水杨甙预处理通过抑制Wnt/β-Catenin通路抑制高血压肾损伤和纤维化

IF 2.4 4区 医学 Q3 PHARMACOLOGY & PHARMACY
Dose-Response Pub Date : 2024-11-05 eCollection Date: 2024-10-01 DOI:10.1177/15593258241298045
Jie Zhu, Liang Li, Yuting Luan, Ziqing Zhang, Yi Wang, Zhenyu Xu
{"title":"水杨甙预处理通过抑制Wnt/β-Catenin通路抑制高血压肾损伤和纤维化","authors":"Jie Zhu, Liang Li, Yuting Luan, Ziqing Zhang, Yi Wang, Zhenyu Xu","doi":"10.1177/15593258241298045","DOIUrl":null,"url":null,"abstract":"<p><strong>Objectives: </strong>This study aimed to explore the protective effects and underlying mechanisms of salidroside (SAL) in angiotensin II (Ang II)-induced hypertensive renal injury and fibrosis, using in vivo and in vitro models.</p><p><strong>Methods: </strong>In this study, we generated Ang II-induced hypertensive renal injury and fibrosis in mice and the recombinant interferon-gamma (IFN-γ)-stimulated murine podocyte clone 5 (MPC5) model in vitro. Histological and oxidative stress analyses were performed to evaluate the renal injury.</p><p><strong>Results: </strong>SAL pre-treatment reduced systolic blood pressure (SBP), diastolic blood pressure (DBP), mean arterial blood pressure (MAP), and attenuated serum creatinine (Scr), blood urea nitrogen (BUN), and serum cystatin C (Cys-C) levels in Ang II-infused mice (all, <i>P</i> < 0.001). SAL reduced renal fibrosis and related molecules expression, including Collagen I, Collagen III, and α-smooth muscle actin (α-SMA) (all, <i>P</i> < 0.001). SAL decreased the content of malondialdehyde (MDA) while increasing superoxide dismutase (SOD), catalase (CAT), and glutathione peroxidase (GSH-Px) in Ang II-treated mice (all, <i>P</i> < 0.001). In addition, SAL pre-treatment inhibited AT1R, Wnt1, Wnt3a, and β-catenin expressions (all, <i>P</i> < 0.001), both in vivo <i>and</i> in vitro.</p><p><strong>Conclusion: </strong>Our experimental data demonstrate that SAL pre-treatment protects against Ang II-induced hypertensive renal injury and fibrosis by suppressing the Wnt/β-catenin pathway in vivo and in vitro.</p>","PeriodicalId":11285,"journal":{"name":"Dose-Response","volume":"22 4","pages":"15593258241298045"},"PeriodicalIF":2.4000,"publicationDate":"2024-11-05","publicationTypes":"Journal Article","fieldsOfStudy":null,"isOpenAccess":false,"openAccessPdf":"https://www.ncbi.nlm.nih.gov/pmc/articles/PMC11539081/pdf/","citationCount":"0","resultStr":"{\"title\":\"Salidroside Pre-Treatment Inhibits Hypertensive Renal Injury and Fibrosis Through Inhibiting Wnt/β-Catenin Pathway.\",\"authors\":\"Jie Zhu, Liang Li, Yuting Luan, Ziqing Zhang, Yi Wang, Zhenyu Xu\",\"doi\":\"10.1177/15593258241298045\",\"DOIUrl\":null,\"url\":null,\"abstract\":\"<p><strong>Objectives: </strong>This study aimed to explore the protective effects and underlying mechanisms of salidroside (SAL) in angiotensin II (Ang II)-induced hypertensive renal injury and fibrosis, using in vivo and in vitro models.</p><p><strong>Methods: </strong>In this study, we generated Ang II-induced hypertensive renal injury and fibrosis in mice and the recombinant interferon-gamma (IFN-γ)-stimulated murine podocyte clone 5 (MPC5) model in vitro. Histological and oxidative stress analyses were performed to evaluate the renal injury.</p><p><strong>Results: </strong>SAL pre-treatment reduced systolic blood pressure (SBP), diastolic blood pressure (DBP), mean arterial blood pressure (MAP), and attenuated serum creatinine (Scr), blood urea nitrogen (BUN), and serum cystatin C (Cys-C) levels in Ang II-infused mice (all, <i>P</i> < 0.001). SAL reduced renal fibrosis and related molecules expression, including Collagen I, Collagen III, and α-smooth muscle actin (α-SMA) (all, <i>P</i> < 0.001). SAL decreased the content of malondialdehyde (MDA) while increasing superoxide dismutase (SOD), catalase (CAT), and glutathione peroxidase (GSH-Px) in Ang II-treated mice (all, <i>P</i> < 0.001). In addition, SAL pre-treatment inhibited AT1R, Wnt1, Wnt3a, and β-catenin expressions (all, <i>P</i> < 0.001), both in vivo <i>and</i> in vitro.</p><p><strong>Conclusion: </strong>Our experimental data demonstrate that SAL pre-treatment protects against Ang II-induced hypertensive renal injury and fibrosis by suppressing the Wnt/β-catenin pathway in vivo and in vitro.</p>\",\"PeriodicalId\":11285,\"journal\":{\"name\":\"Dose-Response\",\"volume\":\"22 4\",\"pages\":\"15593258241298045\"},\"PeriodicalIF\":2.4000,\"publicationDate\":\"2024-11-05\",\"publicationTypes\":\"Journal Article\",\"fieldsOfStudy\":null,\"isOpenAccess\":false,\"openAccessPdf\":\"https://www.ncbi.nlm.nih.gov/pmc/articles/PMC11539081/pdf/\",\"citationCount\":\"0\",\"resultStr\":null,\"platform\":\"Semanticscholar\",\"paperid\":null,\"PeriodicalName\":\"Dose-Response\",\"FirstCategoryId\":\"3\",\"ListUrlMain\":\"https://doi.org/10.1177/15593258241298045\",\"RegionNum\":4,\"RegionCategory\":\"医学\",\"ArticlePicture\":[],\"TitleCN\":null,\"AbstractTextCN\":null,\"PMCID\":null,\"EPubDate\":\"2024/10/1 0:00:00\",\"PubModel\":\"eCollection\",\"JCR\":\"Q3\",\"JCRName\":\"PHARMACOLOGY & PHARMACY\",\"Score\":null,\"Total\":0}","platform":"Semanticscholar","paperid":null,"PeriodicalName":"Dose-Response","FirstCategoryId":"3","ListUrlMain":"https://doi.org/10.1177/15593258241298045","RegionNum":4,"RegionCategory":"医学","ArticlePicture":[],"TitleCN":null,"AbstractTextCN":null,"PMCID":null,"EPubDate":"2024/10/1 0:00:00","PubModel":"eCollection","JCR":"Q3","JCRName":"PHARMACOLOGY & PHARMACY","Score":null,"Total":0}
引用次数: 0

摘要

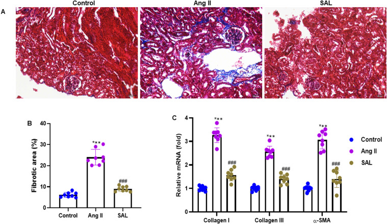
研究目的本研究旨在利用体内和体外模型探讨丹皮苷(SAL)对血管紧张素Ⅱ(AngⅡ)诱导的高血压肾损伤和肾纤维化的保护作用及其内在机制:在这项研究中,我们在小鼠体内建立了 Ang II 诱导的高血压肾损伤和肾纤维化模型,并在体外建立了重组γ干扰素(IFN-γ)刺激的小鼠荚膜细胞克隆 5(MPC5)模型。对肾损伤进行了组织学和氧化应激分析:结果:SAL 预处理降低了 Ang II 注入小鼠的收缩压 (SBP)、舒张压 (DBP)、平均动脉血压 (MAP),并减轻了血清肌酐 (Scr)、血尿素氮 (BUN) 和血清胱抑素 C (Cys-C) 水平(均为 P < 0.001)。SAL 可减少肾脏纤维化和相关分子的表达,包括胶原蛋白 I、胶原蛋白 III 和α-平滑肌肌动蛋白(α-SMA)(均为 P <0.001)。SAL 降低了 Ang II 处理小鼠体内丙二醛(MDA)的含量,同时增加了超氧化物歧化酶(SOD)、过氧化氢酶(CAT)和谷胱甘肽过氧化物酶(GSH-Px)的含量(均为 P <0.001)。此外,SAL 预处理抑制了体内和体外 AT1R、Wnt1、Wnt3a 和 β-catenin 的表达(均为 P <0.001):我们的实验数据表明,SAL预处理通过抑制体内和体外的Wnt/β-catenin通路,保护血管紧张素II诱导的高血压肾损伤和纤维化。
本文章由计算机程序翻译,如有差异,请以英文原文为准。

Salidroside Pre-Treatment Inhibits Hypertensive Renal Injury and Fibrosis Through Inhibiting Wnt/β-Catenin Pathway.

Salidroside Pre-Treatment Inhibits Hypertensive Renal Injury and Fibrosis Through Inhibiting Wnt/β-Catenin Pathway.

Salidroside Pre-Treatment Inhibits Hypertensive Renal Injury and Fibrosis Through Inhibiting Wnt/β-Catenin Pathway.

Salidroside Pre-Treatment Inhibits Hypertensive Renal Injury and Fibrosis Through Inhibiting Wnt/β-Catenin Pathway.

Objectives: This study aimed to explore the protective effects and underlying mechanisms of salidroside (SAL) in angiotensin II (Ang II)-induced hypertensive renal injury and fibrosis, using in vivo and in vitro models.

Methods: In this study, we generated Ang II-induced hypertensive renal injury and fibrosis in mice and the recombinant interferon-gamma (IFN-γ)-stimulated murine podocyte clone 5 (MPC5) model in vitro. Histological and oxidative stress analyses were performed to evaluate the renal injury.

Results: SAL pre-treatment reduced systolic blood pressure (SBP), diastolic blood pressure (DBP), mean arterial blood pressure (MAP), and attenuated serum creatinine (Scr), blood urea nitrogen (BUN), and serum cystatin C (Cys-C) levels in Ang II-infused mice (all, P < 0.001). SAL reduced renal fibrosis and related molecules expression, including Collagen I, Collagen III, and α-smooth muscle actin (α-SMA) (all, P < 0.001). SAL decreased the content of malondialdehyde (MDA) while increasing superoxide dismutase (SOD), catalase (CAT), and glutathione peroxidase (GSH-Px) in Ang II-treated mice (all, P < 0.001). In addition, SAL pre-treatment inhibited AT1R, Wnt1, Wnt3a, and β-catenin expressions (all, P < 0.001), both in vivo and in vitro.

Conclusion: Our experimental data demonstrate that SAL pre-treatment protects against Ang II-induced hypertensive renal injury and fibrosis by suppressing the Wnt/β-catenin pathway in vivo and in vitro.

求助全文
通过发布文献求助,成功后即可免费获取论文全文。 去求助
来源期刊
Dose-Response
Dose-Response PHARMACOLOGY & PHARMACY-RADIOLOGY, NUCLEAR MEDICINE & MEDICAL IMAGING
CiteScore
4.90
自引率
4.00%
发文量
140
审稿时长
>12 weeks
期刊介绍: Dose-Response is an open access peer-reviewed online journal publishing original findings and commentaries on the occurrence of dose-response relationships across a broad range of disciplines. Particular interest focuses on experimental evidence providing mechanistic understanding of nonlinear dose-response relationships.
×
引用
GB/T 7714-2015
复制
MLA
复制
APA
复制
导出至
BibTeX EndNote RefMan NoteFirst NoteExpress
×
提示
您的信息不完整,为了账户安全,请先补充。
现在去补充
×
提示
您因"违规操作"
具体请查看互助需知
我知道了
×
提示
确定
请完成安全验证×
copy
已复制链接
快去分享给好友吧!
我知道了
右上角分享
点击右上角分享
0
联系我们:info@booksci.cn Book学术提供免费学术资源搜索服务,方便国内外学者检索中英文文献。致力于提供最便捷和优质的服务体验。 Copyright © 2023 布克学术 All rights reserved.
京ICP备2023020795号-1
ghs 京公网安备 11010802042870号
Book学术文献互助
Book学术文献互助群
群 号:604180095
Book学术官方微信