安罗替尼联合 PD-1 抑制剂治疗既往治疗过的晚期非小细胞肺癌的可行性和耐受性:一项回顾性探索研究

IF 3.4 Q1 MEDICINE, RESEARCH & EXPERIMENTAL
Biologics : Targets & Therapy Pub Date : 2024-11-05 eCollection Date: 2024-01-01 DOI:10.2147/BTT.S489363
Hai-Li Wang, Shi-Xia Zhou, Jing Kuang, Sa Xiao, Min Li
{"title":"安罗替尼联合 PD-1 抑制剂治疗既往治疗过的晚期非小细胞肺癌的可行性和耐受性:一项回顾性探索研究","authors":"Hai-Li Wang, Shi-Xia Zhou, Jing Kuang, Sa Xiao, Min Li","doi":"10.2147/BTT.S489363","DOIUrl":null,"url":null,"abstract":"<p><strong>Objective: </strong>Anlotinib demonstrated encouraging therapeutic activity as third-line treatment for patients with advanced non-small cell lung cancer (NSCLC). Programmed cell death protein 1 (PD-1) inhibitors also exhibited promising and durable response against previously-treated advanced NSCLC. Therefore, the present study aimed to determine the feasibility and safety of anlotinib plus PD-1 inhibitors for previously-treated NSCLC in clinical practice.</p><p><strong>Methods: </strong>This retrospective study included 56 patients with advanced NSCLC treated with systemic treatment previously. Patients included were treated with anlotinib plus PD-1 inhibitors in clinical practice. Therapeutic outcomes of the patients were evaluated radiologically using target lesions, and the prognostic outcomes were generated by follow-up. Adverse reactions experienced throughout the treatment were documented and analyzed.</p><p><strong>Results: </strong>Between August 2018 and November 2022, 56 patients with advanced NSCLC were eligible to participate in this study consecutively. Therapeutic outcomes resulted in an overall response rate of 28.6% [95% confidence interval (CI): 17.3%-42.2%] and a disease control rate of 91.1% (95% CI: 80.4%-97.0%). Furthermore, this combination regimen among the 56 patients yielded a median progression-free survival (PFS) of 6.5 months (95% CI: 4.81-8.19) and a median overall survival (OS) of 15.8 months (95% CI: 10.23-21.37), respectively. And the median duration of response (DoR) among patients who responded was 8.3 months (95% CI: 4.38-12.22). Additionally, adverse reactions of all grades throughout the treatment were observed in 50 patients (89.3%), and adverse reactions of grade ≥3 were detected in 23 patients (41.1%). Fatigue, hypertension, diarrhea, nausea, and vomiting were the most common adverse reactions. Association analysis between PFS and baseline characteristic subgroups indicated that ECOG score and number of metastatic lesions might be potential predictors of PFS in the exploratory analysis.</p><p><strong>Conclusion: </strong>Anlotinib plus PD-1 inhibitors demonstrated a tolerable safety profile and encouraging therapeutic activity as subsequent-line therapy in patients with advanced NSCLC. This conclusion should be confirmed in prospective large-scale clinical trials subsequently.</p>","PeriodicalId":9025,"journal":{"name":"Biologics : Targets & Therapy","volume":"18 ","pages":"313-326"},"PeriodicalIF":3.4000,"publicationDate":"2024-11-05","publicationTypes":"Journal Article","fieldsOfStudy":null,"isOpenAccess":false,"openAccessPdf":"https://www.ncbi.nlm.nih.gov/pmc/articles/PMC11549916/pdf/","citationCount":"0","resultStr":"{\"title\":\"Feasibility and Tolerability of Anlotinib Plus PD-1 Inhibitors for Previously-Treated Advanced Non-Small Cell Lung Cancer: A Retrospective Exploratory Study.\",\"authors\":\"Hai-Li Wang, Shi-Xia Zhou, Jing Kuang, Sa Xiao, Min Li\",\"doi\":\"10.2147/BTT.S489363\",\"DOIUrl\":null,\"url\":null,\"abstract\":\"<p><strong>Objective: </strong>Anlotinib demonstrated encouraging therapeutic activity as third-line treatment for patients with advanced non-small cell lung cancer (NSCLC). Programmed cell death protein 1 (PD-1) inhibitors also exhibited promising and durable response against previously-treated advanced NSCLC. Therefore, the present study aimed to determine the feasibility and safety of anlotinib plus PD-1 inhibitors for previously-treated NSCLC in clinical practice.</p><p><strong>Methods: </strong>This retrospective study included 56 patients with advanced NSCLC treated with systemic treatment previously. Patients included were treated with anlotinib plus PD-1 inhibitors in clinical practice. Therapeutic outcomes of the patients were evaluated radiologically using target lesions, and the prognostic outcomes were generated by follow-up. Adverse reactions experienced throughout the treatment were documented and analyzed.</p><p><strong>Results: </strong>Between August 2018 and November 2022, 56 patients with advanced NSCLC were eligible to participate in this study consecutively. Therapeutic outcomes resulted in an overall response rate of 28.6% [95% confidence interval (CI): 17.3%-42.2%] and a disease control rate of 91.1% (95% CI: 80.4%-97.0%). Furthermore, this combination regimen among the 56 patients yielded a median progression-free survival (PFS) of 6.5 months (95% CI: 4.81-8.19) and a median overall survival (OS) of 15.8 months (95% CI: 10.23-21.37), respectively. And the median duration of response (DoR) among patients who responded was 8.3 months (95% CI: 4.38-12.22). Additionally, adverse reactions of all grades throughout the treatment were observed in 50 patients (89.3%), and adverse reactions of grade ≥3 were detected in 23 patients (41.1%). Fatigue, hypertension, diarrhea, nausea, and vomiting were the most common adverse reactions. Association analysis between PFS and baseline characteristic subgroups indicated that ECOG score and number of metastatic lesions might be potential predictors of PFS in the exploratory analysis.</p><p><strong>Conclusion: </strong>Anlotinib plus PD-1 inhibitors demonstrated a tolerable safety profile and encouraging therapeutic activity as subsequent-line therapy in patients with advanced NSCLC. This conclusion should be confirmed in prospective large-scale clinical trials subsequently.</p>\",\"PeriodicalId\":9025,\"journal\":{\"name\":\"Biologics : Targets & Therapy\",\"volume\":\"18 \",\"pages\":\"313-326\"},\"PeriodicalIF\":3.4000,\"publicationDate\":\"2024-11-05\",\"publicationTypes\":\"Journal Article\",\"fieldsOfStudy\":null,\"isOpenAccess\":false,\"openAccessPdf\":\"https://www.ncbi.nlm.nih.gov/pmc/articles/PMC11549916/pdf/\",\"citationCount\":\"0\",\"resultStr\":null,\"platform\":\"Semanticscholar\",\"paperid\":null,\"PeriodicalName\":\"Biologics : Targets & Therapy\",\"FirstCategoryId\":\"1085\",\"ListUrlMain\":\"https://doi.org/10.2147/BTT.S489363\",\"RegionNum\":0,\"RegionCategory\":null,\"ArticlePicture\":[],\"TitleCN\":null,\"AbstractTextCN\":null,\"PMCID\":null,\"EPubDate\":\"2024/1/1 0:00:00\",\"PubModel\":\"eCollection\",\"JCR\":\"Q1\",\"JCRName\":\"MEDICINE, RESEARCH & EXPERIMENTAL\",\"Score\":null,\"Total\":0}","platform":"Semanticscholar","paperid":null,"PeriodicalName":"Biologics : Targets & Therapy","FirstCategoryId":"1085","ListUrlMain":"https://doi.org/10.2147/BTT.S489363","RegionNum":0,"RegionCategory":null,"ArticlePicture":[],"TitleCN":null,"AbstractTextCN":null,"PMCID":null,"EPubDate":"2024/1/1 0:00:00","PubModel":"eCollection","JCR":"Q1","JCRName":"MEDICINE, RESEARCH & EXPERIMENTAL","Score":null,"Total":0}
引用次数: 0

摘要

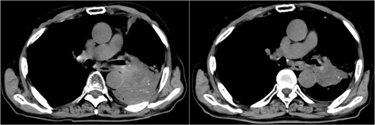
研究目的作为晚期非小细胞肺癌(NSCLC)患者的三线治疗药物,安罗替尼显示出令人鼓舞的治疗活性。程序性细胞死亡蛋白1(PD-1)抑制剂对既往接受过治疗的晚期非小细胞肺癌患者也表现出令人鼓舞的持久疗效。因此,本研究旨在确定安罗替尼联合PD-1抑制剂治疗既往治疗过的NSCLC在临床实践中的可行性和安全性:这项回顾性研究纳入了56名曾接受过系统治疗的晚期NSCLC患者。纳入的患者均在临床实践中接受过安罗替尼联合PD-1抑制剂治疗。患者的治疗结果通过靶病灶进行放射学评估,预后结果通过随访得出。对整个治疗过程中出现的不良反应进行记录和分析:2018年8月至2022年11月期间,56名晚期NSCLC患者符合条件连续参加了这项研究。治疗结果显示,总体反应率为28.6%[95%置信区间(CI):17.3%-42.2%],疾病控制率为91.1%(95% CI:80.4%-97.0%)。此外,在56名患者中,该联合疗法的中位无进展生存期(PFS)为6.5个月(95% CI:4.81-8.19),中位总生存期(OS)为15.8个月(95% CI:10.23-21.37)。有反应患者的中位反应持续时间(DoR)为8.3个月(95% CI:4.38-12.22)。此外,50 名患者(89.3%)在整个治疗过程中出现了各种程度的不良反应,23 名患者(41.1%)出现了≥3 级的不良反应。疲劳、高血压、腹泻、恶心和呕吐是最常见的不良反应。PFS与基线特征亚组之间的关联分析表明,在探索性分析中,ECOG评分和转移病灶数量可能是PFS的潜在预测因素:结论:安罗替尼联合PD-1抑制剂作为晚期NSCLC患者的后续治疗药物,具有可耐受的安全性和令人鼓舞的治疗活性。这一结论应在随后的大规模前瞻性临床试验中得到证实。
本文章由计算机程序翻译,如有差异,请以英文原文为准。

Feasibility and Tolerability of Anlotinib Plus PD-1 Inhibitors for Previously-Treated Advanced Non-Small Cell Lung Cancer: A Retrospective Exploratory Study.

Feasibility and Tolerability of Anlotinib Plus PD-1 Inhibitors for Previously-Treated Advanced Non-Small Cell Lung Cancer: A Retrospective Exploratory Study.

Feasibility and Tolerability of Anlotinib Plus PD-1 Inhibitors for Previously-Treated Advanced Non-Small Cell Lung Cancer: A Retrospective Exploratory Study.

Feasibility and Tolerability of Anlotinib Plus PD-1 Inhibitors for Previously-Treated Advanced Non-Small Cell Lung Cancer: A Retrospective Exploratory Study.

Objective: Anlotinib demonstrated encouraging therapeutic activity as third-line treatment for patients with advanced non-small cell lung cancer (NSCLC). Programmed cell death protein 1 (PD-1) inhibitors also exhibited promising and durable response against previously-treated advanced NSCLC. Therefore, the present study aimed to determine the feasibility and safety of anlotinib plus PD-1 inhibitors for previously-treated NSCLC in clinical practice.

Methods: This retrospective study included 56 patients with advanced NSCLC treated with systemic treatment previously. Patients included were treated with anlotinib plus PD-1 inhibitors in clinical practice. Therapeutic outcomes of the patients were evaluated radiologically using target lesions, and the prognostic outcomes were generated by follow-up. Adverse reactions experienced throughout the treatment were documented and analyzed.

Results: Between August 2018 and November 2022, 56 patients with advanced NSCLC were eligible to participate in this study consecutively. Therapeutic outcomes resulted in an overall response rate of 28.6% [95% confidence interval (CI): 17.3%-42.2%] and a disease control rate of 91.1% (95% CI: 80.4%-97.0%). Furthermore, this combination regimen among the 56 patients yielded a median progression-free survival (PFS) of 6.5 months (95% CI: 4.81-8.19) and a median overall survival (OS) of 15.8 months (95% CI: 10.23-21.37), respectively. And the median duration of response (DoR) among patients who responded was 8.3 months (95% CI: 4.38-12.22). Additionally, adverse reactions of all grades throughout the treatment were observed in 50 patients (89.3%), and adverse reactions of grade ≥3 were detected in 23 patients (41.1%). Fatigue, hypertension, diarrhea, nausea, and vomiting were the most common adverse reactions. Association analysis between PFS and baseline characteristic subgroups indicated that ECOG score and number of metastatic lesions might be potential predictors of PFS in the exploratory analysis.

Conclusion: Anlotinib plus PD-1 inhibitors demonstrated a tolerable safety profile and encouraging therapeutic activity as subsequent-line therapy in patients with advanced NSCLC. This conclusion should be confirmed in prospective large-scale clinical trials subsequently.

求助全文
通过发布文献求助,成功后即可免费获取论文全文。 去求助
来源期刊
Biologics : Targets & Therapy
Biologics : Targets & Therapy MEDICINE, RESEARCH & EXPERIMENTAL-
CiteScore
8.30
自引率
0.00%
发文量
22
审稿时长
16 weeks
×
引用
GB/T 7714-2015
复制
MLA
复制
APA
复制
导出至
BibTeX EndNote RefMan NoteFirst NoteExpress
×
提示
您的信息不完整,为了账户安全,请先补充。
现在去补充
×
提示
您因"违规操作"
具体请查看互助需知
我知道了
×
提示
确定
请完成安全验证×
copy
已复制链接
快去分享给好友吧!
我知道了
右上角分享
点击右上角分享
0
联系我们:info@booksci.cn Book学术提供免费学术资源搜索服务,方便国内外学者检索中英文文献。致力于提供最便捷和优质的服务体验。 Copyright © 2023 布克学术 All rights reserved.
京ICP备2023020795号-1
ghs 京公网安备 11010802042870号
Book学术文献互助
Book学术文献互助群
群 号:604180095
Book学术官方微信