儿童动脉导管未闭动脉内膜炎的治疗方法

IF 0.3 Q4 SURGERY
Thoracic and Cardiovascular Surgeon Reports Pub Date : 2024-11-21 eCollection Date: 2024-01-01 DOI:10.1055/a-2444-9677
Jane Canning, Christopher Occleshaw, Ajay J Iyengar, Julia Moosmann
{"title":"儿童动脉导管未闭动脉内膜炎的治疗方法","authors":"Jane Canning, Christopher Occleshaw, Ajay J Iyengar, Julia Moosmann","doi":"10.1055/a-2444-9677","DOIUrl":null,"url":null,"abstract":"<p><p>The risk of patent ductus arteriosus infective endarteritis (PDA-IE) has significantly reduced since the introduction of antibiotics and surgical or interventional treatment strategies. However, diagnosis and adequate, timely management of PDA-IE remains challenging. We present the case of a 9-year-old girl with PDA-IE, illustrating our strategy to minimize complications in pediatric patients.</p>","PeriodicalId":41729,"journal":{"name":"Thoracic and Cardiovascular Surgeon Reports","volume":"13 1","pages":"e33-e36"},"PeriodicalIF":0.3000,"publicationDate":"2024-11-21","publicationTypes":"Journal Article","fieldsOfStudy":null,"isOpenAccess":false,"openAccessPdf":"https://www.ncbi.nlm.nih.gov/pmc/articles/PMC11581959/pdf/","citationCount":"0","resultStr":"{\"title\":\"Management of Patent Ductus Arteriosus Endarteritis in Children.\",\"authors\":\"Jane Canning, Christopher Occleshaw, Ajay J Iyengar, Julia Moosmann\",\"doi\":\"10.1055/a-2444-9677\",\"DOIUrl\":null,\"url\":null,\"abstract\":\"<p><p>The risk of patent ductus arteriosus infective endarteritis (PDA-IE) has significantly reduced since the introduction of antibiotics and surgical or interventional treatment strategies. However, diagnosis and adequate, timely management of PDA-IE remains challenging. We present the case of a 9-year-old girl with PDA-IE, illustrating our strategy to minimize complications in pediatric patients.</p>\",\"PeriodicalId\":41729,\"journal\":{\"name\":\"Thoracic and Cardiovascular Surgeon Reports\",\"volume\":\"13 1\",\"pages\":\"e33-e36\"},\"PeriodicalIF\":0.3000,\"publicationDate\":\"2024-11-21\",\"publicationTypes\":\"Journal Article\",\"fieldsOfStudy\":null,\"isOpenAccess\":false,\"openAccessPdf\":\"https://www.ncbi.nlm.nih.gov/pmc/articles/PMC11581959/pdf/\",\"citationCount\":\"0\",\"resultStr\":null,\"platform\":\"Semanticscholar\",\"paperid\":null,\"PeriodicalName\":\"Thoracic and Cardiovascular Surgeon Reports\",\"FirstCategoryId\":\"1085\",\"ListUrlMain\":\"https://doi.org/10.1055/a-2444-9677\",\"RegionNum\":0,\"RegionCategory\":null,\"ArticlePicture\":[],\"TitleCN\":null,\"AbstractTextCN\":null,\"PMCID\":null,\"EPubDate\":\"2024/1/1 0:00:00\",\"PubModel\":\"eCollection\",\"JCR\":\"Q4\",\"JCRName\":\"SURGERY\",\"Score\":null,\"Total\":0}","platform":"Semanticscholar","paperid":null,"PeriodicalName":"Thoracic and Cardiovascular Surgeon Reports","FirstCategoryId":"1085","ListUrlMain":"https://doi.org/10.1055/a-2444-9677","RegionNum":0,"RegionCategory":null,"ArticlePicture":[],"TitleCN":null,"AbstractTextCN":null,"PMCID":null,"EPubDate":"2024/1/1 0:00:00","PubModel":"eCollection","JCR":"Q4","JCRName":"SURGERY","Score":null,"Total":0}
引用次数: 0

摘要

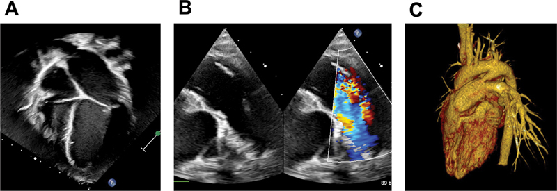
自从引入抗生素和手术或介入治疗策略以来,发生动脉导管未闭感染性动脉内膜炎(PDA-IE)的风险已大大降低。然而,PDA-IE 的诊断和充分、及时的治疗仍然具有挑战性。我们介绍了一例患有 PDA-IE 的 9 岁女孩的病例,说明了我们尽量减少儿科患者并发症的策略。
本文章由计算机程序翻译,如有差异,请以英文原文为准。

Management of Patent Ductus Arteriosus Endarteritis in Children.

Management of Patent Ductus Arteriosus Endarteritis in Children.

Management of Patent Ductus Arteriosus Endarteritis in Children.

The risk of patent ductus arteriosus infective endarteritis (PDA-IE) has significantly reduced since the introduction of antibiotics and surgical or interventional treatment strategies. However, diagnosis and adequate, timely management of PDA-IE remains challenging. We present the case of a 9-year-old girl with PDA-IE, illustrating our strategy to minimize complications in pediatric patients.

求助全文
通过发布文献求助,成功后即可免费获取论文全文。 去求助
来源期刊
自引率
0.00%
发文量
20
×
引用
GB/T 7714-2015
复制
MLA
复制
APA
复制
导出至
BibTeX EndNote RefMan NoteFirst NoteExpress
×
提示
您的信息不完整,为了账户安全,请先补充。
现在去补充
×
提示
您因"违规操作"
具体请查看互助需知
我知道了
×
提示
确定
请完成安全验证×
copy
已复制链接
快去分享给好友吧!
我知道了
右上角分享
点击右上角分享
0
联系我们:info@booksci.cn Book学术提供免费学术资源搜索服务,方便国内外学者检索中英文文献。致力于提供最便捷和优质的服务体验。 Copyright © 2023 布克学术 All rights reserved.
京ICP备2023020795号-1
ghs 京公网安备 11010802042870号
Book学术文献互助
Book学术文献互助群
群 号:604180095
Book学术官方微信