伴有片状扩散的直肠腺癌:一种新的实体。

IF 0.5 Q4 GASTROENTEROLOGY & HEPATOLOGY
Case Reports in Gastrointestinal Medicine Pub Date : 2024-10-21 eCollection Date: 2024-01-01 DOI:10.1155/2024/4952952
Lefika Bathobakae, Pasha Shenasan, Aakash Trivedi, Ruhin Yuridullah, Sohail Qayyum, Abraham El-Sedfy
{"title":"伴有片状扩散的直肠腺癌:一种新的实体。","authors":"Lefika Bathobakae, Pasha Shenasan, Aakash Trivedi, Ruhin Yuridullah, Sohail Qayyum, Abraham El-Sedfy","doi":"10.1155/2024/4952952","DOIUrl":null,"url":null,"abstract":"<p><p>Perianal Paget's disease (PPD) is a rare skin adenocarcinoma that arises in the apocrine glands of the perianal region. It is often misdiagnosed as eczema, leukoplakia, squamous cell carcinoma, Bowen's disease, lichen planus, or condylomata acuminata. We report a case of a 63-year-old male who presented to the emergency room (ER) for evaluation of an anal mass that had persisted over 6 months. The patient was found to have a rectal adenocarcinoma with pagetoid spread and underwent neoadjuvant chemoradiation with symptom improvement. However, the patient declined further chemotherapy and the planned abdominal perineal resection with reconstruction, as it would require a permanent colostomy.</p>","PeriodicalId":45645,"journal":{"name":"Case Reports in Gastrointestinal Medicine","volume":"2024 ","pages":"4952952"},"PeriodicalIF":0.5000,"publicationDate":"2024-10-21","publicationTypes":"Journal Article","fieldsOfStudy":null,"isOpenAccess":false,"openAccessPdf":"https://www.ncbi.nlm.nih.gov/pmc/articles/PMC11519065/pdf/","citationCount":"0","resultStr":"{\"title\":\"Rectal Adenocarcinoma With Pagetoid Spread: A Novel Entity.\",\"authors\":\"Lefika Bathobakae, Pasha Shenasan, Aakash Trivedi, Ruhin Yuridullah, Sohail Qayyum, Abraham El-Sedfy\",\"doi\":\"10.1155/2024/4952952\",\"DOIUrl\":null,\"url\":null,\"abstract\":\"<p><p>Perianal Paget's disease (PPD) is a rare skin adenocarcinoma that arises in the apocrine glands of the perianal region. It is often misdiagnosed as eczema, leukoplakia, squamous cell carcinoma, Bowen's disease, lichen planus, or condylomata acuminata. We report a case of a 63-year-old male who presented to the emergency room (ER) for evaluation of an anal mass that had persisted over 6 months. The patient was found to have a rectal adenocarcinoma with pagetoid spread and underwent neoadjuvant chemoradiation with symptom improvement. However, the patient declined further chemotherapy and the planned abdominal perineal resection with reconstruction, as it would require a permanent colostomy.</p>\",\"PeriodicalId\":45645,\"journal\":{\"name\":\"Case Reports in Gastrointestinal Medicine\",\"volume\":\"2024 \",\"pages\":\"4952952\"},\"PeriodicalIF\":0.5000,\"publicationDate\":\"2024-10-21\",\"publicationTypes\":\"Journal Article\",\"fieldsOfStudy\":null,\"isOpenAccess\":false,\"openAccessPdf\":\"https://www.ncbi.nlm.nih.gov/pmc/articles/PMC11519065/pdf/\",\"citationCount\":\"0\",\"resultStr\":null,\"platform\":\"Semanticscholar\",\"paperid\":null,\"PeriodicalName\":\"Case Reports in Gastrointestinal Medicine\",\"FirstCategoryId\":\"1085\",\"ListUrlMain\":\"https://doi.org/10.1155/2024/4952952\",\"RegionNum\":0,\"RegionCategory\":null,\"ArticlePicture\":[],\"TitleCN\":null,\"AbstractTextCN\":null,\"PMCID\":null,\"EPubDate\":\"2024/1/1 0:00:00\",\"PubModel\":\"eCollection\",\"JCR\":\"Q4\",\"JCRName\":\"GASTROENTEROLOGY & HEPATOLOGY\",\"Score\":null,\"Total\":0}","platform":"Semanticscholar","paperid":null,"PeriodicalName":"Case Reports in Gastrointestinal Medicine","FirstCategoryId":"1085","ListUrlMain":"https://doi.org/10.1155/2024/4952952","RegionNum":0,"RegionCategory":null,"ArticlePicture":[],"TitleCN":null,"AbstractTextCN":null,"PMCID":null,"EPubDate":"2024/1/1 0:00:00","PubModel":"eCollection","JCR":"Q4","JCRName":"GASTROENTEROLOGY & HEPATOLOGY","Score":null,"Total":0}
引用次数: 0

摘要

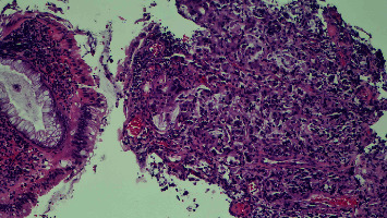
肛周帕吉特氏病(PPD)是一种罕见的皮肤腺癌,发生于肛周的分泌腺。它常被误诊为湿疹、白斑病、鳞状细胞癌、鲍温氏病、扁平苔藓或尖锐湿疣。我们报告了一例 63 岁男性患者的病例,他因肛门肿块持续 6 个月之久到急诊室就诊。经检查发现,患者患有直肠腺癌,并伴有腺样体扩散,患者接受了新辅助化疗,症状有所改善。然而,患者拒绝接受进一步化疗和腹部会阴部切除与重建计划,因为这需要永久性结肠造口。
本文章由计算机程序翻译,如有差异,请以英文原文为准。

Rectal Adenocarcinoma With Pagetoid Spread: A Novel Entity.

Rectal Adenocarcinoma With Pagetoid Spread: A Novel Entity.

Rectal Adenocarcinoma With Pagetoid Spread: A Novel Entity.

Rectal Adenocarcinoma With Pagetoid Spread: A Novel Entity.

Perianal Paget's disease (PPD) is a rare skin adenocarcinoma that arises in the apocrine glands of the perianal region. It is often misdiagnosed as eczema, leukoplakia, squamous cell carcinoma, Bowen's disease, lichen planus, or condylomata acuminata. We report a case of a 63-year-old male who presented to the emergency room (ER) for evaluation of an anal mass that had persisted over 6 months. The patient was found to have a rectal adenocarcinoma with pagetoid spread and underwent neoadjuvant chemoradiation with symptom improvement. However, the patient declined further chemotherapy and the planned abdominal perineal resection with reconstruction, as it would require a permanent colostomy.

求助全文
通过发布文献求助,成功后即可免费获取论文全文。 去求助
来源期刊
Case Reports in Gastrointestinal Medicine
Case Reports in Gastrointestinal Medicine GASTROENTEROLOGY & HEPATOLOGY-
自引率
0.00%
发文量
33
审稿时长
14 weeks
×
引用
GB/T 7714-2015
复制
MLA
复制
APA
复制
导出至
BibTeX EndNote RefMan NoteFirst NoteExpress
×
提示
您的信息不完整,为了账户安全,请先补充。
现在去补充
×
提示
您因"违规操作"
具体请查看互助需知
我知道了
×
提示
确定
请完成安全验证×
copy
已复制链接
快去分享给好友吧!
我知道了
右上角分享
点击右上角分享
0
联系我们:info@booksci.cn Book学术提供免费学术资源搜索服务,方便国内外学者检索中英文文献。致力于提供最便捷和优质的服务体验。 Copyright © 2023 布克学术 All rights reserved.
京ICP备2023020795号-1
ghs 京公网安备 11010802042870号
Book学术文献互助
Book学术文献互助群
群 号:604180095
Book学术官方微信