原发性难治性弥漫大 B 细胞和典型霍奇金淋巴瘤。

IF 1.3 Q4 HEMATOLOGY
Journal of hematology Pub Date : 2024-10-01 Epub Date: 2024-10-21 DOI:10.14740/jh1303
Yuxin Bai, Samantha Bolger, Sahar Khan, Nikhil Sangle, Luojun Wang, Andrea L Cervi
{"title":"原发性难治性弥漫大 B 细胞和典型霍奇金淋巴瘤。","authors":"Yuxin Bai, Samantha Bolger, Sahar Khan, Nikhil Sangle, Luojun Wang, Andrea L Cervi","doi":"10.14740/jh1303","DOIUrl":null,"url":null,"abstract":"<p><p>Discordant lymphomas are defined as two or more distinct pathological lymphomas occurring in the same patient. Due to the rarity of discordant lymphomas, which is due in large part to the difficulty in establishing the diagnosis, the literature is limited to small case series and case reports. Consequently, guidelines on therapeutic strategies are lacking. This article presented a case of primary refractory discordant large B-cell lymphoma and classic Hodgkin lymphoma in a young man based on cervical node and mediastinal mass biopsy, respectively. This case illustrates the difficulty in establishing the diagnosis, which ultimately warranted a high index of clinical suspicion and pursuit of multiple sequential biopsies, as well as a novel treatment strategy using an immune checkpoint inhibitor.</p>","PeriodicalId":15964,"journal":{"name":"Journal of hematology","volume":"13 5","pages":"238-244"},"PeriodicalIF":1.3000,"publicationDate":"2024-10-01","publicationTypes":"Journal Article","fieldsOfStudy":null,"isOpenAccess":false,"openAccessPdf":"https://www.ncbi.nlm.nih.gov/pmc/articles/PMC11526587/pdf/","citationCount":"0","resultStr":"{\"title\":\"Primary Refractory Discordant Diffuse Large B-Cell and Classical Hodgkin Lymphoma.\",\"authors\":\"Yuxin Bai, Samantha Bolger, Sahar Khan, Nikhil Sangle, Luojun Wang, Andrea L Cervi\",\"doi\":\"10.14740/jh1303\",\"DOIUrl\":null,\"url\":null,\"abstract\":\"<p><p>Discordant lymphomas are defined as two or more distinct pathological lymphomas occurring in the same patient. Due to the rarity of discordant lymphomas, which is due in large part to the difficulty in establishing the diagnosis, the literature is limited to small case series and case reports. Consequently, guidelines on therapeutic strategies are lacking. This article presented a case of primary refractory discordant large B-cell lymphoma and classic Hodgkin lymphoma in a young man based on cervical node and mediastinal mass biopsy, respectively. This case illustrates the difficulty in establishing the diagnosis, which ultimately warranted a high index of clinical suspicion and pursuit of multiple sequential biopsies, as well as a novel treatment strategy using an immune checkpoint inhibitor.</p>\",\"PeriodicalId\":15964,\"journal\":{\"name\":\"Journal of hematology\",\"volume\":\"13 5\",\"pages\":\"238-244\"},\"PeriodicalIF\":1.3000,\"publicationDate\":\"2024-10-01\",\"publicationTypes\":\"Journal Article\",\"fieldsOfStudy\":null,\"isOpenAccess\":false,\"openAccessPdf\":\"https://www.ncbi.nlm.nih.gov/pmc/articles/PMC11526587/pdf/\",\"citationCount\":\"0\",\"resultStr\":null,\"platform\":\"Semanticscholar\",\"paperid\":null,\"PeriodicalName\":\"Journal of hematology\",\"FirstCategoryId\":\"1085\",\"ListUrlMain\":\"https://doi.org/10.14740/jh1303\",\"RegionNum\":0,\"RegionCategory\":null,\"ArticlePicture\":[],\"TitleCN\":null,\"AbstractTextCN\":null,\"PMCID\":null,\"EPubDate\":\"2024/10/21 0:00:00\",\"PubModel\":\"Epub\",\"JCR\":\"Q4\",\"JCRName\":\"HEMATOLOGY\",\"Score\":null,\"Total\":0}","platform":"Semanticscholar","paperid":null,"PeriodicalName":"Journal of hematology","FirstCategoryId":"1085","ListUrlMain":"https://doi.org/10.14740/jh1303","RegionNum":0,"RegionCategory":null,"ArticlePicture":[],"TitleCN":null,"AbstractTextCN":null,"PMCID":null,"EPubDate":"2024/10/21 0:00:00","PubModel":"Epub","JCR":"Q4","JCRName":"HEMATOLOGY","Score":null,"Total":0}
引用次数: 0

摘要

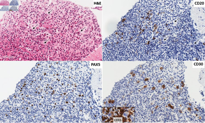
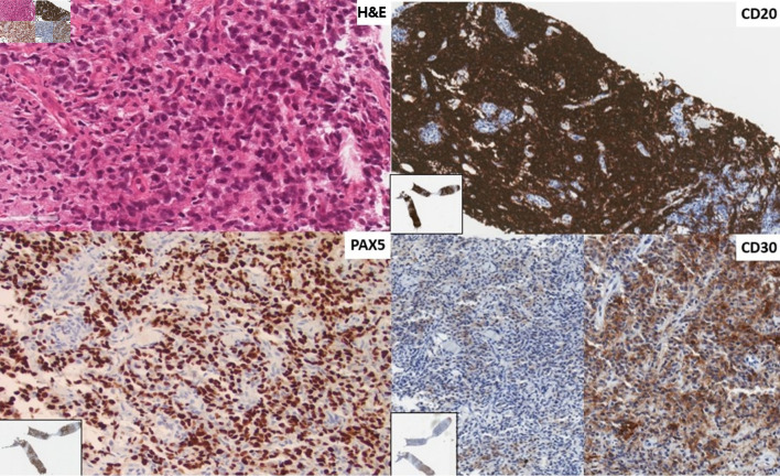
不协调淋巴瘤是指发生在同一患者身上的两种或两种以上不同病理类型的淋巴瘤。由于不协调淋巴瘤的罕见性(这在很大程度上是由于难以确定诊断),文献仅限于小型病例系列和病例报告。因此,缺乏治疗策略指南。本文介绍了一例年轻男性原发性难治性不协调大B细胞淋巴瘤和典型霍奇金淋巴瘤病例,分别以颈结节和纵隔肿块活检为依据。该病例说明了确诊的难度,最终需要临床高度怀疑、进行多次连续活检,以及使用免疫检查点抑制剂的新型治疗策略。
本文章由计算机程序翻译,如有差异,请以英文原文为准。

Primary Refractory Discordant Diffuse Large B-Cell and Classical Hodgkin Lymphoma.

Primary Refractory Discordant Diffuse Large B-Cell and Classical Hodgkin Lymphoma.

Primary Refractory Discordant Diffuse Large B-Cell and Classical Hodgkin Lymphoma.

Primary Refractory Discordant Diffuse Large B-Cell and Classical Hodgkin Lymphoma.

Discordant lymphomas are defined as two or more distinct pathological lymphomas occurring in the same patient. Due to the rarity of discordant lymphomas, which is due in large part to the difficulty in establishing the diagnosis, the literature is limited to small case series and case reports. Consequently, guidelines on therapeutic strategies are lacking. This article presented a case of primary refractory discordant large B-cell lymphoma and classic Hodgkin lymphoma in a young man based on cervical node and mediastinal mass biopsy, respectively. This case illustrates the difficulty in establishing the diagnosis, which ultimately warranted a high index of clinical suspicion and pursuit of multiple sequential biopsies, as well as a novel treatment strategy using an immune checkpoint inhibitor.

求助全文
通过发布文献求助,成功后即可免费获取论文全文。 去求助
来源期刊
Journal of hematology
Journal of hematology HEMATOLOGY-
自引率
0.00%
发文量
29
×
引用
GB/T 7714-2015
复制
MLA
复制
APA
复制
导出至
BibTeX EndNote RefMan NoteFirst NoteExpress
×
提示
您的信息不完整,为了账户安全,请先补充。
现在去补充
×
提示
您因"违规操作"
具体请查看互助需知
我知道了
×
提示
确定
请完成安全验证×
copy
已复制链接
快去分享给好友吧!
我知道了
右上角分享
点击右上角分享
0
联系我们:info@booksci.cn Book学术提供免费学术资源搜索服务,方便国内外学者检索中英文文献。致力于提供最便捷和优质的服务体验。 Copyright © 2023 布克学术 All rights reserved.
京ICP备2023020795号-1
ghs 京公网安备 11010802042870号
Book学术文献互助
Book学术文献互助群
群 号:604180095
Book学术官方微信