腹腔镜胆囊切除术治疗胆囊肿物:一个原始病例的报告及文献综述。

IF 0.5 Q4 GASTROENTEROLOGY & HEPATOLOGY
Case Reports in Gastrointestinal Medicine Pub Date : 2024-11-04 eCollection Date: 2024-01-01 DOI:10.1155/2024/9319605
Ayad Ahmad Mohammed
{"title":"腹腔镜胆囊切除术治疗胆囊肿物:一个原始病例的报告及文献综述。","authors":"Ayad Ahmad Mohammed","doi":"10.1155/2024/9319605","DOIUrl":null,"url":null,"abstract":"<p><p><b>Background:</b> Volvulus of gallbladder is defined as a rotation of the gallbladder on its mesentery along the axis of the cystic duct and cystic artery. Many factors are postulated to be the causes such as anatomical, mechanical, physiological, and hormonal risk factors but the presence of a distended gallbladder with a redundant mesentery is thought to be an important cause. <b>Case presentation:</b> A 68-year-old woman presented with right hypochondrial pain and vomiting for 2 days that was radiated to the interscapular region and associated with nausea and vomiting. The patient had no jaundice and the abdominal examination showed severe tenderness with guarding during palpation of the right upper abdomen with no palpable mass. The WBCs were elevated, with normal liver enzymes, bilirubin, and alkaline phosphatase. The ultrasound showed a single gallstone with increased wall thickness. There was no significant clinical improvement with antibiotics and analgesics. During laparoscopy, volvulus of the gallbladder was discovered causing gangrene of the gallbladder. Laparoscopic detorsion and successful laparoscopic cholecystectomy were performed. The patient was discharged on the third postoperative day with dramatic improvement with no postoperative complications. <b>Conclusion:</b> Gall bladder volvulus is an acute surgical emergency that is usually seen in the elderly population. It required a high index of suspicion especially in the absence of gallstones and must be differentiated from acalculous cholecystitis. Most cases are discovered at surgery. It must be managed with immediate detorsion and cholecystectomy, and the prognosis is excellent in most cases after an appropriate surgical intervention.</p>","PeriodicalId":45645,"journal":{"name":"Case Reports in Gastrointestinal Medicine","volume":"2024 ","pages":"9319605"},"PeriodicalIF":0.5000,"publicationDate":"2024-11-04","publicationTypes":"Journal Article","fieldsOfStudy":null,"isOpenAccess":false,"openAccessPdf":"https://www.ncbi.nlm.nih.gov/pmc/articles/PMC11554408/pdf/","citationCount":"0","resultStr":"{\"title\":\"Laparoscopic Cholecystectomy for Gall Bladder Volvulus: A Report of an Original Case With Review of Literature.\",\"authors\":\"Ayad Ahmad Mohammed\",\"doi\":\"10.1155/2024/9319605\",\"DOIUrl\":null,\"url\":null,\"abstract\":\"<p><p><b>Background:</b> Volvulus of gallbladder is defined as a rotation of the gallbladder on its mesentery along the axis of the cystic duct and cystic artery. Many factors are postulated to be the causes such as anatomical, mechanical, physiological, and hormonal risk factors but the presence of a distended gallbladder with a redundant mesentery is thought to be an important cause. <b>Case presentation:</b> A 68-year-old woman presented with right hypochondrial pain and vomiting for 2 days that was radiated to the interscapular region and associated with nausea and vomiting. The patient had no jaundice and the abdominal examination showed severe tenderness with guarding during palpation of the right upper abdomen with no palpable mass. The WBCs were elevated, with normal liver enzymes, bilirubin, and alkaline phosphatase. The ultrasound showed a single gallstone with increased wall thickness. There was no significant clinical improvement with antibiotics and analgesics. During laparoscopy, volvulus of the gallbladder was discovered causing gangrene of the gallbladder. Laparoscopic detorsion and successful laparoscopic cholecystectomy were performed. The patient was discharged on the third postoperative day with dramatic improvement with no postoperative complications. <b>Conclusion:</b> Gall bladder volvulus is an acute surgical emergency that is usually seen in the elderly population. It required a high index of suspicion especially in the absence of gallstones and must be differentiated from acalculous cholecystitis. Most cases are discovered at surgery. It must be managed with immediate detorsion and cholecystectomy, and the prognosis is excellent in most cases after an appropriate surgical intervention.</p>\",\"PeriodicalId\":45645,\"journal\":{\"name\":\"Case Reports in Gastrointestinal Medicine\",\"volume\":\"2024 \",\"pages\":\"9319605\"},\"PeriodicalIF\":0.5000,\"publicationDate\":\"2024-11-04\",\"publicationTypes\":\"Journal Article\",\"fieldsOfStudy\":null,\"isOpenAccess\":false,\"openAccessPdf\":\"https://www.ncbi.nlm.nih.gov/pmc/articles/PMC11554408/pdf/\",\"citationCount\":\"0\",\"resultStr\":null,\"platform\":\"Semanticscholar\",\"paperid\":null,\"PeriodicalName\":\"Case Reports in Gastrointestinal Medicine\",\"FirstCategoryId\":\"1085\",\"ListUrlMain\":\"https://doi.org/10.1155/2024/9319605\",\"RegionNum\":0,\"RegionCategory\":null,\"ArticlePicture\":[],\"TitleCN\":null,\"AbstractTextCN\":null,\"PMCID\":null,\"EPubDate\":\"2024/1/1 0:00:00\",\"PubModel\":\"eCollection\",\"JCR\":\"Q4\",\"JCRName\":\"GASTROENTEROLOGY & HEPATOLOGY\",\"Score\":null,\"Total\":0}","platform":"Semanticscholar","paperid":null,"PeriodicalName":"Case Reports in Gastrointestinal Medicine","FirstCategoryId":"1085","ListUrlMain":"https://doi.org/10.1155/2024/9319605","RegionNum":0,"RegionCategory":null,"ArticlePicture":[],"TitleCN":null,"AbstractTextCN":null,"PMCID":null,"EPubDate":"2024/1/1 0:00:00","PubModel":"eCollection","JCR":"Q4","JCRName":"GASTROENTEROLOGY & HEPATOLOGY","Score":null,"Total":0}
引用次数: 0

摘要

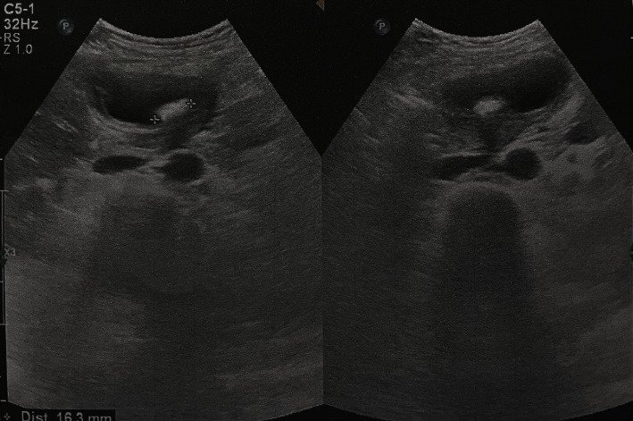
背景:胆囊肿胀是指胆囊沿胆囊管和胆囊动脉的轴线在其系膜上旋转。许多因素被认为是导致胆囊肿胀的原因,如解剖、机械、生理和荷尔蒙风险因素,但存在膨胀的胆囊和多余的系膜被认为是一个重要原因。病例介绍:一名 68 岁的妇女因右下腹疼痛和呕吐就诊,疼痛和呕吐已持续 2 天,并向肩胛间区域放射,还伴有恶心和呕吐。患者无黄疸,腹部检查显示右上腹触诊时有严重压痛并伴有戒备,但未触及肿块。白细胞升高,肝酶、胆红素和碱性磷酸酶正常。超声波检查显示有一块胆石,石壁厚度增加。服用抗生素和镇痛药后,临床症状没有明显改善。腹腔镜检查时发现胆囊肿胀,导致胆囊坏疽。患者接受了腹腔镜胆囊切除术。患者在术后第三天出院,病情明显好转,没有出现术后并发症。结论胆囊内翻是一种急性外科急症,通常见于老年人群。需要高度怀疑,尤其是在没有胆结石的情况下,并且必须与结石性胆囊炎相鉴别。大多数病例都是在手术中发现的。必须立即进行剥离和胆囊切除术,经过适当的手术干预后,大多数病例的预后都很好。
本文章由计算机程序翻译,如有差异,请以英文原文为准。

Laparoscopic Cholecystectomy for Gall Bladder Volvulus: A Report of an Original Case With Review of Literature.

Laparoscopic Cholecystectomy for Gall Bladder Volvulus: A Report of an Original Case With Review of Literature.

Laparoscopic Cholecystectomy for Gall Bladder Volvulus: A Report of an Original Case With Review of Literature.

Background: Volvulus of gallbladder is defined as a rotation of the gallbladder on its mesentery along the axis of the cystic duct and cystic artery. Many factors are postulated to be the causes such as anatomical, mechanical, physiological, and hormonal risk factors but the presence of a distended gallbladder with a redundant mesentery is thought to be an important cause. Case presentation: A 68-year-old woman presented with right hypochondrial pain and vomiting for 2 days that was radiated to the interscapular region and associated with nausea and vomiting. The patient had no jaundice and the abdominal examination showed severe tenderness with guarding during palpation of the right upper abdomen with no palpable mass. The WBCs were elevated, with normal liver enzymes, bilirubin, and alkaline phosphatase. The ultrasound showed a single gallstone with increased wall thickness. There was no significant clinical improvement with antibiotics and analgesics. During laparoscopy, volvulus of the gallbladder was discovered causing gangrene of the gallbladder. Laparoscopic detorsion and successful laparoscopic cholecystectomy were performed. The patient was discharged on the third postoperative day with dramatic improvement with no postoperative complications. Conclusion: Gall bladder volvulus is an acute surgical emergency that is usually seen in the elderly population. It required a high index of suspicion especially in the absence of gallstones and must be differentiated from acalculous cholecystitis. Most cases are discovered at surgery. It must be managed with immediate detorsion and cholecystectomy, and the prognosis is excellent in most cases after an appropriate surgical intervention.

求助全文
通过发布文献求助,成功后即可免费获取论文全文。 去求助
来源期刊
Case Reports in Gastrointestinal Medicine
Case Reports in Gastrointestinal Medicine GASTROENTEROLOGY & HEPATOLOGY-
自引率
0.00%
发文量
33
审稿时长
14 weeks
×
引用
GB/T 7714-2015
复制
MLA
复制
APA
复制
导出至
BibTeX EndNote RefMan NoteFirst NoteExpress
×
提示
您的信息不完整,为了账户安全,请先补充。
现在去补充
×
提示
您因"违规操作"
具体请查看互助需知
我知道了
×
提示
确定
请完成安全验证×
copy
已复制链接
快去分享给好友吧!
我知道了
右上角分享
点击右上角分享
0
联系我们:info@booksci.cn Book学术提供免费学术资源搜索服务,方便国内外学者检索中英文文献。致力于提供最便捷和优质的服务体验。 Copyright © 2023 布克学术 All rights reserved.
京ICP备2023020795号-1
ghs 京公网安备 11010802042870号
Book学术文献互助
Book学术文献互助群
群 号:604180095
Book学术官方微信