[标准方法治疗分泌催乳素垂体癌的疗效]。

L I Astafyeva, P L Kalinin, Y Y Trunin, G L Kobyakov, Y G Sidneva
{"title":"[标准方法治疗分泌催乳素垂体癌的疗效]。","authors":"L I Astafyeva, P L Kalinin, Y Y Trunin, G L Kobyakov, Y G Sidneva","doi":"10.14341/probl13401","DOIUrl":null,"url":null,"abstract":"<p><p>Pituitary carcinoma (metastatic neuroendocrine tumor of the pituitary gland) is the pituitary tumor with confirmed craniospinal and/or systemic metastases. These tumors are extremely rare accounting for only 0.1% to 0.5% of all pituitary tumours and are characterized by high mortality. In the presented case, pituitary carcinoma with intracranial metastasis was diagnosed in a young patient 25 years after manifestation of an aggressive recurrent prolactin-secreting pituitary tumor. Standard therapy (removal of metastasis, radiation therapy, cabergoline therapy) resulted in a long-term remission of the disease.</p>","PeriodicalId":101419,"journal":{"name":"Problemy endokrinologii","volume":"70 5","pages":"40-45"},"PeriodicalIF":0.0000,"publicationDate":"2024-11-05","publicationTypes":"Journal Article","fieldsOfStudy":null,"isOpenAccess":false,"openAccessPdf":"https://www.ncbi.nlm.nih.gov/pmc/articles/PMC11610635/pdf/","citationCount":"0","resultStr":"{\"title\":\"[Efficacy of standard methods in the treatment of prolactin-secreting pituitary carcinoma].\",\"authors\":\"L I Astafyeva, P L Kalinin, Y Y Trunin, G L Kobyakov, Y G Sidneva\",\"doi\":\"10.14341/probl13401\",\"DOIUrl\":null,\"url\":null,\"abstract\":\"<p><p>Pituitary carcinoma (metastatic neuroendocrine tumor of the pituitary gland) is the pituitary tumor with confirmed craniospinal and/or systemic metastases. These tumors are extremely rare accounting for only 0.1% to 0.5% of all pituitary tumours and are characterized by high mortality. In the presented case, pituitary carcinoma with intracranial metastasis was diagnosed in a young patient 25 years after manifestation of an aggressive recurrent prolactin-secreting pituitary tumor. Standard therapy (removal of metastasis, radiation therapy, cabergoline therapy) resulted in a long-term remission of the disease.</p>\",\"PeriodicalId\":101419,\"journal\":{\"name\":\"Problemy endokrinologii\",\"volume\":\"70 5\",\"pages\":\"40-45\"},\"PeriodicalIF\":0.0000,\"publicationDate\":\"2024-11-05\",\"publicationTypes\":\"Journal Article\",\"fieldsOfStudy\":null,\"isOpenAccess\":false,\"openAccessPdf\":\"https://www.ncbi.nlm.nih.gov/pmc/articles/PMC11610635/pdf/\",\"citationCount\":\"0\",\"resultStr\":null,\"platform\":\"Semanticscholar\",\"paperid\":null,\"PeriodicalName\":\"Problemy endokrinologii\",\"FirstCategoryId\":\"1085\",\"ListUrlMain\":\"https://doi.org/10.14341/probl13401\",\"RegionNum\":0,\"RegionCategory\":null,\"ArticlePicture\":[],\"TitleCN\":null,\"AbstractTextCN\":null,\"PMCID\":null,\"EPubDate\":\"\",\"PubModel\":\"\",\"JCR\":\"\",\"JCRName\":\"\",\"Score\":null,\"Total\":0}","platform":"Semanticscholar","paperid":null,"PeriodicalName":"Problemy endokrinologii","FirstCategoryId":"1085","ListUrlMain":"https://doi.org/10.14341/probl13401","RegionNum":0,"RegionCategory":null,"ArticlePicture":[],"TitleCN":null,"AbstractTextCN":null,"PMCID":null,"EPubDate":"","PubModel":"","JCR":"","JCRName":"","Score":null,"Total":0}
引用次数: 0

摘要

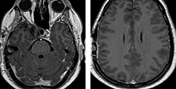
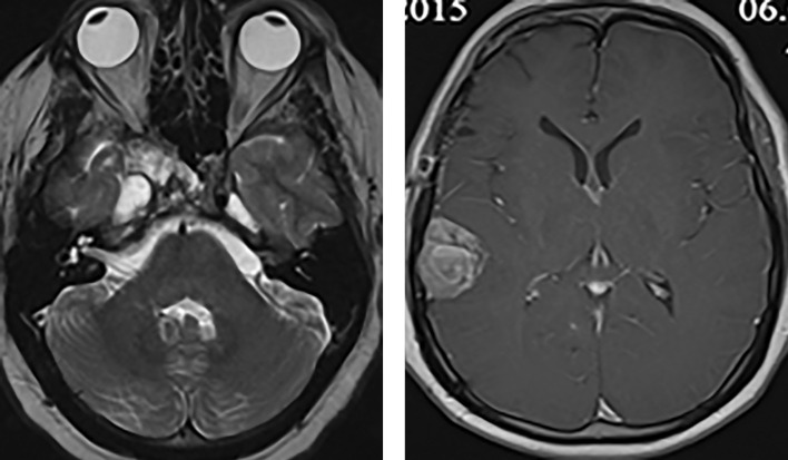
垂体癌(垂体转移性神经内分泌肿瘤)是指已证实有颅脑和/或全身转移的垂体肿瘤。这类肿瘤极为罕见,仅占所有垂体瘤的 0.1%至 0.5%,死亡率很高。在本病例中,一名年轻患者在出现侵袭性复发性分泌催乳素垂体瘤 25 年后被诊断为垂体癌伴颅内转移。标准治疗(转移灶切除、放射治疗、卡麦角林治疗)使病情长期缓解。
本文章由计算机程序翻译,如有差异,请以英文原文为准。

[Efficacy of standard methods in the treatment of prolactin-secreting pituitary carcinoma].

[Efficacy of standard methods in the treatment of prolactin-secreting pituitary carcinoma].

[Efficacy of standard methods in the treatment of prolactin-secreting pituitary carcinoma].

[Efficacy of standard methods in the treatment of prolactin-secreting pituitary carcinoma].

Pituitary carcinoma (metastatic neuroendocrine tumor of the pituitary gland) is the pituitary tumor with confirmed craniospinal and/or systemic metastases. These tumors are extremely rare accounting for only 0.1% to 0.5% of all pituitary tumours and are characterized by high mortality. In the presented case, pituitary carcinoma with intracranial metastasis was diagnosed in a young patient 25 years after manifestation of an aggressive recurrent prolactin-secreting pituitary tumor. Standard therapy (removal of metastasis, radiation therapy, cabergoline therapy) resulted in a long-term remission of the disease.

求助全文
通过发布文献求助,成功后即可免费获取论文全文。 去求助
来源期刊
自引率
0.00%
发文量
0
×
引用
GB/T 7714-2015
复制
MLA
复制
APA
复制
导出至
BibTeX EndNote RefMan NoteFirst NoteExpress
×
提示
您的信息不完整,为了账户安全,请先补充。
现在去补充
×
提示
您因"违规操作"
具体请查看互助需知
我知道了
×
提示
确定
请完成安全验证×
copy
已复制链接
快去分享给好友吧!
我知道了
右上角分享
点击右上角分享
0
联系我们:info@booksci.cn Book学术提供免费学术资源搜索服务,方便国内外学者检索中英文文献。致力于提供最便捷和优质的服务体验。 Copyright © 2023 布克学术 All rights reserved.
京ICP备2023020795号-1
ghs 京公网安备 11010802042870号
Book学术文献互助
Book学术文献互助群
群 号:604180095
Book学术官方微信