使用 DANTE T1-SPACE 成像诊断视神经炎的准确性

IF 2.4 Q1 OPHTHALMOLOGY
Eye and Brain Pub Date : 2024-10-29 eCollection Date: 2024-01-01 DOI:10.2147/EB.S474100
Ayaka Shimada, Kenji Suda, Eri Nakano, Miho Tagawa, Manabu Miyata, Satoshi Kashii, Takuya Hinoda, Yasutaka Fushimi, Kimitoshi Kimura, Ryusei Nishigori, Sinyeob Ahn, John Grinstead, Akitaka Tsujikawa
{"title":"使用 DANTE T1-SPACE 成像诊断视神经炎的准确性","authors":"Ayaka Shimada, Kenji Suda, Eri Nakano, Miho Tagawa, Manabu Miyata, Satoshi Kashii, Takuya Hinoda, Yasutaka Fushimi, Kimitoshi Kimura, Ryusei Nishigori, Sinyeob Ahn, John Grinstead, Akitaka Tsujikawa","doi":"10.2147/EB.S474100","DOIUrl":null,"url":null,"abstract":"<p><strong>Purpose: </strong>To evaluate the use of delay alternating with nutation for tailored excitation-prepared T1-weighted turbo spin echo (DANTE T1-SPACE) imaging for diagnosing optic neuritis and to analyze its correlation with clinical findings before and after treatment.</p><p><strong>Patients and methods: </strong>Patients diagnosed with optic neuritis or non-arteritic anterior ischemic optic neuropathy (NA-AION) were evaluated at the Ophthalmology Department of Kyoto University Hospital. All patients underwent magnetic resonance (MR) studies before treatment initiation and ophthalmic examinations before and after treatment. Three ophthalmologists independently reviewed the MR scans for abnormalities. The magnetic resonance imaging (MRI) assessments included post-contrast DANTE T1-SPACE, post-contrast volumetric interpolated breath-hold examination (VIBE), and short T1 inversion recovery (STIR) scans. The presence of abnormalities in each sequence was determined.</p><p><strong>Results: </strong>Of 36 eyes from 30 patients, 21 eyes from 17 patients were diagnosed with optic neuritis, and 15 eyes from 13 patients were diagnosed with NA-AION. DANTE T1-SPACE sequences showed better sensitivity for detecting optic neuritis than STIR sequences (100% vs 67%, p = 0.009). VIBE images did not confirm enhancement of lesions in some cases with optic neuritis. No differences were observed among the sequences for NA-AION. Lesion length evaluated by DANTE T1-SPACE sequences was associated with circumpapillary retinal nerve fiber layer thickness at the initial visit, eye pain, and the time interval from symptom onset to MRI scan.</p><p><strong>Conclusion: </strong>Contrast-enhanced DANTE T1-SPACE was better than other sequences of MRI for diagnosing optic neuritis.</p>","PeriodicalId":51844,"journal":{"name":"Eye and Brain","volume":"16 ","pages":"65-73"},"PeriodicalIF":2.4000,"publicationDate":"2024-10-29","publicationTypes":"Journal Article","fieldsOfStudy":null,"isOpenAccess":false,"openAccessPdf":"https://www.ncbi.nlm.nih.gov/pmc/articles/PMC11531292/pdf/","citationCount":"0","resultStr":"{\"title\":\"Accuracy of Diagnosing Optic Neuritis Using DANTE T1-SPACE Imaging.\",\"authors\":\"Ayaka Shimada, Kenji Suda, Eri Nakano, Miho Tagawa, Manabu Miyata, Satoshi Kashii, Takuya Hinoda, Yasutaka Fushimi, Kimitoshi Kimura, Ryusei Nishigori, Sinyeob Ahn, John Grinstead, Akitaka Tsujikawa\",\"doi\":\"10.2147/EB.S474100\",\"DOIUrl\":null,\"url\":null,\"abstract\":\"<p><strong>Purpose: </strong>To evaluate the use of delay alternating with nutation for tailored excitation-prepared T1-weighted turbo spin echo (DANTE T1-SPACE) imaging for diagnosing optic neuritis and to analyze its correlation with clinical findings before and after treatment.</p><p><strong>Patients and methods: </strong>Patients diagnosed with optic neuritis or non-arteritic anterior ischemic optic neuropathy (NA-AION) were evaluated at the Ophthalmology Department of Kyoto University Hospital. All patients underwent magnetic resonance (MR) studies before treatment initiation and ophthalmic examinations before and after treatment. Three ophthalmologists independently reviewed the MR scans for abnormalities. The magnetic resonance imaging (MRI) assessments included post-contrast DANTE T1-SPACE, post-contrast volumetric interpolated breath-hold examination (VIBE), and short T1 inversion recovery (STIR) scans. The presence of abnormalities in each sequence was determined.</p><p><strong>Results: </strong>Of 36 eyes from 30 patients, 21 eyes from 17 patients were diagnosed with optic neuritis, and 15 eyes from 13 patients were diagnosed with NA-AION. DANTE T1-SPACE sequences showed better sensitivity for detecting optic neuritis than STIR sequences (100% vs 67%, p = 0.009). VIBE images did not confirm enhancement of lesions in some cases with optic neuritis. No differences were observed among the sequences for NA-AION. Lesion length evaluated by DANTE T1-SPACE sequences was associated with circumpapillary retinal nerve fiber layer thickness at the initial visit, eye pain, and the time interval from symptom onset to MRI scan.</p><p><strong>Conclusion: </strong>Contrast-enhanced DANTE T1-SPACE was better than other sequences of MRI for diagnosing optic neuritis.</p>\",\"PeriodicalId\":51844,\"journal\":{\"name\":\"Eye and Brain\",\"volume\":\"16 \",\"pages\":\"65-73\"},\"PeriodicalIF\":2.4000,\"publicationDate\":\"2024-10-29\",\"publicationTypes\":\"Journal Article\",\"fieldsOfStudy\":null,\"isOpenAccess\":false,\"openAccessPdf\":\"https://www.ncbi.nlm.nih.gov/pmc/articles/PMC11531292/pdf/\",\"citationCount\":\"0\",\"resultStr\":null,\"platform\":\"Semanticscholar\",\"paperid\":null,\"PeriodicalName\":\"Eye and Brain\",\"FirstCategoryId\":\"1085\",\"ListUrlMain\":\"https://doi.org/10.2147/EB.S474100\",\"RegionNum\":0,\"RegionCategory\":null,\"ArticlePicture\":[],\"TitleCN\":null,\"AbstractTextCN\":null,\"PMCID\":null,\"EPubDate\":\"2024/1/1 0:00:00\",\"PubModel\":\"eCollection\",\"JCR\":\"Q1\",\"JCRName\":\"OPHTHALMOLOGY\",\"Score\":null,\"Total\":0}","platform":"Semanticscholar","paperid":null,"PeriodicalName":"Eye and Brain","FirstCategoryId":"1085","ListUrlMain":"https://doi.org/10.2147/EB.S474100","RegionNum":0,"RegionCategory":null,"ArticlePicture":[],"TitleCN":null,"AbstractTextCN":null,"PMCID":null,"EPubDate":"2024/1/1 0:00:00","PubModel":"eCollection","JCR":"Q1","JCRName":"OPHTHALMOLOGY","Score":null,"Total":0}
引用次数: 0

摘要

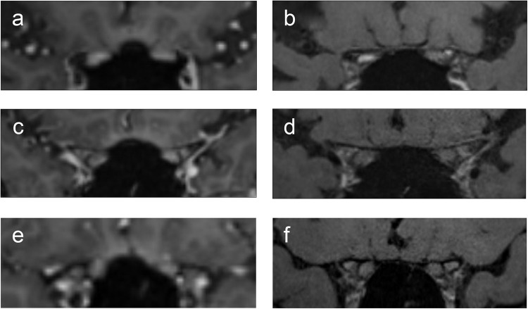
目的:评估在诊断视神经炎时使用延迟交替换向定制激发预处理 T1 加权涡轮自旋回波(DANTE T1-SPACE)成像的情况,并分析其与治疗前后临床结果的相关性:京都大学医院眼科对确诊为视神经炎或非动脉炎性前部缺血性视神经病变(NA-AION)的患者进行评估。所有患者在开始治疗前均接受了磁共振(MR)检查,并在治疗前后接受了眼科检查。三位眼科医生分别独立检查了磁共振扫描的异常情况。磁共振成像(MRI)评估包括对比后 DANTE T1-SPACE、对比后容积插值屏气检查(VIBE)和短 T1 反转恢复(STIR)扫描。结果:结果:在 30 名患者的 36 只眼睛中,17 名患者的 21 只眼睛被诊断为视神经炎,13 名患者的 15 只眼睛被诊断为 NA-AION。与 STIR 序列相比,DANTE T1-SPACE 序列检测视神经炎的灵敏度更高(100% 对 67%,P = 0.009)。在一些视神经炎病例中,VIBE 图像不能证实病变的增强。对于非视神经损伤性视网膜炎(NA-AION),各种序列之间没有差异。通过DANTE T1-SPACE序列评估的病变长度与初诊时的环毛细血管视网膜神经纤维层厚度、眼痛以及从症状发作到MRI扫描的时间间隔有关:对比增强 DANTE T1-SPACE 在诊断视神经炎方面优于其他核磁共振成像序列。
本文章由计算机程序翻译,如有差异,请以英文原文为准。

Accuracy of Diagnosing Optic Neuritis Using DANTE T1-SPACE Imaging.

Accuracy of Diagnosing Optic Neuritis Using DANTE T1-SPACE Imaging.

Accuracy of Diagnosing Optic Neuritis Using DANTE T1-SPACE Imaging.

Purpose: To evaluate the use of delay alternating with nutation for tailored excitation-prepared T1-weighted turbo spin echo (DANTE T1-SPACE) imaging for diagnosing optic neuritis and to analyze its correlation with clinical findings before and after treatment.

Patients and methods: Patients diagnosed with optic neuritis or non-arteritic anterior ischemic optic neuropathy (NA-AION) were evaluated at the Ophthalmology Department of Kyoto University Hospital. All patients underwent magnetic resonance (MR) studies before treatment initiation and ophthalmic examinations before and after treatment. Three ophthalmologists independently reviewed the MR scans for abnormalities. The magnetic resonance imaging (MRI) assessments included post-contrast DANTE T1-SPACE, post-contrast volumetric interpolated breath-hold examination (VIBE), and short T1 inversion recovery (STIR) scans. The presence of abnormalities in each sequence was determined.

Results: Of 36 eyes from 30 patients, 21 eyes from 17 patients were diagnosed with optic neuritis, and 15 eyes from 13 patients were diagnosed with NA-AION. DANTE T1-SPACE sequences showed better sensitivity for detecting optic neuritis than STIR sequences (100% vs 67%, p = 0.009). VIBE images did not confirm enhancement of lesions in some cases with optic neuritis. No differences were observed among the sequences for NA-AION. Lesion length evaluated by DANTE T1-SPACE sequences was associated with circumpapillary retinal nerve fiber layer thickness at the initial visit, eye pain, and the time interval from symptom onset to MRI scan.

Conclusion: Contrast-enhanced DANTE T1-SPACE was better than other sequences of MRI for diagnosing optic neuritis.

求助全文
通过发布文献求助,成功后即可免费获取论文全文。 去求助
来源期刊
Eye and Brain
Eye and Brain OPHTHALMOLOGY-
CiteScore
7.90
自引率
2.30%
发文量
12
审稿时长
16 weeks
期刊介绍: Eye and Brain is an international, peer-reviewed, open access journal focusing on basic research, clinical findings, and expert reviews in the field of visual science and neuro-ophthalmology. The journal’s unique focus is the link between two well-known visual centres, the eye and the brain, with an emphasis on the importance of such connections. All aspects of clinical and especially basic research on the visual system are addressed within the journal as well as significant future directions in vision research and therapeutic measures. This unique journal focuses on neurological aspects of vision – both physiological and pathological. The scope of the journal spans from the cornea to the associational visual cortex and all the visual centers in between. Topics range from basic biological mechanisms to therapeutic treatment, from simple organisms to humans, and utilizing techniques from molecular biology to behavior. The journal especially welcomes primary research articles or review papers that make the connection between the eye and the brain. Specific areas covered in the journal include: Physiology and pathophysiology of visual centers, Eye movement disorders and strabismus, Cellular, biochemical, and molecular features of the visual system, Structural and functional organization of the eye and of the visual cortex, Metabolic demands of the visual system, Diseases and disorders with neuro-ophthalmic manifestations, Clinical and experimental neuro-ophthalmology and visual system pathologies, Epidemiological studies.
×
引用
GB/T 7714-2015
复制
MLA
复制
APA
复制
导出至
BibTeX EndNote RefMan NoteFirst NoteExpress
×
提示
您的信息不完整,为了账户安全,请先补充。
现在去补充
×
提示
您因"违规操作"
具体请查看互助需知
我知道了
×
提示
确定
请完成安全验证×
copy
已复制链接
快去分享给好友吧!
我知道了
右上角分享
点击右上角分享
0
联系我们:info@booksci.cn Book学术提供免费学术资源搜索服务,方便国内外学者检索中英文文献。致力于提供最便捷和优质的服务体验。 Copyright © 2023 布克学术 All rights reserved.
京ICP备2023020795号-1
ghs 京公网安备 11010802042870号
Book学术文献互助
Book学术文献互助群
群 号:604180095
Book学术官方微信