槲皮素可减少磁铁矿纳米颗粒在大鼠卵巢中的凋亡途径:抗氧化状态和荷尔蒙特征

Environmental analysis, health and toxicology Pub Date : 2024-09-01 Epub Date: 2024-09-30 DOI:10.5620/eaht.2024025
Mohammed Eleyan, Khairy A Ibrahim, Rania A Mohamed, Mohamed Hussien, Mohammed R Zughbur, Ayoub R Aldalou, Atef Masad, Heba Ali Abd El-Rahman, Hala A Abdelgaid
{"title":"槲皮素可减少磁铁矿纳米颗粒在大鼠卵巢中的凋亡途径:抗氧化状态和荷尔蒙特征","authors":"Mohammed Eleyan, Khairy A Ibrahim, Rania A Mohamed, Mohamed Hussien, Mohammed R Zughbur, Ayoub R Aldalou, Atef Masad, Heba Ali Abd El-Rahman, Hala A Abdelgaid","doi":"10.5620/eaht.2024025","DOIUrl":null,"url":null,"abstract":"<p><p>Magnetite nanoparticles have attracted the attention of researchers for biomedical uses, but their impacts on the reproductive system did not report. Here, we have studied the possible attenuation efficiency of quercetin against magnetite nanoparticles-induced apoptosis in ovarian. Forty female rats were divided equally into control, quercetin (100 mg/kg), magnetite nanoparticles (50 mg/kg), and magnetite nanoparticles+quercetin, where all rats received their doses for four weeks. Compared with the control, magnetite nanoparticles significantly reduced the serum hormonal levels (follicle-stimulating hormone, luteinizing hormone, estrogen, and progesterone) along with glutathione and superoxide dismutase in ovarian tissues. Moreover, magnetite nanoparticles markedly increased the ovarian malondialdehyde, and apoptotic gene expressions (Bax and caspase-3), and induced many histopathological changes. Significantly, co-treatment with quercetin markedly alleviated the hormonal profile, antioxidant disturbance, and ovarian apoptotic pathway of magnetite nanoparticles. Furthermore, our docking study revealed that quercetin could act as a caspase-3 inhibitor and allosteric agonist to follicle-stimulating hormone (Met520 and Val53), luteinizing hormone (Met517, Ala589, Ser604, and Lys595), estrogen (Met421, Phe425, and Ala350), and progesterone (Met759 and Met909) receptors. Those records reveal that the antioxidants and antiapoptotic characteristics are acceptable pointers for female infertility defenders of quercetin, especially during nanoparticle exposure.</p>","PeriodicalId":101307,"journal":{"name":"Environmental analysis, health and toxicology","volume":"39 3","pages":"e2024025-0"},"PeriodicalIF":0.0000,"publicationDate":"2024-09-01","publicationTypes":"Journal Article","fieldsOfStudy":null,"isOpenAccess":false,"openAccessPdf":"https://www.ncbi.nlm.nih.gov/pmc/articles/PMC11560298/pdf/","citationCount":"0","resultStr":"{\"title\":\"Quercetin diminishes the apoptotic pathway of magnetite nanoparticles in rats' ovary: Antioxidant status and hormonal profiles.\",\"authors\":\"Mohammed Eleyan, Khairy A Ibrahim, Rania A Mohamed, Mohamed Hussien, Mohammed R Zughbur, Ayoub R Aldalou, Atef Masad, Heba Ali Abd El-Rahman, Hala A Abdelgaid\",\"doi\":\"10.5620/eaht.2024025\",\"DOIUrl\":null,\"url\":null,\"abstract\":\"<p><p>Magnetite nanoparticles have attracted the attention of researchers for biomedical uses, but their impacts on the reproductive system did not report. Here, we have studied the possible attenuation efficiency of quercetin against magnetite nanoparticles-induced apoptosis in ovarian. Forty female rats were divided equally into control, quercetin (100 mg/kg), magnetite nanoparticles (50 mg/kg), and magnetite nanoparticles+quercetin, where all rats received their doses for four weeks. Compared with the control, magnetite nanoparticles significantly reduced the serum hormonal levels (follicle-stimulating hormone, luteinizing hormone, estrogen, and progesterone) along with glutathione and superoxide dismutase in ovarian tissues. Moreover, magnetite nanoparticles markedly increased the ovarian malondialdehyde, and apoptotic gene expressions (Bax and caspase-3), and induced many histopathological changes. Significantly, co-treatment with quercetin markedly alleviated the hormonal profile, antioxidant disturbance, and ovarian apoptotic pathway of magnetite nanoparticles. Furthermore, our docking study revealed that quercetin could act as a caspase-3 inhibitor and allosteric agonist to follicle-stimulating hormone (Met520 and Val53), luteinizing hormone (Met517, Ala589, Ser604, and Lys595), estrogen (Met421, Phe425, and Ala350), and progesterone (Met759 and Met909) receptors. Those records reveal that the antioxidants and antiapoptotic characteristics are acceptable pointers for female infertility defenders of quercetin, especially during nanoparticle exposure.</p>\",\"PeriodicalId\":101307,\"journal\":{\"name\":\"Environmental analysis, health and toxicology\",\"volume\":\"39 3\",\"pages\":\"e2024025-0\"},\"PeriodicalIF\":0.0000,\"publicationDate\":\"2024-09-01\",\"publicationTypes\":\"Journal Article\",\"fieldsOfStudy\":null,\"isOpenAccess\":false,\"openAccessPdf\":\"https://www.ncbi.nlm.nih.gov/pmc/articles/PMC11560298/pdf/\",\"citationCount\":\"0\",\"resultStr\":null,\"platform\":\"Semanticscholar\",\"paperid\":null,\"PeriodicalName\":\"Environmental analysis, health and toxicology\",\"FirstCategoryId\":\"1085\",\"ListUrlMain\":\"https://doi.org/10.5620/eaht.2024025\",\"RegionNum\":0,\"RegionCategory\":null,\"ArticlePicture\":[],\"TitleCN\":null,\"AbstractTextCN\":null,\"PMCID\":null,\"EPubDate\":\"2024/9/30 0:00:00\",\"PubModel\":\"Epub\",\"JCR\":\"\",\"JCRName\":\"\",\"Score\":null,\"Total\":0}","platform":"Semanticscholar","paperid":null,"PeriodicalName":"Environmental analysis, health and toxicology","FirstCategoryId":"1085","ListUrlMain":"https://doi.org/10.5620/eaht.2024025","RegionNum":0,"RegionCategory":null,"ArticlePicture":[],"TitleCN":null,"AbstractTextCN":null,"PMCID":null,"EPubDate":"2024/9/30 0:00:00","PubModel":"Epub","JCR":"","JCRName":"","Score":null,"Total":0}
引用次数: 0

摘要

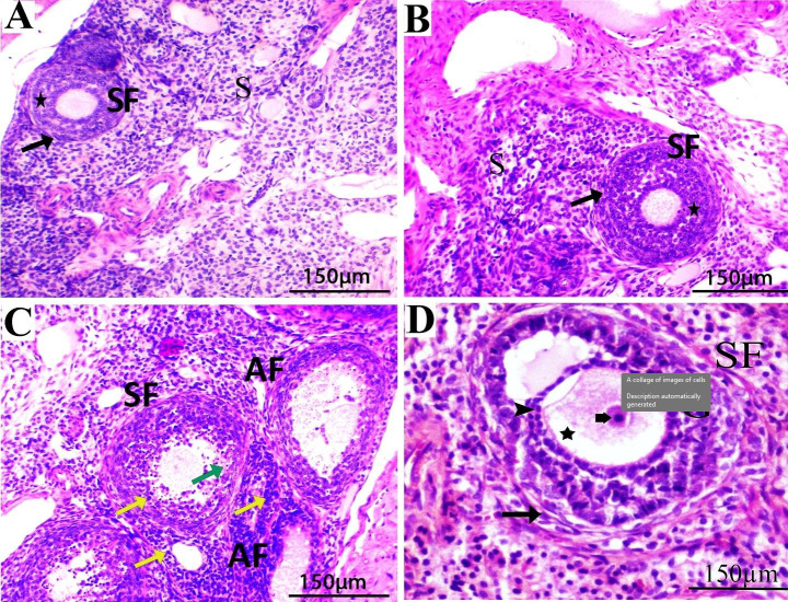
磁铁矿纳米粒子的生物医学用途已引起研究人员的关注,但其对生殖系统的影响却未见报道。在此,我们研究了槲皮素对磁铁矿纳米粒子诱导的卵巢细胞凋亡的可能抑制作用。将 40 只雌性大鼠平均分为对照组、槲皮素组(100 毫克/千克)、磁铁矿纳米颗粒组(50 毫克/千克)和磁铁矿纳米颗粒+槲皮素组,所有大鼠接受各自剂量的槲皮素治疗 4 周。与对照组相比,磁铁矿纳米颗粒明显降低了血清激素水平(卵泡刺激素、黄体生成素、雌激素和孕酮)以及卵巢组织中的谷胱甘肽和超氧化物歧化酶。此外,磁铁矿纳米颗粒明显增加了卵巢丙二醛和凋亡基因(Bax 和 caspase-3)的表达,并诱发了许多组织病理学变化。值得注意的是,与槲皮素联合处理可明显缓解磁铁矿纳米颗粒对激素谱、抗氧化紊乱和卵巢凋亡途径的影响。此外,我们的对接研究还发现,槲皮素可作为一种 Caspase-3 抑制剂和卵泡刺激素(Met520 和 Val53)、黄体生成素(Met517、Ala589、Ser604 和 Lys595)、雌激素(Met421、Phe425 和 Ala350)和孕酮(Met759 和 Met909)受体的异位激动剂。这些记录表明,槲皮素的抗氧化和抗细胞凋亡特性是女性不孕症维护者可以接受的指针,尤其是在接触纳米粒子期间。
本文章由计算机程序翻译,如有差异,请以英文原文为准。

Quercetin diminishes the apoptotic pathway of magnetite nanoparticles in rats' ovary: Antioxidant status and hormonal profiles.

Quercetin diminishes the apoptotic pathway of magnetite nanoparticles in rats' ovary: Antioxidant status and hormonal profiles.

Quercetin diminishes the apoptotic pathway of magnetite nanoparticles in rats' ovary: Antioxidant status and hormonal profiles.

Quercetin diminishes the apoptotic pathway of magnetite nanoparticles in rats' ovary: Antioxidant status and hormonal profiles.

Magnetite nanoparticles have attracted the attention of researchers for biomedical uses, but their impacts on the reproductive system did not report. Here, we have studied the possible attenuation efficiency of quercetin against magnetite nanoparticles-induced apoptosis in ovarian. Forty female rats were divided equally into control, quercetin (100 mg/kg), magnetite nanoparticles (50 mg/kg), and magnetite nanoparticles+quercetin, where all rats received their doses for four weeks. Compared with the control, magnetite nanoparticles significantly reduced the serum hormonal levels (follicle-stimulating hormone, luteinizing hormone, estrogen, and progesterone) along with glutathione and superoxide dismutase in ovarian tissues. Moreover, magnetite nanoparticles markedly increased the ovarian malondialdehyde, and apoptotic gene expressions (Bax and caspase-3), and induced many histopathological changes. Significantly, co-treatment with quercetin markedly alleviated the hormonal profile, antioxidant disturbance, and ovarian apoptotic pathway of magnetite nanoparticles. Furthermore, our docking study revealed that quercetin could act as a caspase-3 inhibitor and allosteric agonist to follicle-stimulating hormone (Met520 and Val53), luteinizing hormone (Met517, Ala589, Ser604, and Lys595), estrogen (Met421, Phe425, and Ala350), and progesterone (Met759 and Met909) receptors. Those records reveal that the antioxidants and antiapoptotic characteristics are acceptable pointers for female infertility defenders of quercetin, especially during nanoparticle exposure.

求助全文
通过发布文献求助,成功后即可免费获取论文全文。 去求助
来源期刊
CiteScore
3.80
自引率
0.00%
发文量
0
×
引用
GB/T 7714-2015
复制
MLA
复制
APA
复制
导出至
BibTeX EndNote RefMan NoteFirst NoteExpress
×
提示
您的信息不完整,为了账户安全,请先补充。
现在去补充
×
提示
您因"违规操作"
具体请查看互助需知
我知道了
×
提示
确定
请完成安全验证×
copy
已复制链接
快去分享给好友吧!
我知道了
右上角分享
点击右上角分享
0
联系我们:info@booksci.cn Book学术提供免费学术资源搜索服务,方便国内外学者检索中英文文献。致力于提供最便捷和优质的服务体验。 Copyright © 2023 布克学术 All rights reserved.
京ICP备2023020795号-1
ghs 京公网安备 11010802042870号
Book学术文献互助
Book学术文献互助群
群 号:604180095
Book学术官方微信