人类产前发育过程中初级和次级视野形成的异质性。

IF 4.6 2区 生物学 Q1 BIOLOGY
Olga Godovalova, Alexandra Proshchina, Anastasia Kharlamova, Valeriy Barabanov, Yuliya Krivova, Olga Junemann, Marina Shahina, Sergey Saveliev
{"title":"人类产前发育过程中初级和次级视野形成的异质性。","authors":"Olga Godovalova, Alexandra Proshchina, Anastasia Kharlamova, Valeriy Barabanov, Yuliya Krivova, Olga Junemann, Marina Shahina, Sergey Saveliev","doi":"10.1186/s40659-024-00576-0","DOIUrl":null,"url":null,"abstract":"<p><p>The human neocortex has a huge surface area with unique cytoarchitectonics, most of which is concealed in sulci. Some cytoarchitectonic fields are associated with macroscopic landmarks. In particular, the primary visual field 17 is associated with the calcarine sulcus. During the prenatal development of the human brain, neocortical gyri and sulci undergo changes and modifications after primary formation. To explore the morphogenetic processes in visual fields during the formation of the primary (provisional) and secondary (permanent) sulci, the occipital lobe of the human fetal brain was studied using immunohistochemical methods. The distribution of various glial and neuronal markers (S-100, β-III-tubulin, NeuN, reelin) in the calcarine sulcus and parietooccipital sulcus was compared. The heterogeneity in the formation of primary and secondary visual fields was demonstrated. The study revealed that the development of the primary visual field 17, linked with the calcarine sulcus, preceded the development of a shared anlage of fields 18 and 19 linked with the parietooccipital sulcus. The functional differentiation of the primary visual field begins during the period of thalamic afferent ingrowth. This process coincides with the temporal smoothing of the calcarine sulcus, indicating a simultaneous progression of functional specialization and structural modifications. At the late fetal period, cortical plate of gyri and sulci banks showed higher NeuN-labeling than inside the sulcus in the same cytoarchitectonic field.</p>","PeriodicalId":9084,"journal":{"name":"Biological Research","volume":"57 1","pages":"93"},"PeriodicalIF":4.6000,"publicationDate":"2024-11-28","publicationTypes":"Journal Article","fieldsOfStudy":null,"isOpenAccess":false,"openAccessPdf":"https://www.ncbi.nlm.nih.gov/pmc/articles/PMC11603890/pdf/","citationCount":"0","resultStr":"{\"title\":\"Heterogeneity in the formation of primary and secondary visual fields during human prenatal development.\",\"authors\":\"Olga Godovalova, Alexandra Proshchina, Anastasia Kharlamova, Valeriy Barabanov, Yuliya Krivova, Olga Junemann, Marina Shahina, Sergey Saveliev\",\"doi\":\"10.1186/s40659-024-00576-0\",\"DOIUrl\":null,\"url\":null,\"abstract\":\"<p><p>The human neocortex has a huge surface area with unique cytoarchitectonics, most of which is concealed in sulci. Some cytoarchitectonic fields are associated with macroscopic landmarks. In particular, the primary visual field 17 is associated with the calcarine sulcus. During the prenatal development of the human brain, neocortical gyri and sulci undergo changes and modifications after primary formation. To explore the morphogenetic processes in visual fields during the formation of the primary (provisional) and secondary (permanent) sulci, the occipital lobe of the human fetal brain was studied using immunohistochemical methods. The distribution of various glial and neuronal markers (S-100, β-III-tubulin, NeuN, reelin) in the calcarine sulcus and parietooccipital sulcus was compared. The heterogeneity in the formation of primary and secondary visual fields was demonstrated. The study revealed that the development of the primary visual field 17, linked with the calcarine sulcus, preceded the development of a shared anlage of fields 18 and 19 linked with the parietooccipital sulcus. The functional differentiation of the primary visual field begins during the period of thalamic afferent ingrowth. This process coincides with the temporal smoothing of the calcarine sulcus, indicating a simultaneous progression of functional specialization and structural modifications. At the late fetal period, cortical plate of gyri and sulci banks showed higher NeuN-labeling than inside the sulcus in the same cytoarchitectonic field.</p>\",\"PeriodicalId\":9084,\"journal\":{\"name\":\"Biological Research\",\"volume\":\"57 1\",\"pages\":\"93\"},\"PeriodicalIF\":4.6000,\"publicationDate\":\"2024-11-28\",\"publicationTypes\":\"Journal Article\",\"fieldsOfStudy\":null,\"isOpenAccess\":false,\"openAccessPdf\":\"https://www.ncbi.nlm.nih.gov/pmc/articles/PMC11603890/pdf/\",\"citationCount\":\"0\",\"resultStr\":null,\"platform\":\"Semanticscholar\",\"paperid\":null,\"PeriodicalName\":\"Biological Research\",\"FirstCategoryId\":\"99\",\"ListUrlMain\":\"https://doi.org/10.1186/s40659-024-00576-0\",\"RegionNum\":2,\"RegionCategory\":\"生物学\",\"ArticlePicture\":[],\"TitleCN\":null,\"AbstractTextCN\":null,\"PMCID\":null,\"EPubDate\":\"\",\"PubModel\":\"\",\"JCR\":\"Q1\",\"JCRName\":\"BIOLOGY\",\"Score\":null,\"Total\":0}","platform":"Semanticscholar","paperid":null,"PeriodicalName":"Biological Research","FirstCategoryId":"99","ListUrlMain":"https://doi.org/10.1186/s40659-024-00576-0","RegionNum":2,"RegionCategory":"生物学","ArticlePicture":[],"TitleCN":null,"AbstractTextCN":null,"PMCID":null,"EPubDate":"","PubModel":"","JCR":"Q1","JCRName":"BIOLOGY","Score":null,"Total":0}
引用次数: 0

摘要

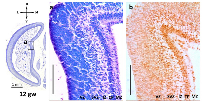
人类新皮层表面积巨大,具有独特的细胞结构,大部分隐藏在脑沟中。一些细胞结构场与宏观地标有关。特别是初级视野17与钙岗沟有关。在人类大脑的产前发育过程中,新皮质回和脑沟在初级形成后发生了变化和修饰。采用免疫组织化学方法对人胎儿大脑枕叶进行了初步(暂时性)和继发性(永久性)脑沟形成过程中视野形态发生过程的研究。比较了S-100、β- iii -微管蛋白、NeuN、reelin等各种胶质和神经元标志物在脑钙质沟和顶骨沟中的分布。主要和次要视野形成的异质性被证明。该研究表明,与钙骨沟相关的初级视野的发育先于与枕顶沟相关的共享视野18和19的发育。初级视野的功能分化开始于丘脑传入神经长生期。这一过程与肌钙沟的时间平滑一致,表明功能特化和结构改变同时进行。在胎儿后期,在相同的细胞结构场中,脑回和脑沟库皮质板的neun标记高于脑沟内。
本文章由计算机程序翻译,如有差异,请以英文原文为准。

Heterogeneity in the formation of primary and secondary visual fields during human prenatal development.

Heterogeneity in the formation of primary and secondary visual fields during human prenatal development.

Heterogeneity in the formation of primary and secondary visual fields during human prenatal development.

Heterogeneity in the formation of primary and secondary visual fields during human prenatal development.

The human neocortex has a huge surface area with unique cytoarchitectonics, most of which is concealed in sulci. Some cytoarchitectonic fields are associated with macroscopic landmarks. In particular, the primary visual field 17 is associated with the calcarine sulcus. During the prenatal development of the human brain, neocortical gyri and sulci undergo changes and modifications after primary formation. To explore the morphogenetic processes in visual fields during the formation of the primary (provisional) and secondary (permanent) sulci, the occipital lobe of the human fetal brain was studied using immunohistochemical methods. The distribution of various glial and neuronal markers (S-100, β-III-tubulin, NeuN, reelin) in the calcarine sulcus and parietooccipital sulcus was compared. The heterogeneity in the formation of primary and secondary visual fields was demonstrated. The study revealed that the development of the primary visual field 17, linked with the calcarine sulcus, preceded the development of a shared anlage of fields 18 and 19 linked with the parietooccipital sulcus. The functional differentiation of the primary visual field begins during the period of thalamic afferent ingrowth. This process coincides with the temporal smoothing of the calcarine sulcus, indicating a simultaneous progression of functional specialization and structural modifications. At the late fetal period, cortical plate of gyri and sulci banks showed higher NeuN-labeling than inside the sulcus in the same cytoarchitectonic field.

求助全文
通过发布文献求助,成功后即可免费获取论文全文。 去求助
来源期刊
Biological Research
Biological Research 生物-生物学
CiteScore
10.10
自引率
0.00%
发文量
33
审稿时长
>12 weeks
期刊介绍: Biological Research is an open access, peer-reviewed journal that encompasses diverse fields of experimental biology, such as biochemistry, bioinformatics, biotechnology, cell biology, cancer, chemical biology, developmental biology, evolutionary biology, genetics, genomics, immunology, marine biology, microbiology, molecular biology, neuroscience, plant biology, physiology, stem cell research, structural biology and systems biology.
×
引用
GB/T 7714-2015
复制
MLA
复制
APA
复制
导出至
BibTeX EndNote RefMan NoteFirst NoteExpress
×
提示
您的信息不完整,为了账户安全,请先补充。
现在去补充
×
提示
您因"违规操作"
具体请查看互助需知
我知道了
×
提示
确定
请完成安全验证×
copy
已复制链接
快去分享给好友吧!
我知道了
右上角分享
点击右上角分享
0
联系我们:info@booksci.cn Book学术提供免费学术资源搜索服务,方便国内外学者检索中英文文献。致力于提供最便捷和优质的服务体验。 Copyright © 2023 布克学术 All rights reserved.
京ICP备2023020795号-1
ghs 京公网安备 11010802042870号
Book学术文献互助
Book学术文献互助群
群 号:604180095
Book学术官方微信