静脉溶栓联合替罗非班与单用替罗非班治疗急性前脉络膜或旁侧桥脑梗死的高加索患者。

IF 4.8 4区 医学 Q3 CLINICAL NEUROLOGY
Brain Circulation Pub Date : 2024-09-26 eCollection Date: 2024-07-01 DOI:10.4103/bc.bc_15_24
Moussa Toudou-Daouda, Roger-Venant Yatwa-Zaniwe, Nana-Rahamatou Aminou-Tassiou, Mohamed Baby, Djibril Soumah, Tony Altarcha, Manvel Aghasaryan, Olga Laine, Nicolas Chausson, Didier Smadja
{"title":"静脉溶栓联合替罗非班与单用替罗非班治疗急性前脉络膜或旁侧桥脑梗死的高加索患者。","authors":"Moussa Toudou-Daouda, Roger-Venant Yatwa-Zaniwe, Nana-Rahamatou Aminou-Tassiou, Mohamed Baby, Djibril Soumah, Tony Altarcha, Manvel Aghasaryan, Olga Laine, Nicolas Chausson, Didier Smadja","doi":"10.4103/bc.bc_15_24","DOIUrl":null,"url":null,"abstract":"<p><strong>Background: </strong>Tirofiban has been shown to be superior to aspirin in achieving functional independence at 3 months for acute ischemic stroke of atheromatous or microatheromatous origin. As intravenous thrombolysis (IVT) has previously been shown to be nonsuperior to aspirin in achieving functional independence at 3 months for anterior choroidal or paramedian pontine infarction (ACI/PPI), we aimed to compare the outcomes of Caucasian patients receiving IVT plus tirofiban (IVT + T) with those receiving tirofiban alone for acute ACI/PPI.</p><p><strong>Methods: </strong>A retrospective study was conducted in patients aged ≥ 18 years with ACI/PPI treated in our stroke unit between December 1, 2020, and April 30, 2023, who received therapeutic intervention within 9 hours of symptom onset or after awakening with stroke symptoms. Modified Rankin Scale (mRS) ≤ 1 at 3 months was the primary endpoint. Secondary endpoints were National Institutes of Health Stroke Scale (NIHSS) ≤ 2 at day 7 or discharge and post-procedural neurological deterioration (PPND) within 72 hours. Symptomatic intracranial hemorrhage (SICH) and major systemic bleeding (MSB) were the safety measures of the study.</p><p><strong>Results: </strong>A total of 24 patients were enrolled in the tirofiban group and 43 patients in the IVT + T group. Compared to tirofiban alone, IVT + T was associated with a higher probability of achieving mRS ≤1 at 3 months (adjusted odds ratio [aOR], 8.79; 95% confidence interval [CI], 2.06-37.52; <i>P</i> = 0.003) and National Institutes of Health Stroke Scale ≤2 at day 7 or discharge (aOR, 3.70; 95% CI, 1.05-12.99; <i>P</i> = 0.041). No significant difference was seen between the two groups in preventing postprocedural neurological deterioration. One case of SICH and two cases of MSB occurred in the IVT + T group and no cases in the tirofiban group. One case of inhospital mortality was recorded in the IVT + T group.</p><p><strong>Conclusions: </strong>Our results showed that IVT + T may be safe and effective in Caucasian patients with acute ACI/PPI.</p>","PeriodicalId":9288,"journal":{"name":"Brain Circulation","volume":"10 3","pages":"250-256"},"PeriodicalIF":4.8000,"publicationDate":"2024-09-26","publicationTypes":"Journal Article","fieldsOfStudy":null,"isOpenAccess":false,"openAccessPdf":"https://www.ncbi.nlm.nih.gov/pmc/articles/PMC11542752/pdf/","citationCount":"0","resultStr":"{\"title\":\"Intravenous thrombolysis plus tirofiban versus tirofiban alone in Caucasian patients with acute anterior choroidal or paramedian pontine infarction.\",\"authors\":\"Moussa Toudou-Daouda, Roger-Venant Yatwa-Zaniwe, Nana-Rahamatou Aminou-Tassiou, Mohamed Baby, Djibril Soumah, Tony Altarcha, Manvel Aghasaryan, Olga Laine, Nicolas Chausson, Didier Smadja\",\"doi\":\"10.4103/bc.bc_15_24\",\"DOIUrl\":null,\"url\":null,\"abstract\":\"<p><strong>Background: </strong>Tirofiban has been shown to be superior to aspirin in achieving functional independence at 3 months for acute ischemic stroke of atheromatous or microatheromatous origin. As intravenous thrombolysis (IVT) has previously been shown to be nonsuperior to aspirin in achieving functional independence at 3 months for anterior choroidal or paramedian pontine infarction (ACI/PPI), we aimed to compare the outcomes of Caucasian patients receiving IVT plus tirofiban (IVT + T) with those receiving tirofiban alone for acute ACI/PPI.</p><p><strong>Methods: </strong>A retrospective study was conducted in patients aged ≥ 18 years with ACI/PPI treated in our stroke unit between December 1, 2020, and April 30, 2023, who received therapeutic intervention within 9 hours of symptom onset or after awakening with stroke symptoms. Modified Rankin Scale (mRS) ≤ 1 at 3 months was the primary endpoint. Secondary endpoints were National Institutes of Health Stroke Scale (NIHSS) ≤ 2 at day 7 or discharge and post-procedural neurological deterioration (PPND) within 72 hours. Symptomatic intracranial hemorrhage (SICH) and major systemic bleeding (MSB) were the safety measures of the study.</p><p><strong>Results: </strong>A total of 24 patients were enrolled in the tirofiban group and 43 patients in the IVT + T group. Compared to tirofiban alone, IVT + T was associated with a higher probability of achieving mRS ≤1 at 3 months (adjusted odds ratio [aOR], 8.79; 95% confidence interval [CI], 2.06-37.52; <i>P</i> = 0.003) and National Institutes of Health Stroke Scale ≤2 at day 7 or discharge (aOR, 3.70; 95% CI, 1.05-12.99; <i>P</i> = 0.041). No significant difference was seen between the two groups in preventing postprocedural neurological deterioration. One case of SICH and two cases of MSB occurred in the IVT + T group and no cases in the tirofiban group. One case of inhospital mortality was recorded in the IVT + T group.</p><p><strong>Conclusions: </strong>Our results showed that IVT + T may be safe and effective in Caucasian patients with acute ACI/PPI.</p>\",\"PeriodicalId\":9288,\"journal\":{\"name\":\"Brain Circulation\",\"volume\":\"10 3\",\"pages\":\"250-256\"},\"PeriodicalIF\":4.8000,\"publicationDate\":\"2024-09-26\",\"publicationTypes\":\"Journal Article\",\"fieldsOfStudy\":null,\"isOpenAccess\":false,\"openAccessPdf\":\"https://www.ncbi.nlm.nih.gov/pmc/articles/PMC11542752/pdf/\",\"citationCount\":\"0\",\"resultStr\":null,\"platform\":\"Semanticscholar\",\"paperid\":null,\"PeriodicalName\":\"Brain Circulation\",\"FirstCategoryId\":\"3\",\"ListUrlMain\":\"https://doi.org/10.4103/bc.bc_15_24\",\"RegionNum\":4,\"RegionCategory\":\"医学\",\"ArticlePicture\":[],\"TitleCN\":null,\"AbstractTextCN\":null,\"PMCID\":null,\"EPubDate\":\"2024/7/1 0:00:00\",\"PubModel\":\"eCollection\",\"JCR\":\"Q3\",\"JCRName\":\"CLINICAL NEUROLOGY\",\"Score\":null,\"Total\":0}","platform":"Semanticscholar","paperid":null,"PeriodicalName":"Brain Circulation","FirstCategoryId":"3","ListUrlMain":"https://doi.org/10.4103/bc.bc_15_24","RegionNum":4,"RegionCategory":"医学","ArticlePicture":[],"TitleCN":null,"AbstractTextCN":null,"PMCID":null,"EPubDate":"2024/7/1 0:00:00","PubModel":"eCollection","JCR":"Q3","JCRName":"CLINICAL NEUROLOGY","Score":null,"Total":0}
引用次数: 0

摘要

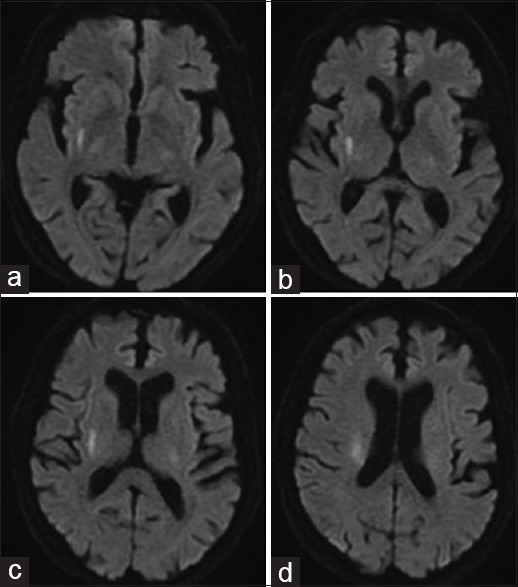
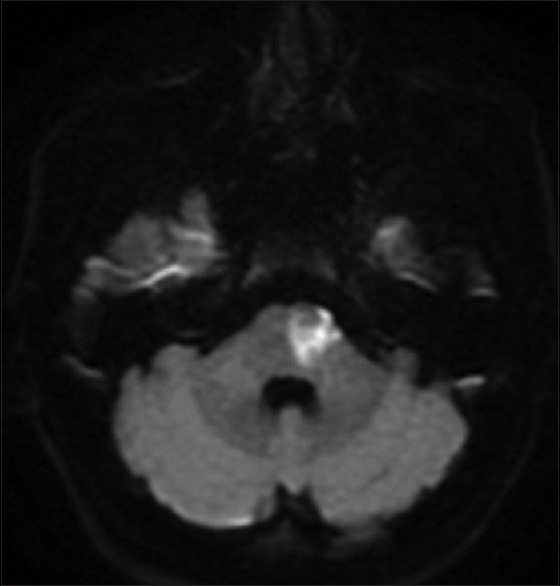
背景:对于动脉粥样硬化性或微动脉粥样硬化性急性缺血性卒中患者,替罗非班在 3 个月后实现功能独立方面优于阿司匹林。由于静脉溶栓(IVT)在治疗前脉络膜或旁侧桥脑梗死(ACI/PPI)3个月后实现功能独立方面不优于阿司匹林,我们旨在比较接受静脉溶栓加替罗非班(IVT + T)和单纯接受替罗非班治疗急性ACI/PPI的高加索患者的疗效:我们对 2020 年 12 月 1 日至 2023 年 4 月 30 日期间在我院卒中单元接受治疗的 ACI/PPI 患者(年龄≥18 岁)进行了回顾性研究,这些患者在症状出现 9 小时内或在卒中症状苏醒后接受了治疗干预。3个月时改良Rankin量表(mRS)≤1为主要终点。次要终点是第7天或出院时美国国立卫生研究院卒中量表(NIHSS)≤2和72小时内术后神经功能恶化(PPND)。无症状性颅内出血(SICH)和全身大出血(MSB)是研究的安全性指标:结果:共有24名患者加入替罗非班组,43名患者加入IVT + T组。与单用替罗非班相比,IVT + T与3个月时mRS≤1的概率更高相关(调整后的几率比[aOR],8.79;95%置信区间[CI],2.06-37.52;P = 0.003),与第7天或出院时美国国立卫生研究院卒中量表≤2相关(aOR,3.70;95% CI,1.05-12.99;P = 0.041)。两组患者在预防术后神经功能恶化方面无明显差异。IVT+T组发生了1例SICH和2例MSB,而替罗非班组没有发生SICH和MSB。IVT+T组出现一例院内死亡:我们的研究结果表明,对于急性 ACI/PPI 的高加索患者来说,IVT + T 可能是安全有效的。
本文章由计算机程序翻译,如有差异,请以英文原文为准。

Intravenous thrombolysis plus tirofiban versus tirofiban alone in Caucasian patients with acute anterior choroidal or paramedian pontine infarction.

Intravenous thrombolysis plus tirofiban versus tirofiban alone in Caucasian patients with acute anterior choroidal or paramedian pontine infarction.

Intravenous thrombolysis plus tirofiban versus tirofiban alone in Caucasian patients with acute anterior choroidal or paramedian pontine infarction.

Intravenous thrombolysis plus tirofiban versus tirofiban alone in Caucasian patients with acute anterior choroidal or paramedian pontine infarction.

Background: Tirofiban has been shown to be superior to aspirin in achieving functional independence at 3 months for acute ischemic stroke of atheromatous or microatheromatous origin. As intravenous thrombolysis (IVT) has previously been shown to be nonsuperior to aspirin in achieving functional independence at 3 months for anterior choroidal or paramedian pontine infarction (ACI/PPI), we aimed to compare the outcomes of Caucasian patients receiving IVT plus tirofiban (IVT + T) with those receiving tirofiban alone for acute ACI/PPI.

Methods: A retrospective study was conducted in patients aged ≥ 18 years with ACI/PPI treated in our stroke unit between December 1, 2020, and April 30, 2023, who received therapeutic intervention within 9 hours of symptom onset or after awakening with stroke symptoms. Modified Rankin Scale (mRS) ≤ 1 at 3 months was the primary endpoint. Secondary endpoints were National Institutes of Health Stroke Scale (NIHSS) ≤ 2 at day 7 or discharge and post-procedural neurological deterioration (PPND) within 72 hours. Symptomatic intracranial hemorrhage (SICH) and major systemic bleeding (MSB) were the safety measures of the study.

Results: A total of 24 patients were enrolled in the tirofiban group and 43 patients in the IVT + T group. Compared to tirofiban alone, IVT + T was associated with a higher probability of achieving mRS ≤1 at 3 months (adjusted odds ratio [aOR], 8.79; 95% confidence interval [CI], 2.06-37.52; P = 0.003) and National Institutes of Health Stroke Scale ≤2 at day 7 or discharge (aOR, 3.70; 95% CI, 1.05-12.99; P = 0.041). No significant difference was seen between the two groups in preventing postprocedural neurological deterioration. One case of SICH and two cases of MSB occurred in the IVT + T group and no cases in the tirofiban group. One case of inhospital mortality was recorded in the IVT + T group.

Conclusions: Our results showed that IVT + T may be safe and effective in Caucasian patients with acute ACI/PPI.

求助全文
通过发布文献求助,成功后即可免费获取论文全文。 去求助
来源期刊
Brain Circulation
Brain Circulation Multiple-
自引率
5.30%
发文量
31
审稿时长
16 weeks
×
引用
GB/T 7714-2015
复制
MLA
复制
APA
复制
导出至
BibTeX EndNote RefMan NoteFirst NoteExpress
×
提示
您的信息不完整,为了账户安全,请先补充。
现在去补充
×
提示
您因"违规操作"
具体请查看互助需知
我知道了
×
提示
确定
请完成安全验证×
copy
已复制链接
快去分享给好友吧!
我知道了
右上角分享
点击右上角分享
0
联系我们:info@booksci.cn Book学术提供免费学术资源搜索服务,方便国内外学者检索中英文文献。致力于提供最便捷和优质的服务体验。 Copyright © 2023 布克学术 All rights reserved.
京ICP备2023020795号-1
ghs 京公网安备 11010802042870号
Book学术文献互助
Book学术文献互助群
群 号:604180095
Book学术官方微信