分泌甲状旁腺激素的胰腺母细胞瘤继发的严重症状性高钙血症。

JCEM case reports Pub Date : 2024-11-28 eCollection Date: 2024-12-01 DOI:10.1210/jcemcr/luae217
Anand D Gandhi, James D McCallum, Jonathan S Fisher
{"title":"分泌甲状旁腺激素的胰腺母细胞瘤继发的严重症状性高钙血症。","authors":"Anand D Gandhi, James D McCallum, Jonathan S Fisher","doi":"10.1210/jcemcr/luae217","DOIUrl":null,"url":null,"abstract":"<p><p>Hypercalcemia may be induced by a variety of etiologies, most commonly primary hyperparathyroidism. Although primary hyperparathyroidism represents a relatively common endocrinological disorder, ectopic PTH secretion is a rare entity that is less well described in literature. We describe the first case to our knowledge of severe, symptomatic hypercalcemia found to be secondary to a PTH-secreting pancreatoblastoma. The patient initially presented with fatigue and progressive upper extremity intermittent muscular twitching. He was found to have biochemical evidence of primary hyperparathyroidism. A computed tomography scan of the neck and a sestamibi nuclear scan failed to definitively demonstrate a parathyroid adenoma or hyperplasia and bilateral surgical parathyroid exploration was unrevealing for any pathology. Abdominal imaging via computed tomography was obtained for evaluation of progressive postoperative epigastric pain, and the patient was found to have a retroperitoneal mass that, after biopsy, was diagnostic for a pancreatoblastoma. This mass was resected resulting in a fall in intraoperative PTH values and subsequent postoperative hypocalcemia secondary to hungry bone syndrome. Upon follow-up, the patient's parathyroid function recovered and doses of supplemental calcium and vitamin D could be tapered. Ectopic PTH-secreting masses represent a rare entity but should be considered in individuals with unclear etiology of recalcitrant primary hyperparathyroidism.</p>","PeriodicalId":73540,"journal":{"name":"JCEM case reports","volume":"2 12","pages":"luae217"},"PeriodicalIF":0.0000,"publicationDate":"2024-11-28","publicationTypes":"Journal Article","fieldsOfStudy":null,"isOpenAccess":false,"openAccessPdf":"https://www.ncbi.nlm.nih.gov/pmc/articles/PMC11604075/pdf/","citationCount":"0","resultStr":"{\"title\":\"Severe, Symptomatic Hypercalcemia Secondary to PTH-secreting Pancreatoblastoma.\",\"authors\":\"Anand D Gandhi, James D McCallum, Jonathan S Fisher\",\"doi\":\"10.1210/jcemcr/luae217\",\"DOIUrl\":null,\"url\":null,\"abstract\":\"<p><p>Hypercalcemia may be induced by a variety of etiologies, most commonly primary hyperparathyroidism. Although primary hyperparathyroidism represents a relatively common endocrinological disorder, ectopic PTH secretion is a rare entity that is less well described in literature. We describe the first case to our knowledge of severe, symptomatic hypercalcemia found to be secondary to a PTH-secreting pancreatoblastoma. The patient initially presented with fatigue and progressive upper extremity intermittent muscular twitching. He was found to have biochemical evidence of primary hyperparathyroidism. A computed tomography scan of the neck and a sestamibi nuclear scan failed to definitively demonstrate a parathyroid adenoma or hyperplasia and bilateral surgical parathyroid exploration was unrevealing for any pathology. Abdominal imaging via computed tomography was obtained for evaluation of progressive postoperative epigastric pain, and the patient was found to have a retroperitoneal mass that, after biopsy, was diagnostic for a pancreatoblastoma. This mass was resected resulting in a fall in intraoperative PTH values and subsequent postoperative hypocalcemia secondary to hungry bone syndrome. Upon follow-up, the patient's parathyroid function recovered and doses of supplemental calcium and vitamin D could be tapered. Ectopic PTH-secreting masses represent a rare entity but should be considered in individuals with unclear etiology of recalcitrant primary hyperparathyroidism.</p>\",\"PeriodicalId\":73540,\"journal\":{\"name\":\"JCEM case reports\",\"volume\":\"2 12\",\"pages\":\"luae217\"},\"PeriodicalIF\":0.0000,\"publicationDate\":\"2024-11-28\",\"publicationTypes\":\"Journal Article\",\"fieldsOfStudy\":null,\"isOpenAccess\":false,\"openAccessPdf\":\"https://www.ncbi.nlm.nih.gov/pmc/articles/PMC11604075/pdf/\",\"citationCount\":\"0\",\"resultStr\":null,\"platform\":\"Semanticscholar\",\"paperid\":null,\"PeriodicalName\":\"JCEM case reports\",\"FirstCategoryId\":\"1085\",\"ListUrlMain\":\"https://doi.org/10.1210/jcemcr/luae217\",\"RegionNum\":0,\"RegionCategory\":null,\"ArticlePicture\":[],\"TitleCN\":null,\"AbstractTextCN\":null,\"PMCID\":null,\"EPubDate\":\"2024/12/1 0:00:00\",\"PubModel\":\"eCollection\",\"JCR\":\"\",\"JCRName\":\"\",\"Score\":null,\"Total\":0}","platform":"Semanticscholar","paperid":null,"PeriodicalName":"JCEM case reports","FirstCategoryId":"1085","ListUrlMain":"https://doi.org/10.1210/jcemcr/luae217","RegionNum":0,"RegionCategory":null,"ArticlePicture":[],"TitleCN":null,"AbstractTextCN":null,"PMCID":null,"EPubDate":"2024/12/1 0:00:00","PubModel":"eCollection","JCR":"","JCRName":"","Score":null,"Total":0}
引用次数: 0

摘要

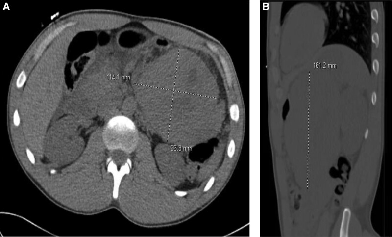
高钙血症可由多种病因引起,最常见的是原发性甲状旁腺功能亢进。虽然原发性甲状旁腺功能亢进是一种相对常见的内分泌疾病,但异位甲状旁腺激素分泌是一种罕见的疾病,在文献中描述较少。我们描述的第一个病例严重,症状性高钙血症发现继发于甲状旁腺激素分泌胰腺母细胞瘤。患者最初表现为疲劳和进行性上肢间歇性肌肉抽搐。他被发现有原发性甲状旁腺功能亢进的生化证据。颈部的计算机断层扫描和sestamibi核扫描未能明确显示甲状旁腺腺瘤或增生,双侧手术甲状旁腺探查未发现任何病理。通过计算机断层扫描获得腹部成像以评估术后进行性胃脘痛,患者发现腹膜后肿块,经活检诊断为胰腺母细胞瘤。该肿块被切除,导致术中PTH值下降,术后继发于饥饿骨综合征的低钙血症。随访后,患者甲状旁腺功能恢复,补钙和维生素D的剂量可逐渐减少。异位甲状旁腺激素分泌团块是一种罕见的实体,但在病因不明的难治性原发性甲状旁腺功能亢进患者中应予以考虑。
本文章由计算机程序翻译,如有差异,请以英文原文为准。

Severe, Symptomatic Hypercalcemia Secondary to PTH-secreting Pancreatoblastoma.

Severe, Symptomatic Hypercalcemia Secondary to PTH-secreting Pancreatoblastoma.

Severe, Symptomatic Hypercalcemia Secondary to PTH-secreting Pancreatoblastoma.

Hypercalcemia may be induced by a variety of etiologies, most commonly primary hyperparathyroidism. Although primary hyperparathyroidism represents a relatively common endocrinological disorder, ectopic PTH secretion is a rare entity that is less well described in literature. We describe the first case to our knowledge of severe, symptomatic hypercalcemia found to be secondary to a PTH-secreting pancreatoblastoma. The patient initially presented with fatigue and progressive upper extremity intermittent muscular twitching. He was found to have biochemical evidence of primary hyperparathyroidism. A computed tomography scan of the neck and a sestamibi nuclear scan failed to definitively demonstrate a parathyroid adenoma or hyperplasia and bilateral surgical parathyroid exploration was unrevealing for any pathology. Abdominal imaging via computed tomography was obtained for evaluation of progressive postoperative epigastric pain, and the patient was found to have a retroperitoneal mass that, after biopsy, was diagnostic for a pancreatoblastoma. This mass was resected resulting in a fall in intraoperative PTH values and subsequent postoperative hypocalcemia secondary to hungry bone syndrome. Upon follow-up, the patient's parathyroid function recovered and doses of supplemental calcium and vitamin D could be tapered. Ectopic PTH-secreting masses represent a rare entity but should be considered in individuals with unclear etiology of recalcitrant primary hyperparathyroidism.

求助全文
通过发布文献求助,成功后即可免费获取论文全文。 去求助
来源期刊
自引率
0.00%
发文量
0
×
引用
GB/T 7714-2015
复制
MLA
复制
APA
复制
导出至
BibTeX EndNote RefMan NoteFirst NoteExpress
×
提示
您的信息不完整,为了账户安全,请先补充。
现在去补充
×
提示
您因"违规操作"
具体请查看互助需知
我知道了
×
提示
确定
请完成安全验证×
copy
已复制链接
快去分享给好友吧!
我知道了
右上角分享
点击右上角分享
0
联系我们:info@booksci.cn Book学术提供免费学术资源搜索服务,方便国内外学者检索中英文文献。致力于提供最便捷和优质的服务体验。 Copyright © 2023 布克学术 All rights reserved.
京ICP备2023020795号-1
ghs 京公网安备 11010802042870号
Book学术文献互助
Book学术文献互助群
群 号:604180095
Book学术官方微信