使用利妥昔单抗方案成功治疗以皮疹为首发症状的特发性多中心卡斯特曼病

IF 1.3 Q4 HEMATOLOGY
Journal of hematology Pub Date : 2024-10-01 Epub Date: 2024-10-21 DOI:10.14740/jh1313
Li Zhu, Yi Liu, Fang Yu, Xue Jiao Yin, Qiu Mei Yao, Hai Tao Meng, Liang Shun You, Hong Yan Tong
{"title":"使用利妥昔单抗方案成功治疗以皮疹为首发症状的特发性多中心卡斯特曼病","authors":"Li Zhu, Yi Liu, Fang Yu, Xue Jiao Yin, Qiu Mei Yao, Hai Tao Meng, Liang Shun You, Hong Yan Tong","doi":"10.14740/jh1313","DOIUrl":null,"url":null,"abstract":"<p><p>Idiopathic multicentric Castleman disease (iMCD) is a rare lymphoproliferative disorder characterized by enlarged lymph nodes and systemic inflammation, often involving multiple organ dysfunction. However, cutaneous involvement in iMCD is rare and heterogeneous, and studies on the treatment of iMCD with skin involvement are scarce. Here, we present a rare case of iMCD with prominent facial skin involvement, which showed significant improvement with rituximab-based regimen treatment.</p>","PeriodicalId":15964,"journal":{"name":"Journal of hematology","volume":"13 5","pages":"245-249"},"PeriodicalIF":1.3000,"publicationDate":"2024-10-01","publicationTypes":"Journal Article","fieldsOfStudy":null,"isOpenAccess":false,"openAccessPdf":"https://www.ncbi.nlm.nih.gov/pmc/articles/PMC11526581/pdf/","citationCount":"0","resultStr":"{\"title\":\"Successful Treatment of Idiopathic Multicentric Castleman Disease With Rash as the Initial Symptom Using a Rituximab-Based Regimen.\",\"authors\":\"Li Zhu, Yi Liu, Fang Yu, Xue Jiao Yin, Qiu Mei Yao, Hai Tao Meng, Liang Shun You, Hong Yan Tong\",\"doi\":\"10.14740/jh1313\",\"DOIUrl\":null,\"url\":null,\"abstract\":\"<p><p>Idiopathic multicentric Castleman disease (iMCD) is a rare lymphoproliferative disorder characterized by enlarged lymph nodes and systemic inflammation, often involving multiple organ dysfunction. However, cutaneous involvement in iMCD is rare and heterogeneous, and studies on the treatment of iMCD with skin involvement are scarce. Here, we present a rare case of iMCD with prominent facial skin involvement, which showed significant improvement with rituximab-based regimen treatment.</p>\",\"PeriodicalId\":15964,\"journal\":{\"name\":\"Journal of hematology\",\"volume\":\"13 5\",\"pages\":\"245-249\"},\"PeriodicalIF\":1.3000,\"publicationDate\":\"2024-10-01\",\"publicationTypes\":\"Journal Article\",\"fieldsOfStudy\":null,\"isOpenAccess\":false,\"openAccessPdf\":\"https://www.ncbi.nlm.nih.gov/pmc/articles/PMC11526581/pdf/\",\"citationCount\":\"0\",\"resultStr\":null,\"platform\":\"Semanticscholar\",\"paperid\":null,\"PeriodicalName\":\"Journal of hematology\",\"FirstCategoryId\":\"1085\",\"ListUrlMain\":\"https://doi.org/10.14740/jh1313\",\"RegionNum\":0,\"RegionCategory\":null,\"ArticlePicture\":[],\"TitleCN\":null,\"AbstractTextCN\":null,\"PMCID\":null,\"EPubDate\":\"2024/10/21 0:00:00\",\"PubModel\":\"Epub\",\"JCR\":\"Q4\",\"JCRName\":\"HEMATOLOGY\",\"Score\":null,\"Total\":0}","platform":"Semanticscholar","paperid":null,"PeriodicalName":"Journal of hematology","FirstCategoryId":"1085","ListUrlMain":"https://doi.org/10.14740/jh1313","RegionNum":0,"RegionCategory":null,"ArticlePicture":[],"TitleCN":null,"AbstractTextCN":null,"PMCID":null,"EPubDate":"2024/10/21 0:00:00","PubModel":"Epub","JCR":"Q4","JCRName":"HEMATOLOGY","Score":null,"Total":0}
引用次数: 0

摘要

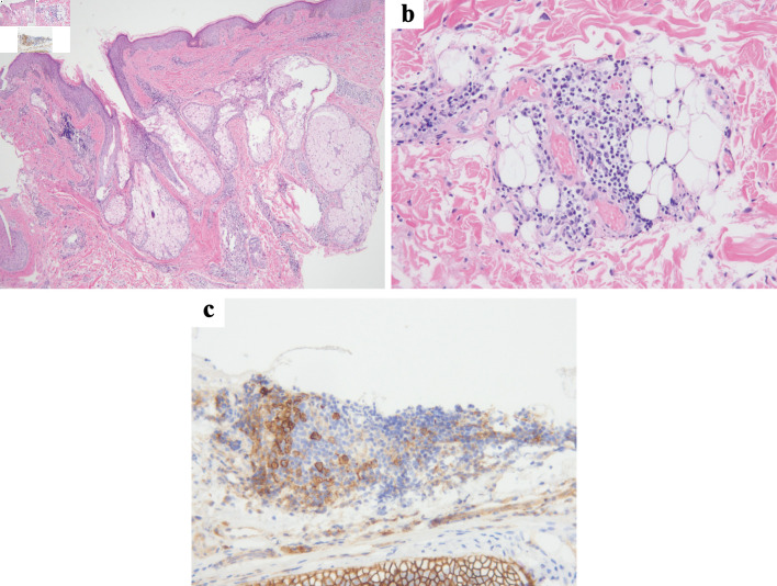
特发性多中心卡斯特曼病(iMCD)是一种罕见的淋巴细胞增生性疾病,其特点是淋巴结肿大和全身炎症,常涉及多器官功能障碍。然而,iMCD 的皮肤受累罕见且异质性强,有关治疗皮肤受累的 iMCD 的研究也很少。在此,我们介绍了一例罕见的面部皮肤受累的 iMCD 病例,该病例在接受基于利妥昔单抗的方案治疗后病情明显好转。
本文章由计算机程序翻译,如有差异,请以英文原文为准。

Successful Treatment of Idiopathic Multicentric Castleman Disease With Rash as the Initial Symptom Using a Rituximab-Based Regimen.

Successful Treatment of Idiopathic Multicentric Castleman Disease With Rash as the Initial Symptom Using a Rituximab-Based Regimen.

Successful Treatment of Idiopathic Multicentric Castleman Disease With Rash as the Initial Symptom Using a Rituximab-Based Regimen.

Successful Treatment of Idiopathic Multicentric Castleman Disease With Rash as the Initial Symptom Using a Rituximab-Based Regimen.

Idiopathic multicentric Castleman disease (iMCD) is a rare lymphoproliferative disorder characterized by enlarged lymph nodes and systemic inflammation, often involving multiple organ dysfunction. However, cutaneous involvement in iMCD is rare and heterogeneous, and studies on the treatment of iMCD with skin involvement are scarce. Here, we present a rare case of iMCD with prominent facial skin involvement, which showed significant improvement with rituximab-based regimen treatment.

求助全文
通过发布文献求助,成功后即可免费获取论文全文。 去求助
来源期刊
Journal of hematology
Journal of hematology HEMATOLOGY-
自引率
0.00%
发文量
29
×
引用
GB/T 7714-2015
复制
MLA
复制
APA
复制
导出至
BibTeX EndNote RefMan NoteFirst NoteExpress
×
提示
您的信息不完整,为了账户安全,请先补充。
现在去补充
×
提示
您因"违规操作"
具体请查看互助需知
我知道了
×
提示
确定
请完成安全验证×
copy
已复制链接
快去分享给好友吧!
我知道了
右上角分享
点击右上角分享
0
联系我们:info@booksci.cn Book学术提供免费学术资源搜索服务,方便国内外学者检索中英文文献。致力于提供最便捷和优质的服务体验。 Copyright © 2023 布克学术 All rights reserved.
京ICP备2023020795号-1
ghs 京公网安备 11010802042870号
Book学术文献互助
Book学术文献互助群
群 号:604180095
Book学术官方微信