胫骨平台骨折的固定-发生感染的危险因素:叙述性回顾。

IF 4 2区 医学 Q1 ORTHOPEDICS
Nicolas Franulic, Jose Tomas Muñoz, Tomas Pineda, Jose Laso, Rodrigo Olivieri, Steffen Schröter
{"title":"胫骨平台骨折的固定-发生感染的危险因素:叙述性回顾。","authors":"Nicolas Franulic, Jose Tomas Muñoz, Tomas Pineda, Jose Laso, Rodrigo Olivieri, Steffen Schröter","doi":"10.1530/EOR-24-0058","DOIUrl":null,"url":null,"abstract":"<p><p>Fracture-related infection (FRI) after tibial plateau open reduction and fixation is a common complication that leads to catastrophic sequelae and substantial economic costs, making prevention paramount. To facilitate an appropriate approach, it is useful to classify risk factors based on patient-related factors, injury-related factors, and management-related factors. Patient-related factors like smoking have a great amount of evidence establishing their relation with FRI. Diabetes and obesity might be associated, but evidence is somewhat conflicting. Nevertheless, smoking cessation and a multidisciplinary approach for these pathologies are essential to prevent FRI. Injury-related factors like high-energy fractures and acute compartment syndrome have compelling evidence relating them to FRI and must be acknowledged as inherent factors. While the exposure of the fracture has been associated with infection, open fractures are yet to be confirmed as directly related to FRI in tibial plateau fractures. Likewise, early antibiotic prophylaxis and surgical debridement are mandatory. As for management-related factors, increased surgical time emerges as a strong predictor for FRI. Evidence regarding the number of surgical approaches and plates shows a trend toward an increase in FRI prevalence. With respect to external fixator installation and removal, pin-plate overlapping is yet to be confirmed or ruled out as risk factors.</p>","PeriodicalId":48598,"journal":{"name":"Efort Open Reviews","volume":"9 12","pages":"1170-1178"},"PeriodicalIF":4.0000,"publicationDate":"2024-12-02","publicationTypes":"Journal Article","fieldsOfStudy":null,"isOpenAccess":false,"openAccessPdf":"https://www.ncbi.nlm.nih.gov/pmc/articles/PMC11619731/pdf/","citationCount":"0","resultStr":"{\"title\":\"Fixation of tibial plateau fracture - risk factors for developing infection: a narrative review.\",\"authors\":\"Nicolas Franulic, Jose Tomas Muñoz, Tomas Pineda, Jose Laso, Rodrigo Olivieri, Steffen Schröter\",\"doi\":\"10.1530/EOR-24-0058\",\"DOIUrl\":null,\"url\":null,\"abstract\":\"<p><p>Fracture-related infection (FRI) after tibial plateau open reduction and fixation is a common complication that leads to catastrophic sequelae and substantial economic costs, making prevention paramount. To facilitate an appropriate approach, it is useful to classify risk factors based on patient-related factors, injury-related factors, and management-related factors. Patient-related factors like smoking have a great amount of evidence establishing their relation with FRI. Diabetes and obesity might be associated, but evidence is somewhat conflicting. Nevertheless, smoking cessation and a multidisciplinary approach for these pathologies are essential to prevent FRI. Injury-related factors like high-energy fractures and acute compartment syndrome have compelling evidence relating them to FRI and must be acknowledged as inherent factors. While the exposure of the fracture has been associated with infection, open fractures are yet to be confirmed as directly related to FRI in tibial plateau fractures. Likewise, early antibiotic prophylaxis and surgical debridement are mandatory. As for management-related factors, increased surgical time emerges as a strong predictor for FRI. Evidence regarding the number of surgical approaches and plates shows a trend toward an increase in FRI prevalence. With respect to external fixator installation and removal, pin-plate overlapping is yet to be confirmed or ruled out as risk factors.</p>\",\"PeriodicalId\":48598,\"journal\":{\"name\":\"Efort Open Reviews\",\"volume\":\"9 12\",\"pages\":\"1170-1178\"},\"PeriodicalIF\":4.0000,\"publicationDate\":\"2024-12-02\",\"publicationTypes\":\"Journal Article\",\"fieldsOfStudy\":null,\"isOpenAccess\":false,\"openAccessPdf\":\"https://www.ncbi.nlm.nih.gov/pmc/articles/PMC11619731/pdf/\",\"citationCount\":\"0\",\"resultStr\":null,\"platform\":\"Semanticscholar\",\"paperid\":null,\"PeriodicalName\":\"Efort Open Reviews\",\"FirstCategoryId\":\"3\",\"ListUrlMain\":\"https://doi.org/10.1530/EOR-24-0058\",\"RegionNum\":2,\"RegionCategory\":\"医学\",\"ArticlePicture\":[],\"TitleCN\":null,\"AbstractTextCN\":null,\"PMCID\":null,\"EPubDate\":\"\",\"PubModel\":\"\",\"JCR\":\"Q1\",\"JCRName\":\"ORTHOPEDICS\",\"Score\":null,\"Total\":0}","platform":"Semanticscholar","paperid":null,"PeriodicalName":"Efort Open Reviews","FirstCategoryId":"3","ListUrlMain":"https://doi.org/10.1530/EOR-24-0058","RegionNum":2,"RegionCategory":"医学","ArticlePicture":[],"TitleCN":null,"AbstractTextCN":null,"PMCID":null,"EPubDate":"","PubModel":"","JCR":"Q1","JCRName":"ORTHOPEDICS","Score":null,"Total":0}
引用次数: 0

摘要

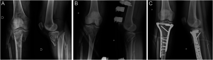
胫骨平台切开复位和固定后骨折相关感染(FRI)是一种常见的并发症,可导致灾难性的后遗症和巨大的经济成本,因此预防至关重要。根据患者相关因素、损伤相关因素和管理相关因素对危险因素进行分类是很有用的。与患者相关的因素,如吸烟,有大量证据表明它们与FRI有关,糖尿病和肥胖可能相关,但证据有些矛盾。然而,戒烟和多学科治疗对于预防FRI至关重要。损伤相关因素,如高能骨折和急性筋膜间室综合征,有令人信服的证据表明它们与FRI有关,必须承认它们是固有因素。虽然骨折暴露与感染有关,但尚未证实开放性骨折与胫骨平台骨折的FRI直接相关。同样,早期抗生素预防和手术清创是强制性的。至于治疗相关因素,手术时间的增加是FRI发生的重要预测因素。有关手术入路和钢板数量的证据显示FRI患病率呈上升趋势。对于外固定架的安装和拆卸,针板重叠尚未被确认或排除为危险因素。
本文章由计算机程序翻译,如有差异,请以英文原文为准。

Fixation of tibial plateau fracture - risk factors for developing infection: a narrative review.

Fixation of tibial plateau fracture - risk factors for developing infection: a narrative review.

Fixation of tibial plateau fracture - risk factors for developing infection: a narrative review.

Fixation of tibial plateau fracture - risk factors for developing infection: a narrative review.

Fracture-related infection (FRI) after tibial plateau open reduction and fixation is a common complication that leads to catastrophic sequelae and substantial economic costs, making prevention paramount. To facilitate an appropriate approach, it is useful to classify risk factors based on patient-related factors, injury-related factors, and management-related factors. Patient-related factors like smoking have a great amount of evidence establishing their relation with FRI. Diabetes and obesity might be associated, but evidence is somewhat conflicting. Nevertheless, smoking cessation and a multidisciplinary approach for these pathologies are essential to prevent FRI. Injury-related factors like high-energy fractures and acute compartment syndrome have compelling evidence relating them to FRI and must be acknowledged as inherent factors. While the exposure of the fracture has been associated with infection, open fractures are yet to be confirmed as directly related to FRI in tibial plateau fractures. Likewise, early antibiotic prophylaxis and surgical debridement are mandatory. As for management-related factors, increased surgical time emerges as a strong predictor for FRI. Evidence regarding the number of surgical approaches and plates shows a trend toward an increase in FRI prevalence. With respect to external fixator installation and removal, pin-plate overlapping is yet to be confirmed or ruled out as risk factors.

求助全文
通过发布文献求助,成功后即可免费获取论文全文。 去求助
来源期刊
Efort Open Reviews
Efort Open Reviews Medicine-Orthopedics and Sports Medicine
CiteScore
6.60
自引率
2.90%
发文量
101
审稿时长
13 weeks
期刊介绍: EFORT Open Reviews publishes high-quality instructional review articles across the whole field of orthopaedics and traumatology. Commissioned, peer-reviewed articles from international experts summarize current knowledge and practice in orthopaedics, with the aim of providing systematic coverage of the field. All articles undergo rigorous scientific editing to ensure the highest standards of accuracy and clarity. This continuously published online journal is fully open access and will provide integrated CME. It is an authoritative resource for educating trainees and supports practising orthopaedic surgeons in keeping informed about the latest clinical and scientific advances. One print issue containing a selection of papers from the journal will be published each year to coincide with the EFORT Annual Congress. EFORT Open Reviews is the official journal of the European Federation of National Associations of Orthopaedics and Traumatology (EFORT) and is published in partnership with The British Editorial Society of Bone & Joint Surgery.
×
引用
GB/T 7714-2015
复制
MLA
复制
APA
复制
导出至
BibTeX EndNote RefMan NoteFirst NoteExpress
×
提示
您的信息不完整,为了账户安全,请先补充。
现在去补充
×
提示
您因"违规操作"
具体请查看互助需知
我知道了
×
提示
确定
请完成安全验证×
copy
已复制链接
快去分享给好友吧!
我知道了
右上角分享
点击右上角分享
0
联系我们:info@booksci.cn Book学术提供免费学术资源搜索服务,方便国内外学者检索中英文文献。致力于提供最便捷和优质的服务体验。 Copyright © 2023 布克学术 All rights reserved.
京ICP备2023020795号-1
ghs 京公网安备 11010802042870号
Book学术文献互助
Book学术文献互助群
群 号:604180095
Book学术官方微信