纹身对红墨水的免疫反应。

IF 2.1 Q3 ALLERGY
Asia Pacific Allergy Pub Date : 2024-12-01 Epub Date: 2024-11-05 DOI:10.5415/apallergy.0000000000000165
João Vieira, João Marcelino, Sofia Farinha, Miguel Proença, Joana Guimarães, Rui Bajanca, Elza Tomaz
{"title":"纹身对红墨水的免疫反应。","authors":"João Vieira, João Marcelino, Sofia Farinha, Miguel Proença, Joana Guimarães, Rui Bajanca, Elza Tomaz","doi":"10.5415/apallergy.0000000000000165","DOIUrl":null,"url":null,"abstract":"<p><p>A 43-year-old male presented with pruritic nodular lesions in the red dye area of his leg tattoo, which developed 4 weeks after its application. Patch tests were performed using a standard series, and the inks used by the tattooist were tested semi-open. Tests identified a sensitization to 2 inks containing an azo-organic dye (Pigment Red 170), diketopyrrolopyrrole (Pigment Red 254), and copper phthalocyanine (Pigment Blue 15). Histopathological findings suggested a pseudolymphoid reaction, likely driven by T-cell hypersensitivity to the red pigments. Although the utility of patch testing in the assessment of tattoo reactions is not consensual, it can be useful in identifying the offending inks, helping to guide future tattoo choices and prevent recurrences. Patch testing including the suspected ink should not be disregarded from the diagnostic workup.</p>","PeriodicalId":8488,"journal":{"name":"Asia Pacific Allergy","volume":"14 4","pages":"223-225"},"PeriodicalIF":2.1000,"publicationDate":"2024-12-01","publicationTypes":"Journal Article","fieldsOfStudy":null,"isOpenAccess":false,"openAccessPdf":"https://www.ncbi.nlm.nih.gov/pmc/articles/PMC11608633/pdf/","citationCount":"0","resultStr":"{\"title\":\"Tattoo-induced immunologic reaction to red inks.\",\"authors\":\"João Vieira, João Marcelino, Sofia Farinha, Miguel Proença, Joana Guimarães, Rui Bajanca, Elza Tomaz\",\"doi\":\"10.5415/apallergy.0000000000000165\",\"DOIUrl\":null,\"url\":null,\"abstract\":\"<p><p>A 43-year-old male presented with pruritic nodular lesions in the red dye area of his leg tattoo, which developed 4 weeks after its application. Patch tests were performed using a standard series, and the inks used by the tattooist were tested semi-open. Tests identified a sensitization to 2 inks containing an azo-organic dye (Pigment Red 170), diketopyrrolopyrrole (Pigment Red 254), and copper phthalocyanine (Pigment Blue 15). Histopathological findings suggested a pseudolymphoid reaction, likely driven by T-cell hypersensitivity to the red pigments. Although the utility of patch testing in the assessment of tattoo reactions is not consensual, it can be useful in identifying the offending inks, helping to guide future tattoo choices and prevent recurrences. Patch testing including the suspected ink should not be disregarded from the diagnostic workup.</p>\",\"PeriodicalId\":8488,\"journal\":{\"name\":\"Asia Pacific Allergy\",\"volume\":\"14 4\",\"pages\":\"223-225\"},\"PeriodicalIF\":2.1000,\"publicationDate\":\"2024-12-01\",\"publicationTypes\":\"Journal Article\",\"fieldsOfStudy\":null,\"isOpenAccess\":false,\"openAccessPdf\":\"https://www.ncbi.nlm.nih.gov/pmc/articles/PMC11608633/pdf/\",\"citationCount\":\"0\",\"resultStr\":null,\"platform\":\"Semanticscholar\",\"paperid\":null,\"PeriodicalName\":\"Asia Pacific Allergy\",\"FirstCategoryId\":\"1085\",\"ListUrlMain\":\"https://doi.org/10.5415/apallergy.0000000000000165\",\"RegionNum\":0,\"RegionCategory\":null,\"ArticlePicture\":[],\"TitleCN\":null,\"AbstractTextCN\":null,\"PMCID\":null,\"EPubDate\":\"2024/11/5 0:00:00\",\"PubModel\":\"Epub\",\"JCR\":\"Q3\",\"JCRName\":\"ALLERGY\",\"Score\":null,\"Total\":0}","platform":"Semanticscholar","paperid":null,"PeriodicalName":"Asia Pacific Allergy","FirstCategoryId":"1085","ListUrlMain":"https://doi.org/10.5415/apallergy.0000000000000165","RegionNum":0,"RegionCategory":null,"ArticlePicture":[],"TitleCN":null,"AbstractTextCN":null,"PMCID":null,"EPubDate":"2024/11/5 0:00:00","PubModel":"Epub","JCR":"Q3","JCRName":"ALLERGY","Score":null,"Total":0}
引用次数: 0

摘要

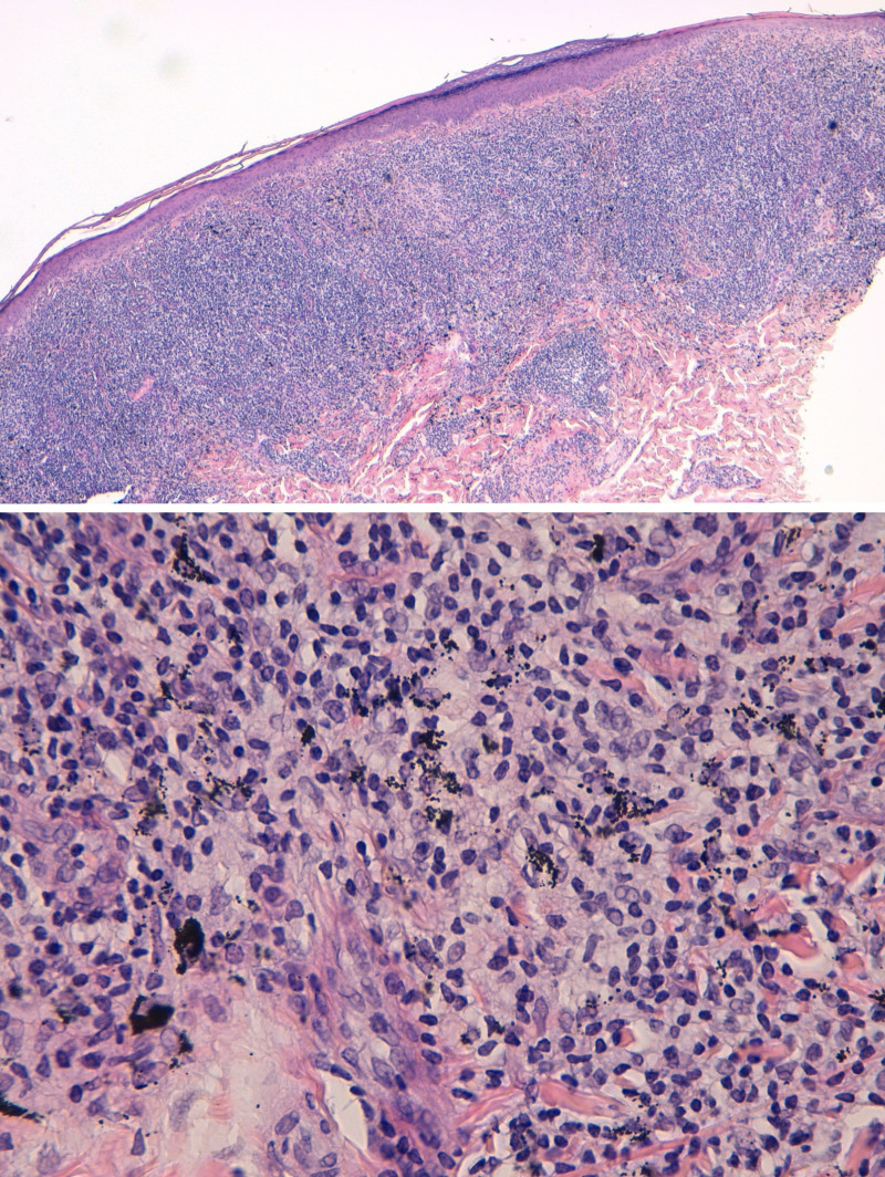
一名43岁男性,在其腿部纹身的红色染料区域出现瘙痒性结节性病变,在应用纹身4周后出现。使用标准系列进行斑贴测试,纹身师使用的墨水是半开放的。测试发现对含有偶氮有机染料(色素红170)、二酮吡咯(色素红254)和酞菁铜(色素蓝15)的2种油墨有敏化作用。组织病理学结果提示假淋巴反应,可能是由t细胞对红色色素过敏引起的。虽然贴片测试在评估纹身反应方面的效用并不是双方都同意的,但它在识别冒犯墨水方面是有用的,有助于指导未来纹身的选择,防止复发。包括疑似墨水的斑贴试验不应被排除在诊断检查之外。
本文章由计算机程序翻译,如有差异,请以英文原文为准。

Tattoo-induced immunologic reaction to red inks.

Tattoo-induced immunologic reaction to red inks.

Tattoo-induced immunologic reaction to red inks.

Tattoo-induced immunologic reaction to red inks.

A 43-year-old male presented with pruritic nodular lesions in the red dye area of his leg tattoo, which developed 4 weeks after its application. Patch tests were performed using a standard series, and the inks used by the tattooist were tested semi-open. Tests identified a sensitization to 2 inks containing an azo-organic dye (Pigment Red 170), diketopyrrolopyrrole (Pigment Red 254), and copper phthalocyanine (Pigment Blue 15). Histopathological findings suggested a pseudolymphoid reaction, likely driven by T-cell hypersensitivity to the red pigments. Although the utility of patch testing in the assessment of tattoo reactions is not consensual, it can be useful in identifying the offending inks, helping to guide future tattoo choices and prevent recurrences. Patch testing including the suspected ink should not be disregarded from the diagnostic workup.

求助全文
通过发布文献求助,成功后即可免费获取论文全文。 去求助
来源期刊
CiteScore
2.50
自引率
5.90%
发文量
33
期刊介绍: Asia Pacific Allergy (AP Allergy) is the official journal of the Asia Pacific Association of Allergy, Asthma and Clinical Immunology (APAAACI). Although the primary aim of the journal is to promote communication between Asia Pacific scientists who are interested in allergy, asthma, and clinical immunology including immunodeficiency, the journal is intended to be available worldwide. To enable scientists and clinicians from emerging societies appreciate the scope and intent of the journal, early issues will contain more educational review material. For better communication and understanding, it will include rational concepts related to the diagnosis and management of asthma and other immunological conditions. Over time, the journal will increase the number of original research papers to become the foremost citation journal for allergy and clinical immunology information of the Asia Pacific in the future.
×
引用
GB/T 7714-2015
复制
MLA
复制
APA
复制
导出至
BibTeX EndNote RefMan NoteFirst NoteExpress
×
提示
您的信息不完整,为了账户安全,请先补充。
现在去补充
×
提示
您因"违规操作"
具体请查看互助需知
我知道了
×
提示
确定
请完成安全验证×
copy
已复制链接
快去分享给好友吧!
我知道了
右上角分享
点击右上角分享
0
联系我们:info@booksci.cn Book学术提供免费学术资源搜索服务,方便国内外学者检索中英文文献。致力于提供最便捷和优质的服务体验。 Copyright © 2023 布克学术 All rights reserved.
京ICP备2023020795号-1
ghs 京公网安备 11010802042870号
Book学术文献互助
Book学术文献互助群
群 号:604180095
Book学术官方微信