左侧支气管弯曲巾针儿童的罕见病例:病例报告与系统回顾和 Meta 分析。

IF 0.6 Q4 MEDICINE, RESEARCH & EXPERIMENTAL
Galen Medical Journal Pub Date : 2024-10-21 eCollection Date: 2024-01-01 DOI:10.31661/gmj.v13i.3597
Beril Kayrancioglu, Mustafa Azizoglu, Fatma Sarac
{"title":"左侧支气管弯曲巾针儿童的罕见病例:病例报告与系统回顾和 Meta 分析。","authors":"Beril Kayrancioglu, Mustafa Azizoglu, Fatma Sarac","doi":"10.31661/gmj.v13i.3597","DOIUrl":null,"url":null,"abstract":"<p><strong>Background: </strong>In this report, we present the case of a 19-month-old female diagnosed with hijab pin aspiration after a week of persistent coughing, along with a meta analysis and systematic review of the relevant literature.</p><p><strong>Materials and methods: </strong>A comprehensive search was conducted across multiple databases, including Ovid Medline, Cochrane, PubMed, Web of Science, and SCOPUS, yielding 182 records until August 2024. A total of 7 published study and our case included to final analysis. The complication, morbidity, and mortality analysis has been performed using Jamovi software v2.4 MAJOR proportion analysis section.</p><p><strong>Case description: </strong>A 19-month-old female was admitted to another hospital with a persistent cough complaint. In X-ray left hijab pin has been detected. The patient underwent a succesfull removal with rigid broncoscopy (RB). A total of 71 patients included this meta analysis. The thoracotomy rate was 8%. The bleeding rate was reported as 1.4%. The reoperation rate was reported as 9.8%. The postoperative intubation rate was reported as 1.4%. The calculated complication rate was found to be 5.6% based on the existing literature. The postoperative hemoptysis incidence was calculated as 0%. Mortality was not reported across any included studies. However, the mortality incidence was calculated as 0% based on included studies.</p><p><strong>Conclusion: </strong>Effective and timely intervention is crucial for managing pediatric hijab pin aspiration. Multidisciplinary approaches ensure successful outcomes and prevent serious complications.</p>","PeriodicalId":44017,"journal":{"name":"Galen Medical Journal","volume":"13 ","pages":"e3597"},"PeriodicalIF":0.6000,"publicationDate":"2024-10-21","publicationTypes":"Journal Article","fieldsOfStudy":null,"isOpenAccess":false,"openAccessPdf":"https://www.ncbi.nlm.nih.gov/pmc/articles/PMC11525103/pdf/","citationCount":"0","resultStr":"{\"title\":\"A Rare Case of a Child with Bended Scarf-Pin in Left Bronchus: Case Report with Systematic Review And Meta-Analysis.\",\"authors\":\"Beril Kayrancioglu, Mustafa Azizoglu, Fatma Sarac\",\"doi\":\"10.31661/gmj.v13i.3597\",\"DOIUrl\":null,\"url\":null,\"abstract\":\"<p><strong>Background: </strong>In this report, we present the case of a 19-month-old female diagnosed with hijab pin aspiration after a week of persistent coughing, along with a meta analysis and systematic review of the relevant literature.</p><p><strong>Materials and methods: </strong>A comprehensive search was conducted across multiple databases, including Ovid Medline, Cochrane, PubMed, Web of Science, and SCOPUS, yielding 182 records until August 2024. A total of 7 published study and our case included to final analysis. The complication, morbidity, and mortality analysis has been performed using Jamovi software v2.4 MAJOR proportion analysis section.</p><p><strong>Case description: </strong>A 19-month-old female was admitted to another hospital with a persistent cough complaint. In X-ray left hijab pin has been detected. The patient underwent a succesfull removal with rigid broncoscopy (RB). A total of 71 patients included this meta analysis. The thoracotomy rate was 8%. The bleeding rate was reported as 1.4%. The reoperation rate was reported as 9.8%. The postoperative intubation rate was reported as 1.4%. The calculated complication rate was found to be 5.6% based on the existing literature. The postoperative hemoptysis incidence was calculated as 0%. Mortality was not reported across any included studies. However, the mortality incidence was calculated as 0% based on included studies.</p><p><strong>Conclusion: </strong>Effective and timely intervention is crucial for managing pediatric hijab pin aspiration. Multidisciplinary approaches ensure successful outcomes and prevent serious complications.</p>\",\"PeriodicalId\":44017,\"journal\":{\"name\":\"Galen Medical Journal\",\"volume\":\"13 \",\"pages\":\"e3597\"},\"PeriodicalIF\":0.6000,\"publicationDate\":\"2024-10-21\",\"publicationTypes\":\"Journal Article\",\"fieldsOfStudy\":null,\"isOpenAccess\":false,\"openAccessPdf\":\"https://www.ncbi.nlm.nih.gov/pmc/articles/PMC11525103/pdf/\",\"citationCount\":\"0\",\"resultStr\":null,\"platform\":\"Semanticscholar\",\"paperid\":null,\"PeriodicalName\":\"Galen Medical Journal\",\"FirstCategoryId\":\"1085\",\"ListUrlMain\":\"https://doi.org/10.31661/gmj.v13i.3597\",\"RegionNum\":0,\"RegionCategory\":null,\"ArticlePicture\":[],\"TitleCN\":null,\"AbstractTextCN\":null,\"PMCID\":null,\"EPubDate\":\"2024/1/1 0:00:00\",\"PubModel\":\"eCollection\",\"JCR\":\"Q4\",\"JCRName\":\"MEDICINE, RESEARCH & EXPERIMENTAL\",\"Score\":null,\"Total\":0}","platform":"Semanticscholar","paperid":null,"PeriodicalName":"Galen Medical Journal","FirstCategoryId":"1085","ListUrlMain":"https://doi.org/10.31661/gmj.v13i.3597","RegionNum":0,"RegionCategory":null,"ArticlePicture":[],"TitleCN":null,"AbstractTextCN":null,"PMCID":null,"EPubDate":"2024/1/1 0:00:00","PubModel":"eCollection","JCR":"Q4","JCRName":"MEDICINE, RESEARCH & EXPERIMENTAL","Score":null,"Total":0}
引用次数: 0

摘要

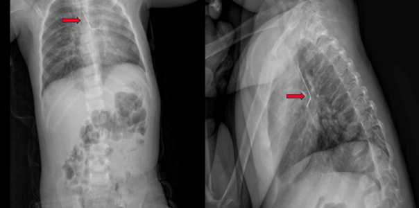
背景:在本报告中,我们介绍了一名 19 个月大的女性在持续咳嗽一周后被诊断为头巾针吸入的病例,并对相关文献进行了元分析和系统回顾:我们在多个数据库(包括 Ovid Medline、Cochrane、PubMed、Web of Science 和 SCOPUS)中进行了全面检索,截至 2024 年 8 月共检索到 182 条记录。共有 7 项已发表的研究和我们的病例被纳入最终分析。并发症、发病率和死亡率分析使用 Jamovi 软件 v2.4 MAJOR 比例分析部分进行:一名 19 个月大的女性因持续咳嗽入住另一家医院。在 X 光片中发现左侧头巾针。患者接受了硬质支气管镜检查(RB),并成功取出。共有 71 名患者参与了此次元分析。开胸率为 8%。出血率为 1.4%。据报告,再次手术率为 9.8%。术后插管率为 1.4%。根据现有文献,计算得出的并发症发生率为 5.6%。术后咯血发生率计算为 0%。所有纳入研究均未报告死亡率。然而,根据纳入的研究,计算出的死亡率为 0%:结论:有效和及时的干预对于处理小儿头巾针吸入至关重要。结论:有效和及时的干预对于处理小儿头巾针吸入至关重要,多学科方法可确保成功的结果并预防严重的并发症。
本文章由计算机程序翻译,如有差异,请以英文原文为准。

A Rare Case of a Child with Bended Scarf-Pin in Left Bronchus: Case Report with Systematic Review And Meta-Analysis.

A Rare Case of a Child with Bended Scarf-Pin in Left Bronchus: Case Report with Systematic Review And Meta-Analysis.

A Rare Case of a Child with Bended Scarf-Pin in Left Bronchus: Case Report with Systematic Review And Meta-Analysis.

A Rare Case of a Child with Bended Scarf-Pin in Left Bronchus: Case Report with Systematic Review And Meta-Analysis.

Background: In this report, we present the case of a 19-month-old female diagnosed with hijab pin aspiration after a week of persistent coughing, along with a meta analysis and systematic review of the relevant literature.

Materials and methods: A comprehensive search was conducted across multiple databases, including Ovid Medline, Cochrane, PubMed, Web of Science, and SCOPUS, yielding 182 records until August 2024. A total of 7 published study and our case included to final analysis. The complication, morbidity, and mortality analysis has been performed using Jamovi software v2.4 MAJOR proportion analysis section.

Case description: A 19-month-old female was admitted to another hospital with a persistent cough complaint. In X-ray left hijab pin has been detected. The patient underwent a succesfull removal with rigid broncoscopy (RB). A total of 71 patients included this meta analysis. The thoracotomy rate was 8%. The bleeding rate was reported as 1.4%. The reoperation rate was reported as 9.8%. The postoperative intubation rate was reported as 1.4%. The calculated complication rate was found to be 5.6% based on the existing literature. The postoperative hemoptysis incidence was calculated as 0%. Mortality was not reported across any included studies. However, the mortality incidence was calculated as 0% based on included studies.

Conclusion: Effective and timely intervention is crucial for managing pediatric hijab pin aspiration. Multidisciplinary approaches ensure successful outcomes and prevent serious complications.

求助全文
通过发布文献求助,成功后即可免费获取论文全文。 去求助
来源期刊
Galen Medical Journal
Galen Medical Journal MEDICINE, RESEARCH & EXPERIMENTAL-
自引率
0.00%
发文量
13
期刊介绍: GMJ is open access, peer-reviewed journal in English and supported by Noncommunicable Diseases (NCD) Research Center of Fasa University of Medical Sciences that publishing by Salvia Medical Sciences Ltd. GMJ will consider all types of the following scientific papers for publication: - Editorial’s choice - Original Researches - Review articles - Case reports - Case series - Letter (to editors, to authors, etc) - Short communications - Medical Idea
×
引用
GB/T 7714-2015
复制
MLA
复制
APA
复制
导出至
BibTeX EndNote RefMan NoteFirst NoteExpress
×
提示
您的信息不完整,为了账户安全,请先补充。
现在去补充
×
提示
您因"违规操作"
具体请查看互助需知
我知道了
×
提示
确定
请完成安全验证×
copy
已复制链接
快去分享给好友吧!
我知道了
右上角分享
点击右上角分享
0
联系我们:info@booksci.cn Book学术提供免费学术资源搜索服务,方便国内外学者检索中英文文献。致力于提供最便捷和优质的服务体验。 Copyright © 2023 布克学术 All rights reserved.
京ICP备2023020795号-1
ghs 京公网安备 11010802042870号
Book学术文献互助
Book学术文献互助群
群 号:604180095
Book学术官方微信