Broviac 导管引起的主动脉瓣感染性心内膜炎并发大面积主动脉瓣反流,需要紧急手术:病例报告。

IF 0.8 Q4 INFECTIOUS DISEASES
Case Reports in Infectious Diseases Pub Date : 2024-10-24 eCollection Date: 2024-01-01 DOI:10.1155/2024/1093820
Małgorzata Wilawer, Waldemar Elikowski, Natalia Fertała, Arkadiusz Włodarski, Patryk Szczęśniewski, Paulina Anna Ratajska, Paweł Bugajski
{"title":"Broviac 导管引起的主动脉瓣感染性心内膜炎并发大面积主动脉瓣反流,需要紧急手术:病例报告。","authors":"Małgorzata Wilawer, Waldemar Elikowski, Natalia Fertała, Arkadiusz Włodarski, Patryk Szczęśniewski, Paulina Anna Ratajska, Paweł Bugajski","doi":"10.1155/2024/1093820","DOIUrl":null,"url":null,"abstract":"<p><p><b>Introduction:</b> Broviac catheter is a type of central venous catheter (CVC) used for long-term parenteral nutrition in specific patients, e.g., diagnosed with intestinal failure as short bowel syndrome (SBS). The way of the catheter insertion is conceived to minimalize the risk of infections. However, CVC-related blood stream infections (CVC-BSIs), including infective endocarditis (IE), remain most important complications associated with Broviac catheter. <i>Staphylococcus epidermidis</i> stands out as a prevalent pathogen. The increasing number of CVCs results in an increased incidence of healthcare-associated IE. Complete parenteral treatment is an independent risk that increases the likelihood of IE. Treatment of IE is mainly based on antibiotic therapy, but in certain cases, surgical treatment is needed. <b>Presentation of Case:</b> A 71-year-old female with SBS who had been receiving total parenteral nutrition through the Broviac catheter for several months was admitted in a serious condition with significant weakness, increasing shortness of breath, deteriorating cough, fever, low blood pressure, and heart palpitations. Echocardiography revealed severe aortic valve IE with a large, longitudinal, highly mobile vegetation (up to 40 mm) and massive aortic regurgitation with pulmonary edema. Fast pathogen detection in the patients' blood (<i>S. epidermidis</i>) was obtained using PCR-based multiplex test. Due to life-threatening conditions, emergency surgery with aortic valve replacement was performed. Consistent rehabilitation resulted in good condition achievement. Follow-up echocardiography showed normal function of the aortic valve bioprosthesis. <b>Conclusion:</b> The use of CVC, including Broviac catheter, is associated with an increased risk of infections, including IE. Treatment-resistant severe HF complicating IE requires emergency surgery.</p>","PeriodicalId":9608,"journal":{"name":"Case Reports in Infectious Diseases","volume":"2024 ","pages":"1093820"},"PeriodicalIF":0.8000,"publicationDate":"2024-10-24","publicationTypes":"Journal Article","fieldsOfStudy":null,"isOpenAccess":false,"openAccessPdf":"https://www.ncbi.nlm.nih.gov/pmc/articles/PMC11527529/pdf/","citationCount":"0","resultStr":"{\"title\":\"Broviac Catheter-Related Aortic Valve Infective Endocarditis Complicated With Massive Aortic Regurgitation Requiring Emergency Surgery: A Case Report.\",\"authors\":\"Małgorzata Wilawer, Waldemar Elikowski, Natalia Fertała, Arkadiusz Włodarski, Patryk Szczęśniewski, Paulina Anna Ratajska, Paweł Bugajski\",\"doi\":\"10.1155/2024/1093820\",\"DOIUrl\":null,\"url\":null,\"abstract\":\"<p><p><b>Introduction:</b> Broviac catheter is a type of central venous catheter (CVC) used for long-term parenteral nutrition in specific patients, e.g., diagnosed with intestinal failure as short bowel syndrome (SBS). The way of the catheter insertion is conceived to minimalize the risk of infections. However, CVC-related blood stream infections (CVC-BSIs), including infective endocarditis (IE), remain most important complications associated with Broviac catheter. <i>Staphylococcus epidermidis</i> stands out as a prevalent pathogen. The increasing number of CVCs results in an increased incidence of healthcare-associated IE. Complete parenteral treatment is an independent risk that increases the likelihood of IE. Treatment of IE is mainly based on antibiotic therapy, but in certain cases, surgical treatment is needed. <b>Presentation of Case:</b> A 71-year-old female with SBS who had been receiving total parenteral nutrition through the Broviac catheter for several months was admitted in a serious condition with significant weakness, increasing shortness of breath, deteriorating cough, fever, low blood pressure, and heart palpitations. Echocardiography revealed severe aortic valve IE with a large, longitudinal, highly mobile vegetation (up to 40 mm) and massive aortic regurgitation with pulmonary edema. Fast pathogen detection in the patients' blood (<i>S. epidermidis</i>) was obtained using PCR-based multiplex test. Due to life-threatening conditions, emergency surgery with aortic valve replacement was performed. Consistent rehabilitation resulted in good condition achievement. Follow-up echocardiography showed normal function of the aortic valve bioprosthesis. <b>Conclusion:</b> The use of CVC, including Broviac catheter, is associated with an increased risk of infections, including IE. Treatment-resistant severe HF complicating IE requires emergency surgery.</p>\",\"PeriodicalId\":9608,\"journal\":{\"name\":\"Case Reports in Infectious Diseases\",\"volume\":\"2024 \",\"pages\":\"1093820\"},\"PeriodicalIF\":0.8000,\"publicationDate\":\"2024-10-24\",\"publicationTypes\":\"Journal Article\",\"fieldsOfStudy\":null,\"isOpenAccess\":false,\"openAccessPdf\":\"https://www.ncbi.nlm.nih.gov/pmc/articles/PMC11527529/pdf/\",\"citationCount\":\"0\",\"resultStr\":null,\"platform\":\"Semanticscholar\",\"paperid\":null,\"PeriodicalName\":\"Case Reports in Infectious Diseases\",\"FirstCategoryId\":\"1085\",\"ListUrlMain\":\"https://doi.org/10.1155/2024/1093820\",\"RegionNum\":0,\"RegionCategory\":null,\"ArticlePicture\":[],\"TitleCN\":null,\"AbstractTextCN\":null,\"PMCID\":null,\"EPubDate\":\"2024/1/1 0:00:00\",\"PubModel\":\"eCollection\",\"JCR\":\"Q4\",\"JCRName\":\"INFECTIOUS DISEASES\",\"Score\":null,\"Total\":0}","platform":"Semanticscholar","paperid":null,"PeriodicalName":"Case Reports in Infectious Diseases","FirstCategoryId":"1085","ListUrlMain":"https://doi.org/10.1155/2024/1093820","RegionNum":0,"RegionCategory":null,"ArticlePicture":[],"TitleCN":null,"AbstractTextCN":null,"PMCID":null,"EPubDate":"2024/1/1 0:00:00","PubModel":"eCollection","JCR":"Q4","JCRName":"INFECTIOUS DISEASES","Score":null,"Total":0}
引用次数: 0

摘要

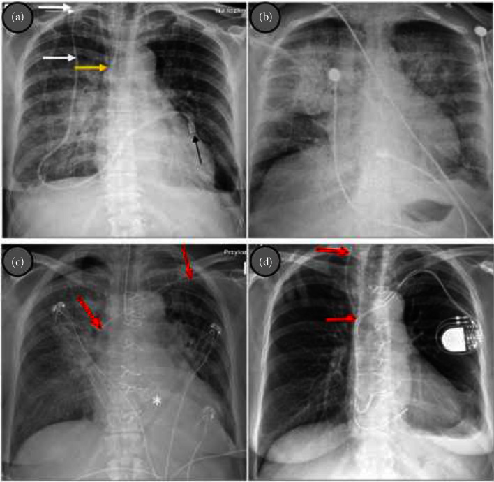
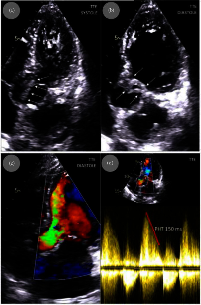
导言:Broviac 导管是一种中心静脉导管 (CVC),用于特定患者的长期肠外营养,如被诊断为肠功能衰竭的短肠综合征 (SBS)。导管插入的方式旨在将感染风险降至最低。然而,与 CVC 相关的血流感染(CVC-BSI),包括感染性心内膜炎(IE),仍然是与 Broviac 导管相关的最重要并发症。表皮葡萄球菌是最常见的病原体。CVC 数量的增加导致医疗相关 IE 的发病率上升。完全肠外治疗是增加 IE 发生几率的一个独立风险。IE 的治疗主要以抗生素治疗为主,但在某些情况下需要手术治疗。病例介绍:一名患有 SBS 的 71 岁女性患者,数月来一直通过 Broviac 导管接受全肠外营养,入院时病情严重,出现明显虚弱、气短加剧、咳嗽恶化、发热、低血压和心悸等症状。超声心动图显示,患者患有严重的主动脉瓣 IE,伴有巨大、纵向、高度移动的植被(长达 40 毫米)和大量主动脉瓣反流,并伴有肺水肿。通过基于 PCR 的多重检测,在患者血液中快速检测出病原体(表皮葡萄球菌)。由于病情危及生命,患者接受了主动脉瓣置换的紧急手术。经过坚持不懈的康复治疗,患者病情好转。随访超声心动图显示主动脉瓣生物假体功能正常。结论使用 CVC(包括 Broviac 导管)会增加感染(包括 IE)的风险。治疗耐药的严重心房颤动并发 IE 需要进行急诊手术。
本文章由计算机程序翻译,如有差异,请以英文原文为准。

Broviac Catheter-Related Aortic Valve Infective Endocarditis Complicated With Massive Aortic Regurgitation Requiring Emergency Surgery: A Case Report.

Broviac Catheter-Related Aortic Valve Infective Endocarditis Complicated With Massive Aortic Regurgitation Requiring Emergency Surgery: A Case Report.

Broviac Catheter-Related Aortic Valve Infective Endocarditis Complicated With Massive Aortic Regurgitation Requiring Emergency Surgery: A Case Report.

Broviac Catheter-Related Aortic Valve Infective Endocarditis Complicated With Massive Aortic Regurgitation Requiring Emergency Surgery: A Case Report.

Introduction: Broviac catheter is a type of central venous catheter (CVC) used for long-term parenteral nutrition in specific patients, e.g., diagnosed with intestinal failure as short bowel syndrome (SBS). The way of the catheter insertion is conceived to minimalize the risk of infections. However, CVC-related blood stream infections (CVC-BSIs), including infective endocarditis (IE), remain most important complications associated with Broviac catheter. Staphylococcus epidermidis stands out as a prevalent pathogen. The increasing number of CVCs results in an increased incidence of healthcare-associated IE. Complete parenteral treatment is an independent risk that increases the likelihood of IE. Treatment of IE is mainly based on antibiotic therapy, but in certain cases, surgical treatment is needed. Presentation of Case: A 71-year-old female with SBS who had been receiving total parenteral nutrition through the Broviac catheter for several months was admitted in a serious condition with significant weakness, increasing shortness of breath, deteriorating cough, fever, low blood pressure, and heart palpitations. Echocardiography revealed severe aortic valve IE with a large, longitudinal, highly mobile vegetation (up to 40 mm) and massive aortic regurgitation with pulmonary edema. Fast pathogen detection in the patients' blood (S. epidermidis) was obtained using PCR-based multiplex test. Due to life-threatening conditions, emergency surgery with aortic valve replacement was performed. Consistent rehabilitation resulted in good condition achievement. Follow-up echocardiography showed normal function of the aortic valve bioprosthesis. Conclusion: The use of CVC, including Broviac catheter, is associated with an increased risk of infections, including IE. Treatment-resistant severe HF complicating IE requires emergency surgery.

求助全文
通过发布文献求助,成功后即可免费获取论文全文。 去求助
来源期刊
自引率
0.00%
发文量
64
审稿时长
13 weeks
×
引用
GB/T 7714-2015
复制
MLA
复制
APA
复制
导出至
BibTeX EndNote RefMan NoteFirst NoteExpress
×
提示
您的信息不完整,为了账户安全,请先补充。
现在去补充
×
提示
您因"违规操作"
具体请查看互助需知
我知道了
×
提示
确定
请完成安全验证×
copy
已复制链接
快去分享给好友吧!
我知道了
右上角分享
点击右上角分享
0
联系我们:info@booksci.cn Book学术提供免费学术资源搜索服务,方便国内外学者检索中英文文献。致力于提供最便捷和优质的服务体验。 Copyright © 2023 布克学术 All rights reserved.
京ICP备2023020795号-1
ghs 京公网安备 11010802042870号
Book学术文献互助
Book学术文献互助群
群 号:604180095
Book学术官方微信