口腔鳞状细胞癌的流行病学和组织病理学特征--一项回顾性研究

Current health sciences journal Pub Date : 2024-07-01 Epub Date: 2024-09-30 DOI:10.12865/CHSJ.50.03.08
Ionuţ-Octavian Ilie, Otilia Clara Mărgăritescu, Alex Emilian Stepan, Raluca Niculina Ciurea, Mirela Marinela Florescu, Cristina Munteanu, Mircea Sebastian Şerbănescu, Claudiu Mărgăritescu
{"title":"口腔鳞状细胞癌的流行病学和组织病理学特征--一项回顾性研究","authors":"Ionuţ-Octavian Ilie, Otilia Clara Mărgăritescu, Alex Emilian Stepan, Raluca Niculina Ciurea, Mirela Marinela Florescu, Cristina Munteanu, Mircea Sebastian Şerbănescu, Claudiu Mărgăritescu","doi":"10.12865/CHSJ.50.03.08","DOIUrl":null,"url":null,"abstract":"<p><p>Oral Squamous Cell Carcinoma (OSCC) it was reported to be the 6th on the list of human malignant neoplasms responsible for high morbidity and mortality worldwide. We conducted a retrospective study between 2009-2019, investigating 50 such cancers hospitalized and diagnosed during this period in our institution. The purpose of the study was to establish a clinical-morphological profile of this type of cancer developed in the geographical area served by our institution. The epidemiological study highlighted the predominance of cases in men over 50 years old, mainly affecting the tongue, followed by the lips and oral floor. The histopathological study showed the prevalence of conventional cases of OSCC (70%) and the rest of the cases belonging to rarer forms (acantholytic-18%, verrucous-6%, basaloid-4% and sarcomatoid-2%). In terms of the degree of differentiation, the moderately differentiated cases prevailed (64%) and according to the TNM clinical stage, most cases were diagnosed in stage II (36%) and IV (26%). 70% of investigated cases presented muscle invasion and 38% perineural invasion. Our investigation highlighted the existence of particular morpho-clinical profiles depending on the tumor topography. Thus, tumors developed at the tongue level reached the maximum frequency in the 6th decade of life, being absent in the 8th decade and most often associated muscle invasion and perineural invasion, being diagnosed in advanced pTNM stages.</p>","PeriodicalId":93963,"journal":{"name":"Current health sciences journal","volume":"50 5","pages":"411-420"},"PeriodicalIF":0.0000,"publicationDate":"2024-07-01","publicationTypes":"Journal Article","fieldsOfStudy":null,"isOpenAccess":false,"openAccessPdf":"https://www.ncbi.nlm.nih.gov/pmc/articles/PMC11578359/pdf/","citationCount":"0","resultStr":"{\"title\":\"Epidemiological and Histopathological Features of Oral Squamous Cell Carcinoma-A Retrospective Study.\",\"authors\":\"Ionuţ-Octavian Ilie, Otilia Clara Mărgăritescu, Alex Emilian Stepan, Raluca Niculina Ciurea, Mirela Marinela Florescu, Cristina Munteanu, Mircea Sebastian Şerbănescu, Claudiu Mărgăritescu\",\"doi\":\"10.12865/CHSJ.50.03.08\",\"DOIUrl\":null,\"url\":null,\"abstract\":\"<p><p>Oral Squamous Cell Carcinoma (OSCC) it was reported to be the 6th on the list of human malignant neoplasms responsible for high morbidity and mortality worldwide. We conducted a retrospective study between 2009-2019, investigating 50 such cancers hospitalized and diagnosed during this period in our institution. The purpose of the study was to establish a clinical-morphological profile of this type of cancer developed in the geographical area served by our institution. The epidemiological study highlighted the predominance of cases in men over 50 years old, mainly affecting the tongue, followed by the lips and oral floor. The histopathological study showed the prevalence of conventional cases of OSCC (70%) and the rest of the cases belonging to rarer forms (acantholytic-18%, verrucous-6%, basaloid-4% and sarcomatoid-2%). In terms of the degree of differentiation, the moderately differentiated cases prevailed (64%) and according to the TNM clinical stage, most cases were diagnosed in stage II (36%) and IV (26%). 70% of investigated cases presented muscle invasion and 38% perineural invasion. Our investigation highlighted the existence of particular morpho-clinical profiles depending on the tumor topography. Thus, tumors developed at the tongue level reached the maximum frequency in the 6th decade of life, being absent in the 8th decade and most often associated muscle invasion and perineural invasion, being diagnosed in advanced pTNM stages.</p>\",\"PeriodicalId\":93963,\"journal\":{\"name\":\"Current health sciences journal\",\"volume\":\"50 5\",\"pages\":\"411-420\"},\"PeriodicalIF\":0.0000,\"publicationDate\":\"2024-07-01\",\"publicationTypes\":\"Journal Article\",\"fieldsOfStudy\":null,\"isOpenAccess\":false,\"openAccessPdf\":\"https://www.ncbi.nlm.nih.gov/pmc/articles/PMC11578359/pdf/\",\"citationCount\":\"0\",\"resultStr\":null,\"platform\":\"Semanticscholar\",\"paperid\":null,\"PeriodicalName\":\"Current health sciences journal\",\"FirstCategoryId\":\"1085\",\"ListUrlMain\":\"https://doi.org/10.12865/CHSJ.50.03.08\",\"RegionNum\":0,\"RegionCategory\":null,\"ArticlePicture\":[],\"TitleCN\":null,\"AbstractTextCN\":null,\"PMCID\":null,\"EPubDate\":\"2024/9/30 0:00:00\",\"PubModel\":\"Epub\",\"JCR\":\"\",\"JCRName\":\"\",\"Score\":null,\"Total\":0}","platform":"Semanticscholar","paperid":null,"PeriodicalName":"Current health sciences journal","FirstCategoryId":"1085","ListUrlMain":"https://doi.org/10.12865/CHSJ.50.03.08","RegionNum":0,"RegionCategory":null,"ArticlePicture":[],"TitleCN":null,"AbstractTextCN":null,"PMCID":null,"EPubDate":"2024/9/30 0:00:00","PubModel":"Epub","JCR":"","JCRName":"","Score":null,"Total":0}
引用次数: 0

摘要

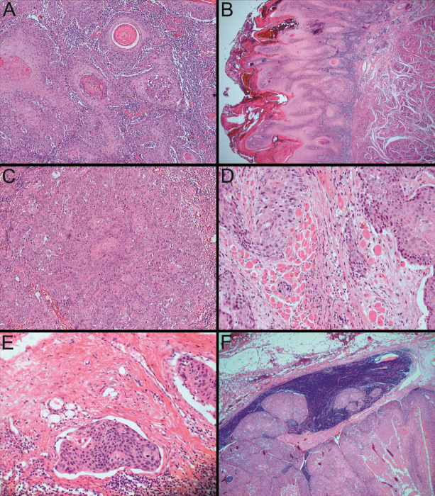
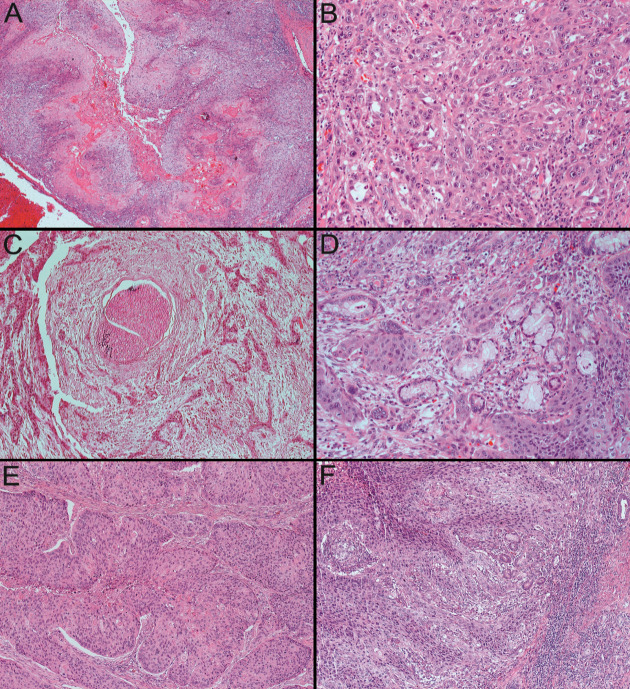
据报道,口腔鳞状细胞癌(OSCC)在导致全球高发病率和高死亡率的人类恶性肿瘤中排名第六。我们在 2009-2019 年间进行了一项回顾性研究,调查了在此期间在我院住院并确诊的 50 例此类癌症患者。研究的目的是建立我院服务的地理区域内此类癌症的临床形态特征。流行病学研究显示,50 岁以上的男性患者居多,主要累及舌头,其次是嘴唇和口腔底部。组织病理学研究显示,OSCC 的常规病例占 70%,其余病例属于罕见类型(棘细胞型-18%、疣状-6%、基底细胞型-4% 和肉瘤型-2%)。根据 TNM 临床分期,大多数病例被诊断为 II 期(36%)和 IV 期(26%)。70%的病例出现肌肉侵犯,38%出现神经周围侵犯。我们的调查突出表明,肿瘤的形态和临床特征与肿瘤的地形有关。因此,发生在舌部的肿瘤在人的第 6 个 10 年中出现的频率最高,在第 8 个 10 年中消失,最常见的是伴有肌肉侵犯和神经周围侵犯,被诊断为 pTNM 晚期。
本文章由计算机程序翻译,如有差异,请以英文原文为准。

Epidemiological and Histopathological Features of Oral Squamous Cell Carcinoma-A Retrospective Study.

Epidemiological and Histopathological Features of Oral Squamous Cell Carcinoma-A Retrospective Study.

Epidemiological and Histopathological Features of Oral Squamous Cell Carcinoma-A Retrospective Study.

Epidemiological and Histopathological Features of Oral Squamous Cell Carcinoma-A Retrospective Study.

Oral Squamous Cell Carcinoma (OSCC) it was reported to be the 6th on the list of human malignant neoplasms responsible for high morbidity and mortality worldwide. We conducted a retrospective study between 2009-2019, investigating 50 such cancers hospitalized and diagnosed during this period in our institution. The purpose of the study was to establish a clinical-morphological profile of this type of cancer developed in the geographical area served by our institution. The epidemiological study highlighted the predominance of cases in men over 50 years old, mainly affecting the tongue, followed by the lips and oral floor. The histopathological study showed the prevalence of conventional cases of OSCC (70%) and the rest of the cases belonging to rarer forms (acantholytic-18%, verrucous-6%, basaloid-4% and sarcomatoid-2%). In terms of the degree of differentiation, the moderately differentiated cases prevailed (64%) and according to the TNM clinical stage, most cases were diagnosed in stage II (36%) and IV (26%). 70% of investigated cases presented muscle invasion and 38% perineural invasion. Our investigation highlighted the existence of particular morpho-clinical profiles depending on the tumor topography. Thus, tumors developed at the tongue level reached the maximum frequency in the 6th decade of life, being absent in the 8th decade and most often associated muscle invasion and perineural invasion, being diagnosed in advanced pTNM stages.

求助全文
通过发布文献求助,成功后即可免费获取论文全文。 去求助
来源期刊
自引率
0.00%
发文量
0
×
引用
GB/T 7714-2015
复制
MLA
复制
APA
复制
导出至
BibTeX EndNote RefMan NoteFirst NoteExpress
×
提示
您的信息不完整,为了账户安全,请先补充。
现在去补充
×
提示
您因"违规操作"
具体请查看互助需知
我知道了
×
提示
确定
请完成安全验证×
copy
已复制链接
快去分享给好友吧!
我知道了
右上角分享
点击右上角分享
0
联系我们:info@booksci.cn Book学术提供免费学术资源搜索服务,方便国内外学者检索中英文文献。致力于提供最便捷和优质的服务体验。 Copyright © 2023 布克学术 All rights reserved.
京ICP备2023020795号-1
ghs 京公网安备 11010802042870号
Book学术文献互助
Book学术文献互助群
群 号:604180095
Book学术官方微信