0.23 特斯拉核磁共振成像在发病 24 小时内区分缺血性和出血性脑卒中:一项实验与临床相结合的研究。

IF 4.9 1区 医学
Xuewei Xie, Qianmei Jiang, Yue Suo, Chong Han, Zhaobin Wang, Zhe Zhang, Ning Wang, Yihuai Wang, Chunguang Zhang, Bingshan Xue, Tao Liu, David Wang, Jing Jing, Yongjun Wang
{"title":"0.23 特斯拉核磁共振成像在发病 24 小时内区分缺血性和出血性脑卒中:一项实验与临床相结合的研究。","authors":"Xuewei Xie, Qianmei Jiang, Yue Suo, Chong Han, Zhaobin Wang, Zhe Zhang, Ning Wang, Yihuai Wang, Chunguang Zhang, Bingshan Xue, Tao Liu, David Wang, Jing Jing, Yongjun Wang","doi":"10.1136/svn-2024-003592","DOIUrl":null,"url":null,"abstract":"<p><strong>Background and purpose: </strong>The low-field MRI is a promising tool to accurately diagnose strokes. We here report our study on the accuracy of a 0.23-Tesla (0.23-T) MRI using the haematoma enhanced inversion recovery (HEIR) sequence to detect acute ischaemic stroke (AIS) and intracerebral haemorrhage (ICH) within 24 hours of symptom onset.</p><p><strong>Methods: </strong>A novel HEIR sequence based on fluid-attenuated inversion recovery T1-weighted, with a scanning time of 1 min and 17 s, was developed using an ICH and AIS pig model on a 0.23-T MRI. Images of the pig model were obtained hourly for 24 hours in order to monitor value changes on T1/T2 and verify the differential diagnosis of AIS and ICH. Then, 30 patients with AIS and 30 patients with ICH with confirmed diagnoses by 3T-MRI/CT were included. Diagnostic criteria on a 0.23-T MRI for ICH was the hyperintensity signal on both the diffusion-weighted imaging (DWI) and HEIR sequence, while for AIS was the hyperintensity on DWI and isointensity on the HEIR sequence. Two blinded raters independently assessed the images obtained by the 0.23-T MRI for the presence of ICH/AIS.</p><p><strong>Results: </strong>In the pig model, setting the inversion time to 800 ms enabled clear differentiation of ICH from brain parenchymal tissue and AIS. In real patients, a correct 0.23-T MRI diagnosis of either an AIS or ICH was made in all 60 patients within 24 hours of symptom onset (100% overall accuracy). No adverse events occurred.</p><p><strong>Conclusions: </strong>The 0.23-T MRI may have the potential to differentiate cerebral haemorrhage from cerebral infarction with both speed and accuracy, making brain MRI scans easier, faster and cheaper. It might be possible to improve the screening imaging process for strokes in the emergency room. Further multicentre studies are needed to validate our findings.</p>","PeriodicalId":48733,"journal":{"name":"Journal of Investigative Medicine","volume":" ","pages":"472-480"},"PeriodicalIF":4.9000,"publicationDate":"2025-08-26","publicationTypes":"Journal Article","fieldsOfStudy":null,"isOpenAccess":false,"openAccessPdf":"https://www.ncbi.nlm.nih.gov/pmc/articles/PMC12415649/pdf/","citationCount":"0","resultStr":"{\"title\":\"0.23-Tesla MRI to differentiate between ischaemic and haemorrhagic strokes within 24 hours of onset: a combined experimental-clinical study.\",\"authors\":\"Xuewei Xie, Qianmei Jiang, Yue Suo, Chong Han, Zhaobin Wang, Zhe Zhang, Ning Wang, Yihuai Wang, Chunguang Zhang, Bingshan Xue, Tao Liu, David Wang, Jing Jing, Yongjun Wang\",\"doi\":\"10.1136/svn-2024-003592\",\"DOIUrl\":null,\"url\":null,\"abstract\":\"<p><strong>Background and purpose: </strong>The low-field MRI is a promising tool to accurately diagnose strokes. We here report our study on the accuracy of a 0.23-Tesla (0.23-T) MRI using the haematoma enhanced inversion recovery (HEIR) sequence to detect acute ischaemic stroke (AIS) and intracerebral haemorrhage (ICH) within 24 hours of symptom onset.</p><p><strong>Methods: </strong>A novel HEIR sequence based on fluid-attenuated inversion recovery T1-weighted, with a scanning time of 1 min and 17 s, was developed using an ICH and AIS pig model on a 0.23-T MRI. Images of the pig model were obtained hourly for 24 hours in order to monitor value changes on T1/T2 and verify the differential diagnosis of AIS and ICH. Then, 30 patients with AIS and 30 patients with ICH with confirmed diagnoses by 3T-MRI/CT were included. Diagnostic criteria on a 0.23-T MRI for ICH was the hyperintensity signal on both the diffusion-weighted imaging (DWI) and HEIR sequence, while for AIS was the hyperintensity on DWI and isointensity on the HEIR sequence. Two blinded raters independently assessed the images obtained by the 0.23-T MRI for the presence of ICH/AIS.</p><p><strong>Results: </strong>In the pig model, setting the inversion time to 800 ms enabled clear differentiation of ICH from brain parenchymal tissue and AIS. In real patients, a correct 0.23-T MRI diagnosis of either an AIS or ICH was made in all 60 patients within 24 hours of symptom onset (100% overall accuracy). No adverse events occurred.</p><p><strong>Conclusions: </strong>The 0.23-T MRI may have the potential to differentiate cerebral haemorrhage from cerebral infarction with both speed and accuracy, making brain MRI scans easier, faster and cheaper. It might be possible to improve the screening imaging process for strokes in the emergency room. Further multicentre studies are needed to validate our findings.</p>\",\"PeriodicalId\":48733,\"journal\":{\"name\":\"Journal of Investigative Medicine\",\"volume\":\" \",\"pages\":\"472-480\"},\"PeriodicalIF\":4.9000,\"publicationDate\":\"2025-08-26\",\"publicationTypes\":\"Journal Article\",\"fieldsOfStudy\":null,\"isOpenAccess\":false,\"openAccessPdf\":\"https://www.ncbi.nlm.nih.gov/pmc/articles/PMC12415649/pdf/\",\"citationCount\":\"0\",\"resultStr\":null,\"platform\":\"Semanticscholar\",\"paperid\":null,\"PeriodicalName\":\"Journal of Investigative Medicine\",\"FirstCategoryId\":\"3\",\"ListUrlMain\":\"https://doi.org/10.1136/svn-2024-003592\",\"RegionNum\":1,\"RegionCategory\":\"医学\",\"ArticlePicture\":[],\"TitleCN\":null,\"AbstractTextCN\":null,\"PMCID\":null,\"EPubDate\":\"\",\"PubModel\":\"\",\"JCR\":\"\",\"JCRName\":\"\",\"Score\":null,\"Total\":0}","platform":"Semanticscholar","paperid":null,"PeriodicalName":"Journal of Investigative Medicine","FirstCategoryId":"3","ListUrlMain":"https://doi.org/10.1136/svn-2024-003592","RegionNum":1,"RegionCategory":"医学","ArticlePicture":[],"TitleCN":null,"AbstractTextCN":null,"PMCID":null,"EPubDate":"","PubModel":"","JCR":"","JCRName":"","Score":null,"Total":0}
引用次数: 0

摘要

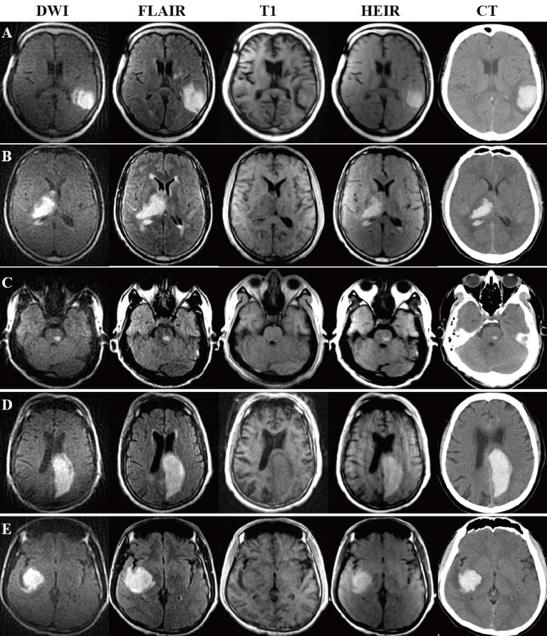
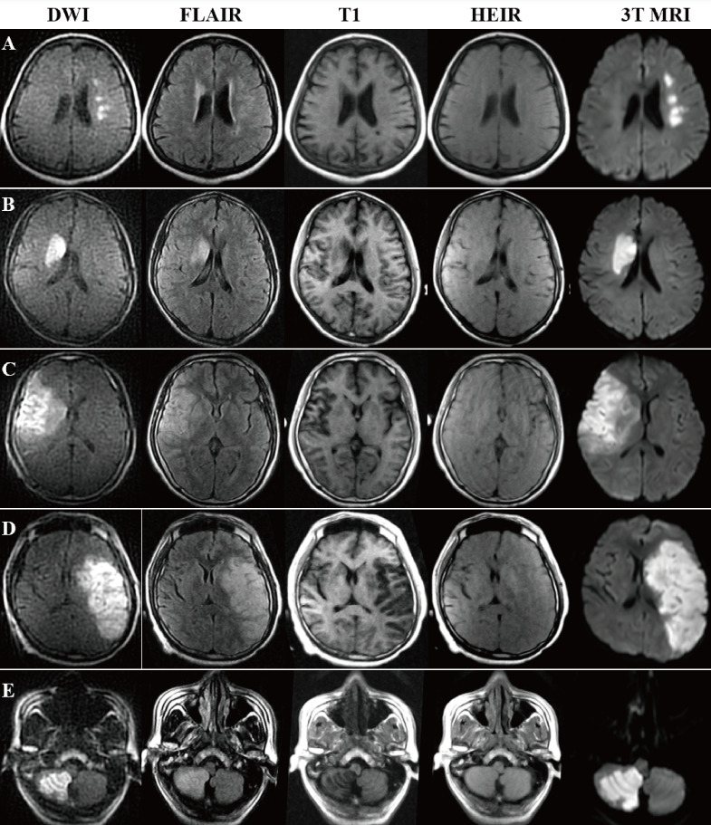
背景和目的:低场磁共振成像是准确诊断脑卒中的有效工具。我们在此报告利用血肿增强反转恢复(HEIR)序列的 0.23 特斯拉(0.23-T)磁共振成像在症状出现 24 小时内检测急性缺血性中风(AIS)和脑内出血(ICH)的准确性:方法:在 0.23-T 磁共振成像上使用 ICH 和 AIS 猪模型开发了一种基于液体衰减反转恢复 T1 加权的新型 HEIR 序列,扫描时间为 1 分 17 秒。为了监测 T1/T2 值的变化并验证 AIS 和 ICH 的鉴别诊断,在 24 小时内每小时获取猪模型的图像。然后,纳入经 3T-MRI/CT 确诊的 30 名 AIS 患者和 30 名 ICH 患者。在 0.23 T MRI 上诊断 ICH 的标准是弥散加权成像(DWI)和 HEIR 序列上的高密度信号,而诊断 AIS 的标准是 DWI 上的高密度和 HEIR 序列上的等密度。两名盲人评定员独立评估 0.23-T 磁共振成像获得的图像是否存在 ICH/AIS:结果:在猪模型中,将反转时间设定为 800 毫秒可明确区分 ICH 与脑实质组织和 AIS。在实际患者中,所有 60 名患者都能在症状出现 24 小时内通过 0.23-T 磁共振成像正确诊断出 AIS 或 ICH(总体准确率为 100%)。无不良事件发生:结论:0.23T 磁共振成像有可能快速准确地区分脑出血和脑梗塞,使脑磁共振成像扫描变得更简单、更快捷、更便宜。这有可能改善急诊室的脑卒中筛查成像过程。我们需要进一步的多中心研究来验证我们的发现。
本文章由计算机程序翻译,如有差异,请以英文原文为准。

0.23-Tesla MRI to differentiate between ischaemic and haemorrhagic strokes within 24 hours of onset: a combined experimental-clinical study.

0.23-Tesla MRI to differentiate between ischaemic and haemorrhagic strokes within 24 hours of onset: a combined experimental-clinical study.

0.23-Tesla MRI to differentiate between ischaemic and haemorrhagic strokes within 24 hours of onset: a combined experimental-clinical study.

0.23-Tesla MRI to differentiate between ischaemic and haemorrhagic strokes within 24 hours of onset: a combined experimental-clinical study.

Background and purpose: The low-field MRI is a promising tool to accurately diagnose strokes. We here report our study on the accuracy of a 0.23-Tesla (0.23-T) MRI using the haematoma enhanced inversion recovery (HEIR) sequence to detect acute ischaemic stroke (AIS) and intracerebral haemorrhage (ICH) within 24 hours of symptom onset.

Methods: A novel HEIR sequence based on fluid-attenuated inversion recovery T1-weighted, with a scanning time of 1 min and 17 s, was developed using an ICH and AIS pig model on a 0.23-T MRI. Images of the pig model were obtained hourly for 24 hours in order to monitor value changes on T1/T2 and verify the differential diagnosis of AIS and ICH. Then, 30 patients with AIS and 30 patients with ICH with confirmed diagnoses by 3T-MRI/CT were included. Diagnostic criteria on a 0.23-T MRI for ICH was the hyperintensity signal on both the diffusion-weighted imaging (DWI) and HEIR sequence, while for AIS was the hyperintensity on DWI and isointensity on the HEIR sequence. Two blinded raters independently assessed the images obtained by the 0.23-T MRI for the presence of ICH/AIS.

Results: In the pig model, setting the inversion time to 800 ms enabled clear differentiation of ICH from brain parenchymal tissue and AIS. In real patients, a correct 0.23-T MRI diagnosis of either an AIS or ICH was made in all 60 patients within 24 hours of symptom onset (100% overall accuracy). No adverse events occurred.

Conclusions: The 0.23-T MRI may have the potential to differentiate cerebral haemorrhage from cerebral infarction with both speed and accuracy, making brain MRI scans easier, faster and cheaper. It might be possible to improve the screening imaging process for strokes in the emergency room. Further multicentre studies are needed to validate our findings.

求助全文
通过发布文献求助,成功后即可免费获取论文全文。 去求助
来源期刊
Journal of Investigative Medicine
Journal of Investigative Medicine MEDICINE, GENERAL & INTERNALMEDICINE, RESE-MEDICINE, RESEARCH & EXPERIMENTAL
自引率
0.00%
发文量
111
期刊介绍: Journal of Investigative Medicine (JIM) is the official publication of the American Federation for Medical Research. The journal is peer-reviewed and publishes high-quality original articles and reviews in the areas of basic, clinical, and translational medical research. JIM publishes on all topics and specialty areas that are critical to the conduct of the entire spectrum of biomedical research: from the translation of clinical observations at the bedside, to basic and animal research to clinical research and the implementation of innovative medical care.
×
引用
GB/T 7714-2015
复制
MLA
复制
APA
复制
导出至
BibTeX EndNote RefMan NoteFirst NoteExpress
×
提示
您的信息不完整,为了账户安全,请先补充。
现在去补充
×
提示
您因"违规操作"
具体请查看互助需知
我知道了
×
提示
确定
请完成安全验证×
copy
已复制链接
快去分享给好友吧!
我知道了
右上角分享
点击右上角分享
0
联系我们:info@booksci.cn Book学术提供免费学术资源搜索服务,方便国内外学者检索中英文文献。致力于提供最便捷和优质的服务体验。 Copyright © 2023 布克学术 All rights reserved.
京ICP备2023020795号-1
ghs 京公网安备 11010802042870号
Book学术文献互助
Book学术文献互助群
群 号:604180095
Book学术官方微信