对免疫调节治疗有反应的晚发性肌病:没有神经节桿菌的散发性晚发性神经节桿菌肌病?

IF 2.4 Q3 CLINICAL NEUROLOGY
BMJ Neurology Open Pub Date : 2024-11-14 eCollection Date: 2024-01-01 DOI:10.1136/bmjno-2024-000892
Menachem Sadeh, Yakov Fellig, Ron Dabby
{"title":"对免疫调节治疗有反应的晚发性肌病:没有神经节桿菌的散发性晚发性神经节桿菌肌病?","authors":"Menachem Sadeh, Yakov Fellig, Ron Dabby","doi":"10.1136/bmjno-2024-000892","DOIUrl":null,"url":null,"abstract":"<p><strong>Background: </strong>Late-onset sporadic nemaline myopathy (SLONM) is a rare, treatable or potentially life-threatening muscle disorder that typically manifests late in life and is characterised by the presence of nemaline rods within muscle fibres, serving as the hallmark of the disease and the key to diagnosis.</p><p><strong>Methods: </strong>We report a case of an elderly patient with subacute onset of severe weakness affecting the upper and lower limbs, neck extensors and abdominal muscles. A comprehensive laboratory workup was performed.</p><p><strong>Results: </strong>Muscle biopsies showed nonspecific myopathic changes without inflammation, and electron microscopy did not reveal rods or aggregates. The laboratory workup was unremarkable except for the detection of monoclonal gammopathy of undetermined significance. Steroid treatment was ineffective; however, there was a notable positive response to intravenous immunoglobulins. The neurological findings, subacute course, normal creatine kinase levels, presence of monoclonal gammopathy of unknown significance and responsiveness to immunoglobulin treatment but not to steroids align with the characteristics of SLONM.</p><p><strong>Conclusion: </strong>We propose that the diagnosis of SLONM should be considered even in the absence of nemaline rods in muscle biopsy, and this should not impede the consideration of immunomodulatory treatment. Future progress in understanding the pathogenetic basis of SLONM may reduce reliance on pathological findings in muscle biopsies for establishing the diagnosis.</p>","PeriodicalId":52754,"journal":{"name":"BMJ Neurology Open","volume":"6 2","pages":"e000892"},"PeriodicalIF":2.4000,"publicationDate":"2024-11-14","publicationTypes":"Journal Article","fieldsOfStudy":null,"isOpenAccess":false,"openAccessPdf":"https://www.ncbi.nlm.nih.gov/pmc/articles/PMC11575228/pdf/","citationCount":"0","resultStr":"{\"title\":\"Late-onset myopathy responsive to immunomodulatory treatment: sporadic late-onset nemaline myopathy without nemaline rods?\",\"authors\":\"Menachem Sadeh, Yakov Fellig, Ron Dabby\",\"doi\":\"10.1136/bmjno-2024-000892\",\"DOIUrl\":null,\"url\":null,\"abstract\":\"<p><strong>Background: </strong>Late-onset sporadic nemaline myopathy (SLONM) is a rare, treatable or potentially life-threatening muscle disorder that typically manifests late in life and is characterised by the presence of nemaline rods within muscle fibres, serving as the hallmark of the disease and the key to diagnosis.</p><p><strong>Methods: </strong>We report a case of an elderly patient with subacute onset of severe weakness affecting the upper and lower limbs, neck extensors and abdominal muscles. A comprehensive laboratory workup was performed.</p><p><strong>Results: </strong>Muscle biopsies showed nonspecific myopathic changes without inflammation, and electron microscopy did not reveal rods or aggregates. The laboratory workup was unremarkable except for the detection of monoclonal gammopathy of undetermined significance. Steroid treatment was ineffective; however, there was a notable positive response to intravenous immunoglobulins. The neurological findings, subacute course, normal creatine kinase levels, presence of monoclonal gammopathy of unknown significance and responsiveness to immunoglobulin treatment but not to steroids align with the characteristics of SLONM.</p><p><strong>Conclusion: </strong>We propose that the diagnosis of SLONM should be considered even in the absence of nemaline rods in muscle biopsy, and this should not impede the consideration of immunomodulatory treatment. Future progress in understanding the pathogenetic basis of SLONM may reduce reliance on pathological findings in muscle biopsies for establishing the diagnosis.</p>\",\"PeriodicalId\":52754,\"journal\":{\"name\":\"BMJ Neurology Open\",\"volume\":\"6 2\",\"pages\":\"e000892\"},\"PeriodicalIF\":2.4000,\"publicationDate\":\"2024-11-14\",\"publicationTypes\":\"Journal Article\",\"fieldsOfStudy\":null,\"isOpenAccess\":false,\"openAccessPdf\":\"https://www.ncbi.nlm.nih.gov/pmc/articles/PMC11575228/pdf/\",\"citationCount\":\"0\",\"resultStr\":null,\"platform\":\"Semanticscholar\",\"paperid\":null,\"PeriodicalName\":\"BMJ Neurology Open\",\"FirstCategoryId\":\"1085\",\"ListUrlMain\":\"https://doi.org/10.1136/bmjno-2024-000892\",\"RegionNum\":0,\"RegionCategory\":null,\"ArticlePicture\":[],\"TitleCN\":null,\"AbstractTextCN\":null,\"PMCID\":null,\"EPubDate\":\"2024/1/1 0:00:00\",\"PubModel\":\"eCollection\",\"JCR\":\"Q3\",\"JCRName\":\"CLINICAL NEUROLOGY\",\"Score\":null,\"Total\":0}","platform":"Semanticscholar","paperid":null,"PeriodicalName":"BMJ Neurology Open","FirstCategoryId":"1085","ListUrlMain":"https://doi.org/10.1136/bmjno-2024-000892","RegionNum":0,"RegionCategory":null,"ArticlePicture":[],"TitleCN":null,"AbstractTextCN":null,"PMCID":null,"EPubDate":"2024/1/1 0:00:00","PubModel":"eCollection","JCR":"Q3","JCRName":"CLINICAL NEUROLOGY","Score":null,"Total":0}
引用次数: 0

摘要

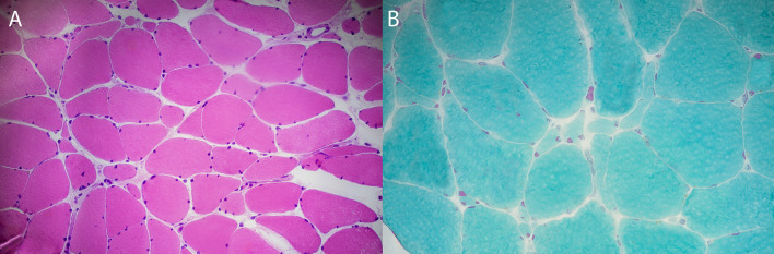
背景:晚发性散发性神经节氨酸肌病(SLONM)是一种罕见的、可治疗或可能危及生命的肌肉疾病,通常在晚年发病,其特征是肌纤维内存在神经节氨酸棒,这是该病的标志,也是诊断的关键:我们报告了一例老年患者的病例,该患者亚急性发病,上肢、下肢、颈部伸肌和腹部肌肉严重无力。我们进行了全面的实验室检查:肌肉活检显示为非特异性肌病变,无炎症,电镜检查未发现棒状物或聚集物。实验室检查除了发现意义不明的单克隆抗体外没有其他异常。类固醇治疗无效,但静脉注射免疫球蛋白后出现了明显的阳性反应。神经系统检查结果、亚急性病程、肌酸激酶水平正常、存在意义不明的单克隆丙种球蛋白病、对免疫球蛋白治疗有反应而对类固醇治疗无反应,这些都符合 SLONM 的特征:我们建议,即使在肌肉活检中未发现丝氨酸棒状物,也应考虑 SLONM 的诊断,而且这不应妨碍对免疫调节治疗的考虑。未来在了解SLONM的致病基础方面取得的进展可能会减少对肌肉活检病理结果的依赖,从而确定诊断。
本文章由计算机程序翻译,如有差异,请以英文原文为准。

Late-onset myopathy responsive to immunomodulatory treatment: sporadic late-onset nemaline myopathy without nemaline rods?

Late-onset myopathy responsive to immunomodulatory treatment: sporadic late-onset nemaline myopathy without nemaline rods?

Background: Late-onset sporadic nemaline myopathy (SLONM) is a rare, treatable or potentially life-threatening muscle disorder that typically manifests late in life and is characterised by the presence of nemaline rods within muscle fibres, serving as the hallmark of the disease and the key to diagnosis.

Methods: We report a case of an elderly patient with subacute onset of severe weakness affecting the upper and lower limbs, neck extensors and abdominal muscles. A comprehensive laboratory workup was performed.

Results: Muscle biopsies showed nonspecific myopathic changes without inflammation, and electron microscopy did not reveal rods or aggregates. The laboratory workup was unremarkable except for the detection of monoclonal gammopathy of undetermined significance. Steroid treatment was ineffective; however, there was a notable positive response to intravenous immunoglobulins. The neurological findings, subacute course, normal creatine kinase levels, presence of monoclonal gammopathy of unknown significance and responsiveness to immunoglobulin treatment but not to steroids align with the characteristics of SLONM.

Conclusion: We propose that the diagnosis of SLONM should be considered even in the absence of nemaline rods in muscle biopsy, and this should not impede the consideration of immunomodulatory treatment. Future progress in understanding the pathogenetic basis of SLONM may reduce reliance on pathological findings in muscle biopsies for establishing the diagnosis.

求助全文
通过发布文献求助,成功后即可免费获取论文全文。 去求助
来源期刊
BMJ Neurology Open
BMJ Neurology Open Medicine-Neurology (clinical)
CiteScore
3.20
自引率
3.70%
发文量
46
审稿时长
13 weeks
×
引用
GB/T 7714-2015
复制
MLA
复制
APA
复制
导出至
BibTeX EndNote RefMan NoteFirst NoteExpress
×
提示
您的信息不完整,为了账户安全,请先补充。
现在去补充
×
提示
您因"违规操作"
具体请查看互助需知
我知道了
×
提示
确定
请完成安全验证×
copy
已复制链接
快去分享给好友吧!
我知道了
右上角分享
点击右上角分享
0
联系我们:info@booksci.cn Book学术提供免费学术资源搜索服务,方便国内外学者检索中英文文献。致力于提供最便捷和优质的服务体验。 Copyright © 2023 布克学术 All rights reserved.
京ICP备2023020795号-1
ghs 京公网安备 11010802042870号
Book学术文献互助
Book学术文献互助群
群 号:604180095
Book学术官方微信