急性胃扩张:来自一家医疗机构的回顾性病例系列。

IF 0.6 Q4 GASTROENTEROLOGY & HEPATOLOGY
Case Reports in Gastroenterology Pub Date : 2024-10-15 eCollection Date: 2024-01-01 DOI:10.1159/000541516
Lefika Bathobakae, Rammy Bashir, Sophia Venero, Tyler Wilkinson, Ruhin Yuridullah, Yana Cavanagh, Walid Baddoura
{"title":"急性胃扩张:来自一家医疗机构的回顾性病例系列。","authors":"Lefika Bathobakae, Rammy Bashir, Sophia Venero, Tyler Wilkinson, Ruhin Yuridullah, Yana Cavanagh, Walid Baddoura","doi":"10.1159/000541516","DOIUrl":null,"url":null,"abstract":"<p><strong>Introduction: </strong>Acute gastric dilatation (AGD) is a massive distension of the stomach caused by the accumulation of gas, gastric secretions, or food material. AGD is a radiological diagnosis with no clear etiopathogenesis and is often misdiagnosed owing to a lack of clear diagnostic criteria and physician awareness.</p><p><strong>Case presentation: </strong>In this case series, we describe the clinical presentations and outcomes of 4 patients with AGD. Three (75%) of the patients were female, and one (25%) was male. The patients' ages ranged from 53 to 84 years, with an average age of 73.5 years. Abdominal pain, nausea, and vomiting were the most frequently reported complaints. Two (50%) patients had cancer, one (25%) had an acquired duodenal stenosis, and the fourth patient experienced an ileus.</p><p><strong>Conclusion: </strong>AGD is a surgical emergency with a 50-100% mortality rate; thus, prompt diagnosis and management are crucial. Herein, we describe a case series of AGDs that were diagnosed and managed at our institution. We aim to raise awareness about this fatal yet underrecognized clinical entity.</p>","PeriodicalId":9614,"journal":{"name":"Case Reports in Gastroenterology","volume":"18 1","pages":"439-448"},"PeriodicalIF":0.6000,"publicationDate":"2024-10-15","publicationTypes":"Journal Article","fieldsOfStudy":null,"isOpenAccess":false,"openAccessPdf":"https://www.ncbi.nlm.nih.gov/pmc/articles/PMC11521523/pdf/","citationCount":"0","resultStr":"{\"title\":\"Acute Gastric Dilatation: A Retrospective Case Series from a Single Institution.\",\"authors\":\"Lefika Bathobakae, Rammy Bashir, Sophia Venero, Tyler Wilkinson, Ruhin Yuridullah, Yana Cavanagh, Walid Baddoura\",\"doi\":\"10.1159/000541516\",\"DOIUrl\":null,\"url\":null,\"abstract\":\"<p><strong>Introduction: </strong>Acute gastric dilatation (AGD) is a massive distension of the stomach caused by the accumulation of gas, gastric secretions, or food material. AGD is a radiological diagnosis with no clear etiopathogenesis and is often misdiagnosed owing to a lack of clear diagnostic criteria and physician awareness.</p><p><strong>Case presentation: </strong>In this case series, we describe the clinical presentations and outcomes of 4 patients with AGD. Three (75%) of the patients were female, and one (25%) was male. The patients' ages ranged from 53 to 84 years, with an average age of 73.5 years. Abdominal pain, nausea, and vomiting were the most frequently reported complaints. Two (50%) patients had cancer, one (25%) had an acquired duodenal stenosis, and the fourth patient experienced an ileus.</p><p><strong>Conclusion: </strong>AGD is a surgical emergency with a 50-100% mortality rate; thus, prompt diagnosis and management are crucial. Herein, we describe a case series of AGDs that were diagnosed and managed at our institution. We aim to raise awareness about this fatal yet underrecognized clinical entity.</p>\",\"PeriodicalId\":9614,\"journal\":{\"name\":\"Case Reports in Gastroenterology\",\"volume\":\"18 1\",\"pages\":\"439-448\"},\"PeriodicalIF\":0.6000,\"publicationDate\":\"2024-10-15\",\"publicationTypes\":\"Journal Article\",\"fieldsOfStudy\":null,\"isOpenAccess\":false,\"openAccessPdf\":\"https://www.ncbi.nlm.nih.gov/pmc/articles/PMC11521523/pdf/\",\"citationCount\":\"0\",\"resultStr\":null,\"platform\":\"Semanticscholar\",\"paperid\":null,\"PeriodicalName\":\"Case Reports in Gastroenterology\",\"FirstCategoryId\":\"1085\",\"ListUrlMain\":\"https://doi.org/10.1159/000541516\",\"RegionNum\":0,\"RegionCategory\":null,\"ArticlePicture\":[],\"TitleCN\":null,\"AbstractTextCN\":null,\"PMCID\":null,\"EPubDate\":\"2024/1/1 0:00:00\",\"PubModel\":\"eCollection\",\"JCR\":\"Q4\",\"JCRName\":\"GASTROENTEROLOGY & HEPATOLOGY\",\"Score\":null,\"Total\":0}","platform":"Semanticscholar","paperid":null,"PeriodicalName":"Case Reports in Gastroenterology","FirstCategoryId":"1085","ListUrlMain":"https://doi.org/10.1159/000541516","RegionNum":0,"RegionCategory":null,"ArticlePicture":[],"TitleCN":null,"AbstractTextCN":null,"PMCID":null,"EPubDate":"2024/1/1 0:00:00","PubModel":"eCollection","JCR":"Q4","JCRName":"GASTROENTEROLOGY & HEPATOLOGY","Score":null,"Total":0}
引用次数: 0

摘要

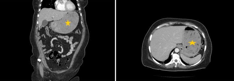
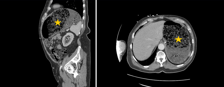
简介急性胃扩张(AGD)是由气体、胃分泌物或食物堆积引起的胃部大量膨胀。AGD 是一种放射学诊断,没有明确的发病机制,由于缺乏明确的诊断标准和医生的认识,AGD 经常被误诊:在本病例系列中,我们描述了 4 位 AGD 患者的临床表现和治疗结果。其中三名(75%)患者为女性,一名(25%)患者为男性。患者年龄从 53 岁到 84 岁不等,平均年龄为 73.5 岁。腹痛、恶心和呕吐是最常见的主诉。两名患者(50%)患有癌症,一名患者(25%)患有后天性十二指肠狭窄,第四名患者出现回肠梗阻:AGD是一种外科急症,死亡率高达50%-100%;因此,及时诊断和治疗至关重要。在此,我们描述了本院诊断和处理的一系列 AGD 病例。我们旨在提高人们对这一致命但未得到充分认识的临床实体的认识。
本文章由计算机程序翻译,如有差异,请以英文原文为准。

Acute Gastric Dilatation: A Retrospective Case Series from a Single Institution.

Acute Gastric Dilatation: A Retrospective Case Series from a Single Institution.

Acute Gastric Dilatation: A Retrospective Case Series from a Single Institution.

Acute Gastric Dilatation: A Retrospective Case Series from a Single Institution.

Introduction: Acute gastric dilatation (AGD) is a massive distension of the stomach caused by the accumulation of gas, gastric secretions, or food material. AGD is a radiological diagnosis with no clear etiopathogenesis and is often misdiagnosed owing to a lack of clear diagnostic criteria and physician awareness.

Case presentation: In this case series, we describe the clinical presentations and outcomes of 4 patients with AGD. Three (75%) of the patients were female, and one (25%) was male. The patients' ages ranged from 53 to 84 years, with an average age of 73.5 years. Abdominal pain, nausea, and vomiting were the most frequently reported complaints. Two (50%) patients had cancer, one (25%) had an acquired duodenal stenosis, and the fourth patient experienced an ileus.

Conclusion: AGD is a surgical emergency with a 50-100% mortality rate; thus, prompt diagnosis and management are crucial. Herein, we describe a case series of AGDs that were diagnosed and managed at our institution. We aim to raise awareness about this fatal yet underrecognized clinical entity.

求助全文
通过发布文献求助,成功后即可免费获取论文全文。 去求助
来源期刊
Case Reports in Gastroenterology
Case Reports in Gastroenterology Medicine-Gastroenterology
CiteScore
1.10
自引率
0.00%
发文量
99
审稿时长
7 weeks
期刊介绍:
×
引用
GB/T 7714-2015
复制
MLA
复制
APA
复制
导出至
BibTeX EndNote RefMan NoteFirst NoteExpress
×
提示
您的信息不完整,为了账户安全,请先补充。
现在去补充
×
提示
您因"违规操作"
具体请查看互助需知
我知道了
×
提示
确定
请完成安全验证×
copy
已复制链接
快去分享给好友吧!
我知道了
右上角分享
点击右上角分享
0
联系我们:info@booksci.cn Book学术提供免费学术资源搜索服务,方便国内外学者检索中英文文献。致力于提供最便捷和优质的服务体验。 Copyright © 2023 布克学术 All rights reserved.
京ICP备2023020795号-1
ghs 京公网安备 11010802042870号
Book学术文献互助
Book学术文献互助群
群 号:604180095
Book学术官方微信