粒细胞集落刺激因子和雌激素联合治疗薄型子宫内膜的作用:大鼠模型

IF 1.1 Q2 Medicine
Journal of Human Reproductive Sciences Pub Date : 2024-07-01 Epub Date: 2024-09-26 DOI:10.4103/jhrs.jhrs_40_24
Inci Kahyaoglu, Gülnur Take Kaplanoglu, Gökçe Nur Arik Erol, Serkan Kahyaoglu
{"title":"粒细胞集落刺激因子和雌激素联合治疗薄型子宫内膜的作用:大鼠模型","authors":"Inci Kahyaoglu, Gülnur Take Kaplanoglu, Gökçe Nur Arik Erol, Serkan Kahyaoglu","doi":"10.4103/jhrs.jhrs_40_24","DOIUrl":null,"url":null,"abstract":"<p><strong>Background: </strong>Thin endometrium, described as endometrial thickness below 7 mm on embryo transfer day in assisted reproduction cycles, is associated with decreased pregnancy rates. Granulocyte colony-stimulating factor (G-CSF) and oestrogen (E) are two medications used for treatment.</p><p><strong>Aim: </strong>The aim of this study is to demonstrate the effect of combined G-CSF+E treatment on thin endometrium in a rat model.</p><p><strong>Settings and design: </strong>Gazi University Laboratory Animals Breeding and Experimental Researchers Center provided the veterinary care.</p><p><strong>Materials and methods: </strong>Forty-eight female rats were divided into 8 groups (6 rats/group). Groups were named as group 1: control, group 2: control that received G-CSF, group 3: control that received E, group 4: control that received G-CSF+E, group 5: thin endometrium model, group 6: thin endometrium model that received G-CSF, group 7: thin endometrium model that received E and group 8: thin endometrium model that received G-CSF+E. Twelve days after the establishment of thin endometrium model, G-CSF and/or E treatment was started and continued for 5 days according to the groups. Tissue specimens were collected at the end of the treatment period. Proliferation, apoptosis and angiogenesis were evaluated.</p><p><strong>Statistical analysis used: </strong>The data were analysed using one-way analysis of variance and Tamhane <i>post hoc</i> test.</p><p><strong>Results: </strong>Significant increase in uterine wall and endometrial thickness was detected in the thin endometrium + G-CSF group when compared to the thin endometrium group. G-CSF was demonstrated to cause an extensive proliferative response and induction of angiogenesis in thin endometrium without restoration of endometrial glands. E alone restored thin endometrium to almost normal histology. Morphological changes representing the dominant effects of G-CSF were observed in thin endometrium model receiving G-CSF+E.</p><p><strong>Conclusion: </strong>G-CSF+E is not an effective treatment modality in thin endometrium rat model.</p>","PeriodicalId":15975,"journal":{"name":"Journal of Human Reproductive Sciences","volume":"17 3","pages":"178-184"},"PeriodicalIF":1.1000,"publicationDate":"2024-07-01","publicationTypes":"Journal Article","fieldsOfStudy":null,"isOpenAccess":false,"openAccessPdf":"https://www.ncbi.nlm.nih.gov/pmc/articles/PMC11559348/pdf/","citationCount":"0","resultStr":"{\"title\":\"The Role of Combined Treatment of Granulocyte Colony-stimulating Factor and Oestrogen in Treatment of Thin Endometrium: A Rat Model.\",\"authors\":\"Inci Kahyaoglu, Gülnur Take Kaplanoglu, Gökçe Nur Arik Erol, Serkan Kahyaoglu\",\"doi\":\"10.4103/jhrs.jhrs_40_24\",\"DOIUrl\":null,\"url\":null,\"abstract\":\"<p><strong>Background: </strong>Thin endometrium, described as endometrial thickness below 7 mm on embryo transfer day in assisted reproduction cycles, is associated with decreased pregnancy rates. Granulocyte colony-stimulating factor (G-CSF) and oestrogen (E) are two medications used for treatment.</p><p><strong>Aim: </strong>The aim of this study is to demonstrate the effect of combined G-CSF+E treatment on thin endometrium in a rat model.</p><p><strong>Settings and design: </strong>Gazi University Laboratory Animals Breeding and Experimental Researchers Center provided the veterinary care.</p><p><strong>Materials and methods: </strong>Forty-eight female rats were divided into 8 groups (6 rats/group). Groups were named as group 1: control, group 2: control that received G-CSF, group 3: control that received E, group 4: control that received G-CSF+E, group 5: thin endometrium model, group 6: thin endometrium model that received G-CSF, group 7: thin endometrium model that received E and group 8: thin endometrium model that received G-CSF+E. Twelve days after the establishment of thin endometrium model, G-CSF and/or E treatment was started and continued for 5 days according to the groups. Tissue specimens were collected at the end of the treatment period. Proliferation, apoptosis and angiogenesis were evaluated.</p><p><strong>Statistical analysis used: </strong>The data were analysed using one-way analysis of variance and Tamhane <i>post hoc</i> test.</p><p><strong>Results: </strong>Significant increase in uterine wall and endometrial thickness was detected in the thin endometrium + G-CSF group when compared to the thin endometrium group. G-CSF was demonstrated to cause an extensive proliferative response and induction of angiogenesis in thin endometrium without restoration of endometrial glands. E alone restored thin endometrium to almost normal histology. Morphological changes representing the dominant effects of G-CSF were observed in thin endometrium model receiving G-CSF+E.</p><p><strong>Conclusion: </strong>G-CSF+E is not an effective treatment modality in thin endometrium rat model.</p>\",\"PeriodicalId\":15975,\"journal\":{\"name\":\"Journal of Human Reproductive Sciences\",\"volume\":\"17 3\",\"pages\":\"178-184\"},\"PeriodicalIF\":1.1000,\"publicationDate\":\"2024-07-01\",\"publicationTypes\":\"Journal Article\",\"fieldsOfStudy\":null,\"isOpenAccess\":false,\"openAccessPdf\":\"https://www.ncbi.nlm.nih.gov/pmc/articles/PMC11559348/pdf/\",\"citationCount\":\"0\",\"resultStr\":null,\"platform\":\"Semanticscholar\",\"paperid\":null,\"PeriodicalName\":\"Journal of Human Reproductive Sciences\",\"FirstCategoryId\":\"1085\",\"ListUrlMain\":\"https://doi.org/10.4103/jhrs.jhrs_40_24\",\"RegionNum\":0,\"RegionCategory\":null,\"ArticlePicture\":[],\"TitleCN\":null,\"AbstractTextCN\":null,\"PMCID\":null,\"EPubDate\":\"2024/9/26 0:00:00\",\"PubModel\":\"Epub\",\"JCR\":\"Q2\",\"JCRName\":\"Medicine\",\"Score\":null,\"Total\":0}","platform":"Semanticscholar","paperid":null,"PeriodicalName":"Journal of Human Reproductive Sciences","FirstCategoryId":"1085","ListUrlMain":"https://doi.org/10.4103/jhrs.jhrs_40_24","RegionNum":0,"RegionCategory":null,"ArticlePicture":[],"TitleCN":null,"AbstractTextCN":null,"PMCID":null,"EPubDate":"2024/9/26 0:00:00","PubModel":"Epub","JCR":"Q2","JCRName":"Medicine","Score":null,"Total":0}
引用次数: 0

摘要

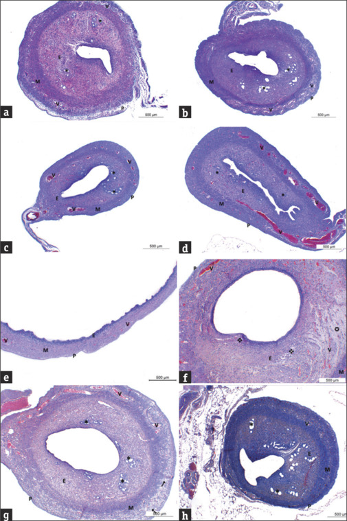
背景:子宫内膜薄是指辅助生殖周期中胚胎移植日子宫内膜厚度低于7毫米,这与妊娠率下降有关。目的:本研究旨在证明 G-CSF+E 联合治疗对大鼠模型子宫内膜薄的影响:Gazi 大学实验动物饲养和实验研究中心提供兽医服务:48 只雌性大鼠分为 8 组(每组 6 只)。各组命名为:第 1 组:对照组;第 2 组:接受 G-CSF 的对照组;第 3 组:接受 E 的对照组;第 4 组:接受 G-CSF+E 的对照组;第 5 组:薄子宫内膜模型;第 6 组:接受 G-CSF 的薄子宫内膜模型;第 7 组:接受 E 的薄子宫内膜模型;第 8 组:接受 G-CSF+E 的薄子宫内膜模型。在建立薄子宫内膜模型 12 天后,开始 G-CSF 和/或 E 治疗,并根据组别持续 5 天。治疗结束后收集组织标本。对增殖、凋亡和血管生成进行评估:采用单因素方差分析和 Tamhane 事后检验对数据进行分析:结果:与薄子宫内膜组相比,薄子宫内膜 + G-CSF 组的子宫壁和子宫内膜厚度明显增加。G-CSF 被证明能在薄子宫内膜中引起广泛的增殖反应并诱导血管生成,但不会恢复子宫内膜腺体。单用 E 可使薄型子宫内膜恢复到几乎正常的组织形态。在接受 G-CSF+E 的薄型子宫内膜模型中,观察到了代表 G-CSF 主导作用的形态学变化:结论:G-CSF+E 对薄型子宫内膜大鼠模型不是一种有效的治疗方式。
本文章由计算机程序翻译,如有差异,请以英文原文为准。

The Role of Combined Treatment of Granulocyte Colony-stimulating Factor and Oestrogen in Treatment of Thin Endometrium: A Rat Model.

The Role of Combined Treatment of Granulocyte Colony-stimulating Factor and Oestrogen in Treatment of Thin Endometrium: A Rat Model.

The Role of Combined Treatment of Granulocyte Colony-stimulating Factor and Oestrogen in Treatment of Thin Endometrium: A Rat Model.

Background: Thin endometrium, described as endometrial thickness below 7 mm on embryo transfer day in assisted reproduction cycles, is associated with decreased pregnancy rates. Granulocyte colony-stimulating factor (G-CSF) and oestrogen (E) are two medications used for treatment.

Aim: The aim of this study is to demonstrate the effect of combined G-CSF+E treatment on thin endometrium in a rat model.

Settings and design: Gazi University Laboratory Animals Breeding and Experimental Researchers Center provided the veterinary care.

Materials and methods: Forty-eight female rats were divided into 8 groups (6 rats/group). Groups were named as group 1: control, group 2: control that received G-CSF, group 3: control that received E, group 4: control that received G-CSF+E, group 5: thin endometrium model, group 6: thin endometrium model that received G-CSF, group 7: thin endometrium model that received E and group 8: thin endometrium model that received G-CSF+E. Twelve days after the establishment of thin endometrium model, G-CSF and/or E treatment was started and continued for 5 days according to the groups. Tissue specimens were collected at the end of the treatment period. Proliferation, apoptosis and angiogenesis were evaluated.

Statistical analysis used: The data were analysed using one-way analysis of variance and Tamhane post hoc test.

Results: Significant increase in uterine wall and endometrial thickness was detected in the thin endometrium + G-CSF group when compared to the thin endometrium group. G-CSF was demonstrated to cause an extensive proliferative response and induction of angiogenesis in thin endometrium without restoration of endometrial glands. E alone restored thin endometrium to almost normal histology. Morphological changes representing the dominant effects of G-CSF were observed in thin endometrium model receiving G-CSF+E.

Conclusion: G-CSF+E is not an effective treatment modality in thin endometrium rat model.

求助全文
通过发布文献求助,成功后即可免费获取论文全文。 去求助
来源期刊
Journal of Human Reproductive Sciences
Journal of Human Reproductive Sciences Medicine-Reproductive Medicine
CiteScore
2.60
自引率
0.00%
发文量
50
审稿时长
23 weeks
期刊介绍: The Journal of Human Reproductive Sciences (JHRS) (ISSN:0974-1208) a Quarterly peer-reviewed international journal is being launched in January 2008 under the auspices of Indian Society of Assisted Reproduction. The journal will cover all aspects human reproduction including Andrology, Assisted conception, Endocrinology, Physiology and Pathology, Implantation, Preimplantation Diagnosis, Preimplantation Genetic Diagnosis, Embryology as well as Ethical, Legal and Social issues. The journal will publish peer-reviewed original research papers, case reports, systematic reviews, meta-analysis, and debates.
×
引用
GB/T 7714-2015
复制
MLA
复制
APA
复制
导出至
BibTeX EndNote RefMan NoteFirst NoteExpress
×
提示
您的信息不完整,为了账户安全,请先补充。
现在去补充
×
提示
您因"违规操作"
具体请查看互助需知
我知道了
×
提示
确定
请完成安全验证×
copy
已复制链接
快去分享给好友吧!
我知道了
右上角分享
点击右上角分享
0
联系我们:info@booksci.cn Book学术提供免费学术资源搜索服务,方便国内外学者检索中英文文献。致力于提供最便捷和优质的服务体验。 Copyright © 2023 布克学术 All rights reserved.
京ICP备2023020795号-1
ghs 京公网安备 11010802042870号
Book学术文献互助
Book学术文献互助群
群 号:604180095
Book学术官方微信