大面积脑静脉血栓导致静脉中风并发勒米尔综合征。

IF 0.7 Q3 EMERGENCY MEDICINE
Journal of Emergencies, Trauma, and Shock Pub Date : 2024-07-01 Epub Date: 2024-08-02 DOI:10.4103/jets.jets_5_24
Sayaka Nakahara, Kaoru Obata, Tetsunori Ikegami
{"title":"大面积脑静脉血栓导致静脉中风并发勒米尔综合征。","authors":"Sayaka Nakahara, Kaoru Obata, Tetsunori Ikegami","doi":"10.4103/jets.jets_5_24","DOIUrl":null,"url":null,"abstract":"<p><p>Lemierre's syndrome is a rare disease characterized by thrombophlebitis of the internal jugular vein and metastasis to distant organs. It occurs after an anaerobic infection of the larynx or dental region; the central nervous system involvement is infrequent. A 50-year-old woman presented with impaired consciousness. She had undergone several days of dental treatment for a toothache before presentation. Contrast-enhanced computed tomography (CT) revealed a head-and-neck abscess and a massive thrombus in the internal jugular vein, and a diagnosis of Lemierre's syndrome was made. After symptoms improved with surgical drainage and antimicrobial therapy, the patient was discharged on day 58. In this case, Lemierre's syndrome was complicated by a venous stroke caused by venous congestion due to a massive cerebral venous thrombus. Venous stroke due to thrombi may occur in patients with Lemierre's syndrome, and magnetic resonance imaging or CT with venous phase imaging may aid in the diagnosis.</p>","PeriodicalId":15692,"journal":{"name":"Journal of Emergencies, Trauma, and Shock","volume":"17 3","pages":"184-186"},"PeriodicalIF":0.7000,"publicationDate":"2024-07-01","publicationTypes":"Journal Article","fieldsOfStudy":null,"isOpenAccess":false,"openAccessPdf":"https://www.ncbi.nlm.nih.gov/pmc/articles/PMC11563235/pdf/","citationCount":"0","resultStr":"{\"title\":\"Lemierre's Syndrome Complicated by Venous Stroke due to a Massive Cerebral Venous Thrombus.\",\"authors\":\"Sayaka Nakahara, Kaoru Obata, Tetsunori Ikegami\",\"doi\":\"10.4103/jets.jets_5_24\",\"DOIUrl\":null,\"url\":null,\"abstract\":\"<p><p>Lemierre's syndrome is a rare disease characterized by thrombophlebitis of the internal jugular vein and metastasis to distant organs. It occurs after an anaerobic infection of the larynx or dental region; the central nervous system involvement is infrequent. A 50-year-old woman presented with impaired consciousness. She had undergone several days of dental treatment for a toothache before presentation. Contrast-enhanced computed tomography (CT) revealed a head-and-neck abscess and a massive thrombus in the internal jugular vein, and a diagnosis of Lemierre's syndrome was made. After symptoms improved with surgical drainage and antimicrobial therapy, the patient was discharged on day 58. In this case, Lemierre's syndrome was complicated by a venous stroke caused by venous congestion due to a massive cerebral venous thrombus. Venous stroke due to thrombi may occur in patients with Lemierre's syndrome, and magnetic resonance imaging or CT with venous phase imaging may aid in the diagnosis.</p>\",\"PeriodicalId\":15692,\"journal\":{\"name\":\"Journal of Emergencies, Trauma, and Shock\",\"volume\":\"17 3\",\"pages\":\"184-186\"},\"PeriodicalIF\":0.7000,\"publicationDate\":\"2024-07-01\",\"publicationTypes\":\"Journal Article\",\"fieldsOfStudy\":null,\"isOpenAccess\":false,\"openAccessPdf\":\"https://www.ncbi.nlm.nih.gov/pmc/articles/PMC11563235/pdf/\",\"citationCount\":\"0\",\"resultStr\":null,\"platform\":\"Semanticscholar\",\"paperid\":null,\"PeriodicalName\":\"Journal of Emergencies, Trauma, and Shock\",\"FirstCategoryId\":\"1085\",\"ListUrlMain\":\"https://doi.org/10.4103/jets.jets_5_24\",\"RegionNum\":0,\"RegionCategory\":null,\"ArticlePicture\":[],\"TitleCN\":null,\"AbstractTextCN\":null,\"PMCID\":null,\"EPubDate\":\"2024/8/2 0:00:00\",\"PubModel\":\"Epub\",\"JCR\":\"Q3\",\"JCRName\":\"EMERGENCY MEDICINE\",\"Score\":null,\"Total\":0}","platform":"Semanticscholar","paperid":null,"PeriodicalName":"Journal of Emergencies, Trauma, and Shock","FirstCategoryId":"1085","ListUrlMain":"https://doi.org/10.4103/jets.jets_5_24","RegionNum":0,"RegionCategory":null,"ArticlePicture":[],"TitleCN":null,"AbstractTextCN":null,"PMCID":null,"EPubDate":"2024/8/2 0:00:00","PubModel":"Epub","JCR":"Q3","JCRName":"EMERGENCY MEDICINE","Score":null,"Total":0}
引用次数: 0

摘要

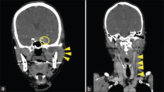
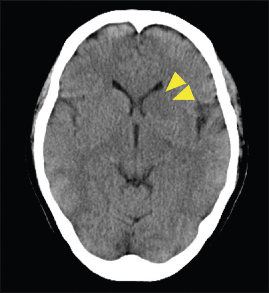
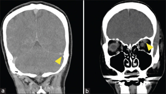
勒米尔综合征是一种罕见的疾病,以颈内静脉血栓性静脉炎和远处器官转移为特征。该病发生在喉部或牙齿部位的厌氧菌感染之后;中枢神经系统受累的情况并不多见。一名 50 岁的妇女出现意识障碍。发病前,她因牙痛接受了数天的牙科治疗。对比增强计算机断层扫描(CT)显示头颈部有脓肿,颈内静脉有大量血栓,诊断为莱米埃尔综合征。经过手术引流和抗菌治疗后,症状有所好转,患者于第 58 天出院。在这个病例中,由于大量脑静脉血栓导致静脉充血,并发了静脉中风,从而并发了莱米埃尔综合征。莱米埃尔综合征患者可能因血栓导致静脉中风,磁共振成像或 CT 静脉相成像可帮助诊断。
本文章由计算机程序翻译,如有差异,请以英文原文为准。

Lemierre's Syndrome Complicated by Venous Stroke due to a Massive Cerebral Venous Thrombus.

Lemierre's Syndrome Complicated by Venous Stroke due to a Massive Cerebral Venous Thrombus.

Lemierre's Syndrome Complicated by Venous Stroke due to a Massive Cerebral Venous Thrombus.

Lemierre's Syndrome Complicated by Venous Stroke due to a Massive Cerebral Venous Thrombus.

Lemierre's syndrome is a rare disease characterized by thrombophlebitis of the internal jugular vein and metastasis to distant organs. It occurs after an anaerobic infection of the larynx or dental region; the central nervous system involvement is infrequent. A 50-year-old woman presented with impaired consciousness. She had undergone several days of dental treatment for a toothache before presentation. Contrast-enhanced computed tomography (CT) revealed a head-and-neck abscess and a massive thrombus in the internal jugular vein, and a diagnosis of Lemierre's syndrome was made. After symptoms improved with surgical drainage and antimicrobial therapy, the patient was discharged on day 58. In this case, Lemierre's syndrome was complicated by a venous stroke caused by venous congestion due to a massive cerebral venous thrombus. Venous stroke due to thrombi may occur in patients with Lemierre's syndrome, and magnetic resonance imaging or CT with venous phase imaging may aid in the diagnosis.

求助全文
通过发布文献求助,成功后即可免费获取论文全文。 去求助
来源期刊
CiteScore
2.90
自引率
7.10%
发文量
52
审稿时长
39 weeks
×
引用
GB/T 7714-2015
复制
MLA
复制
APA
复制
导出至
BibTeX EndNote RefMan NoteFirst NoteExpress
×
提示
您的信息不完整,为了账户安全,请先补充。
现在去补充
×
提示
您因"违规操作"
具体请查看互助需知
我知道了
×
提示
确定
请完成安全验证×
copy
已复制链接
快去分享给好友吧!
我知道了
右上角分享
点击右上角分享
0
联系我们:info@booksci.cn Book学术提供免费学术资源搜索服务,方便国内外学者检索中英文文献。致力于提供最便捷和优质的服务体验。 Copyright © 2023 布克学术 All rights reserved.
京ICP备2023020795号-1
ghs 京公网安备 11010802042870号
Book学术文献互助
Book学术文献互助群
群 号:604180095
Book学术官方微信