已知脑动静脉畸形患者出现右心室肌瘤:病例报告。

IF 1.3 Q3 ANESTHESIOLOGY
Annals of Cardiac Anaesthesia Pub Date : 2025-01-01 Epub Date: 2024-11-19 DOI:10.4103/aca.aca_69_24
Matthew Kocher, Maria Scarlata, Paolo Capuano, Eleonora Bonicolini, Alberto Piacentini, Pamela Asaro, Marco Morsolini, Giovanna Panarello, Gaetano Burgio, Michele Pilato
{"title":"已知脑动静脉畸形患者出现右心室肌瘤:病例报告。","authors":"Matthew Kocher, Maria Scarlata, Paolo Capuano, Eleonora Bonicolini, Alberto Piacentini, Pamela Asaro, Marco Morsolini, Giovanna Panarello, Gaetano Burgio, Michele Pilato","doi":"10.4103/aca.aca_69_24","DOIUrl":null,"url":null,"abstract":"<p><strong>Abstract: </strong>Cardiac myxomas extending from the right ventricle are uncommon and this rare condition is potentially associated with several risks and poor outcomes. We report the case of a patient with a right ventricular myxoma who had a recent haemorrhagic stroke due to an arteriovenous malformation. The preoperative and intraoperative managements were challenging and required several difficult choices by the medical team and consequently, a multidisciplinary approach and a benefit-risk evaluation were necessary to determinate timely surgical resection in an urgent situation, simultaneously avoiding delayed or improper treatments, achieving a successful outcome in a very high-risk situation.</p>","PeriodicalId":7997,"journal":{"name":"Annals of Cardiac Anaesthesia","volume":" ","pages":"65-68"},"PeriodicalIF":1.3000,"publicationDate":"2025-01-01","publicationTypes":"Journal Article","fieldsOfStudy":null,"isOpenAccess":false,"openAccessPdf":"https://www.ncbi.nlm.nih.gov/pmc/articles/PMC11902355/pdf/","citationCount":"0","resultStr":"{\"title\":\"Right Ventricular Myxoma Presenting in a Patient With Known Arteriovenous Malformations in the Brain: A Case Report.\",\"authors\":\"Matthew Kocher, Maria Scarlata, Paolo Capuano, Eleonora Bonicolini, Alberto Piacentini, Pamela Asaro, Marco Morsolini, Giovanna Panarello, Gaetano Burgio, Michele Pilato\",\"doi\":\"10.4103/aca.aca_69_24\",\"DOIUrl\":null,\"url\":null,\"abstract\":\"<p><strong>Abstract: </strong>Cardiac myxomas extending from the right ventricle are uncommon and this rare condition is potentially associated with several risks and poor outcomes. We report the case of a patient with a right ventricular myxoma who had a recent haemorrhagic stroke due to an arteriovenous malformation. The preoperative and intraoperative managements were challenging and required several difficult choices by the medical team and consequently, a multidisciplinary approach and a benefit-risk evaluation were necessary to determinate timely surgical resection in an urgent situation, simultaneously avoiding delayed or improper treatments, achieving a successful outcome in a very high-risk situation.</p>\",\"PeriodicalId\":7997,\"journal\":{\"name\":\"Annals of Cardiac Anaesthesia\",\"volume\":\" \",\"pages\":\"65-68\"},\"PeriodicalIF\":1.3000,\"publicationDate\":\"2025-01-01\",\"publicationTypes\":\"Journal Article\",\"fieldsOfStudy\":null,\"isOpenAccess\":false,\"openAccessPdf\":\"https://www.ncbi.nlm.nih.gov/pmc/articles/PMC11902355/pdf/\",\"citationCount\":\"0\",\"resultStr\":null,\"platform\":\"Semanticscholar\",\"paperid\":null,\"PeriodicalName\":\"Annals of Cardiac Anaesthesia\",\"FirstCategoryId\":\"1085\",\"ListUrlMain\":\"https://doi.org/10.4103/aca.aca_69_24\",\"RegionNum\":0,\"RegionCategory\":null,\"ArticlePicture\":[],\"TitleCN\":null,\"AbstractTextCN\":null,\"PMCID\":null,\"EPubDate\":\"2024/11/19 0:00:00\",\"PubModel\":\"Epub\",\"JCR\":\"Q3\",\"JCRName\":\"ANESTHESIOLOGY\",\"Score\":null,\"Total\":0}","platform":"Semanticscholar","paperid":null,"PeriodicalName":"Annals of Cardiac Anaesthesia","FirstCategoryId":"1085","ListUrlMain":"https://doi.org/10.4103/aca.aca_69_24","RegionNum":0,"RegionCategory":null,"ArticlePicture":[],"TitleCN":null,"AbstractTextCN":null,"PMCID":null,"EPubDate":"2024/11/19 0:00:00","PubModel":"Epub","JCR":"Q3","JCRName":"ANESTHESIOLOGY","Score":null,"Total":0}
引用次数: 0

摘要

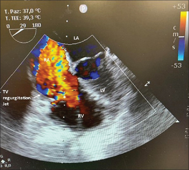
摘要:从右心室延伸出来的心脏肌瘤并不常见,这种罕见的情况可能与多种风险和不良预后有关。我们报告了一例右心室肌瘤患者的病例,该患者近期因动静脉畸形导致出血性中风。术前和术中的处理都极具挑战性,需要医疗团队做出若干艰难的选择,因此,必须采用多学科方法并进行效益风险评估,才能在紧急情况下及时决定手术切除,同时避免延误或不当治疗,在风险极高的情况下取得成功的结果。
本文章由计算机程序翻译,如有差异,请以英文原文为准。

Right Ventricular Myxoma Presenting in a Patient With Known Arteriovenous Malformations in the Brain: A Case Report.

Right Ventricular Myxoma Presenting in a Patient With Known Arteriovenous Malformations in the Brain: A Case Report.

Right Ventricular Myxoma Presenting in a Patient With Known Arteriovenous Malformations in the Brain: A Case Report.

Right Ventricular Myxoma Presenting in a Patient With Known Arteriovenous Malformations in the Brain: A Case Report.

Abstract: Cardiac myxomas extending from the right ventricle are uncommon and this rare condition is potentially associated with several risks and poor outcomes. We report the case of a patient with a right ventricular myxoma who had a recent haemorrhagic stroke due to an arteriovenous malformation. The preoperative and intraoperative managements were challenging and required several difficult choices by the medical team and consequently, a multidisciplinary approach and a benefit-risk evaluation were necessary to determinate timely surgical resection in an urgent situation, simultaneously avoiding delayed or improper treatments, achieving a successful outcome in a very high-risk situation.

求助全文
通过发布文献求助,成功后即可免费获取论文全文。 去求助
来源期刊
CiteScore
1.60
自引率
0.00%
发文量
147
审稿时长
26 weeks
期刊介绍: Annals of Cardiac Anaesthesia (ACA) is the official journal of the Indian Association of Cardiovascular Thoracic Anaesthesiologists. The journal is indexed with PubMed/MEDLINE, Excerpta Medica/EMBASE, IndMed and MedInd. The journal’s full text is online at www.annals.in. With the aim of faster and better dissemination of knowledge, we will be publishing articles ‘Ahead of Print’ immediately on acceptance. In addition, the journal would allow free access (Open Access) to its contents, which is likely to attract more readers and citations to articles published in ACA. Authors do not have to pay for submission, processing or publication of articles in ACA.
×
引用
GB/T 7714-2015
复制
MLA
复制
APA
复制
导出至
BibTeX EndNote RefMan NoteFirst NoteExpress
×
提示
您的信息不完整,为了账户安全,请先补充。
现在去补充
×
提示
您因"违规操作"
具体请查看互助需知
我知道了
×
提示
确定
请完成安全验证×
copy
已复制链接
快去分享给好友吧!
我知道了
右上角分享
点击右上角分享
0
联系我们:info@booksci.cn Book学术提供免费学术资源搜索服务,方便国内外学者检索中英文文献。致力于提供最便捷和优质的服务体验。 Copyright © 2023 布克学术 All rights reserved.
京ICP备2023020795号-1
ghs 京公网安备 11010802042870号
Book学术文献互助
Book学术文献互助群
群 号:604180095
Book学术官方微信