使用 Biodentine 和 MTA 对牙髓坏死和根尖牙周炎的成熟牙齿进行再生治疗:随机对照临床试验。

IF 2 Q3 DENTISTRY, ORAL SURGERY & MEDICINE
European Endodontic Journal Pub Date : 2024-12-20 Epub Date: 2024-10-30 DOI:10.14744/eej.2024.30075
Amatallah Hussein Al-Rawhani, Salsabyl Mohamed Ibrahim, Fatma M Abu Naeem
{"title":"使用 Biodentine 和 MTA 对牙髓坏死和根尖牙周炎的成熟牙齿进行再生治疗:随机对照临床试验。","authors":"Amatallah Hussein Al-Rawhani, Salsabyl Mohamed Ibrahim, Fatma M Abu Naeem","doi":"10.14744/eej.2024.30075","DOIUrl":null,"url":null,"abstract":"<p><strong>Objective: </strong>The purpose of this randomized, controlled study was to evaluate the effectiveness of Biodentine compared with MTA used as a pulp space barrier in healing periapical lesions and regaining pulp sensitivity after regenerative treatment in mature single-canal permanent teeth with pulp necrosis and apical periodontitis.</p><p><strong>Methods: </strong>The study involved 36 patients with mature teeth with necrotic pulp and apical periodontitis. The patient underwent a regenerative treatment that utilized the blood clot technique. Teeth were randomly allocated to either the intervention, Biodentine, group (n=18) or the control, MTA, group (n=18). The healing of periapical lesions and tooth sensibility were evaluated throughout follow-up visits for up to 18 months.</p><p><strong>Results: </strong>The study analyzed 31 patients; two patients within the biodentine group and three in the MTA group were lost to follow-up. After 18 months, both groups showed effective healing of periradicular lesions; 21 out of 31 patients (67.7%) were healed, ten patients (32.3%) were healing, and no failure cases occurred. There were no significant differences between the groups (p=1.00). More than 70% (22 out of 31 patients) regained their sensibility in their teeth, and the groups had no statistically significant difference (p=0.703).</p><p><strong>Conclusion: </strong>Regenerative treatment using blood clots with either MTA or Biodentine effectively resolved periapical lesions and regained the sensibility of mature teeth.</p>","PeriodicalId":11860,"journal":{"name":"European Endodontic Journal","volume":" ","pages":"365-373"},"PeriodicalIF":2.0000,"publicationDate":"2024-12-20","publicationTypes":"Journal Article","fieldsOfStudy":null,"isOpenAccess":false,"openAccessPdf":"https://www.ncbi.nlm.nih.gov/pmc/articles/PMC11685513/pdf/","citationCount":"0","resultStr":"{\"title\":\"Regenerative Treatment of Mature Teeth with Pulp Necrosis and Apical Periodontitis Using Biodentine Compared with MTA: Randomized Controlled Clinical Trial.\",\"authors\":\"Amatallah Hussein Al-Rawhani, Salsabyl Mohamed Ibrahim, Fatma M Abu Naeem\",\"doi\":\"10.14744/eej.2024.30075\",\"DOIUrl\":null,\"url\":null,\"abstract\":\"<p><strong>Objective: </strong>The purpose of this randomized, controlled study was to evaluate the effectiveness of Biodentine compared with MTA used as a pulp space barrier in healing periapical lesions and regaining pulp sensitivity after regenerative treatment in mature single-canal permanent teeth with pulp necrosis and apical periodontitis.</p><p><strong>Methods: </strong>The study involved 36 patients with mature teeth with necrotic pulp and apical periodontitis. The patient underwent a regenerative treatment that utilized the blood clot technique. Teeth were randomly allocated to either the intervention, Biodentine, group (n=18) or the control, MTA, group (n=18). The healing of periapical lesions and tooth sensibility were evaluated throughout follow-up visits for up to 18 months.</p><p><strong>Results: </strong>The study analyzed 31 patients; two patients within the biodentine group and three in the MTA group were lost to follow-up. After 18 months, both groups showed effective healing of periradicular lesions; 21 out of 31 patients (67.7%) were healed, ten patients (32.3%) were healing, and no failure cases occurred. There were no significant differences between the groups (p=1.00). More than 70% (22 out of 31 patients) regained their sensibility in their teeth, and the groups had no statistically significant difference (p=0.703).</p><p><strong>Conclusion: </strong>Regenerative treatment using blood clots with either MTA or Biodentine effectively resolved periapical lesions and regained the sensibility of mature teeth.</p>\",\"PeriodicalId\":11860,\"journal\":{\"name\":\"European Endodontic Journal\",\"volume\":\" \",\"pages\":\"365-373\"},\"PeriodicalIF\":2.0000,\"publicationDate\":\"2024-12-20\",\"publicationTypes\":\"Journal Article\",\"fieldsOfStudy\":null,\"isOpenAccess\":false,\"openAccessPdf\":\"https://www.ncbi.nlm.nih.gov/pmc/articles/PMC11685513/pdf/\",\"citationCount\":\"0\",\"resultStr\":null,\"platform\":\"Semanticscholar\",\"paperid\":null,\"PeriodicalName\":\"European Endodontic Journal\",\"FirstCategoryId\":\"1085\",\"ListUrlMain\":\"https://doi.org/10.14744/eej.2024.30075\",\"RegionNum\":0,\"RegionCategory\":null,\"ArticlePicture\":[],\"TitleCN\":null,\"AbstractTextCN\":null,\"PMCID\":null,\"EPubDate\":\"2024/10/30 0:00:00\",\"PubModel\":\"Epub\",\"JCR\":\"Q3\",\"JCRName\":\"DENTISTRY, ORAL SURGERY & MEDICINE\",\"Score\":null,\"Total\":0}","platform":"Semanticscholar","paperid":null,"PeriodicalName":"European Endodontic Journal","FirstCategoryId":"1085","ListUrlMain":"https://doi.org/10.14744/eej.2024.30075","RegionNum":0,"RegionCategory":null,"ArticlePicture":[],"TitleCN":null,"AbstractTextCN":null,"PMCID":null,"EPubDate":"2024/10/30 0:00:00","PubModel":"Epub","JCR":"Q3","JCRName":"DENTISTRY, ORAL SURGERY & MEDICINE","Score":null,"Total":0}
引用次数: 0

摘要

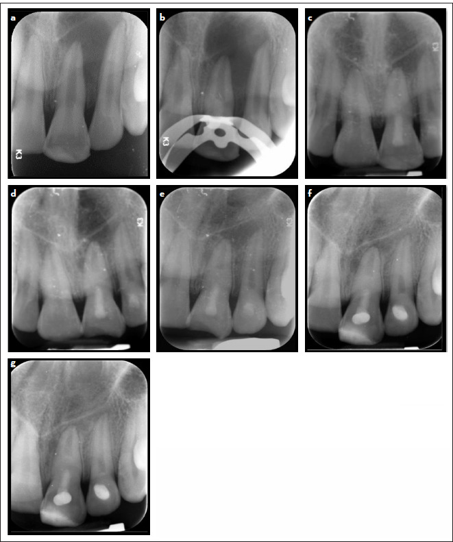
研究目的本随机对照研究旨在评估 Biodentine 与 MTA 相比,在牙髓坏死和根尖牙周炎的成熟单冠恒牙再生治疗后,Biodentine 作为牙髓间隙屏障在愈合根尖周病变和恢复牙髓敏感性方面的有效性:研究涉及 36 名患有牙髓坏死和根尖牙周炎的成熟牙齿患者。患者接受了利用血凝块技术的再生治疗。牙齿被随机分配到干预组(Biodentine)(18 个)或对照组(MTA)(18 个)。在长达 18 个月的随访中,对根尖周病变的愈合情况和牙齿的敏感性进行评估:研究分析了 31 名患者,其中生物素组和 MTA 组分别有两名和三名患者失去了随访机会。18 个月后,两组患者的根周病变均有效愈合;31 例患者中有 21 例(67.7%)愈合,10 例(32.3%)愈合,无失败病例。两组之间无明显差异(P=1.00)。超过 70% 的患者(31 位患者中的 22 位)恢复了牙齿的敏感性,各组间无统计学差异(P=0.703):结论:使用 MTA 或 Biodentine 血凝块进行再生治疗可有效解决根尖周病变,并恢复成熟牙齿的敏感性。
本文章由计算机程序翻译,如有差异,请以英文原文为准。

Regenerative Treatment of Mature Teeth with Pulp Necrosis and Apical Periodontitis Using Biodentine Compared with MTA: Randomized Controlled Clinical Trial.

Regenerative Treatment of Mature Teeth with Pulp Necrosis and Apical Periodontitis Using Biodentine Compared with MTA: Randomized Controlled Clinical Trial.

Regenerative Treatment of Mature Teeth with Pulp Necrosis and Apical Periodontitis Using Biodentine Compared with MTA: Randomized Controlled Clinical Trial.

Regenerative Treatment of Mature Teeth with Pulp Necrosis and Apical Periodontitis Using Biodentine Compared with MTA: Randomized Controlled Clinical Trial.

Objective: The purpose of this randomized, controlled study was to evaluate the effectiveness of Biodentine compared with MTA used as a pulp space barrier in healing periapical lesions and regaining pulp sensitivity after regenerative treatment in mature single-canal permanent teeth with pulp necrosis and apical periodontitis.

Methods: The study involved 36 patients with mature teeth with necrotic pulp and apical periodontitis. The patient underwent a regenerative treatment that utilized the blood clot technique. Teeth were randomly allocated to either the intervention, Biodentine, group (n=18) or the control, MTA, group (n=18). The healing of periapical lesions and tooth sensibility were evaluated throughout follow-up visits for up to 18 months.

Results: The study analyzed 31 patients; two patients within the biodentine group and three in the MTA group were lost to follow-up. After 18 months, both groups showed effective healing of periradicular lesions; 21 out of 31 patients (67.7%) were healed, ten patients (32.3%) were healing, and no failure cases occurred. There were no significant differences between the groups (p=1.00). More than 70% (22 out of 31 patients) regained their sensibility in their teeth, and the groups had no statistically significant difference (p=0.703).

Conclusion: Regenerative treatment using blood clots with either MTA or Biodentine effectively resolved periapical lesions and regained the sensibility of mature teeth.

求助全文
通过发布文献求助,成功后即可免费获取论文全文。 去求助
来源期刊
European Endodontic Journal
European Endodontic Journal DENTISTRY, ORAL SURGERY & MEDICINE-
CiteScore
3.40
自引率
5.60%
发文量
25
×
引用
GB/T 7714-2015
复制
MLA
复制
APA
复制
导出至
BibTeX EndNote RefMan NoteFirst NoteExpress
×
提示
您的信息不完整,为了账户安全,请先补充。
现在去补充
×
提示
您因"违规操作"
具体请查看互助需知
我知道了
×
提示
确定
请完成安全验证×
copy
已复制链接
快去分享给好友吧!
我知道了
右上角分享
点击右上角分享
0
联系我们:info@booksci.cn Book学术提供免费学术资源搜索服务,方便国内外学者检索中英文文献。致力于提供最便捷和优质的服务体验。 Copyright © 2023 布克学术 All rights reserved.
京ICP备2023020795号-1
ghs 京公网安备 11010802042870号
Book学术文献互助
Book学术文献互助群
群 号:604180095
Book学术官方微信