伪装成急性上消化道出血的肾细胞癌

IF 0.7 Q3 MEDICINE, GENERAL & INTERNAL
Case Reports in Medicine Pub Date : 2024-10-21 eCollection Date: 2024-01-01 DOI:10.1155/2024/7122744
Aadesh Rayamajhi, Saurav Agrawal, Sandesh Rayamajhi, Manoj Lamsal, Dinesh Koirala
{"title":"伪装成急性上消化道出血的肾细胞癌","authors":"Aadesh Rayamajhi, Saurav Agrawal, Sandesh Rayamajhi, Manoj Lamsal, Dinesh Koirala","doi":"10.1155/2024/7122744","DOIUrl":null,"url":null,"abstract":"<p><p>Acute upper gastrointestinal bleeding (UGIB) is a medical emergency with most common cause being peptic ulcer disease (PUD) or variceal bleeding. However, cancers that cause UGIB by invading the small intestine are uncommon, and the invasion of renal cell carcinoma (RCC) into the duodenum is an even rarer occurrence. A 55-year-old male presented with melena and right flank pain. Esophagogastroduodenoscopy (EGD) revealed an active bleeding source in the duodenum, later identified on contrast-enhanced computed tomography (CECT) as a duodenorenal fistula (DRF) caused by direct extension of the RCC. The imaging confirmed the presence of a malignant renal mass infiltrating adjacent organs. This atypical presentation of RCC with DRF manifesting as UGIB underscores the importance of comprehensive evaluations in cases of gastrointestinal bleeding to identify rare underlying causes.</p>","PeriodicalId":9627,"journal":{"name":"Case Reports in Medicine","volume":"2024 ","pages":"7122744"},"PeriodicalIF":0.7000,"publicationDate":"2024-10-21","publicationTypes":"Journal Article","fieldsOfStudy":null,"isOpenAccess":false,"openAccessPdf":"https://www.ncbi.nlm.nih.gov/pmc/articles/PMC11519071/pdf/","citationCount":"0","resultStr":"{\"title\":\"Renal Cell Carcinoma Masquerading as Acute Upper Gastrointestinal Bleeding.\",\"authors\":\"Aadesh Rayamajhi, Saurav Agrawal, Sandesh Rayamajhi, Manoj Lamsal, Dinesh Koirala\",\"doi\":\"10.1155/2024/7122744\",\"DOIUrl\":null,\"url\":null,\"abstract\":\"<p><p>Acute upper gastrointestinal bleeding (UGIB) is a medical emergency with most common cause being peptic ulcer disease (PUD) or variceal bleeding. However, cancers that cause UGIB by invading the small intestine are uncommon, and the invasion of renal cell carcinoma (RCC) into the duodenum is an even rarer occurrence. A 55-year-old male presented with melena and right flank pain. Esophagogastroduodenoscopy (EGD) revealed an active bleeding source in the duodenum, later identified on contrast-enhanced computed tomography (CECT) as a duodenorenal fistula (DRF) caused by direct extension of the RCC. The imaging confirmed the presence of a malignant renal mass infiltrating adjacent organs. This atypical presentation of RCC with DRF manifesting as UGIB underscores the importance of comprehensive evaluations in cases of gastrointestinal bleeding to identify rare underlying causes.</p>\",\"PeriodicalId\":9627,\"journal\":{\"name\":\"Case Reports in Medicine\",\"volume\":\"2024 \",\"pages\":\"7122744\"},\"PeriodicalIF\":0.7000,\"publicationDate\":\"2024-10-21\",\"publicationTypes\":\"Journal Article\",\"fieldsOfStudy\":null,\"isOpenAccess\":false,\"openAccessPdf\":\"https://www.ncbi.nlm.nih.gov/pmc/articles/PMC11519071/pdf/\",\"citationCount\":\"0\",\"resultStr\":null,\"platform\":\"Semanticscholar\",\"paperid\":null,\"PeriodicalName\":\"Case Reports in Medicine\",\"FirstCategoryId\":\"1085\",\"ListUrlMain\":\"https://doi.org/10.1155/2024/7122744\",\"RegionNum\":0,\"RegionCategory\":null,\"ArticlePicture\":[],\"TitleCN\":null,\"AbstractTextCN\":null,\"PMCID\":null,\"EPubDate\":\"2024/1/1 0:00:00\",\"PubModel\":\"eCollection\",\"JCR\":\"Q3\",\"JCRName\":\"MEDICINE, GENERAL & INTERNAL\",\"Score\":null,\"Total\":0}","platform":"Semanticscholar","paperid":null,"PeriodicalName":"Case Reports in Medicine","FirstCategoryId":"1085","ListUrlMain":"https://doi.org/10.1155/2024/7122744","RegionNum":0,"RegionCategory":null,"ArticlePicture":[],"TitleCN":null,"AbstractTextCN":null,"PMCID":null,"EPubDate":"2024/1/1 0:00:00","PubModel":"eCollection","JCR":"Q3","JCRName":"MEDICINE, GENERAL & INTERNAL","Score":null,"Total":0}
引用次数: 0

摘要

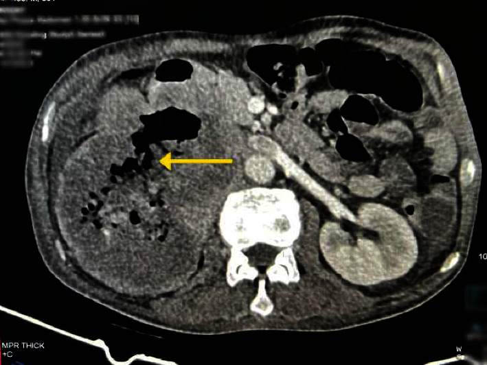
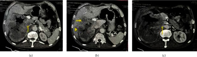
急性上消化道出血(UGIB)是一种医疗急症,最常见的病因是消化性溃疡病(PUD)或静脉曲张出血。然而,通过侵犯小肠引起 UGIB 的癌症并不常见,而肾细胞癌(RCC)侵犯十二指肠的情况更是罕见。一名 55 岁的男性患者出现血便和右侧腹痛。食管胃十二指肠镜检查(EGD)发现十二指肠内有活动性出血源,后经造影剂增强计算机断层扫描(CECT)确定为 RCC 直接延伸引起的十二指肠瘘(DRF)。影像学检查证实存在浸润邻近器官的恶性肾肿块。这种RCC伴有DRF并表现为UGIB的非典型表现强调了对消化道出血病例进行全面评估以确定罕见潜在病因的重要性。
本文章由计算机程序翻译,如有差异,请以英文原文为准。

Renal Cell Carcinoma Masquerading as Acute Upper Gastrointestinal Bleeding.

Renal Cell Carcinoma Masquerading as Acute Upper Gastrointestinal Bleeding.

Renal Cell Carcinoma Masquerading as Acute Upper Gastrointestinal Bleeding.

Renal Cell Carcinoma Masquerading as Acute Upper Gastrointestinal Bleeding.

Acute upper gastrointestinal bleeding (UGIB) is a medical emergency with most common cause being peptic ulcer disease (PUD) or variceal bleeding. However, cancers that cause UGIB by invading the small intestine are uncommon, and the invasion of renal cell carcinoma (RCC) into the duodenum is an even rarer occurrence. A 55-year-old male presented with melena and right flank pain. Esophagogastroduodenoscopy (EGD) revealed an active bleeding source in the duodenum, later identified on contrast-enhanced computed tomography (CECT) as a duodenorenal fistula (DRF) caused by direct extension of the RCC. The imaging confirmed the presence of a malignant renal mass infiltrating adjacent organs. This atypical presentation of RCC with DRF manifesting as UGIB underscores the importance of comprehensive evaluations in cases of gastrointestinal bleeding to identify rare underlying causes.

求助全文
通过发布文献求助,成功后即可免费获取论文全文。 去求助
来源期刊
Case Reports in Medicine
Case Reports in Medicine MEDICINE, GENERAL & INTERNAL-
CiteScore
1.70
自引率
0.00%
发文量
53
审稿时长
13 weeks
×
引用
GB/T 7714-2015
复制
MLA
复制
APA
复制
导出至
BibTeX EndNote RefMan NoteFirst NoteExpress
×
提示
您的信息不完整,为了账户安全,请先补充。
现在去补充
×
提示
您因"违规操作"
具体请查看互助需知
我知道了
×
提示
确定
请完成安全验证×
copy
已复制链接
快去分享给好友吧!
我知道了
右上角分享
点击右上角分享
0
联系我们:info@booksci.cn Book学术提供免费学术资源搜索服务,方便国内外学者检索中英文文献。致力于提供最便捷和优质的服务体验。 Copyright © 2023 布克学术 All rights reserved.
京ICP备2023020795号-1
ghs 京公网安备 11010802042870号
Book学术文献互助
Book学术文献互助群
群 号:604180095
Book学术官方微信