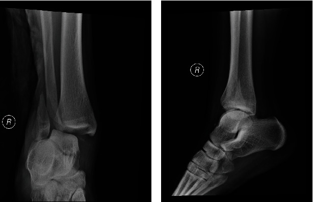
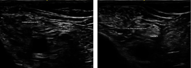
腓骨远端骨折固定术中的外科医生超声引导区域麻醉。

IF 0.6 Q4 ORTHOPEDICS
Case Reports in Orthopedics Pub Date : 2024-11-08 eCollection Date: 2024-01-01 DOI:10.1155/2024/5534624
Chun Lok Chow, Chun Man Ma, Tun Hing Lui
{"title":"腓骨远端骨折固定术中的外科医生超声引导区域麻醉。","authors":"Chun Lok Chow, Chun Man Ma, Tun Hing Lui","doi":"10.1155/2024/5534624","DOIUrl":null,"url":null,"abstract":"<p><p>Distal fibula fracture is a common injury of the lower limb. Significantly displaced distal fibula fracture is treated with surgical fixation under general, spinal, or regional anesthesia. We present a case of displaced distal fibula fracture with both the regional anesthesia and operation performed by the same attending orthopedic surgeon. The patient underwent successful ultrasound-guided regional anesthesia as well as open reduction and internal fixation. This case report highlights the technical detail for ultrasound-guided regional anesthesia and surgical fixation by surgeon.</p>","PeriodicalId":30287,"journal":{"name":"Case Reports in Orthopedics","volume":"2024 ","pages":"5534624"},"PeriodicalIF":0.6000,"publicationDate":"2024-11-08","publicationTypes":"Journal Article","fieldsOfStudy":null,"isOpenAccess":false,"openAccessPdf":"https://www.ncbi.nlm.nih.gov/pmc/articles/PMC11567720/pdf/","citationCount":"0","resultStr":"{\"title\":\"Surgeon-Administered Ultrasound-Guided Regional Anesthesia in Fixation of Distal Fibula Fracture.\",\"authors\":\"Chun Lok Chow, Chun Man Ma, Tun Hing Lui\",\"doi\":\"10.1155/2024/5534624\",\"DOIUrl\":null,\"url\":null,\"abstract\":\"<p><p>Distal fibula fracture is a common injury of the lower limb. Significantly displaced distal fibula fracture is treated with surgical fixation under general, spinal, or regional anesthesia. We present a case of displaced distal fibula fracture with both the regional anesthesia and operation performed by the same attending orthopedic surgeon. The patient underwent successful ultrasound-guided regional anesthesia as well as open reduction and internal fixation. This case report highlights the technical detail for ultrasound-guided regional anesthesia and surgical fixation by surgeon.</p>\",\"PeriodicalId\":30287,\"journal\":{\"name\":\"Case Reports in Orthopedics\",\"volume\":\"2024 \",\"pages\":\"5534624\"},\"PeriodicalIF\":0.6000,\"publicationDate\":\"2024-11-08\",\"publicationTypes\":\"Journal Article\",\"fieldsOfStudy\":null,\"isOpenAccess\":false,\"openAccessPdf\":\"https://www.ncbi.nlm.nih.gov/pmc/articles/PMC11567720/pdf/\",\"citationCount\":\"0\",\"resultStr\":null,\"platform\":\"Semanticscholar\",\"paperid\":null,\"PeriodicalName\":\"Case Reports in Orthopedics\",\"FirstCategoryId\":\"1085\",\"ListUrlMain\":\"https://doi.org/10.1155/2024/5534624\",\"RegionNum\":0,\"RegionCategory\":null,\"ArticlePicture\":[],\"TitleCN\":null,\"AbstractTextCN\":null,\"PMCID\":null,\"EPubDate\":\"2024/1/1 0:00:00\",\"PubModel\":\"eCollection\",\"JCR\":\"Q4\",\"JCRName\":\"ORTHOPEDICS\",\"Score\":null,\"Total\":0}","platform":"Semanticscholar","paperid":null,"PeriodicalName":"Case Reports in Orthopedics","FirstCategoryId":"1085","ListUrlMain":"https://doi.org/10.1155/2024/5534624","RegionNum":0,"RegionCategory":null,"ArticlePicture":[],"TitleCN":null,"AbstractTextCN":null,"PMCID":null,"EPubDate":"2024/1/1 0:00:00","PubModel":"eCollection","JCR":"Q4","JCRName":"ORTHOPEDICS","Score":null,"Total":0}
引用次数: 0

摘要

腓骨远端骨折是下肢常见的损伤。明显移位的腓骨远端骨折可在全身麻醉、脊髓麻醉或区域麻醉下进行手术固定治疗。我们介绍了一例腓骨远端移位骨折病例,区域麻醉和手术均由同一位骨科医生主治。患者成功接受了超声引导下的区域麻醉以及切开复位和内固定术。本病例报告重点介绍了超声引导下区域麻醉和外科医生手术固定的技术细节。
本文章由计算机程序翻译,如有差异,请以英文原文为准。

Surgeon-Administered Ultrasound-Guided Regional Anesthesia in Fixation of Distal Fibula Fracture.

Surgeon-Administered Ultrasound-Guided Regional Anesthesia in Fixation of Distal Fibula Fracture.

Surgeon-Administered Ultrasound-Guided Regional Anesthesia in Fixation of Distal Fibula Fracture.

Surgeon-Administered Ultrasound-Guided Regional Anesthesia in Fixation of Distal Fibula Fracture.

Distal fibula fracture is a common injury of the lower limb. Significantly displaced distal fibula fracture is treated with surgical fixation under general, spinal, or regional anesthesia. We present a case of displaced distal fibula fracture with both the regional anesthesia and operation performed by the same attending orthopedic surgeon. The patient underwent successful ultrasound-guided regional anesthesia as well as open reduction and internal fixation. This case report highlights the technical detail for ultrasound-guided regional anesthesia and surgical fixation by surgeon.

求助全文
通过发布文献求助,成功后即可免费获取论文全文。 去求助
来源期刊
自引率
0.00%
发文量
55
审稿时长
14 weeks
×
引用
GB/T 7714-2015
复制
MLA
复制
APA
复制
导出至
BibTeX EndNote RefMan NoteFirst NoteExpress
×
提示
您的信息不完整,为了账户安全,请先补充。
现在去补充
×
提示
您因"违规操作"
具体请查看互助需知
我知道了
×
提示
确定
请完成安全验证×
copy
已复制链接
快去分享给好友吧!
我知道了
右上角分享
点击右上角分享
0
联系我们:info@booksci.cn Book学术提供免费学术资源搜索服务,方便国内外学者检索中英文文献。致力于提供最便捷和优质的服务体验。 Copyright © 2023 布克学术 All rights reserved.
京ICP备2023020795号-1
ghs 京公网安备 11010802042870号
Book学术文献互助
Book学术文献互助群
群 号:604180095
Book学术官方微信