B 型急性淋巴细胞白血病中的意外纵隔肿块病因。

IF 3.2 Q3 Medicine
Luan Phan, Elias Jabbour, Mara B Antonoff, Nitin Jain, Pei Lin, Cesar Moran, Naveen Pemmaraju
{"title":"B 型急性淋巴细胞白血病中的意外纵隔肿块病因。","authors":"Luan Phan, Elias Jabbour, Mara B Antonoff, Nitin Jain, Pei Lin, Cesar Moran, Naveen Pemmaraju","doi":"10.36401/JIPO-24-9","DOIUrl":null,"url":null,"abstract":"<p><p>Leukemic masses are a known complication in patients with hematologic malignancies. Here we present a case regarding a patient with recently diagnosed B-acute lymphoblastic leukemia (B-ALL) who presented with multiple sites of extramedullary involvement including an anterior mediastinal mass. This mass persisted despite multiple rounds of multiagent cytotoxic therapy. In this report, we summarize the literature regarding mediastinal masses in the setting of B-ALL and illustrate that such masses in patients with leukemias may have surprising etiology, separate from the primary disease.</p>","PeriodicalId":16081,"journal":{"name":"Journal of Immunotherapy and Precision Oncology","volume":"7 4","pages":"314-316"},"PeriodicalIF":3.2000,"publicationDate":"2024-11-01","publicationTypes":"Journal Article","fieldsOfStudy":null,"isOpenAccess":false,"openAccessPdf":"https://www.ncbi.nlm.nih.gov/pmc/articles/PMC11541927/pdf/","citationCount":"0","resultStr":"{\"title\":\"Unexpected Mediastinal Mass Etiology in B-Acute Lymphoblastic Leukemia.\",\"authors\":\"Luan Phan, Elias Jabbour, Mara B Antonoff, Nitin Jain, Pei Lin, Cesar Moran, Naveen Pemmaraju\",\"doi\":\"10.36401/JIPO-24-9\",\"DOIUrl\":null,\"url\":null,\"abstract\":\"<p><p>Leukemic masses are a known complication in patients with hematologic malignancies. Here we present a case regarding a patient with recently diagnosed B-acute lymphoblastic leukemia (B-ALL) who presented with multiple sites of extramedullary involvement including an anterior mediastinal mass. This mass persisted despite multiple rounds of multiagent cytotoxic therapy. In this report, we summarize the literature regarding mediastinal masses in the setting of B-ALL and illustrate that such masses in patients with leukemias may have surprising etiology, separate from the primary disease.</p>\",\"PeriodicalId\":16081,\"journal\":{\"name\":\"Journal of Immunotherapy and Precision Oncology\",\"volume\":\"7 4\",\"pages\":\"314-316\"},\"PeriodicalIF\":3.2000,\"publicationDate\":\"2024-11-01\",\"publicationTypes\":\"Journal Article\",\"fieldsOfStudy\":null,\"isOpenAccess\":false,\"openAccessPdf\":\"https://www.ncbi.nlm.nih.gov/pmc/articles/PMC11541927/pdf/\",\"citationCount\":\"0\",\"resultStr\":null,\"platform\":\"Semanticscholar\",\"paperid\":null,\"PeriodicalName\":\"Journal of Immunotherapy and Precision Oncology\",\"FirstCategoryId\":\"1085\",\"ListUrlMain\":\"https://doi.org/10.36401/JIPO-24-9\",\"RegionNum\":0,\"RegionCategory\":null,\"ArticlePicture\":[],\"TitleCN\":null,\"AbstractTextCN\":null,\"PMCID\":null,\"EPubDate\":\"\",\"PubModel\":\"\",\"JCR\":\"Q3\",\"JCRName\":\"Medicine\",\"Score\":null,\"Total\":0}","platform":"Semanticscholar","paperid":null,"PeriodicalName":"Journal of Immunotherapy and Precision Oncology","FirstCategoryId":"1085","ListUrlMain":"https://doi.org/10.36401/JIPO-24-9","RegionNum":0,"RegionCategory":null,"ArticlePicture":[],"TitleCN":null,"AbstractTextCN":null,"PMCID":null,"EPubDate":"","PubModel":"","JCR":"Q3","JCRName":"Medicine","Score":null,"Total":0}
引用次数: 0

摘要

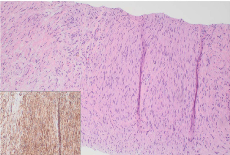
白血病肿块是血液恶性肿瘤患者的一种已知并发症。我们在此介绍一例新近确诊的 B 型急性淋巴细胞白血病(B-ALL)患者,该患者出现多个部位的髓外受累,包括前纵隔肿块。尽管接受了多剂细胞毒治疗,但肿块仍持续存在。在本报告中,我们总结了有关 B-ALL 纵隔肿块的文献,并说明白血病患者的此类肿块可能有令人惊讶的病因,与原发疾病无关。
本文章由计算机程序翻译,如有差异,请以英文原文为准。

Unexpected Mediastinal Mass Etiology in B-Acute Lymphoblastic Leukemia.

Unexpected Mediastinal Mass Etiology in B-Acute Lymphoblastic Leukemia.

Unexpected Mediastinal Mass Etiology in B-Acute Lymphoblastic Leukemia.

Unexpected Mediastinal Mass Etiology in B-Acute Lymphoblastic Leukemia.

Leukemic masses are a known complication in patients with hematologic malignancies. Here we present a case regarding a patient with recently diagnosed B-acute lymphoblastic leukemia (B-ALL) who presented with multiple sites of extramedullary involvement including an anterior mediastinal mass. This mass persisted despite multiple rounds of multiagent cytotoxic therapy. In this report, we summarize the literature regarding mediastinal masses in the setting of B-ALL and illustrate that such masses in patients with leukemias may have surprising etiology, separate from the primary disease.

求助全文
通过发布文献求助,成功后即可免费获取论文全文。 去求助
来源期刊
CiteScore
2.40
自引率
0.00%
发文量
17
×
引用
GB/T 7714-2015
复制
MLA
复制
APA
复制
导出至
BibTeX EndNote RefMan NoteFirst NoteExpress
×
提示
您的信息不完整,为了账户安全,请先补充。
现在去补充
×
提示
您因"违规操作"
具体请查看互助需知
我知道了
×
提示
确定
请完成安全验证×
copy
已复制链接
快去分享给好友吧!
我知道了
右上角分享
点击右上角分享
0
联系我们:info@booksci.cn Book学术提供免费学术资源搜索服务,方便国内外学者检索中英文文献。致力于提供最便捷和优质的服务体验。 Copyright © 2023 布克学术 All rights reserved.
京ICP备2023020795号-1
ghs 京公网安备 11010802042870号
Book学术文献互助
Book学术文献互助群
群 号:604180095
Book学术官方微信