最丰富的珊瑚蛇三指毒素的异种版本的免疫原性潜能和中和能力。

IF 1.8 3区 医学 Q4 TOXICOLOGY
Luz Elena Romero Giraldo, Sergio Pulido, Mario Andrés Berrío, María Fernanda Flórez, Paola Rey-Suárez, Vitelbina Núñez-Rangel, Mónica Saldarriaga Córdoba, Jaime Andrés Pereañez
{"title":"最丰富的珊瑚蛇三指毒素的异种版本的免疫原性潜能和中和能力。","authors":"Luz Elena Romero Giraldo, Sergio Pulido, Mario Andrés Berrío, María Fernanda Flórez, Paola Rey-Suárez, Vitelbina Núñez-Rangel, Mónica Saldarriaga Córdoba, Jaime Andrés Pereañez","doi":"10.1590/1678-9199-JVATITD-2023-0074","DOIUrl":null,"url":null,"abstract":"<p><p><b>Background:</b> <i>Micrurus mipartitus</i> is a coral snake of public health concern in Colombia. Its venom is mainly composed of three-finger toxins (3FTxs), Mipartoxin-1 being the most abundant protein partially responsible for its lethal effect. In this work, we present the production of Mipartoxin-1 in a recombinant form and evaluate its immunogenic potential. <b>Methods:</b> A genetic construct HisrMipartoxin-1 was cloned into the pET28a vector and heterologous expression was obtained in <i>E. coli</i> BL21 (DE3). The recombinant HisrMipartoxin-1 protein was extracted from inclusion bodies, refolded <i>in vitro</i>, and isolated by affinity and RP-HPLC chromatography. The lethal effect of HisrMipartoxin-1 was tested, and antibodies against HisrMipartoxin-1 were produced by immunization in rabbits. The antibody titers were monitored by an ELISA test. The neutralizing ability of the antibodies, against the lethal effect of native toxins and <i>M. mipartitus</i> venom, was also assessed. <b>Results:</b> HisrMipartoxin-1 was detected on SDS-PAGE, with a molecular mass of around 11 kDa. The retention time was 16.0 minutes. HisrMipartoxin-1 did not exhibit lethality in mice; however, antibodies against HisrMipartoxin-1 recognized the native toxin, the whole venom of <i>M. mipartitus</i>, and a 3FTx from another species within the <i>Micrurus</i> genus. Furthermore, antibodies against HisrMipartoxin-1 completely neutralized the lethal effect of native Mipartoxin-1 in mice but not <i>M. mipartitus</i> whole venom. <b>Conclusion:</b> These findings indicate that HisrMipartoxin-1 might be used as an immunogen to develop anticoral antivenoms or complement them. This work is the first report of the heterologous expression of 3FTx from <i>M. mipartitus</i>.</p>","PeriodicalId":17565,"journal":{"name":"Journal of Venomous Animals and Toxins Including Tropical Diseases","volume":"30 ","pages":"e20230074"},"PeriodicalIF":1.8000,"publicationDate":"2024-11-25","publicationTypes":"Journal Article","fieldsOfStudy":null,"isOpenAccess":false,"openAccessPdf":"https://www.ncbi.nlm.nih.gov/pmc/articles/PMC11614397/pdf/","citationCount":"0","resultStr":"{\"title\":\"Immunogenic potential and neutralizing ability of a heterologous version of the most abundant three-finger toxin from the coral snake <i>Micrurus mipartitus</i>.\",\"authors\":\"Luz Elena Romero Giraldo, Sergio Pulido, Mario Andrés Berrío, María Fernanda Flórez, Paola Rey-Suárez, Vitelbina Núñez-Rangel, Mónica Saldarriaga Córdoba, Jaime Andrés Pereañez\",\"doi\":\"10.1590/1678-9199-JVATITD-2023-0074\",\"DOIUrl\":null,\"url\":null,\"abstract\":\"<p><p><b>Background:</b> <i>Micrurus mipartitus</i> is a coral snake of public health concern in Colombia. Its venom is mainly composed of three-finger toxins (3FTxs), Mipartoxin-1 being the most abundant protein partially responsible for its lethal effect. In this work, we present the production of Mipartoxin-1 in a recombinant form and evaluate its immunogenic potential. <b>Methods:</b> A genetic construct HisrMipartoxin-1 was cloned into the pET28a vector and heterologous expression was obtained in <i>E. coli</i> BL21 (DE3). The recombinant HisrMipartoxin-1 protein was extracted from inclusion bodies, refolded <i>in vitro</i>, and isolated by affinity and RP-HPLC chromatography. The lethal effect of HisrMipartoxin-1 was tested, and antibodies against HisrMipartoxin-1 were produced by immunization in rabbits. The antibody titers were monitored by an ELISA test. The neutralizing ability of the antibodies, against the lethal effect of native toxins and <i>M. mipartitus</i> venom, was also assessed. <b>Results:</b> HisrMipartoxin-1 was detected on SDS-PAGE, with a molecular mass of around 11 kDa. The retention time was 16.0 minutes. HisrMipartoxin-1 did not exhibit lethality in mice; however, antibodies against HisrMipartoxin-1 recognized the native toxin, the whole venom of <i>M. mipartitus</i>, and a 3FTx from another species within the <i>Micrurus</i> genus. Furthermore, antibodies against HisrMipartoxin-1 completely neutralized the lethal effect of native Mipartoxin-1 in mice but not <i>M. mipartitus</i> whole venom. <b>Conclusion:</b> These findings indicate that HisrMipartoxin-1 might be used as an immunogen to develop anticoral antivenoms or complement them. This work is the first report of the heterologous expression of 3FTx from <i>M. mipartitus</i>.</p>\",\"PeriodicalId\":17565,\"journal\":{\"name\":\"Journal of Venomous Animals and Toxins Including Tropical Diseases\",\"volume\":\"30 \",\"pages\":\"e20230074\"},\"PeriodicalIF\":1.8000,\"publicationDate\":\"2024-11-25\",\"publicationTypes\":\"Journal Article\",\"fieldsOfStudy\":null,\"isOpenAccess\":false,\"openAccessPdf\":\"https://www.ncbi.nlm.nih.gov/pmc/articles/PMC11614397/pdf/\",\"citationCount\":\"0\",\"resultStr\":null,\"platform\":\"Semanticscholar\",\"paperid\":null,\"PeriodicalName\":\"Journal of Venomous Animals and Toxins Including Tropical Diseases\",\"FirstCategoryId\":\"3\",\"ListUrlMain\":\"https://doi.org/10.1590/1678-9199-JVATITD-2023-0074\",\"RegionNum\":3,\"RegionCategory\":\"医学\",\"ArticlePicture\":[],\"TitleCN\":null,\"AbstractTextCN\":null,\"PMCID\":null,\"EPubDate\":\"2024/1/1 0:00:00\",\"PubModel\":\"eCollection\",\"JCR\":\"Q4\",\"JCRName\":\"TOXICOLOGY\",\"Score\":null,\"Total\":0}","platform":"Semanticscholar","paperid":null,"PeriodicalName":"Journal of Venomous Animals and Toxins Including Tropical Diseases","FirstCategoryId":"3","ListUrlMain":"https://doi.org/10.1590/1678-9199-JVATITD-2023-0074","RegionNum":3,"RegionCategory":"医学","ArticlePicture":[],"TitleCN":null,"AbstractTextCN":null,"PMCID":null,"EPubDate":"2024/1/1 0:00:00","PubModel":"eCollection","JCR":"Q4","JCRName":"TOXICOLOGY","Score":null,"Total":0}
引用次数: 0

摘要

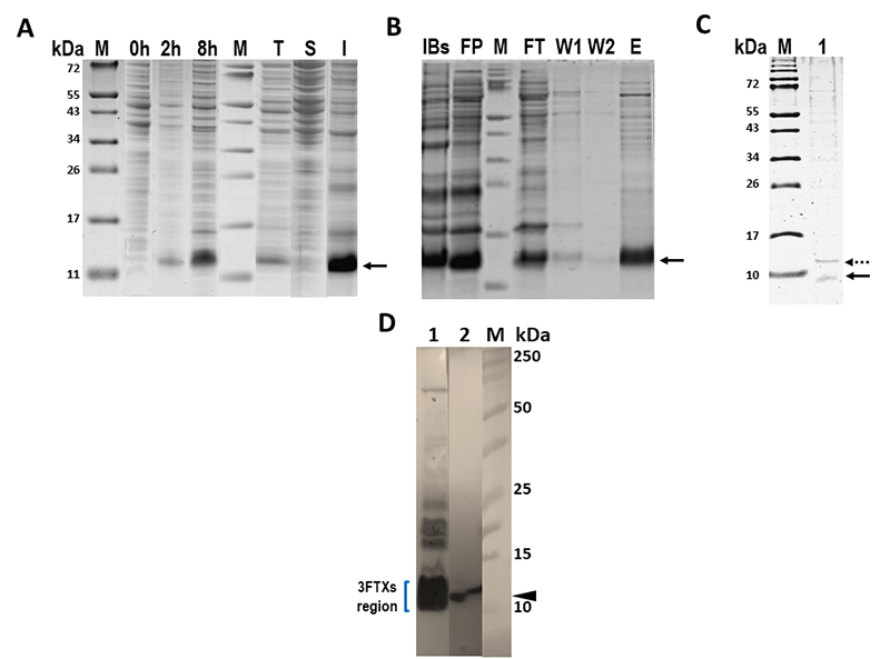
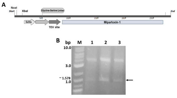
背景:Micrurus mipartitus是哥伦比亚一种引起公共卫生关注的珊瑚蛇。它的毒液主要由三指毒素(3FTxs)组成,Mipartoxin-1是最丰富的蛋白质,部分负责其致命效果。在这项工作中,我们提出了以重组形式生产米帕毒素-1并评估其免疫原性潜力。方法:将遗传构建体HisrMipartoxin-1克隆到pET28a载体中,在大肠杆菌BL21 (DE3)中获得异源表达。从包涵体中提取重组HisrMipartoxin-1蛋白,体外折叠,通过亲和和RP-HPLC分离得到重组蛋白。检测了HisrMipartoxin-1的致死性,并在家兔体内免疫产生了对抗HisrMipartoxin-1的抗体。采用酶联免疫吸附试验监测抗体滴度。抗体的中和能力,对本地毒素和米帕特乌斯蛇毒的致死作用,也进行了评估。结果:SDS-PAGE上检测到HisrMipartoxin-1,分子量约为11 kDa。保留时间为16.0 min。HisrMipartoxin-1在小鼠中不表现出致命性;然而,抗HisrMipartoxin-1的抗体识别了本地毒素,整个mipartitus的毒液,以及来自Micrurus属另一种的3FTx。此外,抗HisrMipartoxin-1的抗体完全中和了天然Mipartoxin-1在小鼠体内的致死作用,但不能中和mipartitus M.整个毒液。结论:HisrMipartoxin-1可作为抗蛇毒血清的免疫原或补充物。本研究首次报道了mmipartitus中3FTx基因的异源表达。
本文章由计算机程序翻译,如有差异,请以英文原文为准。

Immunogenic potential and neutralizing ability of a heterologous version of the most abundant three-finger toxin from the coral snake <i>Micrurus mipartitus</i>.

Immunogenic potential and neutralizing ability of a heterologous version of the most abundant three-finger toxin from the coral snake <i>Micrurus mipartitus</i>.

Immunogenic potential and neutralizing ability of a heterologous version of the most abundant three-finger toxin from the coral snake <i>Micrurus mipartitus</i>.

Immunogenic potential and neutralizing ability of a heterologous version of the most abundant three-finger toxin from the coral snake Micrurus mipartitus.

Background: Micrurus mipartitus is a coral snake of public health concern in Colombia. Its venom is mainly composed of three-finger toxins (3FTxs), Mipartoxin-1 being the most abundant protein partially responsible for its lethal effect. In this work, we present the production of Mipartoxin-1 in a recombinant form and evaluate its immunogenic potential. Methods: A genetic construct HisrMipartoxin-1 was cloned into the pET28a vector and heterologous expression was obtained in E. coli BL21 (DE3). The recombinant HisrMipartoxin-1 protein was extracted from inclusion bodies, refolded in vitro, and isolated by affinity and RP-HPLC chromatography. The lethal effect of HisrMipartoxin-1 was tested, and antibodies against HisrMipartoxin-1 were produced by immunization in rabbits. The antibody titers were monitored by an ELISA test. The neutralizing ability of the antibodies, against the lethal effect of native toxins and M. mipartitus venom, was also assessed. Results: HisrMipartoxin-1 was detected on SDS-PAGE, with a molecular mass of around 11 kDa. The retention time was 16.0 minutes. HisrMipartoxin-1 did not exhibit lethality in mice; however, antibodies against HisrMipartoxin-1 recognized the native toxin, the whole venom of M. mipartitus, and a 3FTx from another species within the Micrurus genus. Furthermore, antibodies against HisrMipartoxin-1 completely neutralized the lethal effect of native Mipartoxin-1 in mice but not M. mipartitus whole venom. Conclusion: These findings indicate that HisrMipartoxin-1 might be used as an immunogen to develop anticoral antivenoms or complement them. This work is the first report of the heterologous expression of 3FTx from M. mipartitus.

求助全文
通过发布文献求助,成功后即可免费获取论文全文。 去求助
来源期刊
CiteScore
4.80
自引率
8.30%
发文量
39
审稿时长
6-12 weeks
期刊介绍: Journal of Venomous Animals and Toxins including Tropical Diseases (JVATiTD) is a non-commercial academic open access publication dedicated to research on all aspects of toxinology, venomous animals and tropical diseases. Its interdisciplinary content includes original scientific articles covering research on toxins derived from animals, plants and microorganisms. Topics of interest include, but are not limited to:systematics and morphology of venomous animals;physiology, biochemistry, pharmacology and immunology of toxins;epidemiology, clinical aspects and treatment of envenoming by different animals, plants and microorganisms;development and evaluation of antivenoms and toxin-derivative products;epidemiology, clinical aspects and treatment of tropical diseases (caused by virus, bacteria, algae, fungi and parasites) including the neglected tropical diseases (NTDs) defined by the World Health Organization.
×
引用
GB/T 7714-2015
复制
MLA
复制
APA
复制
导出至
BibTeX EndNote RefMan NoteFirst NoteExpress
×
提示
您的信息不完整,为了账户安全,请先补充。
现在去补充
×
提示
您因"违规操作"
具体请查看互助需知
我知道了
×
提示
确定
请完成安全验证×
copy
已复制链接
快去分享给好友吧!
我知道了
右上角分享
点击右上角分享
0
联系我们:info@booksci.cn Book学术提供免费学术资源搜索服务,方便国内外学者检索中英文文献。致力于提供最便捷和优质的服务体验。 Copyright © 2023 布克学术 All rights reserved.
京ICP备2023020795号-1
ghs 京公网安备 11010802042870号
Book学术文献互助
Book学术文献互助群
群 号:604180095
Book学术官方微信