纳米粒子超声:减少全关节感染中细菌生物膜的有效方法--大鼠体内模型研究。

IF 4.3 4区 医学 Q2 ORTHOPEDICS
Itay Ashkenazi, Mark Longwell, Barbara Byers, Rachael Kreft, Roi Ramot, Muhammad A Haider, Yair Ramot, Ran Schwarzkopf
{"title":"纳米粒子超声:减少全关节感染中细菌生物膜的有效方法--大鼠体内模型研究。","authors":"Itay Ashkenazi, Mark Longwell, Barbara Byers, Rachael Kreft, Roi Ramot, Muhammad A Haider, Yair Ramot, Ran Schwarzkopf","doi":"10.1186/s42836-024-00279-7","DOIUrl":null,"url":null,"abstract":"<p><strong>Background: </strong>While the benefits of sonication for improving periprosthetic joint infection (PJI) are well-documented, its potential therapeutic effect against bacterial biofilm remains unstudied. This study aimed to investigate the safety and efficacy of a novel nanoparticle ultrasonication process on methicillin-resistant Staphylococcus aureus (MRSA) bacterial biofilm formation in a PJI rat model.</p><p><strong>Methods: </strong>This novel ultrasonication process was designed to remove attached bacterial biofilm from implant and peri-articular tissues, without damaging native tissues or compromising implant integrity. Twenty-five adult Sprague-Dawley rats underwent a surgical procedure and were colonized with intra-articular MRSA, followed by the insertion of a titanium screw. Three weeks after the index surgery, the animals received a second procedure during which the screws were explanted, and soft tissue was sampled. The intraoperative use of the nanoparticle sonication treatment was employed to assess the device's safety, while ex vivo treatment on the retrieved tissue and implants was used to evaluate its efficacy.</p><p><strong>Results: </strong>Clinical and histological assessments did not indicate any macro- or micro-damage to the host tissue. Sonication of the retrieved tissues demonstrated an average bacterial removal of 2 × 10<sup>3</sup> CFU/mL and 1 × 10<sup>4</sup> CFU/gram of tissue. Compared to the standard-of-care group (n = 10), implants treated with sonication (n = 15) had significantly lower remaining bacteria, as indicated by crystal violet absorbance measurements (P = 0.012).</p><p><strong>Conclusions: </strong>This study suggests that nanoparticle sonication technology can successfully remove attached bacterial biofilms from explanted orthopedic hardware and the joint capsule, without negatively affecting native tissue. The study provides initial results supporting the potential of nanoparticle sonication as an adjuvant treatment option during a DAIR (debridement, antibiotics, and implant retention) procedure for PJI, paving the way for future clinical trials.</p>","PeriodicalId":52831,"journal":{"name":"Arthroplasty","volume":"6 1","pages":"57"},"PeriodicalIF":4.3000,"publicationDate":"2024-11-06","publicationTypes":"Journal Article","fieldsOfStudy":null,"isOpenAccess":false,"openAccessPdf":"https://www.ncbi.nlm.nih.gov/pmc/articles/PMC11539774/pdf/","citationCount":"0","resultStr":"{\"title\":\"Nanoparticle ultrasonication: a promising approach for reducing bacterial biofilm in total joint infection-an in vivo rat model investigation.\",\"authors\":\"Itay Ashkenazi, Mark Longwell, Barbara Byers, Rachael Kreft, Roi Ramot, Muhammad A Haider, Yair Ramot, Ran Schwarzkopf\",\"doi\":\"10.1186/s42836-024-00279-7\",\"DOIUrl\":null,\"url\":null,\"abstract\":\"<p><strong>Background: </strong>While the benefits of sonication for improving periprosthetic joint infection (PJI) are well-documented, its potential therapeutic effect against bacterial biofilm remains unstudied. This study aimed to investigate the safety and efficacy of a novel nanoparticle ultrasonication process on methicillin-resistant Staphylococcus aureus (MRSA) bacterial biofilm formation in a PJI rat model.</p><p><strong>Methods: </strong>This novel ultrasonication process was designed to remove attached bacterial biofilm from implant and peri-articular tissues, without damaging native tissues or compromising implant integrity. Twenty-five adult Sprague-Dawley rats underwent a surgical procedure and were colonized with intra-articular MRSA, followed by the insertion of a titanium screw. Three weeks after the index surgery, the animals received a second procedure during which the screws were explanted, and soft tissue was sampled. The intraoperative use of the nanoparticle sonication treatment was employed to assess the device's safety, while ex vivo treatment on the retrieved tissue and implants was used to evaluate its efficacy.</p><p><strong>Results: </strong>Clinical and histological assessments did not indicate any macro- or micro-damage to the host tissue. Sonication of the retrieved tissues demonstrated an average bacterial removal of 2 × 10<sup>3</sup> CFU/mL and 1 × 10<sup>4</sup> CFU/gram of tissue. Compared to the standard-of-care group (n = 10), implants treated with sonication (n = 15) had significantly lower remaining bacteria, as indicated by crystal violet absorbance measurements (P = 0.012).</p><p><strong>Conclusions: </strong>This study suggests that nanoparticle sonication technology can successfully remove attached bacterial biofilms from explanted orthopedic hardware and the joint capsule, without negatively affecting native tissue. The study provides initial results supporting the potential of nanoparticle sonication as an adjuvant treatment option during a DAIR (debridement, antibiotics, and implant retention) procedure for PJI, paving the way for future clinical trials.</p>\",\"PeriodicalId\":52831,\"journal\":{\"name\":\"Arthroplasty\",\"volume\":\"6 1\",\"pages\":\"57\"},\"PeriodicalIF\":4.3000,\"publicationDate\":\"2024-11-06\",\"publicationTypes\":\"Journal Article\",\"fieldsOfStudy\":null,\"isOpenAccess\":false,\"openAccessPdf\":\"https://www.ncbi.nlm.nih.gov/pmc/articles/PMC11539774/pdf/\",\"citationCount\":\"0\",\"resultStr\":null,\"platform\":\"Semanticscholar\",\"paperid\":null,\"PeriodicalName\":\"Arthroplasty\",\"FirstCategoryId\":\"3\",\"ListUrlMain\":\"https://doi.org/10.1186/s42836-024-00279-7\",\"RegionNum\":4,\"RegionCategory\":\"医学\",\"ArticlePicture\":[],\"TitleCN\":null,\"AbstractTextCN\":null,\"PMCID\":null,\"EPubDate\":\"\",\"PubModel\":\"\",\"JCR\":\"Q2\",\"JCRName\":\"ORTHOPEDICS\",\"Score\":null,\"Total\":0}","platform":"Semanticscholar","paperid":null,"PeriodicalName":"Arthroplasty","FirstCategoryId":"3","ListUrlMain":"https://doi.org/10.1186/s42836-024-00279-7","RegionNum":4,"RegionCategory":"医学","ArticlePicture":[],"TitleCN":null,"AbstractTextCN":null,"PMCID":null,"EPubDate":"","PubModel":"","JCR":"Q2","JCRName":"ORTHOPEDICS","Score":null,"Total":0}
引用次数: 0

摘要

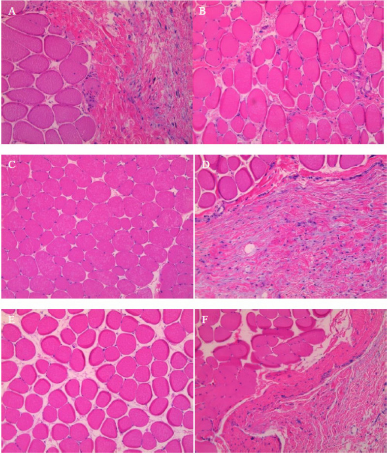
背景:尽管超声治疗对改善假体周围关节感染(PJI)的益处已得到充分证实,但其对细菌生物膜的潜在治疗效果仍未得到研究。本研究旨在探讨新型纳米粒子超声处理对 PJI 大鼠模型中耐甲氧西林金黄色葡萄球菌(MRSA)细菌生物膜形成的安全性和有效性:这种新型超声处理方法旨在清除植入物和关节周围组织中附着的细菌生物膜,同时不损伤原生组织或损害植入物的完整性。25 只成年 Sprague-Dawley 大鼠接受了外科手术,并在关节内感染了 MRSA,随后植入了钛螺钉。指标手术三周后,这些动物接受了第二次手术,在手术过程中取出了螺钉,并对软组织进行了取样。术中使用纳米粒子超声处理来评估该装置的安全性,而对取出的组织和植入物进行体外处理则是为了评估其疗效:临床和组织学评估结果表明,宿主组织未受到任何宏观或微观损伤。对取回的组织进行超声处理后显示,平均细菌去除率为 2 × 103 CFU/毫升,1 × 104 CFU/克组织。与标准护理组(n = 10)相比,经超声处理的种植体(n = 15)残留的细菌明显较少,这一点可以通过水晶紫吸光度测量得到(P = 0.012):这项研究表明,纳米粒子超声技术可以成功去除外露骨科硬件和关节囊上附着的细菌生物膜,而不会对原生组织产生负面影响。该研究提供的初步结果支持了纳米粒子超声技术作为DAIR(清创、抗生素和植入物保留)手术中PJI辅助治疗方案的潜力,为未来的临床试验铺平了道路。
本文章由计算机程序翻译,如有差异,请以英文原文为准。

Nanoparticle ultrasonication: a promising approach for reducing bacterial biofilm in total joint infection-an in vivo rat model investigation.

Nanoparticle ultrasonication: a promising approach for reducing bacterial biofilm in total joint infection-an in vivo rat model investigation.

Nanoparticle ultrasonication: a promising approach for reducing bacterial biofilm in total joint infection-an in vivo rat model investigation.

Nanoparticle ultrasonication: a promising approach for reducing bacterial biofilm in total joint infection-an in vivo rat model investigation.

Background: While the benefits of sonication for improving periprosthetic joint infection (PJI) are well-documented, its potential therapeutic effect against bacterial biofilm remains unstudied. This study aimed to investigate the safety and efficacy of a novel nanoparticle ultrasonication process on methicillin-resistant Staphylococcus aureus (MRSA) bacterial biofilm formation in a PJI rat model.

Methods: This novel ultrasonication process was designed to remove attached bacterial biofilm from implant and peri-articular tissues, without damaging native tissues or compromising implant integrity. Twenty-five adult Sprague-Dawley rats underwent a surgical procedure and were colonized with intra-articular MRSA, followed by the insertion of a titanium screw. Three weeks after the index surgery, the animals received a second procedure during which the screws were explanted, and soft tissue was sampled. The intraoperative use of the nanoparticle sonication treatment was employed to assess the device's safety, while ex vivo treatment on the retrieved tissue and implants was used to evaluate its efficacy.

Results: Clinical and histological assessments did not indicate any macro- or micro-damage to the host tissue. Sonication of the retrieved tissues demonstrated an average bacterial removal of 2 × 103 CFU/mL and 1 × 104 CFU/gram of tissue. Compared to the standard-of-care group (n = 10), implants treated with sonication (n = 15) had significantly lower remaining bacteria, as indicated by crystal violet absorbance measurements (P = 0.012).

Conclusions: This study suggests that nanoparticle sonication technology can successfully remove attached bacterial biofilms from explanted orthopedic hardware and the joint capsule, without negatively affecting native tissue. The study provides initial results supporting the potential of nanoparticle sonication as an adjuvant treatment option during a DAIR (debridement, antibiotics, and implant retention) procedure for PJI, paving the way for future clinical trials.

求助全文
通过发布文献求助,成功后即可免费获取论文全文。 去求助
来源期刊
Arthroplasty
Arthroplasty ORTHOPEDICS-
CiteScore
2.20
自引率
0.00%
发文量
49
审稿时长
15 weeks
×
引用
GB/T 7714-2015
复制
MLA
复制
APA
复制
导出至
BibTeX EndNote RefMan NoteFirst NoteExpress
×
提示
您的信息不完整,为了账户安全,请先补充。
现在去补充
×
提示
您因"违规操作"
具体请查看互助需知
我知道了
×
提示
确定
请完成安全验证×
copy
已复制链接
快去分享给好友吧!
我知道了
右上角分享
点击右上角分享
0
联系我们:info@booksci.cn Book学术提供免费学术资源搜索服务,方便国内外学者检索中英文文献。致力于提供最便捷和优质的服务体验。 Copyright © 2023 布克学术 All rights reserved.
京ICP备2023020795号-1
ghs 京公网安备 11010802042870号
Book学术文献互助
Book学术文献互助群
群 号:604180095
Book学术官方微信