利用类组织细胞培养系统对胶质母细胞瘤细胞进行三维培养

IF 1.8 4区 生物学 Q4 CELL BIOLOGY
Acta Histochemica Et Cytochemica Pub Date : 2024-10-28 Epub Date: 2024-10-12 DOI:10.1267/ahc.24-00043
Natsume Okamoto, Naoko Taniura, Takahisa Nakayama, Eri Tanaka, Yusuke Kageyama, Mai Noujima, Ryoji Kushima, Ken-Ichi Mukaisho
{"title":"利用类组织细胞培养系统对胶质母细胞瘤细胞进行三维培养","authors":"Natsume Okamoto, Naoko Taniura, Takahisa Nakayama, Eri Tanaka, Yusuke Kageyama, Mai Noujima, Ryoji Kushima, Ken-Ichi Mukaisho","doi":"10.1267/ahc.24-00043","DOIUrl":null,"url":null,"abstract":"<p><p>In classical cell culture techniques, cancer cells typically proliferate in a single layer by adhering to the undersurface of laboratory vessels. Consequently, concerns have been raised regarding the fidelity of the morphological and functional characteristics of these cultured cancer cells compared to those of their <i>in vivo</i> counterparts. Our previous studies have investigated various epithelial malignant tumors utilizing the Tissueoid cell culture system, a three-dimensional (3D) cultivation method employing Cellbed-a nonwoven sheet composed of high-purity silica fibers as a scaffold. In this investigation, we have achieved successful 3D culturing of glioblastoma cells (A172 and T98G), which are non-epithelial in nature. As such our focus is to juxtapose their morphological features against that of those cultivated via conventional two-dimensional (2D) methods. Our findings will be elucidated using immunostaining, immunofluorescence staining, and scanning electron microscopy, substantiated with accompanying imaging. Notably, cells cultured in the 3D environment exhibited distinct morphological attributes compared to those of their 2D counterparts, notably featuring pronounced cellular protrusions. We envisage the continued utilization of the 3D culture platform to facilitate diverse avenues of research, encompassing the exploration of novel therapeutic modalities for glioblastoma cells and beyond.</p>","PeriodicalId":6888,"journal":{"name":"Acta Histochemica Et Cytochemica","volume":"57 5","pages":"149-155"},"PeriodicalIF":1.8000,"publicationDate":"2024-10-28","publicationTypes":"Journal Article","fieldsOfStudy":null,"isOpenAccess":false,"openAccessPdf":"https://www.ncbi.nlm.nih.gov/pmc/articles/PMC11565224/pdf/","citationCount":"0","resultStr":"{\"title\":\"Three-Dimensional Culture of Glioblastoma Cells Using a Tissueoid Cell Culture System.\",\"authors\":\"Natsume Okamoto, Naoko Taniura, Takahisa Nakayama, Eri Tanaka, Yusuke Kageyama, Mai Noujima, Ryoji Kushima, Ken-Ichi Mukaisho\",\"doi\":\"10.1267/ahc.24-00043\",\"DOIUrl\":null,\"url\":null,\"abstract\":\"<p><p>In classical cell culture techniques, cancer cells typically proliferate in a single layer by adhering to the undersurface of laboratory vessels. Consequently, concerns have been raised regarding the fidelity of the morphological and functional characteristics of these cultured cancer cells compared to those of their <i>in vivo</i> counterparts. Our previous studies have investigated various epithelial malignant tumors utilizing the Tissueoid cell culture system, a three-dimensional (3D) cultivation method employing Cellbed-a nonwoven sheet composed of high-purity silica fibers as a scaffold. In this investigation, we have achieved successful 3D culturing of glioblastoma cells (A172 and T98G), which are non-epithelial in nature. As such our focus is to juxtapose their morphological features against that of those cultivated via conventional two-dimensional (2D) methods. Our findings will be elucidated using immunostaining, immunofluorescence staining, and scanning electron microscopy, substantiated with accompanying imaging. Notably, cells cultured in the 3D environment exhibited distinct morphological attributes compared to those of their 2D counterparts, notably featuring pronounced cellular protrusions. We envisage the continued utilization of the 3D culture platform to facilitate diverse avenues of research, encompassing the exploration of novel therapeutic modalities for glioblastoma cells and beyond.</p>\",\"PeriodicalId\":6888,\"journal\":{\"name\":\"Acta Histochemica Et Cytochemica\",\"volume\":\"57 5\",\"pages\":\"149-155\"},\"PeriodicalIF\":1.8000,\"publicationDate\":\"2024-10-28\",\"publicationTypes\":\"Journal Article\",\"fieldsOfStudy\":null,\"isOpenAccess\":false,\"openAccessPdf\":\"https://www.ncbi.nlm.nih.gov/pmc/articles/PMC11565224/pdf/\",\"citationCount\":\"0\",\"resultStr\":null,\"platform\":\"Semanticscholar\",\"paperid\":null,\"PeriodicalName\":\"Acta Histochemica Et Cytochemica\",\"FirstCategoryId\":\"99\",\"ListUrlMain\":\"https://doi.org/10.1267/ahc.24-00043\",\"RegionNum\":4,\"RegionCategory\":\"生物学\",\"ArticlePicture\":[],\"TitleCN\":null,\"AbstractTextCN\":null,\"PMCID\":null,\"EPubDate\":\"2024/10/12 0:00:00\",\"PubModel\":\"Epub\",\"JCR\":\"Q4\",\"JCRName\":\"CELL BIOLOGY\",\"Score\":null,\"Total\":0}","platform":"Semanticscholar","paperid":null,"PeriodicalName":"Acta Histochemica Et Cytochemica","FirstCategoryId":"99","ListUrlMain":"https://doi.org/10.1267/ahc.24-00043","RegionNum":4,"RegionCategory":"生物学","ArticlePicture":[],"TitleCN":null,"AbstractTextCN":null,"PMCID":null,"EPubDate":"2024/10/12 0:00:00","PubModel":"Epub","JCR":"Q4","JCRName":"CELL BIOLOGY","Score":null,"Total":0}
引用次数: 0

摘要

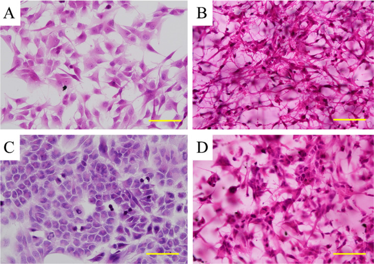
在传统的细胞培养技术中,癌细胞通常会附着在实验室血管的表面下,在单层中增殖。因此,人们担心这些培养的癌细胞的形态和功能特征与体内癌细胞的形态和功能特征是否一致。我们之前的研究利用 Tissueoid 细胞培养系统研究了各种上皮性恶性肿瘤,该系统是一种三维(3D)培养方法,采用 Cellbed(由高纯度二氧化硅纤维组成的无纺布片材)作为支架。在这项研究中,我们成功实现了胶质母细胞瘤细胞(A172 和 T98G)的三维培养,这些细胞具有非上皮性。因此,我们的重点是将它们的形态特征与通过传统二维(2D)方法培养的细胞进行对比。我们将利用免疫染色、免疫荧光染色和扫描电子显微镜来阐明我们的发现,并辅以相应的成像。值得注意的是,与二维细胞相比,在三维环境中培养的细胞表现出独特的形态特征,尤其是细胞突起明显。我们设想继续利用三维培养平台促进各种研究,包括探索胶质母细胞瘤细胞的新型治疗方法及其他。
本文章由计算机程序翻译,如有差异,请以英文原文为准。

Three-Dimensional Culture of Glioblastoma Cells Using a Tissueoid Cell Culture System.

Three-Dimensional Culture of Glioblastoma Cells Using a Tissueoid Cell Culture System.

Three-Dimensional Culture of Glioblastoma Cells Using a Tissueoid Cell Culture System.

Three-Dimensional Culture of Glioblastoma Cells Using a Tissueoid Cell Culture System.

In classical cell culture techniques, cancer cells typically proliferate in a single layer by adhering to the undersurface of laboratory vessels. Consequently, concerns have been raised regarding the fidelity of the morphological and functional characteristics of these cultured cancer cells compared to those of their in vivo counterparts. Our previous studies have investigated various epithelial malignant tumors utilizing the Tissueoid cell culture system, a three-dimensional (3D) cultivation method employing Cellbed-a nonwoven sheet composed of high-purity silica fibers as a scaffold. In this investigation, we have achieved successful 3D culturing of glioblastoma cells (A172 and T98G), which are non-epithelial in nature. As such our focus is to juxtapose their morphological features against that of those cultivated via conventional two-dimensional (2D) methods. Our findings will be elucidated using immunostaining, immunofluorescence staining, and scanning electron microscopy, substantiated with accompanying imaging. Notably, cells cultured in the 3D environment exhibited distinct morphological attributes compared to those of their 2D counterparts, notably featuring pronounced cellular protrusions. We envisage the continued utilization of the 3D culture platform to facilitate diverse avenues of research, encompassing the exploration of novel therapeutic modalities for glioblastoma cells and beyond.

求助全文
通过发布文献求助,成功后即可免费获取论文全文。 去求助
来源期刊
Acta Histochemica Et Cytochemica
Acta Histochemica Et Cytochemica 生物-细胞生物学
CiteScore
3.50
自引率
8.30%
发文量
17
审稿时长
>12 weeks
期刊介绍: Acta Histochemica et Cytochemica is the official online journal of the Japan Society of Histochemistry and Cytochemistry. It is intended primarily for rapid publication of concise, original articles in the fields of histochemistry and cytochemistry. Manuscripts oriented towards methodological subjects that contain significant technical advances in these fields are also welcome. Manuscripts in English are accepted from investigators in any country, whether or not they are members of the Japan Society of Histochemistry and Cytochemistry. Manuscripts should be original work that has not been previously published and is not being considered for publication elsewhere, with the exception of abstracts. Manuscripts with essentially the same content as a paper that has been published or accepted, or is under consideration for publication, will not be considered. All submitted papers will be peer-reviewed by at least two referees selected by an appropriate Associate Editor. Acceptance is based on scientific significance, originality, and clarity. When required, a revised manuscript should be submitted within 3 months, otherwise it will be considered to be a new submission. The Editor-in-Chief will make all final decisions regarding acceptance.
×
引用
GB/T 7714-2015
复制
MLA
复制
APA
复制
导出至
BibTeX EndNote RefMan NoteFirst NoteExpress
×
提示
您的信息不完整,为了账户安全,请先补充。
现在去补充
×
提示
您因"违规操作"
具体请查看互助需知
我知道了
×
提示
确定
请完成安全验证×
copy
已复制链接
快去分享给好友吧!
我知道了
右上角分享
点击右上角分享
0
联系我们:info@booksci.cn Book学术提供免费学术资源搜索服务,方便国内外学者检索中英文文献。致力于提供最便捷和优质的服务体验。 Copyright © 2023 布克学术 All rights reserved.
京ICP备2023020795号-1
ghs 京公网安备 11010802042870号
Book学术文献互助
Book学术文献互助群
群 号:604180095
Book学术官方微信