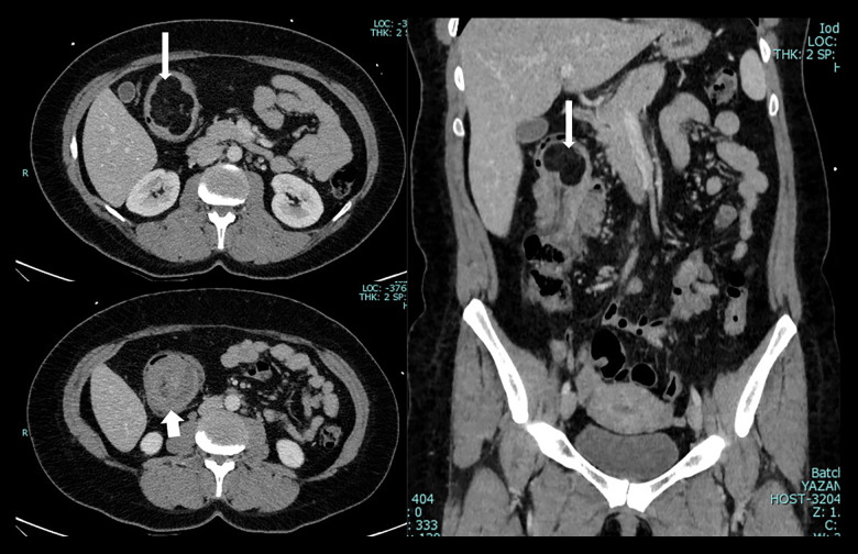
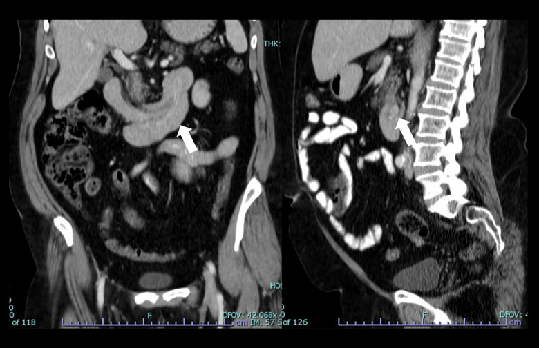
成人肠套叠(AI)是一种罕见的疾病,具有多种临床表现和管理挑战。尽管罕见,但了解其流行病学,临床特征和区分良恶性导点的预测因素对有效治疗至关重要。本研究旨在评估病理性人工智能患者的人口学和临床特征,并探讨与恶性导点相关的因素。材料与方法回顾性分析2014年1月1日至2024年1月1日诊断为AI的bb0 ~ 18岁患者的病历。根据肠套叠的部位和病因对患者进行分类。评估恶性导点的预测因素,包括年龄、性别、表现症状、位置和肠套叠大小。复习计算机断层扫描(CT)图像以确认诊断。排除短暂性小肠肠套叠及饲管相关肠套叠。结果10年内共发现病理性人工智能26例,男性占69.2%,平均年龄53.3岁。腹痛是最常见的症状(65.4%),诊断为肠梗阻的病例占23.1%。CT扫描是主要诊断方式(92.3%)。结肠肠套叠最为常见(53.8%),手术治疗较为常见(69.2%)。组织病理学检查显示大多数病例(57.7%)为良性铅点,以脂肪瘤和息肉最为常见。直肠出血与恶性导点显著相关(P=0.011)。结论人工智能具有多种临床特征。它主要影响结肠。直肠出血提示恶性铅点的可能性较大。多学科方法对于最佳的基于病例的管理至关重要。
本文章由计算机程序翻译,如有差异,请以英文原文为准。

Adult Intussusception in Jordan: Demographics, Clinical Features, and Outcomes from a Tertiary Hospital.

Adult Intussusception in Jordan: Demographics, Clinical Features, and Outcomes from a Tertiary Hospital.

Adult Intussusception in Jordan: Demographics, Clinical Features, and Outcomes from a Tertiary Hospital.

Adult Intussusception in Jordan: Demographics, Clinical Features, and Outcomes from a Tertiary Hospital.

BACKGROUND Adult intussusception (AI) is a rare condition with diverse clinical presentations and management challenges. Despite its rarity, understanding its epidemiology, clinical features, and predictive factors distinguishing benign and malignant lead points is crucial for effective management. This study aimed to assess the demographic and clinical characteristics of patients with pathological AI and examine factors associated with malignant lead points. MATERIAL AND METHODS Medical records of patients aged >18 years with diagnosis of AI between January 1, 2014, and January 1, 2024 were retrospectively analyzed. Patients were classified based on location and etiology of intussusception. Predictive factors for malignant lead points were assessed, including age, sex, presenting symptoms, location, and size of intussusception. Computed tomography (CT) scan images were reviewed for diagnosis confirmation. Transient small bowel intussusceptions and intussusceptions related to feeding tubes were excluded. RESULTS Twenty-six cases of pathological AI were identified over 10 years, with a male predominance (69.2%) and a mean age of 53.3 years. Abdominal pain was the most common presenting symptom (65.4%), with bowel obstruction diagnosed in 23.1% of cases. CT scans were the primary diagnostic modality (92.3%). Colocolic intussusceptions were most prevalent (53.8%), and surgical management was common (69.2%). Histopathological examination revealed benign lead points in the majority (57.7%) of cases, with lipomas and polyps being the most common. Bleeding per rectum was significantly associated with malignant lead points (P=0.011). CONCLUSIONS AI presents with diverse clinical features. It predominantly affects the colon. Bleeding per rectum indicates a higher likelihood of malignant lead points. A multidisciplinary approach is essential for optimal case-based management.

求助全文
通过发布文献求助,成功后即可免费获取论文全文。 去求助
来源期刊
Medical Science Monitor Basic Research
Medical Science Monitor Basic Research MEDICINE, RESEARCH & EXPERIMENTAL-
CiteScore
6.00
自引率
0.00%
发文量
16
×
引用
GB/T 7714-2015
复制
MLA
复制
APA
复制
导出至
BibTeX EndNote RefMan NoteFirst NoteExpress
×
提示
您的信息不完整,为了账户安全,请先补充。
现在去补充
×
提示
您因"违规操作"
具体请查看互助需知
我知道了
×
提示
确定
请完成安全验证×
copy
已复制链接
快去分享给好友吧!
我知道了
右上角分享
点击右上角分享
0
联系我们:info@booksci.cn Book学术提供免费学术资源搜索服务,方便国内外学者检索中英文文献。致力于提供最便捷和优质的服务体验。 Copyright © 2023 布克学术 All rights reserved.
京ICP备2023020795号-1
ghs 京公网安备 11010802042870号
Book学术文献互助
Book学术文献互助群
群 号:604180095
Book学术官方微信